生命髓治疗对未成熟牙正常牙根发育的影响1例报告。

Q3 Dentistry
Henry Paul Valverde Haro, Adriana Denisse Erazo Conde
{"title":"生命髓治疗对未成熟牙正常牙根发育的影响1例报告。","authors":"Henry Paul Valverde Haro, Adriana Denisse Erazo Conde","doi":"10.22037/iej.v20i1.47139","DOIUrl":null,"url":null,"abstract":"<p><p>Vital pulp therapy is one of the least invasive and simplest and most economically acceptable treatment alternatives for immature teeth with pulpitis. The success rate of this treatment, with calcium silicate-based cements, ranges from 85% to 100%. Vital pulp therapy prevents the development of apical periodontitis and promotes normal root development, allowing the tooth to remain in the dentition and perform its functions. The patient was a nine-year-old boy with pain on chewing and a positive response to cold. The panoramic radiograph showed an immature permanent lower molar with deep caries. Partial pulpectomy and root pulp sealing with pre-mixed calcium silicate-based cement were performed under aseptic conditions. The absence of symptoms and the formation of roots with apical sealing were successfully achieved and observed by follow-up and radiographic control, making this treatment a viable option for immature teeth with pulpitis.</p>","PeriodicalId":14534,"journal":{"name":"Iranian Endodontic Journal","volume":"20 1","pages":"e24"},"PeriodicalIF":0.0000,"publicationDate":"2025-01-01","publicationTypes":"Journal Article","fieldsOfStudy":null,"isOpenAccess":false,"openAccessPdf":"https://www.ncbi.nlm.nih.gov/pmc/articles/PMC12318324/pdf/","citationCount":"0","resultStr":"{\"title\":\"The Impact of Vital Pulp Therapy on Normal Root Development in Immature Teeth: A Case Report.\",\"authors\":\"Henry Paul Valverde Haro, Adriana Denisse Erazo Conde\",\"doi\":\"10.22037/iej.v20i1.47139\",\"DOIUrl\":null,\"url\":null,\"abstract\":\"<p><p>Vital pulp therapy is one of the least invasive and simplest and most economically acceptable treatment alternatives for immature teeth with pulpitis. The success rate of this treatment, with calcium silicate-based cements, ranges from 85% to 100%. Vital pulp therapy prevents the development of apical periodontitis and promotes normal root development, allowing the tooth to remain in the dentition and perform its functions. The patient was a nine-year-old boy with pain on chewing and a positive response to cold. The panoramic radiograph showed an immature permanent lower molar with deep caries. Partial pulpectomy and root pulp sealing with pre-mixed calcium silicate-based cement were performed under aseptic conditions. The absence of symptoms and the formation of roots with apical sealing were successfully achieved and observed by follow-up and radiographic control, making this treatment a viable option for immature teeth with pulpitis.</p>\",\"PeriodicalId\":14534,\"journal\":{\"name\":\"Iranian Endodontic Journal\",\"volume\":\"20 1\",\"pages\":\"e24\"},\"PeriodicalIF\":0.0000,\"publicationDate\":\"2025-01-01\",\"publicationTypes\":\"Journal Article\",\"fieldsOfStudy\":null,\"isOpenAccess\":false,\"openAccessPdf\":\"https://www.ncbi.nlm.nih.gov/pmc/articles/PMC12318324/pdf/\",\"citationCount\":\"0\",\"resultStr\":null,\"platform\":\"Semanticscholar\",\"paperid\":null,\"PeriodicalName\":\"Iranian Endodontic Journal\",\"FirstCategoryId\":\"1085\",\"ListUrlMain\":\"https://doi.org/10.22037/iej.v20i1.47139\",\"RegionNum\":0,\"RegionCategory\":null,\"ArticlePicture\":[],\"TitleCN\":null,\"AbstractTextCN\":null,\"PMCID\":null,\"EPubDate\":\"\",\"PubModel\":\"\",\"JCR\":\"Q3\",\"JCRName\":\"Dentistry\",\"Score\":null,\"Total\":0}","platform":"Semanticscholar","paperid":null,"PeriodicalName":"Iranian Endodontic Journal","FirstCategoryId":"1085","ListUrlMain":"https://doi.org/10.22037/iej.v20i1.47139","RegionNum":0,"RegionCategory":null,"ArticlePicture":[],"TitleCN":null,"AbstractTextCN":null,"PMCID":null,"EPubDate":"","PubModel":"","JCR":"Q3","JCRName":"Dentistry","Score":null,"Total":0}
引用次数: 0

