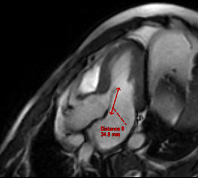
一种不寻常的晕厥前发作的病因:二尖瓣前叶拉长继发的动态左心室流出道阻塞。

IF 1.5 Q2 MEDICINE, GENERAL & INTERNAL
Stylianos Karvounaris, Ioannis Michaelides, Theodoros Ntoskas, Konstantinos Ritsatos, Georgios Papaetis
{"title":"一种不寻常的晕厥前发作的病因:二尖瓣前叶拉长继发的动态左心室流出道阻塞。","authors":"Stylianos Karvounaris, Ioannis Michaelides, Theodoros Ntoskas, Konstantinos Ritsatos, Georgios Papaetis","doi":"10.30476/ijms.2025.104916.3846","DOIUrl":null,"url":null,"abstract":"","PeriodicalId":14510,"journal":{"name":"Iranian Journal of Medical Sciences","volume":"50 7","pages":"492-495"},"PeriodicalIF":1.5000,"publicationDate":"2025-07-01","publicationTypes":"Journal Article","fieldsOfStudy":null,"isOpenAccess":false,"openAccessPdf":"https://www.ncbi.nlm.nih.gov/pmc/articles/PMC12334793/pdf/","citationCount":"0","resultStr":"{\"title\":\"An Unusual Etiology of Presyncopal Episodes: Dynamic Left Ventricular Outflow Tract Obstruction Secondary to an Elongated Anterior Mitral Valve Leaflet.\",\"authors\":\"Stylianos Karvounaris, Ioannis Michaelides, Theodoros Ntoskas, Konstantinos Ritsatos, Georgios Papaetis\",\"doi\":\"10.30476/ijms.2025.104916.3846\",\"DOIUrl\":null,\"url\":null,\"abstract\":\"\",\"PeriodicalId\":14510,\"journal\":{\"name\":\"Iranian Journal of Medical Sciences\",\"volume\":\"50 7\",\"pages\":\"492-495\"},\"PeriodicalIF\":1.5000,\"publicationDate\":\"2025-07-01\",\"publicationTypes\":\"Journal Article\",\"fieldsOfStudy\":null,\"isOpenAccess\":false,\"openAccessPdf\":\"https://www.ncbi.nlm.nih.gov/pmc/articles/PMC12334793/pdf/\",\"citationCount\":\"0\",\"resultStr\":null,\"platform\":\"Semanticscholar\",\"paperid\":null,\"PeriodicalName\":\"Iranian Journal of Medical Sciences\",\"FirstCategoryId\":\"1085\",\"ListUrlMain\":\"https://doi.org/10.30476/ijms.2025.104916.3846\",\"RegionNum\":0,\"RegionCategory\":null,\"ArticlePicture\":[],\"TitleCN\":null,\"AbstractTextCN\":null,\"PMCID\":null,\"EPubDate\":\"\",\"PubModel\":\"\",\"JCR\":\"Q2\",\"JCRName\":\"MEDICINE, GENERAL & INTERNAL\",\"Score\":null,\"Total\":0}","platform":"Semanticscholar","paperid":null,"PeriodicalName":"Iranian Journal of Medical Sciences","FirstCategoryId":"1085","ListUrlMain":"https://doi.org/10.30476/ijms.2025.104916.3846","RegionNum":0,"RegionCategory":null,"ArticlePicture":[],"TitleCN":null,"AbstractTextCN":null,"PMCID":null,"EPubDate":"","PubModel":"","JCR":"Q2","JCRName":"MEDICINE, GENERAL & INTERNAL","Score":null,"Total":0}
引用次数: 0

摘要

本文章由计算机程序翻译,如有差异,请以英文原文为准。

An Unusual Etiology of Presyncopal Episodes: Dynamic Left Ventricular Outflow Tract Obstruction Secondary to an Elongated Anterior Mitral Valve Leaflet.

An Unusual Etiology of Presyncopal Episodes: Dynamic Left Ventricular Outflow Tract Obstruction Secondary to an Elongated Anterior Mitral Valve Leaflet.

An Unusual Etiology of Presyncopal Episodes: Dynamic Left Ventricular Outflow Tract Obstruction Secondary to an Elongated Anterior Mitral Valve Leaflet.
求助全文
通过发布文献求助,成功后即可免费获取论文全文。 去求助
来源期刊
Iranian Journal of Medical Sciences
Iranian Journal of Medical Sciences MEDICINE, GENERAL & INTERNAL-
CiteScore
3.20
自引率
0.00%
发文量
84
审稿时长
12 weeks
期刊介绍: The Iranian Journal of Medical Sciences (IJMS) is an international quarterly biomedical publication, which is sponsored by Shiraz University of Medical Sciences. The IJMS intends to provide a scientific medium of com­muni­cation for researchers throughout the globe. The journal welcomes original clinical articles as well as clinically oriented basic science re­search experiences on prevalent diseases in the region and analysis of various regional problems.
×
引用
GB/T 7714-2015
复制
MLA
复制
APA
复制
导出至
BibTeX EndNote RefMan NoteFirst NoteExpress
×
提示
您的信息不完整,为了账户安全,请先补充。
现在去补充
×
提示
您因"违规操作"
具体请查看互助需知
我知道了
×
提示
确定
请完成安全验证×
copy
已复制链接
快去分享给好友吧!
我知道了
右上角分享
点击右上角分享
0
联系我们:info@booksci.cn Book学术提供免费学术资源搜索服务,方便国内外学者检索中英文文献。致力于提供最便捷和优质的服务体验。 Copyright © 2023 布克学术 All rights reserved.
京ICP备2023020795号-1
ghs 京公网安备 11010802042870号
Book学术文献互助
Book学术文献互助群
群 号:604180095
Book学术官方微信