一个意想不到的罪魁祸首:终末期肾病患者十二指肠组织胞浆菌病引起的致命胃肠道出血。

IF 0.5 Q4 GASTROENTEROLOGY & HEPATOLOGY
Vanya Rai, Rohit Goyal, Aditya Vyas, Karan Sachdeva, Kshitij Arora, Hassan Zia
{"title":"一个意想不到的罪魁祸首:终末期肾病患者十二指肠组织胞浆菌病引起的致命胃肠道出血。","authors":"Vanya Rai, Rohit Goyal, Aditya Vyas, Karan Sachdeva, Kshitij Arora, Hassan Zia","doi":"10.14309/crj.0000000000001781","DOIUrl":null,"url":null,"abstract":"<p><p>Histoplasmosis has a wide spectrum of presentations ranging from mild pulmonary disease to a more widespread infection leading to disseminated histoplasmosis. Gastrointestinal histoplasmosis is a rare form of disseminated histoplasmosis that most commonly causes nonspecific symptoms and rarely presents with serious symptoms. Duodenal involvement is further rare but can cause ulcerated lesions leading to upper gastrointestinal bleed. The potential for a nonspecific initial presentation quickly progressing to a fatal upper gastrointestinal bleed makes it important to keep Gastrointestinal histoplasmosis in our list of differentials, as timely initiation of appropriate antifungal therapy can significantly reduce the risk of severe complications and mortality.</p>","PeriodicalId":7394,"journal":{"name":"ACG Case Reports Journal","volume":"12 8","pages":"e01781"},"PeriodicalIF":0.5000,"publicationDate":"2025-08-01","publicationTypes":"Journal Article","fieldsOfStudy":null,"isOpenAccess":false,"openAccessPdf":"https://www.ncbi.nlm.nih.gov/pmc/articles/PMC12316352/pdf/","citationCount":"0","resultStr":"{\"title\":\"An Unexpected Culprit: Fatal Gastrointestinal Hemorrhage due to Duodenal Histoplasmosis in a Patient With End-Stage Renal Disease.\",\"authors\":\"Vanya Rai, Rohit Goyal, Aditya Vyas, Karan Sachdeva, Kshitij Arora, Hassan Zia\",\"doi\":\"10.14309/crj.0000000000001781\",\"DOIUrl\":null,\"url\":null,\"abstract\":\"<p><p>Histoplasmosis has a wide spectrum of presentations ranging from mild pulmonary disease to a more widespread infection leading to disseminated histoplasmosis. Gastrointestinal histoplasmosis is a rare form of disseminated histoplasmosis that most commonly causes nonspecific symptoms and rarely presents with serious symptoms. Duodenal involvement is further rare but can cause ulcerated lesions leading to upper gastrointestinal bleed. The potential for a nonspecific initial presentation quickly progressing to a fatal upper gastrointestinal bleed makes it important to keep Gastrointestinal histoplasmosis in our list of differentials, as timely initiation of appropriate antifungal therapy can significantly reduce the risk of severe complications and mortality.</p>\",\"PeriodicalId\":7394,\"journal\":{\"name\":\"ACG Case Reports Journal\",\"volume\":\"12 8\",\"pages\":\"e01781\"},\"PeriodicalIF\":0.5000,\"publicationDate\":\"2025-08-01\",\"publicationTypes\":\"Journal Article\",\"fieldsOfStudy\":null,\"isOpenAccess\":false,\"openAccessPdf\":\"https://www.ncbi.nlm.nih.gov/pmc/articles/PMC12316352/pdf/\",\"citationCount\":\"0\",\"resultStr\":null,\"platform\":\"Semanticscholar\",\"paperid\":null,\"PeriodicalName\":\"ACG Case Reports Journal\",\"FirstCategoryId\":\"1085\",\"ListUrlMain\":\"https://doi.org/10.14309/crj.0000000000001781\",\"RegionNum\":0,\"RegionCategory\":null,\"ArticlePicture\":[],\"TitleCN\":null,\"AbstractTextCN\":null,\"PMCID\":null,\"EPubDate\":\"\",\"PubModel\":\"\",\"JCR\":\"Q4\",\"JCRName\":\"GASTROENTEROLOGY & HEPATOLOGY\",\"Score\":null,\"Total\":0}","platform":"Semanticscholar","paperid":null,"PeriodicalName":"ACG Case Reports Journal","FirstCategoryId":"1085","ListUrlMain":"https://doi.org/10.14309/crj.0000000000001781","RegionNum":0,"RegionCategory":null,"ArticlePicture":[],"TitleCN":null,"AbstractTextCN":null,"PMCID":null,"EPubDate":"","PubModel":"","JCR":"Q4","JCRName":"GASTROENTEROLOGY & HEPATOLOGY","Score":null,"Total":0}
引用次数: 0

