婴儿继发性梅毒1例。

IF 2.2 4区 医学 Q3 DERMATOLOGY
Clinical, Cosmetic and Investigational Dermatology Pub Date : 2025-07-17 eCollection Date: 2025-01-01 DOI:10.2147/CCID.S515183
Zhe Cao, Zhen Hua Wang, Ai Juan Sun
{"title":"婴儿继发性梅毒1例。","authors":"Zhe Cao, Zhen Hua Wang, Ai Juan Sun","doi":"10.2147/CCID.S515183","DOIUrl":null,"url":null,"abstract":"<p><p>Secondary syphilis, a stage of sexually transmitted infection caused by Treponema pallidum, typically presents with a range of symptoms in adults. However, when this condition affects an infant, it becomes a rare and serious medical concern. This article explores a unique case of secondary syphilis in an infant, highlighting the diagnostic challenges, treatment options, and the importance of early intervention.</p>","PeriodicalId":10447,"journal":{"name":"Clinical, Cosmetic and Investigational Dermatology","volume":"18 ","pages":"1737-1739"},"PeriodicalIF":2.2000,"publicationDate":"2025-07-17","publicationTypes":"Journal Article","fieldsOfStudy":null,"isOpenAccess":false,"openAccessPdf":"https://www.ncbi.nlm.nih.gov/pmc/articles/PMC12278972/pdf/","citationCount":"0","resultStr":"{\"title\":\"A Case of Secondary Syphilis on Infant.\",\"authors\":\"Zhe Cao, Zhen Hua Wang, Ai Juan Sun\",\"doi\":\"10.2147/CCID.S515183\",\"DOIUrl\":null,\"url\":null,\"abstract\":\"<p><p>Secondary syphilis, a stage of sexually transmitted infection caused by Treponema pallidum, typically presents with a range of symptoms in adults. However, when this condition affects an infant, it becomes a rare and serious medical concern. This article explores a unique case of secondary syphilis in an infant, highlighting the diagnostic challenges, treatment options, and the importance of early intervention.</p>\",\"PeriodicalId\":10447,\"journal\":{\"name\":\"Clinical, Cosmetic and Investigational Dermatology\",\"volume\":\"18 \",\"pages\":\"1737-1739\"},\"PeriodicalIF\":2.2000,\"publicationDate\":\"2025-07-17\",\"publicationTypes\":\"Journal Article\",\"fieldsOfStudy\":null,\"isOpenAccess\":false,\"openAccessPdf\":\"https://www.ncbi.nlm.nih.gov/pmc/articles/PMC12278972/pdf/\",\"citationCount\":\"0\",\"resultStr\":null,\"platform\":\"Semanticscholar\",\"paperid\":null,\"PeriodicalName\":\"Clinical, Cosmetic and Investigational Dermatology\",\"FirstCategoryId\":\"3\",\"ListUrlMain\":\"https://doi.org/10.2147/CCID.S515183\",\"RegionNum\":4,\"RegionCategory\":\"医学\",\"ArticlePicture\":[],\"TitleCN\":null,\"AbstractTextCN\":null,\"PMCID\":null,\"EPubDate\":\"2025/1/1 0:00:00\",\"PubModel\":\"eCollection\",\"JCR\":\"Q3\",\"JCRName\":\"DERMATOLOGY\",\"Score\":null,\"Total\":0}","platform":"Semanticscholar","paperid":null,"PeriodicalName":"Clinical, Cosmetic and Investigational Dermatology","FirstCategoryId":"3","ListUrlMain":"https://doi.org/10.2147/CCID.S515183","RegionNum":4,"RegionCategory":"医学","ArticlePicture":[],"TitleCN":null,"AbstractTextCN":null,"PMCID":null,"EPubDate":"2025/1/1 0:00:00","PubModel":"eCollection","JCR":"Q3","JCRName":"DERMATOLOGY","Score":null,"Total":0}
引用次数: 0

摘要

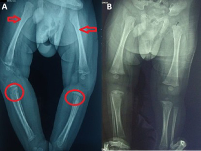
二期梅毒是由梅毒螺旋体引起的性传播感染的一个阶段,通常在成人中出现一系列症状。然而,当这种情况影响到婴儿时,它就变成了一种罕见而严重的医学问题。这篇文章探讨了一个独特的婴儿二期梅毒病例,强调了诊断的挑战,治疗的选择,以及早期干预的重要性。
本文章由计算机程序翻译,如有差异,请以英文原文为准。

A Case of Secondary Syphilis on Infant.

A Case of Secondary Syphilis on Infant.

A Case of Secondary Syphilis on Infant.

Secondary syphilis, a stage of sexually transmitted infection caused by Treponema pallidum, typically presents with a range of symptoms in adults. However, when this condition affects an infant, it becomes a rare and serious medical concern. This article explores a unique case of secondary syphilis in an infant, highlighting the diagnostic challenges, treatment options, and the importance of early intervention.

求助全文
通过发布文献求助,成功后即可免费获取论文全文。 去求助
来源期刊
CiteScore
2.80
自引率
4.30%
发文量
353
审稿时长
16 weeks
期刊介绍: Clinical, Cosmetic and Investigational Dermatology is an international, peer-reviewed, open access journal that focuses on the latest clinical and experimental research in all aspects of skin disease and cosmetic interventions. Normal and pathological processes in skin development and aging, their modification and treatment, as well as basic research into histology of dermal and dermal structures that provide clinical insights and potential treatment options are key topics for the journal. Patient satisfaction, preference, quality of life, compliance, persistence and their role in developing new management options to optimize outcomes for target conditions constitute major areas of interest. The journal is characterized by the rapid reporting of clinical studies, reviews and original research in skin research and skin care. All areas of dermatology will be covered; contributions will be welcomed from all clinicians and basic science researchers globally.
×
引用
GB/T 7714-2015
复制
MLA
复制
APA
复制
导出至
BibTeX EndNote RefMan NoteFirst NoteExpress
×
提示
您的信息不完整,为了账户安全,请先补充。
现在去补充
×
提示
您因"违规操作"
具体请查看互助需知
我知道了
×
提示
确定
请完成安全验证×
copy
已复制链接
快去分享给好友吧!
我知道了
右上角分享
点击右上角分享
0
联系我们:info@booksci.cn Book学术提供免费学术资源搜索服务,方便国内外学者检索中英文文献。致力于提供最便捷和优质的服务体验。 Copyright © 2023 布克学术 All rights reserved.
京ICP备2023020795号-1
ghs 京公网安备 11010802042870号
Book学术文献互助
Book学术文献互助群
群 号:604180095
Book学术官方微信