回盲交界处的化脓性肉芽肿:慢性贫血和肠套叠的罕见罪魁祸首。

IF 0.5 Q4 GASTROENTEROLOGY & HEPATOLOGY
Xavia Taylor, Kelly Fuller, Gregory K Patterson, Hima Chakka
{"title":"回盲交界处的化脓性肉芽肿:慢性贫血和肠套叠的罕见罪魁祸首。","authors":"Xavia Taylor, Kelly Fuller, Gregory K Patterson, Hima Chakka","doi":"10.14309/crj.0000000000001783","DOIUrl":null,"url":null,"abstract":"<p><p>Pyogenic granulomas (PGs) are benign vascular lesions usually found in the skin and mucous membranes but rarely in the gastrointestinal tract. This case highlights a large PG in the small intestine, causing chronic anemia and serving as a lead point for intussusception. We discuss its diagnostic challenges, potential for misdiagnosis, and treatment options. This case underscores the need for awareness among clinicians regarding atypical presentations of PGs. It also highlights the importance of thorough evaluation in patients with unexplained anemia and intermittent obstruction, ensuring timely diagnosis and appropriate management of this rare gastrointestinal condition.</p>","PeriodicalId":7394,"journal":{"name":"ACG Case Reports Journal","volume":"12 8","pages":"e01783"},"PeriodicalIF":0.5000,"publicationDate":"2025-08-01","publicationTypes":"Journal Article","fieldsOfStudy":null,"isOpenAccess":false,"openAccessPdf":"https://www.ncbi.nlm.nih.gov/pmc/articles/PMC12316350/pdf/","citationCount":"0","resultStr":"{\"title\":\"Pyogenic Granuloma at the Ileocecal Junction: Unusual Culprit of Chronic Anemia and Intussusception.\",\"authors\":\"Xavia Taylor, Kelly Fuller, Gregory K Patterson, Hima Chakka\",\"doi\":\"10.14309/crj.0000000000001783\",\"DOIUrl\":null,\"url\":null,\"abstract\":\"<p><p>Pyogenic granulomas (PGs) are benign vascular lesions usually found in the skin and mucous membranes but rarely in the gastrointestinal tract. This case highlights a large PG in the small intestine, causing chronic anemia and serving as a lead point for intussusception. We discuss its diagnostic challenges, potential for misdiagnosis, and treatment options. This case underscores the need for awareness among clinicians regarding atypical presentations of PGs. It also highlights the importance of thorough evaluation in patients with unexplained anemia and intermittent obstruction, ensuring timely diagnosis and appropriate management of this rare gastrointestinal condition.</p>\",\"PeriodicalId\":7394,\"journal\":{\"name\":\"ACG Case Reports Journal\",\"volume\":\"12 8\",\"pages\":\"e01783\"},\"PeriodicalIF\":0.5000,\"publicationDate\":\"2025-08-01\",\"publicationTypes\":\"Journal Article\",\"fieldsOfStudy\":null,\"isOpenAccess\":false,\"openAccessPdf\":\"https://www.ncbi.nlm.nih.gov/pmc/articles/PMC12316350/pdf/\",\"citationCount\":\"0\",\"resultStr\":null,\"platform\":\"Semanticscholar\",\"paperid\":null,\"PeriodicalName\":\"ACG Case Reports Journal\",\"FirstCategoryId\":\"1085\",\"ListUrlMain\":\"https://doi.org/10.14309/crj.0000000000001783\",\"RegionNum\":0,\"RegionCategory\":null,\"ArticlePicture\":[],\"TitleCN\":null,\"AbstractTextCN\":null,\"PMCID\":null,\"EPubDate\":\"\",\"PubModel\":\"\",\"JCR\":\"Q4\",\"JCRName\":\"GASTROENTEROLOGY & HEPATOLOGY\",\"Score\":null,\"Total\":0}","platform":"Semanticscholar","paperid":null,"PeriodicalName":"ACG Case Reports Journal","FirstCategoryId":"1085","ListUrlMain":"https://doi.org/10.14309/crj.0000000000001783","RegionNum":0,"RegionCategory":null,"ArticlePicture":[],"TitleCN":null,"AbstractTextCN":null,"PMCID":null,"EPubDate":"","PubModel":"","JCR":"Q4","JCRName":"GASTROENTEROLOGY & HEPATOLOGY","Score":null,"Total":0}
引用次数: 0

