高强度聚焦超声(HIFU)治疗外阴硬化地衣。

IF 2.2 4区 医学 Q3 DERMATOLOGY
Clinical, Cosmetic and Investigational Dermatology Pub Date : 2025-07-29 eCollection Date: 2025-01-01 DOI:10.2147/CCID.S525384
Jacek Calik, Bartosz Woźniak, Marek Murawski, Piotr Donizy, Natalia Sauer
{"title":"高强度聚焦超声(HIFU)治疗外阴硬化地衣。","authors":"Jacek Calik, Bartosz Woźniak, Marek Murawski, Piotr Donizy, Natalia Sauer","doi":"10.2147/CCID.S525384","DOIUrl":null,"url":null,"abstract":"<p><p>Vulvar lichen sclerosus (VLS) is a chronic, recurrent dermatosis predominantly affecting postmenopausal women. It is characterized by atrophic and sclerotic changes in the vulvar skin, often causing severe discomfort and functional impairment. Although potent topical corticosteroids remain the primary treatment, high-intensity focused ultrasound (HIFU) emerges as a promising alternative in recurrence cases. This study reports the case of a 73-year-old woman with VLS treated using HIFU, aiming to assess the safety and efficacy of this novel therapeutic approach. The patient presented with significant discomfort due to VLS and had a history of limited response to previous treatments. HIFU therapy was applied using the System ONE-M device operating at 20 MHz, targeting specific lesions. The dermoscopic evaluation was performed pre- and post-treatment to assess the treatment response. Immediate post-procedural whitening of tissues was observed, followed by gradual healing over five months. The patient experienced significant symptom relief, including reduced pain and itching, with minimal adverse effects. The treated areas displayed nearly normal skin color, texture, and improved function within five months post-treatment. This case illustrates the potential of HIFU as an effective and precise non-invasive treatment for VLS, offering significant symptom relief while sparing healthy tissue. Further research is needed to refine treatment parameters and explore the broader clinical applicability of HIFU for VLS management.</p>","PeriodicalId":10447,"journal":{"name":"Clinical, Cosmetic and Investigational Dermatology","volume":"18 ","pages":"1809-1815"},"PeriodicalIF":2.2000,"publicationDate":"2025-07-29","publicationTypes":"Journal Article","fieldsOfStudy":null,"isOpenAccess":false,"openAccessPdf":"https://www.ncbi.nlm.nih.gov/pmc/articles/PMC12317702/pdf/","citationCount":"0","resultStr":"{\"title\":\"High-Intensity Focused Ultrasound (HIFU) Treatment of Vulvar Lichen Sclerosus.\",\"authors\":\"Jacek Calik, Bartosz Woźniak, Marek Murawski, Piotr Donizy, Natalia Sauer\",\"doi\":\"10.2147/CCID.S525384\",\"DOIUrl\":null,\"url\":null,\"abstract\":\"<p><p>Vulvar lichen sclerosus (VLS) is a chronic, recurrent dermatosis predominantly affecting postmenopausal women. It is characterized by atrophic and sclerotic changes in the vulvar skin, often causing severe discomfort and functional impairment. Although potent topical corticosteroids remain the primary treatment, high-intensity focused ultrasound (HIFU) emerges as a promising alternative in recurrence cases. This study reports the case of a 73-year-old woman with VLS treated using HIFU, aiming to assess the safety and efficacy of this novel therapeutic approach. The patient presented with significant discomfort due to VLS and had a history of limited response to previous treatments. HIFU therapy was applied using the System ONE-M device operating at 20 MHz, targeting specific lesions. The dermoscopic evaluation was performed pre- and post-treatment to assess the treatment response. Immediate post-procedural whitening of tissues was observed, followed by gradual healing over five months. The patient experienced significant symptom relief, including reduced pain and itching, with minimal adverse effects. The treated areas displayed nearly normal skin color, texture, and improved function within five months post-treatment. This case illustrates the potential of HIFU as an effective and precise non-invasive treatment for VLS, offering significant symptom relief while sparing healthy tissue. Further research is needed to refine treatment parameters and explore the broader clinical applicability of HIFU for VLS management.</p>\",\"PeriodicalId\":10447,\"journal\":{\"name\":\"Clinical, Cosmetic and Investigational Dermatology\",\"volume\":\"18 \",\"pages\":\"1809-1815\"},\"PeriodicalIF\":2.2000,\"publicationDate\":\"2025-07-29\",\"publicationTypes\":\"Journal Article\",\"fieldsOfStudy\":null,\"isOpenAccess\":false,\"openAccessPdf\":\"https://www.ncbi.nlm.nih.gov/pmc/articles/PMC12317702/pdf/\",\"citationCount\":\"0\",\"resultStr\":null,\"platform\":\"Semanticscholar\",\"paperid\":null,\"PeriodicalName\":\"Clinical, Cosmetic and Investigational Dermatology\",\"FirstCategoryId\":\"3\",\"ListUrlMain\":\"https://doi.org/10.2147/CCID.S525384\",\"RegionNum\":4,\"RegionCategory\":\"医学\",\"ArticlePicture\":[],\"TitleCN\":null,\"AbstractTextCN\":null,\"PMCID\":null,\"EPubDate\":\"2025/1/1 0:00:00\",\"PubModel\":\"eCollection\",\"JCR\":\"Q3\",\"JCRName\":\"DERMATOLOGY\",\"Score\":null,\"Total\":0}","platform":"Semanticscholar","paperid":null,"PeriodicalName":"Clinical, Cosmetic and Investigational Dermatology","FirstCategoryId":"3","ListUrlMain":"https://doi.org/10.2147/CCID.S525384","RegionNum":4,"RegionCategory":"医学","ArticlePicture":[],"TitleCN":null,"AbstractTextCN":null,"PMCID":null,"EPubDate":"2025/1/1 0:00:00","PubModel":"eCollection","JCR":"Q3","JCRName":"DERMATOLOGY","Score":null,"Total":0}
引用次数: 0

