维生素原A类胡萝卜素(β-隐黄质)改善成熟大鼠睾丸缺血再灌注损伤。

IF 1.1 4区 农林科学 Q3 ZOOLOGY
Veterinary Research Forum Pub Date : 2025-01-01 Epub Date: 2025-05-15 DOI:10.30466/vrf.2025.2046637.4559
Kianoush Mohammadnehjad, Rahim Mohammadi, Ali Soleimanzadeh, Ali Shalizar-Jalali, Farshid Sarrafzadeh-Rezaei
{"title":"维生素原A类胡萝卜素(β-隐黄质)改善成熟大鼠睾丸缺血再灌注损伤。","authors":"Kianoush Mohammadnehjad, Rahim Mohammadi, Ali Soleimanzadeh, Ali Shalizar-Jalali, Farshid Sarrafzadeh-Rezaei","doi":"10.30466/vrf.2025.2046637.4559","DOIUrl":null,"url":null,"abstract":"<p><p>Buildup of reactive oxygen species during testicular torsion causes oxidative stress and ischemia-reperfusion (I/R) injury in testis. The purpose of this study was to investigate influence of β-cryptoxanthin (BCX) on I/R injury in testicular torsion/detorsion in mature rats. Thirty mature male Wistar rats were divided into five groups of six animals each, including sham group: In this group, midline incision of the scrotum was performed and the testicles were taken out for 2 hr with a 720-degree rotation, I/R group: In this group, midline incision of the scrotum was performed and the testicles were taken out and undergone ischemia for 2 hr with a 720-degree rotation, I/R/Oil group: In this group, a midline scrotum cut was performed, the testicles were taken out, ischemia was created for 2 hr with a 720-degree rotation, and at the end of ischemia 100 µL of corn oil (BCX solvent) was injected intraperitoneally, I/R/BCX10 group: The same as I/R/Oil group, as well as intraperitoneal administration of 100 µL of BCX (10.00 µg kg<sup>-1</sup>) at the end of ischemia, and I/R/BCX40: The same as I/R/Oil group, as well as intraperitoneal administration of 100 µL of BCX (40.00 µg kg<sup>-1</sup>) at the end of ischemia. Evaluations were based on histopathological and spermatological parameters and oxidative stress assessments. Histopathological spermatological and oxidative stress parameters values obtained from I/R/BCX40 were significantly different from those of other groups (<i>p</i> < 0.05). It could be concluded that BCX could ameliorate testicular injuries in acute testicular torsion/detorsion in mature rats.</p>","PeriodicalId":23989,"journal":{"name":"Veterinary Research Forum","volume":"16 5","pages":"277-284"},"PeriodicalIF":1.1000,"publicationDate":"2025-01-01","publicationTypes":"Journal Article","fieldsOfStudy":null,"isOpenAccess":false,"openAccessPdf":"https://www.ncbi.nlm.nih.gov/pmc/articles/PMC12276370/pdf/","citationCount":"0","resultStr":"{\"title\":\"Provitamin A carotenoid (β-cryptoxanthin) ameliorated testicular ischemia-reperfusion injury in mature rats.\",\"authors\":\"Kianoush Mohammadnehjad, Rahim Mohammadi, Ali Soleimanzadeh, Ali Shalizar-Jalali, Farshid Sarrafzadeh-Rezaei\",\"doi\":\"10.30466/vrf.2025.2046637.4559\",\"DOIUrl\":null,\"url\":null,\"abstract\":\"<p><p>Buildup of reactive oxygen species during testicular torsion causes oxidative stress and ischemia-reperfusion (I/R) injury in testis. The purpose of this study was to investigate influence of β-cryptoxanthin (BCX) on I/R injury in testicular torsion/detorsion in mature rats. Thirty mature male Wistar rats were divided into five groups of six animals each, including sham group: In this group, midline incision of the scrotum was performed and the testicles were taken out for 2 hr with a 720-degree rotation, I/R group: In this group, midline incision of the scrotum was performed and the testicles were taken out and undergone ischemia for 2 hr with a 720-degree rotation, I/R/Oil group: In this group, a midline scrotum cut was performed, the testicles were taken out, ischemia was created for 2 hr with a 720-degree rotation, and at the end of ischemia 100 µL of corn oil (BCX solvent) was injected intraperitoneally, I/R/BCX10 group: The same as I/R/Oil group, as well as intraperitoneal administration of 100 µL of BCX (10.00 µg kg<sup>-1</sup>) at the end of ischemia, and I/R/BCX40: The same as I/R/Oil group, as well as intraperitoneal administration of 100 µL of BCX (40.00 µg kg<sup>-1</sup>) at the end of ischemia. Evaluations were based on histopathological and spermatological parameters and oxidative stress assessments. Histopathological spermatological and oxidative stress parameters values obtained from I/R/BCX40 were significantly different from those of other groups (<i>p</i> < 0.05). It could be concluded that BCX could ameliorate testicular injuries in acute testicular torsion/detorsion in mature rats.</p>\",\"PeriodicalId\":23989,\"journal\":{\"name\":\"Veterinary Research Forum\",\"volume\":\"16 5\",\"pages\":\"277-284\"},\"PeriodicalIF\":1.1000,\"publicationDate\":\"2025-01-01\",\"publicationTypes\":\"Journal Article\",\"fieldsOfStudy\":null,\"isOpenAccess\":false,\"openAccessPdf\":\"https://www.ncbi.nlm.nih.gov/pmc/articles/PMC12276370/pdf/\",\"citationCount\":\"0\",\"resultStr\":null,\"platform\":\"Semanticscholar\",\"paperid\":null,\"PeriodicalName\":\"Veterinary Research Forum\",\"FirstCategoryId\":\"97\",\"ListUrlMain\":\"https://doi.org/10.30466/vrf.2025.2046637.4559\",\"RegionNum\":4,\"RegionCategory\":\"农林科学\",\"ArticlePicture\":[],\"TitleCN\":null,\"AbstractTextCN\":null,\"PMCID\":null,\"EPubDate\":\"2025/5/15 0:00:00\",\"PubModel\":\"Epub\",\"JCR\":\"Q3\",\"JCRName\":\"ZOOLOGY\",\"Score\":null,\"Total\":0}","platform":"Semanticscholar","paperid":null,"PeriodicalName":"Veterinary Research Forum","FirstCategoryId":"97","ListUrlMain":"https://doi.org/10.30466/vrf.2025.2046637.4559","RegionNum":4,"RegionCategory":"农林科学","ArticlePicture":[],"TitleCN":null,"AbstractTextCN":null,"PMCID":null,"EPubDate":"2025/5/15 0:00:00","PubModel":"Epub","JCR":"Q3","JCRName":"ZOOLOGY","Score":null,"Total":0}
引用次数: 0

