延展性阴茎植入物骨折继发的白膜破裂的处理:病因学和手术方法的见解。

IF 2 3区 医学 Q2 ANDROLOGY
Emad S Rajih
{"title":"延展性阴茎植入物骨折继发的白膜破裂的处理:病因学和手术方法的见解。","authors":"Emad S Rajih","doi":"10.1186/s12610-025-00276-z","DOIUrl":null,"url":null,"abstract":"<p><strong>Background: </strong>The tunica albuginea is a key anatomical structure supporting penile implants. Several factors can lead to anatomical penile defects, contributing to penile prosthesis malfunction.The aim is to describe the consequences of malleable penile implant fractures, their contribution to tunica albuginea defects, and management outcomes.</p><p><strong>Results: </strong>All patients underwent malleable device surgery were reviwed retrospectively in our center. We included three patients with malleable penile implant disruption. Two patients underwent concomitant plication corporoplasty (PC) with device replacemen and one patient with device replacement only that showed intact tunica albuginea. The mean age at revision was 71.3 years. All patients achieved device stability and reported successful vaginal penetartion after PC and device replacement, with a median follow-up of 28 months.</p><p><strong>Conclusions: </strong>Malleable penile device fractures are extremely rare findings. They can cause tunica albuginea disruption and tears, compromising penile penetration and device stability. Device replacement combined with PC is an essential component of successful vaginal pentration.</p>","PeriodicalId":8730,"journal":{"name":"Basic and Clinical Andrology","volume":"35 1","pages":"29"},"PeriodicalIF":2.0000,"publicationDate":"2025-08-01","publicationTypes":"Journal Article","fieldsOfStudy":null,"isOpenAccess":false,"openAccessPdf":"https://www.ncbi.nlm.nih.gov/pmc/articles/PMC12315309/pdf/","citationCount":"0","resultStr":"{\"title\":\"Management of tunica albuginea disruption secondary to malleable penile implant fracture: insights into etiology and surgical approach.\",\"authors\":\"Emad S Rajih\",\"doi\":\"10.1186/s12610-025-00276-z\",\"DOIUrl\":null,\"url\":null,\"abstract\":\"<p><strong>Background: </strong>The tunica albuginea is a key anatomical structure supporting penile implants. Several factors can lead to anatomical penile defects, contributing to penile prosthesis malfunction.The aim is to describe the consequences of malleable penile implant fractures, their contribution to tunica albuginea defects, and management outcomes.</p><p><strong>Results: </strong>All patients underwent malleable device surgery were reviwed retrospectively in our center. We included three patients with malleable penile implant disruption. Two patients underwent concomitant plication corporoplasty (PC) with device replacemen and one patient with device replacement only that showed intact tunica albuginea. The mean age at revision was 71.3 years. All patients achieved device stability and reported successful vaginal penetartion after PC and device replacement, with a median follow-up of 28 months.</p><p><strong>Conclusions: </strong>Malleable penile device fractures are extremely rare findings. They can cause tunica albuginea disruption and tears, compromising penile penetration and device stability. Device replacement combined with PC is an essential component of successful vaginal pentration.</p>\",\"PeriodicalId\":8730,\"journal\":{\"name\":\"Basic and Clinical Andrology\",\"volume\":\"35 1\",\"pages\":\"29\"},\"PeriodicalIF\":2.0000,\"publicationDate\":\"2025-08-01\",\"publicationTypes\":\"Journal Article\",\"fieldsOfStudy\":null,\"isOpenAccess\":false,\"openAccessPdf\":\"https://www.ncbi.nlm.nih.gov/pmc/articles/PMC12315309/pdf/\",\"citationCount\":\"0\",\"resultStr\":null,\"platform\":\"Semanticscholar\",\"paperid\":null,\"PeriodicalName\":\"Basic and Clinical Andrology\",\"FirstCategoryId\":\"3\",\"ListUrlMain\":\"https://doi.org/10.1186/s12610-025-00276-z\",\"RegionNum\":3,\"RegionCategory\":\"医学\",\"ArticlePicture\":[],\"TitleCN\":null,\"AbstractTextCN\":null,\"PMCID\":null,\"EPubDate\":\"\",\"PubModel\":\"\",\"JCR\":\"Q2\",\"JCRName\":\"ANDROLOGY\",\"Score\":null,\"Total\":0}","platform":"Semanticscholar","paperid":null,"PeriodicalName":"Basic and Clinical Andrology","FirstCategoryId":"3","ListUrlMain":"https://doi.org/10.1186/s12610-025-00276-z","RegionNum":3,"RegionCategory":"医学","ArticlePicture":[],"TitleCN":null,"AbstractTextCN":null,"PMCID":null,"EPubDate":"","PubModel":"","JCR":"Q2","JCRName":"ANDROLOGY","Score":null,"Total":0}
引用次数: 0

