再访全腕关节置换术:BIAX和universal II假体在15年内的生存、功能和患者报告的结果。

IF 2.1 3区 医学 Q2 ORTHOPEDICS
Leonhard Mandl, Alfred Gruber, Raymund E Horch, Resit Demir
{"title":"再访全腕关节置换术:BIAX和universal II假体在15年内的生存、功能和患者报告的结果。","authors":"Leonhard Mandl, Alfred Gruber, Raymund E Horch, Resit Demir","doi":"10.1007/s00402-025-06005-5","DOIUrl":null,"url":null,"abstract":"<p><strong>Background: </strong>In the management of degenerative osteoarthritis and rheumatoid arthritis of the wrist, surgical intervention remains an important treatment option when conservative approaches such as medication, physiotherapy, and assistive devices prove insufficient. Despite decades of development, no single wrist prosthesis has yet emerged as the definitive standard in total wrist arthroplasty. To address this gap, the German Society for Hand Surgery established the Total Endoprosthesis (TEP) Register in 2004 to systematically collect and evaluate long-term clinical outcomes. The present prospective single-centre study analyses and presents the long-term results of patients enrolled in the TEP register, offering valuable insights into the performance and durability of wrist prostheses in a real-world clinical setting.</p><p><strong>Patients/materials/methods: </strong>Between 2000 and 2011, a total of 29 total endoprostheses were implanted in 25 patients in a single centre study due to severe degenerative changes in the wrist. Of these, 22 had rheumatoid arthritis and 3 degenerative osteoarthritis. The prosthesis models BIAX (N = 13) and Universal II (N = 16) were implanted. The present study describes the mean outcome after a mean observation period of 13.8 (1.7-21.4) years for the BIAX prosthesis and 10.5 years (0.2-16.4) for the Universal II prosthesis.</p><p><strong>Results: </strong>The probability of survival after 15 years is 60% for the BIAX prosthesis and 41% for the Universal II prosthesis. After 21 years, results are only available for the BIAX prosthesis with a value of 60%. The BIAX prosthesis showed a lower complication rate. Subjectively, 15 years postoperatively, the BIAX prosthesis showed a lower mean value in the QuickDASH score (BIAX 33.8%, Universal II 50.3%), lower results in the visual analogue pain scale under stress (BIAX: 1 point; Universal II: 3 points) with higher patient satisfaction (BIAX: 86%; Universal II: 78%).</p><p><strong>Conclusion: </strong>In conclusion, our observations show that the BIAX prosthesis is superior to the Universal II prosthesis 15 years after surgery in terms of survival probability, complication rate and better results in satisfaction, the visual analogue pain scale and the QuickDASH score.</p>","PeriodicalId":8326,"journal":{"name":"Archives of Orthopaedic and Trauma Surgery","volume":"145 1","pages":"389"},"PeriodicalIF":2.1000,"publicationDate":"2025-07-30","publicationTypes":"Journal Article","fieldsOfStudy":null,"isOpenAccess":false,"openAccessPdf":"https://www.ncbi.nlm.nih.gov/pmc/articles/PMC12310860/pdf/","citationCount":"0","resultStr":"{\"title\":\"Total wrist arthroplasty revisited: survival, function, and patient-reported outcomes of BIAX and universal II prostheses over 15 years.\",\"authors\":\"Leonhard Mandl, Alfred Gruber, Raymund E Horch, Resit Demir\",\"doi\":\"10.1007/s00402-025-06005-5\",\"DOIUrl\":null,\"url\":null,\"abstract\":\"<p><strong>Background: </strong>In the management of degenerative osteoarthritis and rheumatoid arthritis of the wrist, surgical intervention remains an important treatment option when conservative approaches such as medication, physiotherapy, and assistive devices prove insufficient. Despite decades of development, no single wrist prosthesis has yet emerged as the definitive standard in total wrist arthroplasty. To address this gap, the German Society for Hand Surgery established the Total Endoprosthesis (TEP) Register in 2004 to systematically collect and evaluate long-term clinical outcomes. The present prospective single-centre study analyses and presents the long-term results of patients enrolled in the TEP register, offering valuable insights into the performance and durability of wrist prostheses in a real-world clinical setting.</p><p><strong>Patients/materials/methods: </strong>Between 2000 and 2011, a total of 29 total endoprostheses were implanted in 25 patients in a single centre study due to severe degenerative changes in the wrist. Of these, 22 had rheumatoid arthritis and 3 degenerative osteoarthritis. The prosthesis models BIAX (N = 13) and Universal II (N = 16) were implanted. The present study describes the mean outcome after a mean observation period of 13.8 (1.7-21.4) years for the BIAX prosthesis and 10.5 years (0.2-16.4) for the Universal II prosthesis.</p><p><strong>Results: </strong>The probability of survival after 15 years is 60% for the BIAX prosthesis and 41% for the Universal II prosthesis. After 21 years, results are only available for the BIAX prosthesis with a value of 60%. The BIAX prosthesis showed a lower complication rate. Subjectively, 15 years postoperatively, the BIAX prosthesis showed a lower mean value in the QuickDASH score (BIAX 33.8%, Universal II 50.3%), lower results in the visual analogue pain scale under stress (BIAX: 1 point; Universal II: 3 points) with higher patient satisfaction (BIAX: 86%; Universal II: 78%).</p><p><strong>Conclusion: </strong>In conclusion, our observations show that the BIAX prosthesis is superior to the Universal II prosthesis 15 years after surgery in terms of survival probability, complication rate and better results in satisfaction, the visual analogue pain scale and the QuickDASH score.</p>\",\"PeriodicalId\":8326,\"journal\":{\"name\":\"Archives of Orthopaedic and Trauma Surgery\",\"volume\":\"145 1\",\"pages\":\"389\"},\"PeriodicalIF\":2.1000,\"publicationDate\":\"2025-07-30\",\"publicationTypes\":\"Journal Article\",\"fieldsOfStudy\":null,\"isOpenAccess\":false,\"openAccessPdf\":\"https://www.ncbi.nlm.nih.gov/pmc/articles/PMC12310860/pdf/\",\"citationCount\":\"0\",\"resultStr\":null,\"platform\":\"Semanticscholar\",\"paperid\":null,\"PeriodicalName\":\"Archives of Orthopaedic and Trauma Surgery\",\"FirstCategoryId\":\"3\",\"ListUrlMain\":\"https://doi.org/10.1007/s00402-025-06005-5\",\"RegionNum\":3,\"RegionCategory\":\"医学\",\"ArticlePicture\":[],\"TitleCN\":null,\"AbstractTextCN\":null,\"PMCID\":null,\"EPubDate\":\"\",\"PubModel\":\"\",\"JCR\":\"Q2\",\"JCRName\":\"ORTHOPEDICS\",\"Score\":null,\"Total\":0}","platform":"Semanticscholar","paperid":null,"PeriodicalName":"Archives of Orthopaedic and Trauma Surgery","FirstCategoryId":"3","ListUrlMain":"https://doi.org/10.1007/s00402-025-06005-5","RegionNum":3,"RegionCategory":"医学","ArticlePicture":[],"TitleCN":null,"AbstractTextCN":null,"PMCID":null,"EPubDate":"","PubModel":"","JCR":"Q2","JCRName":"ORTHOPEDICS","Score":null,"Total":0}
引用次数: 0