摘要

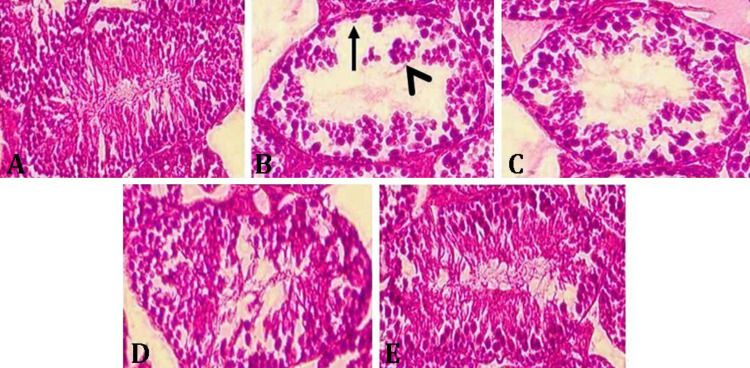
睾丸扭转过程中活性氧的积累导致睾丸氧化应激和缺血再灌注(I/R)损伤。本研究旨在探讨β-隐黄质(BCX)对成熟大鼠睾丸扭转/扭转I/R损伤的影响。将30只成年雄性Wistar大鼠分为5组,每组6只,假手术组:假手术组行阴囊中线切开,取出睾丸,旋转720度,缺血2小时;I/R/Oil组行阴囊中线切开,取出睾丸,旋转720度,缺血2小时;本组小鼠行阴囊中线切开,取出睾丸,720度旋转缺血2小时,缺血结束时腹腔注射100µL玉米油(BCX溶剂),I/R/BCX10组:与I/R/ oil组相同,缺血结束时腹腔注射100µL BCX(10.00µg kg-1), I/R/BCX40:与I/R/Oil组相同,缺血结束时腹腔注射100µL BCX(40.00µg kg-1)。评估基于组织病理学和精子学参数以及氧化应激评估。I/R/BCX40测定的精子组织病理学和氧化应激参数值与其他各组比较差异有统计学意义(p < 0.05)。由此可见,BCX可改善成熟大鼠急性睾丸扭转/扭曲的睾丸损伤。
本文章由计算机程序翻译,如有差异,请以英文原文为准。