摘要

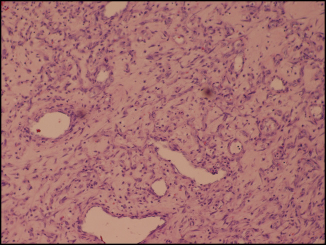
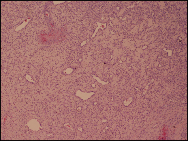
化脓性肉芽肿是一种良性血管病变,常见于皮肤和粘膜,但很少发生在胃肠道。本病例突出显示小肠内的大PG,引起慢性贫血,并作为肠套叠的先导点。我们讨论其诊断挑战,潜在的误诊,和治疗方案。本病例强调了临床医生对pg非典型表现的认识的必要性。它还强调了彻底评估不明原因贫血和间歇性梗阻患者的重要性,确保及时诊断和适当管理这种罕见的胃肠道疾病。
本文章由计算机程序翻译,如有差异,请以英文原文为准。

Pyogenic Granuloma at the Ileocecal Junction: Unusual Culprit of Chronic Anemia and Intussusception.

Pyogenic Granuloma at the Ileocecal Junction: Unusual Culprit of Chronic Anemia and Intussusception.

Pyogenic Granuloma at the Ileocecal Junction: Unusual Culprit of Chronic Anemia and Intussusception.

Pyogenic Granuloma at the Ileocecal Junction: Unusual Culprit of Chronic Anemia and Intussusception.

Pyogenic granulomas (PGs) are benign vascular lesions usually found in the skin and mucous membranes but rarely in the gastrointestinal tract. This case highlights a large PG in the small intestine, causing chronic anemia and serving as a lead point for intussusception. We discuss its diagnostic challenges, potential for misdiagnosis, and treatment options. This case underscores the need for awareness among clinicians regarding atypical presentations of PGs. It also highlights the importance of thorough evaluation in patients with unexplained anemia and intermittent obstruction, ensuring timely diagnosis and appropriate management of this rare gastrointestinal condition.

求助全文
通过发布文献求助,成功后即可免费获取论文全文。 去求助
来源期刊
ACG Case Reports Journal
ACG Case Reports Journal GASTROENTEROLOGY & HEPATOLOGY-
自引率
14.30%
发文量
170
审稿时长
12 weeks
期刊介绍: ACG Case Reports Journal is a peer-reviewed, open-access publication that provides GI and hepatology fellows, private practice clinicians, and other healthcare providers an opportunity to share interesting case reports with their peers and with leaders in the field. ACG Case Reports Journal publishes case reports, images, videos and letters to the editor in all topics of gastroenterology and hepatology, including: Biliary Colon Endoscopy Esophagus Functional Bowel Disorders Inflammatory Bowel Disease Liver Nutrition and Obesity Pancreas Pathology Pediatric Small Bowel Stomach.
×
引用
GB/T 7714-2015
复制
MLA
复制
APA
复制
导出至
BibTeX EndNote RefMan NoteFirst NoteExpress
×
提示
您的信息不完整,为了账户安全,请先补充。
现在去补充
×
提示
您因"违规操作"
具体请查看互助需知
我知道了
×
提示
确定
请完成安全验证×
copy
已复制链接
快去分享给好友吧!
我知道了
右上角分享
点击右上角分享
0
联系我们:info@booksci.cn Book学术提供免费学术资源搜索服务,方便国内外学者检索中英文文献。致力于提供最便捷和优质的服务体验。 Copyright © 2023 布克学术 All rights reserved.
京ICP备2023020795号-1
ghs 京公网安备 11010802042870号
Book学术文献互助
Book学术文献互助群
群 号:604180095
Book学术官方微信