评估直肠癌新辅助治疗早期完全缓解的MRI T1放松时间:6周测量-一篇方案文章。

IF 1 Q4 RADIOLOGY, NUCLEAR MEDICINE & MEDICAL IMAGING
Acta radiologica open Pub Date : 2025-07-30 eCollection Date: 2025-07-01 DOI:10.1177/20584601251362322
Mathias Rosenfeldt Byriel, Torben Frøstrup Hansen, Hans Bjarke Rahr, Lars Henrik Jensen, Signe Timm, Jan Lindebjerg, Mazen Schnefeldt, Søren Rafael Rafaelsen
{"title":"评估直肠癌新辅助治疗早期完全缓解的MRI T1放松时间:6周测量-一篇方案文章。","authors":"Mathias Rosenfeldt Byriel, Torben Frøstrup Hansen, Hans Bjarke Rahr, Lars Henrik Jensen, Signe Timm, Jan Lindebjerg, Mazen Schnefeldt, Søren Rafael Rafaelsen","doi":"10.1177/20584601251362322","DOIUrl":null,"url":null,"abstract":"<p><strong>Background: </strong>Management of rectal cancer requires accurate staging and treatment. Neoadjuvant chemoradiotherapy offers tumour size reduction and mitigation of the risk of local relapse. Patients with complete response to neoadjuvant treatment can be enclosed in watchful waiting (WW). Recent studies have explored magnetic resonance imaging (MRI) T1 relaxation time (T1RT) as a predictive biomarker for treatment response in rectal cancer. Preliminary findings indicate that lower T1RT correlates with pathologic complete response. However, inclusion of patients in WW remains unexplored.</p><p><strong>Purpose: </strong>This prospective study aims to investigate T1RT 6 weeks after neoadjuvant treatment and the ability to determine complete response.</p><p><strong>Material and methods: </strong>MRI scans are conducted on a 1.5 T MRI-unit. T1RT is measured at time of diagnosis and 6 weeks after neoadjuvant treatment. Experienced radiologists analyse T1RT using specialised software. Treatment decisions are made in multidisciplinary team conferences based on tumour staging. Endpoints include tumour visibility on MRI and endoscopy, along with histopathological analysis of surgical specimens. Statistical methods include <i>t</i> test and receiver operating characteristic curves. Sample size calculations showed we must enrol 76 participants to achieve a statistical power of 80% with an α = 0.05.</p><p><strong>Results: </strong>Data analysis begins in winter 2025. Results are planned to be submitted in spring 2026.</p><p><strong>Conclusion: </strong>The implications of this study extend to the potential refinement of treatment strategies, offering patients the prospect of improved outcomes and the potential avoidance of surgery-associated risks. We expect to find a lower relaxation time in fibrotic tissue compared to non-responsive cancerous tissue after 6 weeks.</p>","PeriodicalId":72063,"journal":{"name":"Acta radiologica open","volume":"14 7","pages":"20584601251362322"},"PeriodicalIF":1.0000,"publicationDate":"2025-07-30","publicationTypes":"Journal Article","fieldsOfStudy":null,"isOpenAccess":false,"openAccessPdf":"https://www.ncbi.nlm.nih.gov/pmc/articles/PMC12317158/pdf/","citationCount":"0","resultStr":"{\"title\":\"MRI T1 relaxation time for evaluating early complete response to neoadjuvant treatment in rectal cancer: measurement at six weeks - a protocol article.