轻度头部损伤引起的慢性硬膜下血肿的发展:一个病例报告和对目前马来西亚创伤性脑损伤指南的回顾。

Q3 Nursing
Malaysian Family Physician Pub Date : 2025-07-12 eCollection Date: 2025-01-01 DOI:10.51866/cr.776
Qingping Joseph Feng, Ian James Long, Su Lone Lim, Ira Siyang Sun, Shiong Wen Low, Chun Peng Goh
{"title":"轻度头部损伤引起的慢性硬膜下血肿的发展:一个病例报告和对目前马来西亚创伤性脑损伤指南的回顾。","authors":"Qingping Joseph Feng, Ian James Long, Su Lone Lim, Ira Siyang Sun, Shiong Wen Low, Chun Peng Goh","doi":"10.51866/cr.776","DOIUrl":null,"url":null,"abstract":"<p><p>Delayed chronic subdural haematoma (cSDH) is a common but potentially serious complication following traumatic brain injury (TBI). Mild TBIs are commonly managed by primary care providers (PCPs), particularly in large, resource-limited settings such as Malaysia, where access to tertiary neurosurgical services may be delayed. Early identification of red-flag signs and symptoms and timely referrals are crucial to prevent clinical deterioration. We describe the case of a 66-year-old man who sustained mild head injury following a vasovagal syncope. His initial brain CT revealed evidence of a small traumatic subarachnoid haemorrhage over the left precentral sulcus, with resolution on an interval scan 24 hours later. He was discharged home without follow-up. Eleven weeks later, he developed bilateral lower-limb weakness and unsteady gait, which prompted an urgent referral by his general practitioner. Repeat CT revealed bilateral acute-on-chronic subdural haematomas, with mass effect requiring emergency burr-hole drainage. The patient showed excellent post-operative improvement and was discharged home on day 4, with no clinical or radiological recurrence on subsequent follow-up. This case highlights the risk of delayed cSDH in patients following mild TBI, even in those discharged with a normal CT scan. PCPs play a pivotal role in recognising high-risk patients, ensuring structured follow-up and facilitating timely specialist referral. We advocate for updating the Malaysian head injury guidelines to incorporate routine follow-up protocols for at-risk patients, modelled after international standards.</p>","PeriodicalId":40017,"journal":{"name":"Malaysian Family Physician","volume":"20 ","pages":"45"},"PeriodicalIF":0.0000,"publicationDate":"2025-07-12","publicationTypes":"Journal Article","fieldsOfStudy":null,"isOpenAccess":false,"openAccessPdf":"https://www.ncbi.nlm.nih.gov/pmc/articles/PMC12334315/pdf/","citationCount":"0","resultStr":"{\"title\":\"Development of chronic subdural haematoma from mild head injury: A case report and review of current Malaysian guidelines on traumatic brain injury.\",\"authors\":\"Qingping Joseph Feng, Ian James Long, Su Lone Lim, Ira Siyang Sun, Shiong Wen Low, Chun Peng Goh\",\"doi\":\"10.51866/cr.776\",\"DOIUrl\":null,\"url\":null,\"abstract\":\"<p><p>Delayed chronic subdural haematoma (cSDH) is a common but potentially serious complication following traumatic brain injury (TBI). Mild TBIs are commonly managed by primary care providers (PCPs), particularly in large, resource-limited settings such as Malaysia, where access to tertiary neurosurgical services may be delayed. Early identification of red-flag signs and symptoms and timely referrals are crucial to prevent clinical deterioration. We describe the case of a 66-year-old man who sustained mild head injury following a vasovagal syncope. His initial brain CT revealed evidence of a small traumatic subarachnoid haemorrhage over the left precentral sulcus, with resolution on an interval scan 24 hours later. He was discharged home without follow-up. Eleven weeks later, he developed bilateral lower-limb weakness and unsteady gait, which prompted an urgent referral by his general practitioner. Repeat CT revealed bilateral acute-on-chronic subdural haematomas, with mass effect requiring emergency burr-hole drainage. The patient showed excellent post-operative improvement and was discharged home on day 4, with no clinical or radiological recurrence on subsequent follow-up. This case highlights the risk of delayed cSDH in patients following mild TBI, even in those discharged with a normal CT scan. PCPs play a pivotal role in recognising high-risk patients, ensuring structured follow-up and facilitating timely specialist referral. We advocate for updating the Malaysian head injury guidelines to incorporate routine follow-up protocols for at-risk patients, modelled after international standards.</p>\",\"PeriodicalId\":40017,\"journal\":{\"name\":\"Malaysian Family Physician\",\"volume\":\"20 \",\"pages\":\"45\"},\"PeriodicalIF\":0.0000,\"publicationDate\":\"2025-07-12\",\"publicationTypes\":\"Journal Article\",\"fieldsOfStudy\":null,\"isOpenAccess\":false,\"openAccessPdf\":\"https://www.ncbi.nlm.nih.gov/pmc/articles/PMC12334315/pdf/\",\"citationCount\":\"0\",\"resultStr\":null,\"platform\":\"Semanticscholar\",\"paperid\":null,\"PeriodicalName\":\"Malaysian Family Physician\",\"FirstCategoryId\":\"1085\",\"ListUrlMain\":\"https://doi.org/10.51866/cr.776\",\"RegionNum\":0,\"RegionCategory\":null,\"ArticlePicture\":[],\"TitleCN\":null,\"AbstractTextCN\":null,\"PMCID\":null,\"EPubDate\":\"2025/1/1 0:00:00\",\"PubModel\":\"eCollection\",\"JCR\":\"Q3\",\"JCRName\":\"Nursing\",\"Score\":null,\"Total\":0}","platform":"Semanticscholar","paperid":null,"PeriodicalName":"Malaysian Family Physician","FirstCategoryId":"1085","ListUrlMain":"https://doi.org/10.51866/cr.776","RegionNum":0,"RegionCategory":null,"ArticlePicture":[],"TitleCN":null,"AbstractTextCN":null,"PMCID":null,"EPubDate":"2025/1/1 0:00:00","PubModel":"eCollection","JCR":"Q3","JCRName":"Nursing","Score":null,"Total":0}
引用次数: 0