摘要

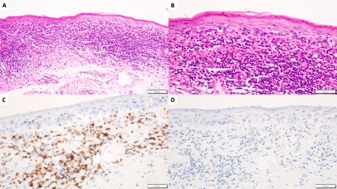
外阴硬化苔藓(VLS)是一种慢性,复发性皮肤病,主要影响绝经后妇女。它的特点是外阴皮肤的萎缩和硬化变化,经常引起严重的不适和功能损害。虽然有效的局部皮质类固醇仍然是主要的治疗方法,但高强度聚焦超声(HIFU)在复发病例中成为一种有希望的替代方法。本研究报告了一名73岁女性VLS患者使用HIFU治疗的病例,旨在评估这种新型治疗方法的安全性和有效性。由于VLS,患者表现出明显的不适,并且对以前的治疗反应有限。HIFU治疗采用System ONE-M装置,工作频率为20 MHz,针对特定病变。治疗前后分别行皮肤镜评估,以评估治疗效果。术后立即观察到组织变白,随后在5个月内逐渐愈合。患者症状明显缓解,包括疼痛和瘙痒减轻,不良反应最小。治疗后5个月内,治疗区域显示出接近正常的皮肤颜色、质地和改善的功能。本病例说明了HIFU作为VLS有效和精确的非侵入性治疗的潜力,在保留健康组织的同时显著缓解症状。需要进一步的研究来完善治疗参数,探索HIFU在VLS治疗中更广泛的临床适用性。
本文章由计算机程序翻译,如有差异,请以英文原文为准。

High-Intensity Focused Ultrasound (HIFU) Treatment of Vulvar Lichen Sclerosus.

High-Intensity Focused Ultrasound (HIFU) Treatment of Vulvar Lichen Sclerosus.

High-Intensity Focused Ultrasound (HIFU) Treatment of Vulvar Lichen Sclerosus.

High-Intensity Focused Ultrasound (HIFU) Treatment of Vulvar Lichen Sclerosus.

Vulvar lichen sclerosus (VLS) is a chronic, recurrent dermatosis predominantly affecting postmenopausal women. It is characterized by atrophic and sclerotic changes in the vulvar skin, often causing severe discomfort and functional impairment. Although potent topical corticosteroids remain the primary treatment, high-intensity focused ultrasound (HIFU) emerges as a promising alternative in recurrence cases. This study reports the case of a 73-year-old woman with VLS treated using HIFU, aiming to assess the safety and efficacy of this novel therapeutic approach. The patient presented with significant discomfort due to VLS and had a history of limited response to previous treatments. HIFU therapy was applied using the System ONE-M device operating at 20 MHz, targeting specific lesions. The dermoscopic evaluation was performed pre- and post-treatment to assess the treatment response. Immediate post-procedural whitening of tissues was observed, followed by gradual healing over five months. The patient experienced significant symptom relief, including reduced pain and itching, with minimal adverse effects. The treated areas displayed nearly normal skin color, texture, and improved function within five months post-treatment. This case illustrates the potential of HIFU as an effective and precise non-invasive treatment for VLS, offering significant symptom relief while sparing healthy tissue. Further research is needed to refine treatment parameters and explore the broader clinical applicability of HIFU for VLS management.

求助全文
通过发布文献求助,成功后即可免费获取论文全文。 去求助
来源期刊
CiteScore
2.80
自引率
4.30%
发文量
353
审稿时长
16 weeks
期刊介绍: Clinical, Cosmetic and Investigational Dermatology is an international, peer-reviewed, open access journal that focuses on the latest clinical and experimental research in all aspects of skin disease and cosmetic interventions. Normal and pathological processes in skin development and aging, their modification and treatment, as well as basic research into histology of dermal and dermal structures that provide clinical insights and potential treatment options are key topics for the journal. Patient satisfaction, preference, quality of life, compliance, persistence and their role in developing new management options to optimize outcomes for target conditions constitute major areas of interest. The journal is characterized by the rapid reporting of clinical studies, reviews and original research in skin research and skin care. All areas of dermatology will be covered; contributions will be welcomed from all clinicians and basic science researchers globally.
×
引用
GB/T 7714-2015
复制
MLA
复制
APA
复制
导出至
BibTeX EndNote RefMan NoteFirst NoteExpress
×
提示
您的信息不完整,为了账户安全,请先补充。
现在去补充
×
提示
您因"违规操作"
具体请查看互助需知
我知道了
×
提示
确定
请完成安全验证×
copy
已复制链接
快去分享给好友吧!
我知道了
右上角分享
点击右上角分享
0
联系我们:info@booksci.cn Book学术提供免费学术资源搜索服务,方便国内外学者检索中英文文献。致力于提供最便捷和优质的服务体验。 Copyright © 2023 布克学术 All rights reserved.
京ICP备2023020795号-1
ghs 京公网安备 11010802042870号
Book学术文献互助
Book学术文献互助群
群 号:604180095
Book学术官方微信