Provitamin A carotenoid (β-cryptoxanthin) ameliorated testicular ischemia-reperfusion injury in mature rats.

Provitamin A carotenoid (β-cryptoxanthin) ameliorated testicular ischemia-reperfusion injury in mature rats.

Buildup of reactive oxygen species during testicular torsion causes oxidative stress and ischemia-reperfusion (I/R) injury in testis. The purpose of this study was to investigate influence of β-cryptoxanthin (BCX) on I/R injury in testicular torsion/detorsion in mature rats. Thirty mature male Wistar rats were divided into five groups of six animals each, including sham group: In this group, midline incision of the scrotum was performed and the testicles were taken out for 2 hr with a 720-degree rotation, I/R group: In this group, midline incision of the scrotum was performed and the testicles were taken out and undergone ischemia for 2 hr with a 720-degree rotation, I/R/Oil group: In this group, a midline scrotum cut was performed, the testicles were taken out, ischemia was created for 2 hr with a 720-degree rotation, and at the end of ischemia 100 µL of corn oil (BCX solvent) was injected intraperitoneally, I/R/BCX10 group: The same as I/R/Oil group, as well as intraperitoneal administration of 100 µL of BCX (10.00 µg kg-1) at the end of ischemia, and I/R/BCX40: The same as I/R/Oil group, as well as intraperitoneal administration of 100 µL of BCX (40.00 µg kg-1) at the end of ischemia. Evaluations were based on histopathological and spermatological parameters and oxidative stress assessments. Histopathological spermatological and oxidative stress parameters values obtained from I/R/BCX40 were significantly different from those of other groups (p < 0.05). It could be concluded that BCX could ameliorate testicular injuries in acute testicular torsion/detorsion in mature rats.

求助全文
通过发布文献求助,成功后即可免费获取论文全文。 去求助
来源期刊
Veterinary Research Forum
Veterinary Research Forum Veterinary-General Veterinary
CiteScore
1.50
自引率
0.00%
发文量
0
审稿时长
8 weeks
期刊介绍: Veterinary Research Forum (VRF) is a quarterly international journal committed to publish worldwide contributions on all aspects of veterinary science and medicine, including anatomy and histology, physiology and pharmacology, anatomic and clinical pathology, parasitology, microbiology, immunology and epidemiology, food hygiene, poultry science, fish and aquaculture, anesthesia and surgery, large and small animal internal medicine, large and small animal reproduction, biotechnology and diagnostic imaging of domestic, companion and farm animals.
×
引用
GB/T 7714-2015
复制
MLA
复制
APA
复制
导出至
BibTeX EndNote RefMan NoteFirst NoteExpress
×
提示
您的信息不完整,为了账户安全,请先补充。
现在去补充
×
提示
您因"违规操作"
具体请查看互助需知
我知道了
×
提示
确定
请完成安全验证×
copy
已复制链接
快去分享给好友吧!
我知道了
右上角分享
点击右上角分享
0
联系我们:info@booksci.cn Book学术提供免费学术资源搜索服务,方便国内外学者检索中英文文献。致力于提供最便捷和优质的服务体验。 Copyright © 2023 布克学术 All rights reserved.
京ICP备2023020795号-1
ghs 京公网安备 11010802042870号
Book学术文献互助
Book学术文献互助群
群 号:604180095
Book学术官方微信