\",\"authors\":\"Mathias Rosenfeldt Byriel, Torben Frøstrup Hansen, Hans Bjarke Rahr, Lars Henrik Jensen, Signe Timm, Jan Lindebjerg, Mazen Schnefeldt, Søren Rafael Rafaelsen\",\"doi\":\"10.1177/20584601251362322\",\"DOIUrl\":null,\"url\":null,\"abstract\":\"<p><strong>Background: </strong>Management of rectal cancer requires accurate staging and treatment. Neoadjuvant chemoradiotherapy offers tumour size reduction and mitigation of the risk of local relapse. Patients with complete response to neoadjuvant treatment can be enclosed in watchful waiting (WW). Recent studies have explored magnetic resonance imaging (MRI) T1 relaxation time (T1RT) as a predictive biomarker for treatment response in rectal cancer. Preliminary findings indicate that lower T1RT correlates with pathologic complete response. However, inclusion of patients in WW remains unexplored.</p><p><strong>Purpose: </strong>This prospective study aims to investigate T1RT 6 weeks after neoadjuvant treatment and the ability to determine complete response.</p><p><strong>Material and methods: </strong>MRI scans are conducted on a 1.5 T MRI-unit. T1RT is measured at time of diagnosis and 6 weeks after neoadjuvant treatment. Experienced radiologists analyse T1RT using specialised software. Treatment decisions are made in multidisciplinary team conferences based on tumour staging. Endpoints include tumour visibility on MRI and endoscopy, along with histopathological analysis of surgical specimens. Statistical methods include <i>t</i> test and receiver operating characteristic curves. Sample size calculations showed we must enrol 76 participants to achieve a statistical power of 80% with an α = 0.05.</p><p><strong>Results: </strong>Data analysis begins in winter 2025. Results are planned to be submitted in spring 2026.</p><p><strong>Conclusion: </strong>The implications of this study extend to the potential refinement of treatment strategies, offering patients the prospect of improved outcomes and the potential avoidance of surgery-associated risks. We expect to find a lower relaxation time in fibrotic tissue compared to non-responsive cancerous tissue after 6 weeks.</p>\",\"PeriodicalId\":72063,\"journal\":{\"name\":\"Acta radiologica open\",\"volume\":\"14 7\",\"pages\":\"20584601251362322\"},\"PeriodicalIF\":1.0000,\"publicationDate\":\"2025-07-30\",\"publicationTypes\":\"Journal Article\",\"fieldsOfStudy\":null,\"isOpenAccess\":false,\"openAccessPdf\":\"https://www.ncbi.nlm.nih.gov/pmc/articles/PMC12317158/pdf/\",\"citationCount\":\"0\",\"resultStr\":null,\"platform\":\"Semanticscholar\",\"paperid\":null,\"PeriodicalName\":\"Acta radiologica open\",\"FirstCategoryId\":\"1085\",\"ListUrlMain\":\"https://doi.org/10.1177/20584601251362322\",\"RegionNum\":0,\"RegionCategory\":null,\"ArticlePicture\":[],\"TitleCN\":null,\"AbstractTextCN\":null,\"PMCID\":null,\"EPubDate\":\"2025/7/1 0:00:00\",\"PubModel\":\"eCollection\",\"JCR\":\"Q4\",\"JCRName\":\"RADIOLOGY, NUCLEAR MEDICINE & MEDICAL IMAGING\",\"Score\":null,\"Total\":0}","platform":"Semanticscholar","paperid":null,"PeriodicalName":"Acta radiologica open","FirstCategoryId":"1085","ListUrlMain":"https://doi.org/10.1177/20584601251362322","RegionNum":0,"RegionCategory":null,"ArticlePicture":[],"TitleCN":null,"AbstractTextCN":null,"PMCID":null,"EPubDate":"2025/7/1 0:00:00","PubModel":"eCollection","JCR":"Q4","JCRName":"RADIOLOGY, NUCLEAR MEDICINE & MEDICAL IMAGING","Score":null,"Total":0}
引用次数: 0