摘要

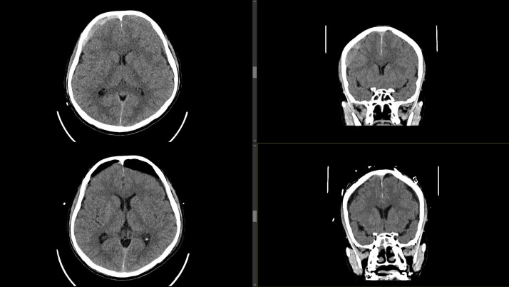
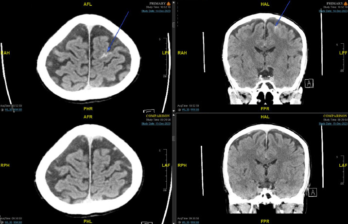
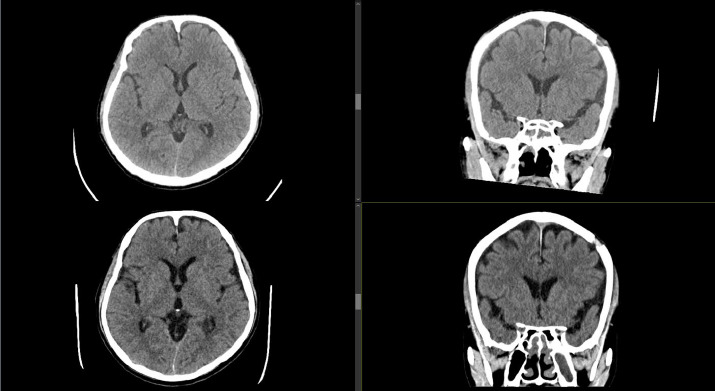
迟发性慢性硬膜下血肿(cSDH)是外伤性脑损伤(TBI)后常见但潜在严重的并发症。轻度脑外伤通常由初级保健提供者(pcp)管理,特别是在像马来西亚这样资源有限的大国家,三级神经外科服务可能会延迟。早期识别危险体征和症状并及时转诊对于防止临床恶化至关重要。我们描述的情况下,66岁的男子谁持续轻度头部损伤后,血管迷走神经性晕厥。他最初的脑部CT显示左侧中央前沟有一个小的外伤性蛛网膜下腔出血,24小时后的间隔扫描解决了这个问题。他没有随访就出院回家了。11周后,他出现双侧下肢无力和步态不稳,这促使他的全科医生紧急转诊。重复CT显示双侧急慢性硬脑膜下血肿,肿块效应需要紧急钻孔引流。患者术后表现良好,第4天出院,后续随访无临床或影像学复发。该病例强调了轻度TBI患者延迟cSDH的风险,即使在那些出院时CT扫描正常的患者中也是如此。pcp在识别高危患者、确保有组织的随访和促进及时的专科转诊方面发挥着关键作用。我们提倡更新马来西亚的头部损伤指南,以国际标准为模型,纳入高危患者的常规随访方案。
本文章由计算机程序翻译,如有差异,请以英文原文为准。