摘要

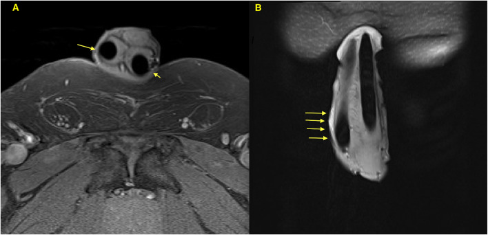
背景:白膜是支撑阴茎植入物的关键解剖结构。多种因素可导致阴茎解剖缺陷,导致阴茎假体功能障碍。目的是描述延展性阴茎植入物骨折的后果,它们对白膜缺陷的贡献,以及管理结果。结果:本中心对所有接受延展性装置手术的患者进行回顾性分析。我们纳入了3例可塑阴茎植入物破裂的患者。2例患者行合并肌体成形术(PC)伴器械置换术,1例患者仅行器械置换术,显示完整的白膜。修订时的平均年龄为71.3岁。所有患者均获得了器械的稳定性,并在PC和器械更换后成功阴道插入,中位随访时间为28个月。结论:延展性阴茎装置骨折极为罕见。它们会导致白膜破裂和撕裂,损害阴茎穿透和装置的稳定性。器械更换结合PC是阴道插入成功的重要组成部分。
本文章由计算机程序翻译,如有差异,请以英文原文为准。

Management of tunica albuginea disruption secondary to malleable penile implant fracture: insights into etiology and surgical approach.

Management of tunica albuginea disruption secondary to malleable penile implant fracture: insights into etiology and surgical approach.

Management of tunica albuginea disruption secondary to malleable penile implant fracture: insights into etiology and surgical approach.

Management of tunica albuginea disruption secondary to malleable penile implant fracture: insights into etiology and surgical approach.

Background: The tunica albuginea is a key anatomical structure supporting penile implants. Several factors can lead to anatomical penile defects, contributing to penile prosthesis malfunction.The aim is to describe the consequences of malleable penile implant fractures, their contribution to tunica albuginea defects, and management outcomes.

Results: All patients underwent malleable device surgery were reviwed retrospectively in our center. We included three patients with malleable penile implant disruption. Two patients underwent concomitant plication corporoplasty (PC) with device replacemen and one patient with device replacement only that showed intact tunica albuginea. The mean age at revision was 71.3 years. All patients achieved device stability and reported successful vaginal penetartion after PC and device replacement, with a median follow-up of 28 months.

Conclusions: Malleable penile device fractures are extremely rare findings. They can cause tunica albuginea disruption and tears, compromising penile penetration and device stability. Device replacement combined with PC is an essential component of successful vaginal pentration.

求助全文
通过发布文献求助,成功后即可免费获取论文全文。 去求助
来源期刊
Basic and Clinical Andrology
Basic and Clinical Andrology Medicine-Urology
CiteScore
3.50
自引率
0.00%
发文量
21
审稿时长
22 weeks
期刊介绍: Basic and Clinical Andrology is an open access journal in the domain of andrology covering all aspects of male reproductive and sexual health in both human and animal models. The journal aims to bring to light the various clinical advancements and research developments in andrology from the international community.
×
引用
GB/T 7714-2015
复制
MLA
复制
APA
复制
导出至
BibTeX EndNote RefMan NoteFirst NoteExpress
×
提示
您的信息不完整,为了账户安全,请先补充。
现在去补充
×
提示
您因"违规操作"
具体请查看互助需知
我知道了
×
提示
确定
请完成安全验证×
copy
已复制链接
快去分享给好友吧!
我知道了
右上角分享
点击右上角分享
0
联系我们:info@booksci.cn Book学术提供免费学术资源搜索服务,方便国内外学者检索中英文文献。致力于提供最便捷和优质的服务体验。 Copyright © 2023 布克学术 All rights reserved.
京ICP备2023020795号-1
ghs 京公网安备 11010802042870号
Book学术文献互助
Book学术文献互助群
群 号:604180095
Book学术官方微信