无声错位:一年多后发现左心室无导联起搏器——它是如何在那里结束的?这能解释中风吗?

IF 0.4 Q3 MEDICINE, GENERAL & INTERNAL
Oxford Medical Case Reports Pub Date : 2025-07-27 eCollection Date: 2025-07-01 DOI:10.1093/omcr/omaf117
Abdalhakim Shubietah, Amir Singh, Qutaiba Qafisheh, Pouyan Razminia, Muath Baniowda, Abdalrahman Assaassa, Hosam I Taha, Roaa Aljunaidi
{"title":"无声错位:一年多后发现左心室无导联起搏器——它是如何在那里结束的?这能解释中风吗?","authors":"Abdalhakim Shubietah, Amir Singh, Qutaiba Qafisheh, Pouyan Razminia, Muath Baniowda, Abdalrahman Assaassa, Hosam I Taha, Roaa Aljunaidi","doi":"10.1093/omcr/omaf117","DOIUrl":null,"url":null,"abstract":"<p><p><b>Introduction</b>: Leadless intracardiac pacemakers (LICPs) reduce lead-related complications but may be malpositioned in patients with unrecognized structural defects. We report a 69-year-old man with high-grade AV block whose LICP, intended for right ventricular placement, was found in the left ventricle via an undiagnosed ostium secundum ASD after presenting with multifocal embolic strokes 16 months later. <b>Case Presentation</b>: Stroke workup for acute right-sided symptoms revealed the LICP in the LV and a large, previously undiagnosed ASD with bidirectional shunting and severe pulmonary hypertension. Embolic infarcts were attributed to either paradoxical embolism or device-related thromboembolism. Due to high surgical risk, the device was left in place; heparin was started with plans to bridge to warfarin. The patient later declined percutaneous ASD closure. <b>Conclusion</b>: This case highlights the risk of LICP misplacement via an unrecognized ASD and underscores the need for structural evaluation before implantation, even without clinical suspicion.</p>","PeriodicalId":45318,"journal":{"name":"Oxford Medical Case Reports","volume":"2025 7","pages":"omaf117"},"PeriodicalIF":0.4000,"publicationDate":"2025-07-27","publicationTypes":"Journal Article","fieldsOfStudy":null,"isOpenAccess":false,"openAccessPdf":"https://www.ncbi.nlm.nih.gov/pmc/articles/PMC12296343/pdf/","citationCount":"0","resultStr":"{\"title\":\"Silent misplacement: leadless pacemaker in the left ventricle discovered over a year later-How did it end up there? Could it explain the stroke?\",\"authors\":\"Abdalhakim Shubietah, Amir Singh, Qutaiba Qafisheh, Pouyan Razminia, Muath Baniowda, Abdalrahman Assaassa, Hosam I Taha, Roaa Aljunaidi\",\"doi\":\"10.1093/omcr/omaf117\",\"DOIUrl\":null,\"url\":null,\"abstract\":\"<p><p><b>Introduction</b>: Leadless intracardiac pacemakers (LICPs) reduce lead-related complications but may be malpositioned in patients with unrecognized structural defects. We report a 69-year-old man with high-grade AV block whose LICP, intended for right ventricular placement, was found in the left ventricle via an undiagnosed ostium secundum ASD after presenting with multifocal embolic strokes 16 months later. <b>Case Presentation</b>: Stroke workup for acute right-sided symptoms revealed the LICP in the LV and a large, previously undiagnosed ASD with bidirectional shunting and severe pulmonary hypertension. Embolic infarcts were attributed to either paradoxical embolism or device-related thromboembolism. Due to high surgical risk, the device was left in place; heparin was started with plans to bridge to warfarin. The patient later declined percutaneous ASD closure. <b>Conclusion</b>: This case highlights the risk of LICP misplacement via an unrecognized ASD and underscores the need for structural evaluation before implantation, even without clinical suspicion.</p>\",\"PeriodicalId\":45318,\"journal\":{\"name\":\"Oxford Medical Case Reports\",\"volume\":\"2025 7\",\"pages\":\"omaf117\"},\"PeriodicalIF\":0.4000,\"publicationDate\":\"2025-07-27\",\"publicationTypes\":\"Journal Article\",\"fieldsOfStudy\":null,\"isOpenAccess\":false,\"openAccessPdf\":\"https://www.ncbi.nlm.nih.gov/pmc/articles/PMC12296343/pdf/\",\"citationCount\":\"0\",\"resultStr\":null,\"platform\":\"Semanticscholar\",\"paperid\":null,\"PeriodicalName\":\"Oxford Medical Case Reports\",\"FirstCategoryId\":\"1085\",\"ListUrlMain\":\"https://doi.org/10.1093/omcr/omaf117\",\"RegionNum\":0,\"RegionCategory\":null,\"ArticlePicture\":[],\"TitleCN\":null,\"AbstractTextCN\":null,\"PMCID\":null,\"EPubDate\":\"2025/7/1 0:00:00\",\"PubModel\":\"eCollection\",\"JCR\":\"Q3\",\"JCRName\":\"MEDICINE, GENERAL & INTERNAL\",\"Score\":null,\"Total\":0}","platform":"Semanticscholar","paperid":null,"PeriodicalName":"Oxford Medical Case Reports","FirstCategoryId":"1085","ListUrlMain":"https://doi.org/10.1093/omcr/omaf117","RegionNum":0,"RegionCategory":null,"ArticlePicture":[],"TitleCN":null,"AbstractTextCN":null,"PMCID":null,"EPubDate":"2025/7/1 0:00:00","PubModel":"eCollection","JCR":"Q3","JCRName":"MEDICINE, GENERAL & INTERNAL","Score":null,"Total":0}
引用次数: 0

