肾移植后播散性诺卡菌病的诊断挑战:1例报告。

IF 0.8 Q3 MEDICINE, GENERAL & INTERNAL
Yi Lin, Minqi Xu, Helen Genis, Nisha Andany, Lina Chen
{"title":"肾移植后播散性诺卡菌病的诊断挑战:1例报告。","authors":"Yi Lin, Minqi Xu, Helen Genis, Nisha Andany, Lina Chen","doi":"10.3390/reports8030111","DOIUrl":null,"url":null,"abstract":"<p><p>Disseminated nocardiosis is a rare, life-threatening infection, often misdiagnosed due to its resemblance to other conditions. We report a case of disseminated nocardiosis in a 62-year-old post-renal transplant patient presenting with pulmonary, hepatic, and pancreatic lesions. Despite multiple negative bacterial cultures, a histopathological examination of the liver revealed necrotizing granulomas with filamentous microorganisms, ultimately identified as <i>Nocardia</i>. This case highlights diagnostic challenges and the importance of integrating microbiological, pathological, and radiographical findings to manage and diagnose disseminated nocardiosis infections in immunocompromised individuals.</p>","PeriodicalId":74664,"journal":{"name":"Reports (MDPI)","volume":"8 3","pages":""},"PeriodicalIF":0.8000,"publicationDate":"2025-07-17","publicationTypes":"Journal Article","fieldsOfStudy":null,"isOpenAccess":false,"openAccessPdf":"https://www.ncbi.nlm.nih.gov/pmc/articles/PMC12285970/pdf/","citationCount":"0","resultStr":"{\"title\":\"The Diagnostic Challenges of Disseminated Nocardiosis in a Post-Renal Transplant Patient: A Case Report.\",\"authors\":\"Yi Lin, Minqi Xu, Helen Genis, Nisha Andany, Lina Chen\",\"doi\":\"10.3390/reports8030111\",\"DOIUrl\":null,\"url\":null,\"abstract\":\"<p><p>Disseminated nocardiosis is a rare, life-threatening infection, often misdiagnosed due to its resemblance to other conditions. We report a case of disseminated nocardiosis in a 62-year-old post-renal transplant patient presenting with pulmonary, hepatic, and pancreatic lesions. Despite multiple negative bacterial cultures, a histopathological examination of the liver revealed necrotizing granulomas with filamentous microorganisms, ultimately identified as <i>Nocardia</i>. This case highlights diagnostic challenges and the importance of integrating microbiological, pathological, and radiographical findings to manage and diagnose disseminated nocardiosis infections in immunocompromised individuals.</p>\",\"PeriodicalId\":74664,\"journal\":{\"name\":\"Reports (MDPI)\",\"volume\":\"8 3\",\"pages\":\"\"},\"PeriodicalIF\":0.8000,\"publicationDate\":\"2025-07-17\",\"publicationTypes\":\"Journal Article\",\"fieldsOfStudy\":null,\"isOpenAccess\":false,\"openAccessPdf\":\"https://www.ncbi.nlm.nih.gov/pmc/articles/PMC12285970/pdf/\",\"citationCount\":\"0\",\"resultStr\":null,\"platform\":\"Semanticscholar\",\"paperid\":null,\"PeriodicalName\":\"Reports (MDPI)\",\"FirstCategoryId\":\"1085\",\"ListUrlMain\":\"https://doi.org/10.3390/reports8030111\",\"RegionNum\":0,\"RegionCategory\":null,\"ArticlePicture\":[],\"TitleCN\":null,\"AbstractTextCN\":null,\"PMCID\":null,\"EPubDate\":\"\",\"PubModel\":\"\",\"JCR\":\"Q3\",\"JCRName\":\"MEDICINE, GENERAL & INTERNAL\",\"Score\":null,\"Total\":0}","platform":"Semanticscholar","paperid":null,"PeriodicalName":"Reports (MDPI)","FirstCategoryId":"1085","ListUrlMain":"https://doi.org/10.3390/reports8030111","RegionNum":0,"RegionCategory":null,"ArticlePicture":[],"TitleCN":null,"AbstractTextCN":null,"PMCID":null,"EPubDate":"","PubModel":"","JCR":"Q3","JCRName":"MEDICINE, GENERAL & INTERNAL","Score":null,"Total":0}
引用次数: 0

摘要

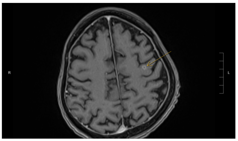
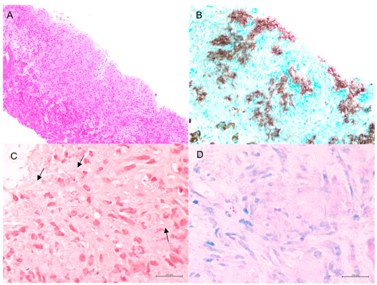
播散性诺卡菌病是一种罕见的、危及生命的感染,常因其与其他疾病相似而被误诊。我们报告一个62岁肾移植后患者播散性诺卡菌病,表现为肺、肝和胰腺病变。尽管多次阴性细菌培养,肝脏的组织病理学检查显示坏死性肉芽肿与丝状微生物,最终确定为诺卡菌。本病例突出了诊断方面的挑战,以及综合微生物学、病理学和放射学检查结果来管理和诊断免疫功能低下个体播散性诺卡菌病感染的重要性。
本文章由计算机程序翻译,如有差异,请以英文原文为准。

The Diagnostic Challenges of Disseminated Nocardiosis in a Post-Renal Transplant Patient: A Case Report.

The Diagnostic Challenges of Disseminated Nocardiosis in a Post-Renal Transplant Patient: A Case Report.

The Diagnostic Challenges of Disseminated Nocardiosis in a Post-Renal Transplant Patient: A Case Report.

The Diagnostic Challenges of Disseminated Nocardiosis in a Post-Renal Transplant Patient: A Case Report.

Disseminated nocardiosis is a rare, life-threatening infection, often misdiagnosed due to its resemblance to other conditions. We report a case of disseminated nocardiosis in a 62-year-old post-renal transplant patient presenting with pulmonary, hepatic, and pancreatic lesions. Despite multiple negative bacterial cultures, a histopathological examination of the liver revealed necrotizing granulomas with filamentous microorganisms, ultimately identified as Nocardia. This case highlights diagnostic challenges and the importance of integrating microbiological, pathological, and radiographical findings to manage and diagnose disseminated nocardiosis infections in immunocompromised individuals.

求助全文
通过发布文献求助,成功后即可免费获取论文全文。 去求助
来源期刊
自引率
0.00%
发文量
0
审稿时长
11 weeks
×
引用
GB/T 7714-2015
复制
MLA
复制
APA
复制
导出至
BibTeX EndNote RefMan NoteFirst NoteExpress
×
提示
您的信息不完整,为了账户安全,请先补充。
现在去补充
×
提示
您因"违规操作"
具体请查看互助需知
我知道了
×
提示
确定
请完成安全验证×
copy
已复制链接
快去分享给好友吧!
我知道了
右上角分享
点击右上角分享
0
联系我们:info@booksci.cn Book学术提供免费学术资源搜索服务,方便国内外学者检索中英文文献。致力于提供最便捷和优质的服务体验。 Copyright © 2023 布克学术 All rights reserved.
京ICP备2023020795号-1
ghs 京公网安备 11010802042870号
Book学术文献互助
Book学术文献互助群
群 号:604180095
Book学术官方微信