Development of chronic subdural haematoma from mild head injury: A case report and review of current Malaysian guidelines on traumatic brain injury.

Development of chronic subdural haematoma from mild head injury: A case report and review of current Malaysian guidelines on traumatic brain injury.

Development of chronic subdural haematoma from mild head injury: A case report and review of current Malaysian guidelines on traumatic brain injury.

Development of chronic subdural haematoma from mild head injury: A case report and review of current Malaysian guidelines on traumatic brain injury.

Delayed chronic subdural haematoma (cSDH) is a common but potentially serious complication following traumatic brain injury (TBI). Mild TBIs are commonly managed by primary care providers (PCPs), particularly in large, resource-limited settings such as Malaysia, where access to tertiary neurosurgical services may be delayed. Early identification of red-flag signs and symptoms and timely referrals are crucial to prevent clinical deterioration. We describe the case of a 66-year-old man who sustained mild head injury following a vasovagal syncope. His initial brain CT revealed evidence of a small traumatic subarachnoid haemorrhage over the left precentral sulcus, with resolution on an interval scan 24 hours later. He was discharged home without follow-up. Eleven weeks later, he developed bilateral lower-limb weakness and unsteady gait, which prompted an urgent referral by his general practitioner. Repeat CT revealed bilateral acute-on-chronic subdural haematomas, with mass effect requiring emergency burr-hole drainage. The patient showed excellent post-operative improvement and was discharged home on day 4, with no clinical or radiological recurrence on subsequent follow-up. This case highlights the risk of delayed cSDH in patients following mild TBI, even in those discharged with a normal CT scan. PCPs play a pivotal role in recognising high-risk patients, ensuring structured follow-up and facilitating timely specialist referral. We advocate for updating the Malaysian head injury guidelines to incorporate routine follow-up protocols for at-risk patients, modelled after international standards.

求助全文
通过发布文献求助,成功后即可免费获取论文全文。 去求助
来源期刊
Malaysian Family Physician
Malaysian Family Physician Medicine-Family Practice
CiteScore
1.20
自引率
0.00%
发文量
41
审稿时长
24 weeks
期刊介绍: The Malaysian Family Physician is the official journal of the Academy of Family Physicians of Malaysia. It is published three times a year. Circulation: The journal is distributed free of charge to all members of the Academy of Family Physicians of Malaysia. Complimentary copies are also sent to other organizations that are members of the World Organization of Family Doctors (WONCA).
×
引用
GB/T 7714-2015
复制
MLA
复制
APA
复制
导出至
BibTeX EndNote RefMan NoteFirst NoteExpress
×
提示
您的信息不完整,为了账户安全,请先补充。
现在去补充
×
提示
您因"违规操作"
具体请查看互助需知
我知道了
×
提示
确定
请完成安全验证×
copy
已复制链接
快去分享给好友吧!
我知道了
右上角分享
点击右上角分享
0
联系我们:info@booksci.cn Book学术提供免费学术资源搜索服务,方便国内外学者检索中英文文献。致力于提供最便捷和优质的服务体验。 Copyright © 2023 布克学术 All rights reserved.
京ICP备2023020795号-1
ghs 京公网安备 11010802042870号
Book学术文献互助
Book学术文献互助群
群 号:604180095
Book学术官方微信