基于黑骨和ct样mri的口腔颌面外伤骨折易发区域的描绘。

IF 1.8
Adib Al-Haj Husain, Peter Kessler, Suen An Nynke Lie, Samuel Drack, Egon Burian, Sameena Sandhu, Maximilian Eberhard Hermann Wagner, Bernd Stadlinger, Thomas Frauenfelder, Giovanni Colacicco, Rubens Spin-Neto, Harald Essig
{"title":"基于黑骨和ct样mri的口腔颌面外伤骨折易发区域的描绘。","authors":"Adib Al-Haj Husain, Peter Kessler, Suen An Nynke Lie, Samuel Drack, Egon Burian, Sameena Sandhu, Maximilian Eberhard Hermann Wagner, Bernd Stadlinger, Thomas Frauenfelder, Giovanni Colacicco, Rubens Spin-Neto, Harald Essig","doi":"10.1007/s10006-025-01431-6","DOIUrl":null,"url":null,"abstract":"<p><strong>Purpose: </strong>To assess the effectiveness and feasibility of MRI-based delineation of fracture-prone regions in the oral and maxillofacial region using Black Bone and CT-like MRI protocols optimized for dentomaxillofacial imaging with a dedicated 15-channel mandibular coil.</p><p><strong>Methods: </strong>In this prospective study, healthy volunteers underwent 3T MRI using five protocols: DESS, SPACE STIR, SPACE SPAIR, T1-VIBE Dixon, and UTE. Eight trauma-prone regions, including the nasal septum, orbit, naso-orbito-ethmoidal (NOE) complex, zygomaticomaxillary complex, Le Fort regions, mandible, condyle, and dentoalveolar complex, were assessed. Image quality, artifacts, anatomical delineation, and bone-to-soft-tissue contrast were rated on a five-point Likert scale by three independent observers. Descriptive statistics and inter-rater agreement (intraclass correlation coefficients (ICCs)) were calculated.</p><p><strong>Results: </strong>Sixteen participants (37.2 ± 12.9 years; 12 males, 4 females) were included, resulting in 80 MRI volumes and 640 regions for evaluation. UTE and VIBE-DIXON sequences achieved the highest ratings for image quality, artifact susceptibility, and anatomical delineation across most fracture-prone regions (ICC: 0.793-1; all p < 0.001). UTE excelled in visualizing NOE and Le Fort regions, while VIBE-DIXON performed best in mandibular and orbital imaging. Bone-to-soft-tissue contrast was highest in UTE and VIBE-DIXON, highlighting their diagnostic potential in simultaneous soft and hard tissue imaging. Inter-rater agreement was consistently high (ICC: 0.772-0.976; all p < 0.001).</p><p><strong>Conclusion: </strong>Dedicated trauma-specific MRI protocols show promising potential as a radiation-free modality for maxillofacial trauma imaging, particularly in young adults and pediatric patients. The strengths of each protocol highlight the need for tailored sequence selection to optimize diagnostic accuracy and personalized care.</p><p><strong>Trial registration number: </strong>Swiss National Clinical Trials Portal: SNCTP000005246.</p>","PeriodicalId":520733,"journal":{"name":"Oral and maxillofacial surgery","volume":"29 1","pages":"136"},"PeriodicalIF":1.8000,"publicationDate":"2025-07-28","publicationTypes":"Journal Article","fieldsOfStudy":null,"isOpenAccess":false,"openAccessPdf":"https://www.ncbi.nlm.nih.gov/pmc/articles/PMC12304013/pdf/","citationCount":"0","resultStr":"{\"title\":\"Black bone and CT-like MRI-based delineation of fracture-prone regions in oral and maxillofacial trauma.