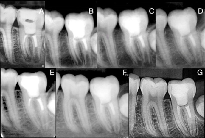
摘要

牙髓生命治疗是一种侵入性最小、最简单、最经济的治疗方法。硅酸钙基水泥的成功率在85%到100%之间。重要牙髓治疗可预防根尖牙周炎的发展,并促进牙根的正常发育,使牙齿留在牙列内并发挥其功能。患者是一名九岁男孩,咀嚼疼痛,对感冒有积极反应。全景x线片显示一颗未成熟的恒磨牙伴深龋。在无菌条件下,用预混合的硅酸钙基水泥进行部分髓切除术和根髓密封。通过随访和放射学控制,成功地实现了症状的消失和根尖密封的形成,使这种治疗成为患有牙髓炎的未成熟牙齿的可行选择。
本文章由计算机程序翻译,如有差异,请以英文原文为准。

The Impact of Vital Pulp Therapy on Normal Root Development in Immature Teeth: A Case Report.

The Impact of Vital Pulp Therapy on Normal Root Development in Immature Teeth: A Case Report.

The Impact of Vital Pulp Therapy on Normal Root Development in Immature Teeth: A Case Report.

The Impact of Vital Pulp Therapy on Normal Root Development in Immature Teeth: A Case Report.

Vital pulp therapy is one of the least invasive and simplest and most economically acceptable treatment alternatives for immature teeth with pulpitis. The success rate of this treatment, with calcium silicate-based cements, ranges from 85% to 100%. Vital pulp therapy prevents the development of apical periodontitis and promotes normal root development, allowing the tooth to remain in the dentition and perform its functions. The patient was a nine-year-old boy with pain on chewing and a positive response to cold. The panoramic radiograph showed an immature permanent lower molar with deep caries. Partial pulpectomy and root pulp sealing with pre-mixed calcium silicate-based cement were performed under aseptic conditions. The absence of symptoms and the formation of roots with apical sealing were successfully achieved and observed by follow-up and radiographic control, making this treatment a viable option for immature teeth with pulpitis.

求助全文
通过发布文献求助,成功后即可免费获取论文全文。 去求助
来源期刊
Iranian Endodontic Journal
Iranian Endodontic Journal Dentistry-Dentistry (all)
CiteScore
1.30
自引率
0.00%
发文量
0
审稿时长
12 weeks
期刊介绍: The Iranian Endodontic Journal (IEJ) is an international peer-reviewed biomedical publication, the aim of which is to provide a scientific medium of communication for researchers throughout the globe. IEJ aims to publish the highest quality articles, both clinical and scientific, on all aspects of Endodontics. The journal is an official Journal of the Iranian Center for Endodontic Research (ICER) and the Iranian Association of Endodontists (IAE). The Journal welcomes articles related to the scientific or applied aspects of endodontics e.g. original researches, systematic reviews, meta-analyses, review articles, clinical trials, case series/reports, hypotheses, letters to the editor, etc. From the beginning (i.e. since 2006), the IEJ was the first open access endodontic journal in the world, which gave readers free and instant access to published articles and enabling them faster discovery of the latest endodontic research.
×
引用
GB/T 7714-2015
复制
MLA
复制
APA
复制
导出至
BibTeX EndNote RefMan NoteFirst NoteExpress
×
提示
您的信息不完整,为了账户安全,请先补充。
现在去补充
×
提示
您因"违规操作"
具体请查看互助需知
我知道了
×
提示
确定
请完成安全验证×
copy
已复制链接
快去分享给好友吧!
我知道了
右上角分享
点击右上角分享
0
联系我们:info@booksci.cn Book学术提供免费学术资源搜索服务,方便国内外学者检索中英文文献。致力于提供最便捷和优质的服务体验。 Copyright © 2023 布克学术 All rights reserved.
京ICP备2023020795号-1
ghs 京公网安备 11010802042870号
Book学术文献互助
Book学术文献互助群
群 号:604180095
Book学术官方微信