病例报告:梅-瑟纳综合征:早期诊断和干预在一个年轻的健康妇女。

IF 0.4 Q3 MEDICINE, GENERAL & INTERNAL
Oxford Medical Case Reports Pub Date : 2025-07-27 eCollection Date: 2025-07-01 DOI:10.1093/omcr/omaf108
Zishan Rahman, Palvi Mroke, Saba Tariq, Naveed Khan, Fatima Tariq, Ernesto Calderon Martínez, Imran Baig
{"title":"病例报告:梅-瑟纳综合征:早期诊断和干预在一个年轻的健康妇女。","authors":"Zishan Rahman, Palvi Mroke, Saba Tariq, Naveed Khan, Fatima Tariq, Ernesto Calderon Martínez, Imran Baig","doi":"10.1093/omcr/omaf108","DOIUrl":null,"url":null,"abstract":"<p><p>May-Thurner Syndrome (MTS) is caused by left common iliac vein compression, resulting in deep vein thrombosis (DVT). MTS is usually asymptomatic until DVT occurs. Our case features a 37-year-old woman who presented with swelling and pain in her left leg after recent travel and oral contraceptive use. Venous duplex ultrasound confirmed DVT and CT angiogram excluded pulmonary embolism. She received Heparin anticoagulation and underwent mechanical thrombectomy and stenting. Her symptoms improved within two days, and she was discharged on Apixaban and Plavix. This case involves a unique patient presentation of MTS, involving young woman with unexplained left-sided DVT, a scenario typically seen in older patients with clotting disorders.</p>","PeriodicalId":45318,"journal":{"name":"Oxford Medical Case Reports","volume":"2025 7","pages":"omaf108"},"PeriodicalIF":0.4000,"publicationDate":"2025-07-27","publicationTypes":"Journal Article","fieldsOfStudy":null,"isOpenAccess":false,"openAccessPdf":"https://www.ncbi.nlm.nih.gov/pmc/articles/PMC12296333/pdf/","citationCount":"0","resultStr":"{\"title\":\"Case report: may-Thurner syndrome: early diagnosis and intervention in a young healthy woman.\",\"authors\":\"Zishan Rahman, Palvi Mroke, Saba Tariq, Naveed Khan, Fatima Tariq, Ernesto Calderon Martínez, Imran Baig\",\"doi\":\"10.1093/omcr/omaf108\",\"DOIUrl\":null,\"url\":null,\"abstract\":\"<p><p>May-Thurner Syndrome (MTS) is caused by left common iliac vein compression, resulting in deep vein thrombosis (DVT). MTS is usually asymptomatic until DVT occurs. Our case features a 37-year-old woman who presented with swelling and pain in her left leg after recent travel and oral contraceptive use. Venous duplex ultrasound confirmed DVT and CT angiogram excluded pulmonary embolism. She received Heparin anticoagulation and underwent mechanical thrombectomy and stenting. Her symptoms improved within two days, and she was discharged on Apixaban and Plavix. This case involves a unique patient presentation of MTS, involving young woman with unexplained left-sided DVT, a scenario typically seen in older patients with clotting disorders.</p>\",\"PeriodicalId\":45318,\"journal\":{\"name\":\"Oxford Medical Case Reports\",\"volume\":\"2025 7\",\"pages\":\"omaf108\"},\"PeriodicalIF\":0.4000,\"publicationDate\":\"2025-07-27\",\"publicationTypes\":\"Journal Article\",\"fieldsOfStudy\":null,\"isOpenAccess\":false,\"openAccessPdf\":\"https://www.ncbi.nlm.nih.gov/pmc/articles/PMC12296333/pdf/\",\"citationCount\":\"0\",\"resultStr\":null,\"platform\":\"Semanticscholar\",\"paperid\":null,\"PeriodicalName\":\"Oxford Medical Case Reports\",\"FirstCategoryId\":\"1085\",\"ListUrlMain\":\"https://doi.org/10.1093/omcr/omaf108\",\"RegionNum\":0,\"RegionCategory\":null,\"ArticlePicture\":[],\"TitleCN\":null,\"AbstractTextCN\":null,\"PMCID\":null,\"EPubDate\":\"2025/7/1 0:00:00\",\"PubModel\":\"eCollection\",\"JCR\":\"Q3\",\"JCRName\":\"MEDICINE, GENERAL & INTERNAL\",\"Score\":null,\"Total\":0}","platform":"Semanticscholar","paperid":null,"PeriodicalName":"Oxford Medical Case Reports","FirstCategoryId":"1085","ListUrlMain":"https://doi.org/10.1093/omcr/omaf108","RegionNum":0,"RegionCategory":null,"ArticlePicture":[],"TitleCN":null,"AbstractTextCN":null,"PMCID":null,"EPubDate":"2025/7/1 0:00:00","PubModel":"eCollection","JCR":"Q3","JCRName":"MEDICINE, GENERAL & INTERNAL","Score":null,"Total":0}
引用次数: 0