\",\"authors\":\"Adib Al-Haj Husain, Peter Kessler, Suen An Nynke Lie, Samuel Drack, Egon Burian, Sameena Sandhu, Maximilian Eberhard Hermann Wagner, Bernd Stadlinger, Thomas Frauenfelder, Giovanni Colacicco, Rubens Spin-Neto, Harald Essig\",\"doi\":\"10.1007/s10006-025-01431-6\",\"DOIUrl\":null,\"url\":null,\"abstract\":\"<p><strong>Purpose: </strong>To assess the effectiveness and feasibility of MRI-based delineation of fracture-prone regions in the oral and maxillofacial region using Black Bone and CT-like MRI protocols optimized for dentomaxillofacial imaging with a dedicated 15-channel mandibular coil.</p><p><strong>Methods: </strong>In this prospective study, healthy volunteers underwent 3T MRI using five protocols: DESS, SPACE STIR, SPACE SPAIR, T1-VIBE Dixon, and UTE. Eight trauma-prone regions, including the nasal septum, orbit, naso-orbito-ethmoidal (NOE) complex, zygomaticomaxillary complex, Le Fort regions, mandible, condyle, and dentoalveolar complex, were assessed. Image quality, artifacts, anatomical delineation, and bone-to-soft-tissue contrast were rated on a five-point Likert scale by three independent observers. Descriptive statistics and inter-rater agreement (intraclass correlation coefficients (ICCs)) were calculated.</p><p><strong>Results: </strong>Sixteen participants (37.2 ± 12.9 years; 12 males, 4 females) were included, resulting in 80 MRI volumes and 640 regions for evaluation. UTE and VIBE-DIXON sequences achieved the highest ratings for image quality, artifact susceptibility, and anatomical delineation across most fracture-prone regions (ICC: 0.793-1; all p < 0.001). UTE excelled in visualizing NOE and Le Fort regions, while VIBE-DIXON performed best in mandibular and orbital imaging. Bone-to-soft-tissue contrast was highest in UTE and VIBE-DIXON, highlighting their diagnostic potential in simultaneous soft and hard tissue imaging. Inter-rater agreement was consistently high (ICC: 0.772-0.976; all p < 0.001).</p><p><strong>Conclusion: </strong>Dedicated trauma-specific MRI protocols show promising potential as a radiation-free modality for maxillofacial trauma imaging, particularly in young adults and pediatric patients. The strengths of each protocol highlight the need for tailored sequence selection to optimize diagnostic accuracy and personalized care.</p><p><strong>Trial registration number: </strong>Swiss National Clinical Trials Portal: SNCTP000005246.</p>\",\"PeriodicalId\":520733,\"journal\":{\"name\":\"Oral and maxillofacial surgery\",\"volume\":\"29 1\",\"pages\":\"136\"},\"PeriodicalIF\":1.8000,\"publicationDate\":\"2025-07-28\",\"publicationTypes\":\"Journal Article\",\"fieldsOfStudy\":null,\"isOpenAccess\":false,\"openAccessPdf\":\"https://www.ncbi.nlm.nih.gov/pmc/articles/PMC12304013/pdf/\",\"citationCount\":\"0\",\"resultStr\":null,\"platform\":\"Semanticscholar\",\"paperid\":null,\"PeriodicalName\":\"Oral and maxillofacial surgery\",\"FirstCategoryId\":\"1085\",\"ListUrlMain\":\"https://doi.org/10.1007/s10006-025-01431-6\",\"RegionNum\":0,\"RegionCategory\":null,\"ArticlePicture\":[],\"TitleCN\":null,\"AbstractTextCN\":null,\"PMCID\":null,\"EPubDate\":\"\",\"PubModel\":\"\",\"JCR\":\"\",\"JCRName\":\"\",\"Score\":null,\"Total\":0}","platform":"Semanticscholar","paperid":null,"PeriodicalName":"Oral and maxillofacial surgery","FirstCategoryId":"1085","ListUrlMain":"https://doi.org/10.1007/s10006-025-01431-6","RegionNum":0,"RegionCategory":null,"ArticlePicture":[],"TitleCN":null,"AbstractTextCN":null,"PMCID":null,"EPubDate":"","PubModel":"","JCR":"","JCRName":"","Score":null,"Total":0}
引用次数: 0