摘要

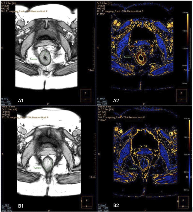
背景:直肠癌的治疗需要准确的分期和治疗。新辅助放化疗可缩小肿瘤大小并减轻局部复发的风险。对新辅助治疗有完全反应的患者可以围入观察等待期(WW)。最近的研究已经探索了磁共振成像(MRI) T1弛豫时间(T1RT)作为直肠癌治疗反应的预测性生物标志物。初步结果表明,较低的T1RT与病理完全缓解相关。然而,纳入WW患者仍未探索。目的:本前瞻性研究旨在探讨新辅助治疗后6周的T1RT和确定完全缓解的能力。材料和方法:在1.5 T MRI设备上进行MRI扫描。T1RT在诊断时和新辅助治疗后6周测量。经验丰富的放射科医生使用专门的软件分析T1RT。治疗决定是在基于肿瘤分期的多学科小组会议上做出的。终点包括肿瘤在MRI和内镜上的可见性,以及手术标本的组织病理学分析。统计方法包括t检验和受试者工作特征曲线。样本量计算表明,我们必须招募76名参与者才能达到80%的统计能力,α = 0.05。结果:数据分析开始于2025年冬季。结果计划于2026年春季提交。结论:本研究的意义延伸到治疗策略的潜在改进,为患者提供了改善预后的前景,并潜在地避免了手术相关风险。我们期望在6周后发现,与无反应的癌组织相比,纤维化组织的松弛时间更短。
本文章由计算机程序翻译,如有差异,请以英文原文为准。

MRI T1 relaxation time for evaluating early complete response to neoadjuvant treatment in rectal cancer: measurement at six weeks - a protocol article.

MRI T1 relaxation time for evaluating early complete response to neoadjuvant treatment in rectal cancer: measurement at six weeks - a protocol article.

MRI T1 relaxation time for evaluating early complete response to neoadjuvant treatment in rectal cancer: measurement at six weeks - a protocol article.

MRI T1 relaxation time for evaluating early complete response to neoadjuvant treatment in rectal cancer: measurement at six weeks - a protocol article.

Background: Management of rectal cancer requires accurate staging and treatment. Neoadjuvant chemoradiotherapy offers tumour size reduction and mitigation of the risk of local relapse. Patients with complete response to neoadjuvant treatment can be enclosed in watchful waiting (WW). Recent studies have explored magnetic resonance imaging (MRI) T1 relaxation time (T1RT) as a predictive biomarker for treatment response in rectal cancer. Preliminary findings indicate that lower T1RT correlates with pathologic complete response. However, inclusion of patients in WW remains unexplored.

Purpose: This prospective study aims to investigate T1RT 6 weeks after neoadjuvant treatment and the ability to determine complete response.

Material and methods: MRI scans are conducted on a 1.5 T MRI-unit. T1RT is measured at time of diagnosis and 6 weeks after neoadjuvant treatment. Experienced radiologists analyse T1RT using specialised software. Treatment decisions are made in multidisciplinary team conferences based on tumour staging. Endpoints include tumour visibility on MRI and endoscopy, along with histopathological analysis of surgical specimens. Statistical methods include t test and receiver operating characteristic curves. Sample size calculations showed we must enrol 76 participants to achieve a statistical power of 80% with an α = 0.05.

Results: Data analysis begins in winter 2025. Results are planned to be submitted in spring 2026.

Conclusion: The implications of this study extend to the potential refinement of treatment strategies, offering patients the prospect of improved outcomes and the potential avoidance of surgery-associated risks. We expect to find a lower relaxation time in fibrotic tissue compared to non-responsive cancerous tissue after 6 weeks.

求助全文
通过发布文献求助,成功后即可免费获取论文全文。 去求助
来源期刊
自引率
0.00%
发文量
0
审稿时长
12 weeks
×
引用
GB/T 7714-2015
复制
MLA
复制
APA
复制
导出至
BibTeX EndNote RefMan NoteFirst NoteExpress
×
提示
您的信息不完整,为了账户安全,请先补充。
现在去补充
×
提示
您因"违规操作"
具体请查看互助需知
我知道了
×
提示
确定
请完成安全验证×
copy
已复制链接
快去分享给好友吧!
我知道了
右上角分享
点击右上角分享
0
联系我们:info@booksci.cn Book学术提供免费学术资源搜索服务,方便国内外学者检索中英文文献。致力于提供最便捷和优质的服务体验。 Copyright © 2023 布克学术 All rights reserved.
京ICP备2023020795号-1
ghs 京公网安备 11010802042870号
Book学术文献互助
Book学术文献互助群
群 号:604180095
Book学术官方微信