摘要

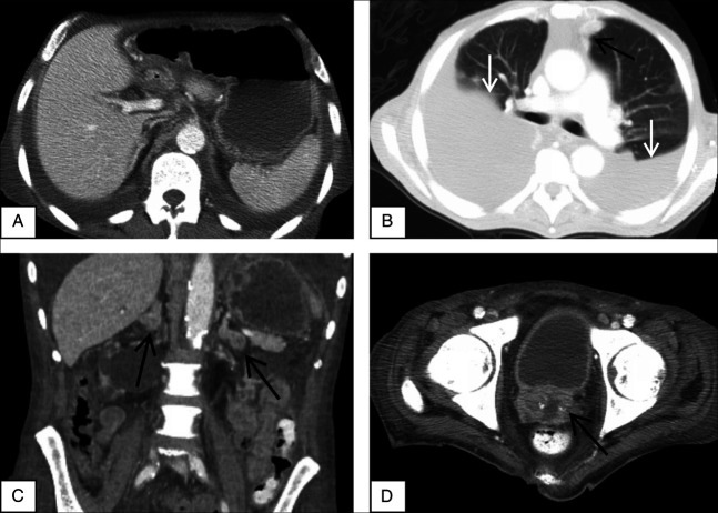
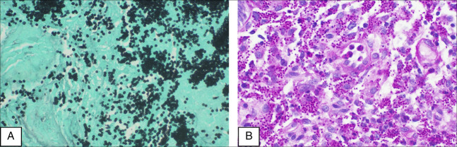
组织胞浆菌病具有广泛的表现,从轻微的肺部疾病到导致播散性组织胞浆菌病的更广泛的感染。胃肠组织浆菌病是一种罕见的播散性组织浆菌病,最常引起非特异性症状,很少出现严重症状。累及十二指肠也很少见,但可引起溃疡性病变,导致上消化道出血。非特异性初始表现可能迅速发展为致命的上消化道出血,因此将胃肠道组织胞浆菌病列入我们的鉴别清单非常重要,因为及时开始适当的抗真菌治疗可以显著降低严重并发症和死亡率的风险。
本文章由计算机程序翻译,如有差异,请以英文原文为准。

An Unexpected Culprit: Fatal Gastrointestinal Hemorrhage due to Duodenal Histoplasmosis in a Patient With End-Stage Renal Disease.

An Unexpected Culprit: Fatal Gastrointestinal Hemorrhage due to Duodenal Histoplasmosis in a Patient With End-Stage Renal Disease.

An Unexpected Culprit: Fatal Gastrointestinal Hemorrhage due to Duodenal Histoplasmosis in a Patient With End-Stage Renal Disease.

An Unexpected Culprit: Fatal Gastrointestinal Hemorrhage due to Duodenal Histoplasmosis in a Patient With End-Stage Renal Disease.

Histoplasmosis has a wide spectrum of presentations ranging from mild pulmonary disease to a more widespread infection leading to disseminated histoplasmosis. Gastrointestinal histoplasmosis is a rare form of disseminated histoplasmosis that most commonly causes nonspecific symptoms and rarely presents with serious symptoms. Duodenal involvement is further rare but can cause ulcerated lesions leading to upper gastrointestinal bleed. The potential for a nonspecific initial presentation quickly progressing to a fatal upper gastrointestinal bleed makes it important to keep Gastrointestinal histoplasmosis in our list of differentials, as timely initiation of appropriate antifungal therapy can significantly reduce the risk of severe complications and mortality.

求助全文
通过发布文献求助,成功后即可免费获取论文全文。 去求助
来源期刊
ACG Case Reports Journal
ACG Case Reports Journal GASTROENTEROLOGY & HEPATOLOGY-
自引率
14.30%
发文量
170
审稿时长
12 weeks
期刊介绍: ACG Case Reports Journal is a peer-reviewed, open-access publication that provides GI and hepatology fellows, private practice clinicians, and other healthcare providers an opportunity to share interesting case reports with their peers and with leaders in the field. ACG Case Reports Journal publishes case reports, images, videos and letters to the editor in all topics of gastroenterology and hepatology, including: Biliary Colon Endoscopy Esophagus Functional Bowel Disorders Inflammatory Bowel Disease Liver Nutrition and Obesity Pancreas Pathology Pediatric Small Bowel Stomach.
×
引用
GB/T 7714-2015
复制
MLA
复制
APA
复制
导出至
BibTeX EndNote RefMan NoteFirst NoteExpress
×
提示
您的信息不完整,为了账户安全,请先补充。
现在去补充
×
提示
您因"违规操作"
具体请查看互助需知
我知道了
×
提示
确定
请完成安全验证×
copy
已复制链接
快去分享给好友吧!
我知道了
右上角分享
点击右上角分享
0
联系我们:info@booksci.cn Book学术提供免费学术资源搜索服务,方便国内外学者检索中英文文献。致力于提供最便捷和优质的服务体验。 Copyright © 2023 布克学术 All rights reserved.
京ICP备2023020795号-1
ghs 京公网安备 11010802042870号
Book学术文献互助
Book学术文献互助群
群 号:604180095
Book学术官方微信