摘要

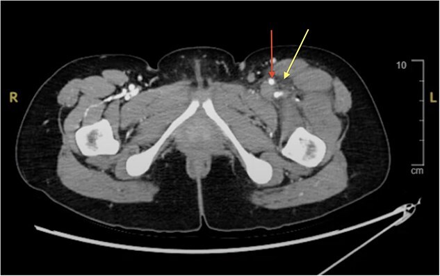
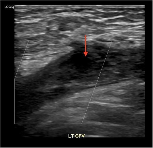
梅-瑟纳综合征(May-Thurner Syndrome, MTS)是由于左髂总静脉受压而导致深静脉血栓形成(DVT)。在深静脉血栓形成之前,MTS通常是无症状的。我们的病例是一名37岁的女性,她在最近的旅行和口服避孕药后出现左腿肿胀和疼痛。静脉双工超声证实深静脉血栓,CT血管造影排除肺栓塞。她接受了肝素抗凝治疗,并接受了机械取栓和支架置入术。她的症状在两天内得到改善,并在阿哌沙班和普拉维克斯的治疗下出院。该病例涉及一种独特的MTS患者表现,涉及一名患有不明原因左侧深静脉血栓的年轻女性,这种情况通常见于老年凝血障碍患者。
本文章由计算机程序翻译,如有差异,请以英文原文为准。

Case report: may-Thurner syndrome: early diagnosis and intervention in a young healthy woman.

Case report: may-Thurner syndrome: early diagnosis and intervention in a young healthy woman.

Case report: may-Thurner syndrome: early diagnosis and intervention in a young healthy woman.

Case report: may-Thurner syndrome: early diagnosis and intervention in a young healthy woman.

May-Thurner Syndrome (MTS) is caused by left common iliac vein compression, resulting in deep vein thrombosis (DVT). MTS is usually asymptomatic until DVT occurs. Our case features a 37-year-old woman who presented with swelling and pain in her left leg after recent travel and oral contraceptive use. Venous duplex ultrasound confirmed DVT and CT angiogram excluded pulmonary embolism. She received Heparin anticoagulation and underwent mechanical thrombectomy and stenting. Her symptoms improved within two days, and she was discharged on Apixaban and Plavix. This case involves a unique patient presentation of MTS, involving young woman with unexplained left-sided DVT, a scenario typically seen in older patients with clotting disorders.

求助全文
通过发布文献求助,成功后即可免费获取论文全文。 去求助
来源期刊
Oxford Medical Case Reports
Oxford Medical Case Reports MEDICINE, GENERAL & INTERNAL-
CiteScore
0.90
自引率
0.00%
发文量
125
审稿时长
19 weeks
期刊介绍: Oxford Medical Case Reports (OMCR) is an open access, peer-reviewed online journal publishing original and educationally valuable case reports that expand the field of medicine. The journal covers all medical specialities including cardiology, rheumatology, nephrology, oncology, neurology, and reproduction, comprising a comprehensive resource for physicians in all fields and at all stages of training. Oxford Medical Case Reports deposits all articles in PubMed Central (PMC). Physicians and researchers can find your work through PubMed , helping you reach the widest possible audience. The journal is also indexed in the Web of Science Core Collection . Oxford Medical Case Reports publishes case reports under the following categories: Allergy Audiovestibular medicine Cardiology and cardiovascular systems Critical care medicine Dermatology Emergency medicine Endocrinology and metabolism Gastroenterology and hepatology Geriatrics and gerontology Haematology Immunology Infectious diseases and tropical medicine Medical disorders in pregnancy Medical ophthalmology Nephrology Neurology Oncology Paediatrics Pain Palliative medicine Pharmacology and pharmacy Psychiatry Radiology, nuclear medicine, and medical imaging Respiratory disorders Rheumatology Sexual and reproductive health Sports Medicine Substance abuse.
×
引用
GB/T 7714-2015
复制
MLA
复制
APA
复制
导出至
BibTeX EndNote RefMan NoteFirst NoteExpress
×
提示
您的信息不完整,为了账户安全,请先补充。
现在去补充
×
提示
您因"违规操作"
具体请查看互助需知
我知道了
×
提示
确定
请完成安全验证×
copy
已复制链接
快去分享给好友吧!
我知道了
右上角分享
点击右上角分享
0
联系我们:info@booksci.cn Book学术提供免费学术资源搜索服务,方便国内外学者检索中英文文献。致力于提供最便捷和优质的服务体验。 Copyright © 2023 布克学术 All rights reserved.
京ICP备2023020795号-1
ghs 京公网安备 11010802042870号
Book学术文献互助
Book学术文献互助群
群 号:604180095
Book学术官方微信