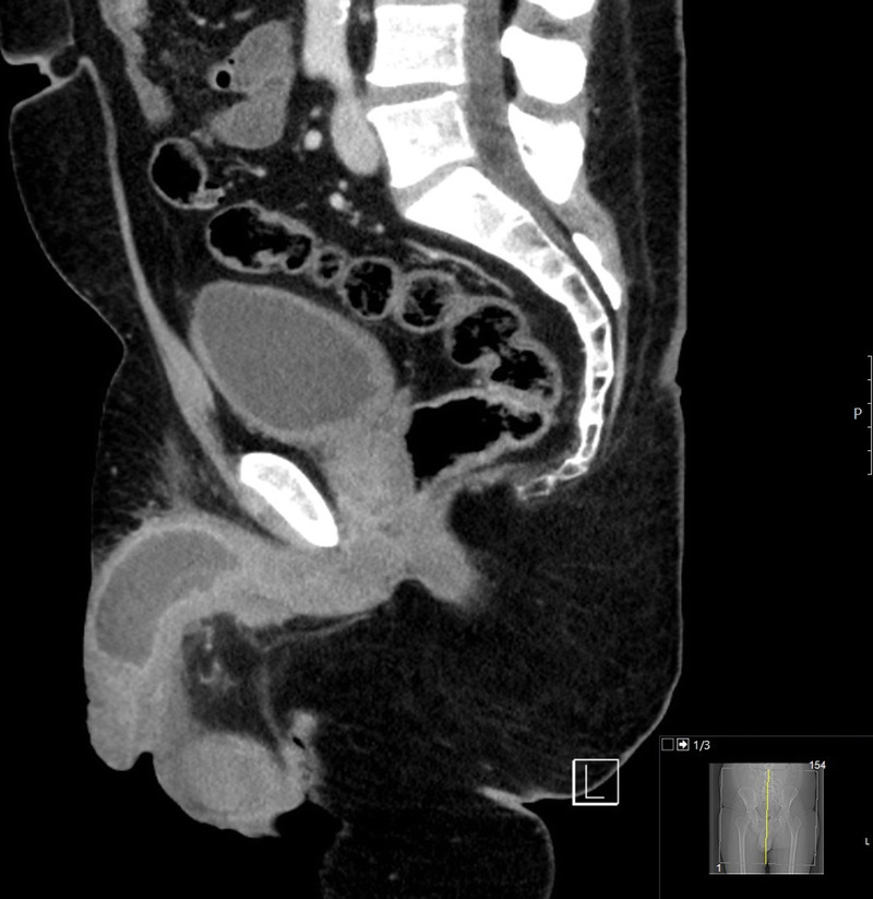
常规泌尿外科术后海绵体脓肿。

IF 1.3 4区 医学 Q4 UROLOGY & NEPHROLOGY
Current Urology Pub Date : 2025-07-01 Epub Date: 2025-03-25 DOI:10.1097/CU9.0000000000000281
Ingunn Roth, Christian Beisland, Christian Arvei Moen, Patrick Juliebø-Jones
{"title":"常规泌尿外科术后海绵体脓肿。","authors":"Ingunn Roth, Christian Beisland, Christian Arvei Moen, Patrick Juliebø-Jones","doi":"10.1097/CU9.0000000000000281","DOIUrl":null,"url":null,"abstract":"","PeriodicalId":39147,"journal":{"name":"Current Urology","volume":"19 4","pages":"293-294"},"PeriodicalIF":1.3000,"publicationDate":"2025-07-01","publicationTypes":"Journal Article","fieldsOfStudy":null,"isOpenAccess":false,"openAccessPdf":"https://www.ncbi.nlm.nih.gov/pmc/articles/PMC12327574/pdf/","citationCount":"0","resultStr":"{\"title\":\"Cavernosal abscess after routine urological surgery.\",\"authors\":\"Ingunn Roth, Christian Beisland, Christian Arvei Moen, Patrick Juliebø-Jones\",\"doi\":\"10.1097/CU9.0000000000000281\",\"DOIUrl\":null,\"url\":null,\"abstract\":\"\",\"PeriodicalId\":39147,\"journal\":{\"name\":\"Current Urology\",\"volume\":\"19 4\",\"pages\":\"293-294\"},\"PeriodicalIF\":1.3000,\"publicationDate\":\"2025-07-01\",\"publicationTypes\":\"Journal Article\",\"fieldsOfStudy\":null,\"isOpenAccess\":false,\"openAccessPdf\":\"https://www.ncbi.nlm.nih.gov/pmc/articles/PMC12327574/pdf/\",\"citationCount\":\"0\",\"resultStr\":null,\"platform\":\"Semanticscholar\",\"paperid\":null,\"PeriodicalName\":\"Current Urology\",\"FirstCategoryId\":\"1085\",\"ListUrlMain\":\"https://doi.org/10.1097/CU9.0000000000000281\",\"RegionNum\":4,\"RegionCategory\":\"医学\",\"ArticlePicture\":[],\"TitleCN\":null,\"AbstractTextCN\":null,\"PMCID\":null,\"EPubDate\":\"2025/3/25 0:00:00\",\"PubModel\":\"Epub\",\"JCR\":\"Q4\",\"JCRName\":\"UROLOGY & NEPHROLOGY\",\"Score\":null,\"Total\":0}","platform":"Semanticscholar","paperid":null,"PeriodicalName":"Current Urology","FirstCategoryId":"1085","ListUrlMain":"https://doi.org/10.1097/CU9.0000000000000281","RegionNum":4,"RegionCategory":"医学","ArticlePicture":[],"TitleCN":null,"AbstractTextCN":null,"PMCID":null,"EPubDate":"2025/3/25 0:00:00","PubModel":"Epub","JCR":"Q4","JCRName":"UROLOGY & NEPHROLOGY","Score":null,"Total":0}
引用次数: 0

摘要

本文章由计算机程序翻译,如有差异,请以英文原文为准。

Cavernosal abscess after routine urological surgery.

Cavernosal abscess after routine urological surgery.

Cavernosal abscess after routine urological surgery.
求助全文
通过发布文献求助,成功后即可免费获取论文全文。 去求助
来源期刊
Current Urology
Current Urology Medicine-Urology
CiteScore
2.30
自引率
0.00%
发文量
96
×
引用
GB/T 7714-2015
复制
MLA
复制
APA
复制
导出至
BibTeX EndNote RefMan NoteFirst NoteExpress
×
提示
您的信息不完整,为了账户安全,请先补充。
现在去补充
×
提示
您因"违规操作"
具体请查看互助需知
我知道了
×
提示
确定
请完成安全验证×
copy
已复制链接
快去分享给好友吧!
我知道了
右上角分享
点击右上角分享
0
联系我们:info@booksci.cn Book学术提供免费学术资源搜索服务,方便国内外学者检索中英文文献。致力于提供最便捷和优质的服务体验。 Copyright © 2023 布克学术 All rights reserved.
京ICP备2023020795号-1
ghs 京公网安备 11010802042870号
Book学术文献互助
Book学术文献互助群
群 号:604180095
Book学术官方微信