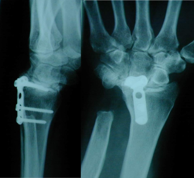
摘要

背景:在手腕退行性骨关节炎和类风湿关节炎的治疗中,当药物、物理治疗和辅助装置等保守方法不足时,手术干预仍然是一种重要的治疗选择。尽管经过几十年的发展,目前还没有一种腕部假体成为全腕部关节置换术的最终标准。为了解决这一差距,德国手外科学会于2004年建立了全人工假体(TEP)登记册,系统地收集和评估长期临床结果。本前瞻性单中心研究分析并展示了TEP注册患者的长期结果,为腕部假体在现实临床环境中的性能和耐用性提供了有价值的见解。患者/材料/方法:在2000年至2011年期间,在一项单中心研究中,由于腕部严重退行性改变,共有25例患者植入了29个全内假体。其中22人患有类风湿关节炎,3人患有退行性骨关节炎。植入BIAX (N = 13)和Universal II (N = 16)假体模型。本研究描述了BIAX假体的平均观察期为13.8(1.7-21.4)年,Universal II假体的平均观察期为10.5年(0.2-16.4)年。结果:BIAX假体15年后的生存率为60%,Universal II假体为41%。21年后,结果仅适用于BIAX假体,价值为60%。BIAX假体并发症发生率较低。主观上,BIAX假体术后15年的QuickDASH评分平均值较低(BIAX 33.8%, Universal II 50.3%),应激下视觉模拟疼痛评分较低(BIAX: 1分;通用II: 3分)患者满意度较高(BIAX: 86%;通用II: 78%)。结论:我们的观察结果表明BIAX假体在术后15年生存率、并发症发生率以及满意度、视觉模拟疼痛评分和QuickDASH评分方面均优于Universal II假体。
本文章由计算机程序翻译,如有差异,请以英文原文为准。

Total wrist arthroplasty revisited: survival, function, and patient-reported outcomes of BIAX and universal II prostheses over 15 years.