摘要

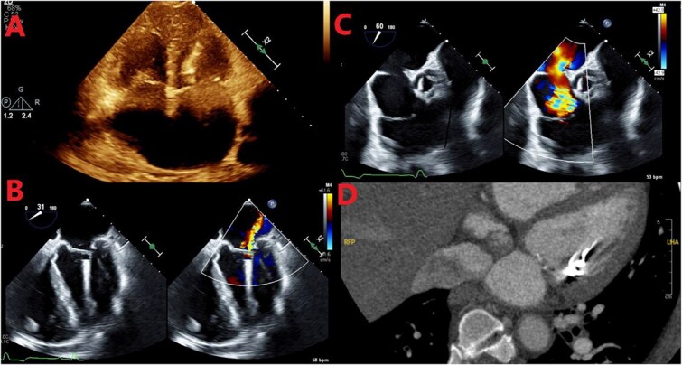
导读:无铅心内起搏器(LICPs)减少了与铅相关的并发症,但可能在有未被识别的结构缺陷的患者中定位不当。我们报告了一名69岁男性患者,其高级别房室传导阻滞,其LICP原计划放置于右心室,在16个月后出现多灶栓塞性中风,经未确诊的第二口ASD在左心室被发现。病例介绍:急性右侧症状的卒中检查显示左室LICP和一个大的,以前未诊断的ASD,双向分流和严重的肺动脉高压。栓塞性梗死可归因于矛盾栓塞或器械相关的血栓栓塞。由于手术风险高,设备被留在原位;肝素开始时计划与华法林衔接。患者后来拒绝了经皮ASD闭合术。结论:本病例强调了LICP通过未被识别的ASD而错位的风险,并强调了在植入前进行结构评估的必要性,即使没有临床怀疑。
本文章由计算机程序翻译,如有差异,请以英文原文为准。

Silent misplacement: leadless pacemaker in the left ventricle discovered over a year later-How did it end up there? Could it explain the stroke?

Silent misplacement: leadless pacemaker in the left ventricle discovered over a year later-How did it end up there? Could it explain the stroke?

Introduction: Leadless intracardiac pacemakers (LICPs) reduce lead-related complications but may be malpositioned in patients with unrecognized structural defects. We report a 69-year-old man with high-grade AV block whose LICP, intended for right ventricular placement, was found in the left ventricle via an undiagnosed ostium secundum ASD after presenting with multifocal embolic strokes 16 months later. Case Presentation: Stroke workup for acute right-sided symptoms revealed the LICP in the LV and a large, previously undiagnosed ASD with bidirectional shunting and severe pulmonary hypertension. Embolic infarcts were attributed to either paradoxical embolism or device-related thromboembolism. Due to high surgical risk, the device was left in place; heparin was started with plans to bridge to warfarin. The patient later declined percutaneous ASD closure. Conclusion: This case highlights the risk of LICP misplacement via an unrecognized ASD and underscores the need for structural evaluation before implantation, even without clinical suspicion.

求助全文
通过发布文献求助,成功后即可免费获取论文全文。 去求助
来源期刊
Oxford Medical Case Reports
Oxford Medical Case Reports MEDICINE, GENERAL & INTERNAL-
CiteScore
0.90
自引率
0.00%
发文量
125
审稿时长
19 weeks
期刊介绍: Oxford Medical Case Reports (OMCR) is an open access, peer-reviewed online journal publishing original and educationally valuable case reports that expand the field of medicine. The journal covers all medical specialities including cardiology, rheumatology, nephrology, oncology, neurology, and reproduction, comprising a comprehensive resource for physicians in all fields and at all stages of training. Oxford Medical Case Reports deposits all articles in PubMed Central (PMC). Physicians and researchers can find your work through PubMed , helping you reach the widest possible audience. The journal is also indexed in the Web of Science Core Collection . Oxford Medical Case Reports publishes case reports under the following categories: Allergy Audiovestibular medicine Cardiology and cardiovascular systems Critical care medicine Dermatology Emergency medicine Endocrinology and metabolism Gastroenterology and hepatology Geriatrics and gerontology Haematology Immunology Infectious diseases and tropical medicine Medical disorders in pregnancy Medical ophthalmology Nephrology Neurology Oncology Paediatrics Pain Palliative medicine Pharmacology and pharmacy Psychiatry Radiology, nuclear medicine, and medical imaging Respiratory disorders Rheumatology Sexual and reproductive health Sports Medicine Substance abuse.
×
引用
GB/T 7714-2015
复制
MLA
复制
APA
复制
导出至
BibTeX EndNote RefMan NoteFirst NoteExpress
×
提示
您的信息不完整,为了账户安全,请先补充。
现在去补充
×
提示
您因"违规操作"
具体请查看互助需知
我知道了
×
提示
确定
请完成安全验证×
copy
已复制链接
快去分享给好友吧!
我知道了
右上角分享
点击右上角分享
0
联系我们:info@booksci.cn Book学术提供免费学术资源搜索服务,方便国内外学者检索中英文文献。致力于提供最便捷和优质的服务体验。 Copyright © 2023 布克学术 All rights reserved.
京ICP备2023020795号-1
ghs 京公网安备 11010802042870号
Book学术文献互助
Book学术文献互助群
群 号:604180095
Book学术官方微信