摘要

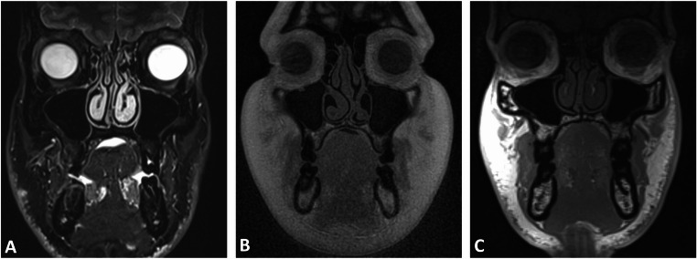
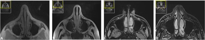
目的:评估基于MRI的口腔颌面部骨折易发区域描绘的有效性和可行性,使用黑骨和优化的ct样MRI方案,使用专用的15通道下颌线圈进行牙颌面成像。方法:在这项前瞻性研究中,健康志愿者使用5种方案进行3T MRI检查:DESS、SPACE STIR、SPACE SPAIR、T1-VIBE Dixon和UTE。评估了8个易受创伤的区域,包括鼻中隔、眼眶、鼻-眶-筛复合体、颧-腋复合体、Le Fort区、下颌骨、髁突和牙槽复合体。图像质量、伪影、解剖描绘和骨骼与软组织对比由三名独立观察者按照李克特5分制进行评分。计算描述性统计和分级间一致性(类内相关系数(ICCs))。结果:16例(37.2±12.9岁);纳入12名男性,4名女性),产生80个MRI体积和640个区域进行评估。UTE和VIBE-DIXON序列在大多数骨折易发区域的图像质量、假影敏感性和解剖描绘方面获得了最高评级(ICC: 0.793-1;结论:专门的创伤特异性MRI方案显示出作为颌面部创伤成像的无辐射模式的潜力,特别是在年轻人和儿科患者中。每个方案的优势突出了需要量身定制的序列选择,以优化诊断准确性和个性化护理。试验注册号:瑞士国家临床试验门户:SNCTP000005246。
本文章由计算机程序翻译,如有差异,请以英文原文为准。

Black bone and CT-like MRI-based delineation of fracture-prone regions in oral and maxillofacial trauma.

Black bone and CT-like MRI-based delineation of fracture-prone regions in oral and maxillofacial trauma.

Black bone and CT-like MRI-based delineation of fracture-prone regions in oral and maxillofacial trauma.

Black bone and CT-like MRI-based delineation of fracture-prone regions in oral and maxillofacial trauma.

Purpose: To assess the effectiveness and feasibility of MRI-based delineation of fracture-prone regions in the oral and maxillofacial region using Black Bone and CT-like MRI protocols optimized for dentomaxillofacial imaging with a dedicated 15-channel mandibular coil.

Methods: In this prospective study, healthy volunteers underwent 3T MRI using five protocols: DESS, SPACE STIR, SPACE SPAIR, T1-VIBE Dixon, and UTE. Eight trauma-prone regions, including the nasal septum, orbit, naso-orbito-ethmoidal (NOE) complex, zygomaticomaxillary complex, Le Fort regions, mandible, condyle, and dentoalveolar complex, were assessed. Image quality, artifacts, anatomical delineation, and bone-to-soft-tissue contrast were rated on a five-point Likert scale by three independent observers. Descriptive statistics and inter-rater agreement (intraclass correlation coefficients (ICCs)) were calculated.

Results: Sixteen participants (37.2 ± 12.9 years; 12 males, 4 females) were included, resulting in 80 MRI volumes and 640 regions for evaluation. UTE and VIBE-DIXON sequences achieved the highest ratings for image quality, artifact susceptibility, and anatomical delineation across most fracture-prone regions (ICC: 0.793-1; all p < 0.001). UTE excelled in visualizing NOE and Le Fort regions, while VIBE-DIXON performed best in mandibular and orbital imaging. Bone-to-soft-tissue contrast was highest in UTE and VIBE-DIXON, highlighting their diagnostic potential in simultaneous soft and hard tissue imaging. Inter-rater agreement was consistently high (ICC: 0.772-0.976; all p < 0.001).

Conclusion: Dedicated trauma-specific MRI protocols show promising potential as a radiation-free modality for maxillofacial trauma imaging, particularly in young adults and pediatric patients. The strengths of each protocol highlight the need for tailored sequence selection to optimize diagnostic accuracy and personalized care.

Trial registration number: Swiss National Clinical Trials Portal: SNCTP000005246.

求助全文
通过发布文献求助,成功后即可免费获取论文全文。 去求助
来源期刊
自引率
0.00%
发文量
0
×
引用
GB/T 7714-2015
复制
MLA
复制
APA
复制
导出至
BibTeX EndNote RefMan NoteFirst NoteExpress
×
提示
您的信息不完整,为了账户安全,请先补充。
现在去补充
×
提示
您因"违规操作"
具体请查看互助需知
我知道了
×
提示
确定
请完成安全验证×
copy
已复制链接
快去分享给好友吧!
我知道了
右上角分享
点击右上角分享
0
联系我们:info@booksci.cn Book学术提供免费学术资源搜索服务,方便国内外学者检索中英文文献。致力于提供最便捷和优质的服务体验。 Copyright © 2023 布克学术 All rights reserved.
京ICP备2023020795号-1
ghs 京公网安备 11010802042870号
Book学术文献互助
Book学术文献互助群
群 号:604180095
Book学术官方微信