Total wrist arthroplasty revisited: survival, function, and patient-reported outcomes of BIAX and universal II prostheses over 15 years.

Total wrist arthroplasty revisited: survival, function, and patient-reported outcomes of BIAX and universal II prostheses over 15 years.

Total wrist arthroplasty revisited: survival, function, and patient-reported outcomes of BIAX and universal II prostheses over 15 years.

Background: In the management of degenerative osteoarthritis and rheumatoid arthritis of the wrist, surgical intervention remains an important treatment option when conservative approaches such as medication, physiotherapy, and assistive devices prove insufficient. Despite decades of development, no single wrist prosthesis has yet emerged as the definitive standard in total wrist arthroplasty. To address this gap, the German Society for Hand Surgery established the Total Endoprosthesis (TEP) Register in 2004 to systematically collect and evaluate long-term clinical outcomes. The present prospective single-centre study analyses and presents the long-term results of patients enrolled in the TEP register, offering valuable insights into the performance and durability of wrist prostheses in a real-world clinical setting.

Patients/materials/methods: Between 2000 and 2011, a total of 29 total endoprostheses were implanted in 25 patients in a single centre study due to severe degenerative changes in the wrist. Of these, 22 had rheumatoid arthritis and 3 degenerative osteoarthritis. The prosthesis models BIAX (N = 13) and Universal II (N = 16) were implanted. The present study describes the mean outcome after a mean observation period of 13.8 (1.7-21.4) years for the BIAX prosthesis and 10.5 years (0.2-16.4) for the Universal II prosthesis.

Results: The probability of survival after 15 years is 60% for the BIAX prosthesis and 41% for the Universal II prosthesis. After 21 years, results are only available for the BIAX prosthesis with a value of 60%. The BIAX prosthesis showed a lower complication rate. Subjectively, 15 years postoperatively, the BIAX prosthesis showed a lower mean value in the QuickDASH score (BIAX 33.8%, Universal II 50.3%), lower results in the visual analogue pain scale under stress (BIAX: 1 point; Universal II: 3 points) with higher patient satisfaction (BIAX: 86%; Universal II: 78%).

Conclusion: In conclusion, our observations show that the BIAX prosthesis is superior to the Universal II prosthesis 15 years after surgery in terms of survival probability, complication rate and better results in satisfaction, the visual analogue pain scale and the QuickDASH score.

求助全文
通过发布文献求助,成功后即可免费获取论文全文。 去求助
来源期刊
CiteScore
4.30
自引率
13.00%
发文量
424
审稿时长
2 months
期刊介绍: "Archives of Orthopaedic and Trauma Surgery" is a rich source of instruction and information for physicians in clinical practice and research in the extensive field of orthopaedics and traumatology. The journal publishes papers that deal with diseases and injuries of the musculoskeletal system from all fields and aspects of medicine. The journal is particularly interested in papers that satisfy the information needs of orthopaedic clinicians and practitioners. The journal places special emphasis on clinical relevance. "Archives of Orthopaedic and Trauma Surgery" is the official journal of the German Speaking Arthroscopy Association (AGA).
×
引用
GB/T 7714-2015
复制
MLA
复制
APA
复制
导出至
BibTeX EndNote RefMan NoteFirst NoteExpress
×
提示
您的信息不完整,为了账户安全,请先补充。
现在去补充
×
提示
您因"违规操作"
具体请查看互助需知
我知道了
×
提示
确定
请完成安全验证×
copy
已复制链接
快去分享给好友吧!
我知道了
右上角分享
点击右上角分享
0
联系我们:info@booksci.cn Book学术提供免费学术资源搜索服务,方便国内外学者检索中英文文献。致力于提供最便捷和优质的服务体验。 Copyright © 2023 布克学术 All rights reserved.
京ICP备2023020795号-1
ghs 京公网安备 11010802042870号
Book学术文献互助
Book学术文献互助群
群 号:604180095
Book学术官方微信