一例小儿肠系膜剪断,成功保守处理:一例报告。

IF 0.7 Q4 SURGERY
European Journal of Pediatric Surgery Reports Pub Date : 2025-07-15 eCollection Date: 2025-01-01 DOI:10.1055/a-2642-0650
Karim Sabeh-Ayoun, Nour Bakhos, Mustafa Natout, Ahmad Zaghal
{"title":"一例小儿肠系膜剪断,成功保守处理:一例报告。","authors":"Karim Sabeh-Ayoun, Nour Bakhos, Mustafa Natout, Ahmad Zaghal","doi":"10.1055/a-2642-0650","DOIUrl":null,"url":null,"abstract":"<p><p>Mesenteric shear, injury due to sudden stretch of the mesentery, is a rare condition that remains poorly studied, especially in the pediatric population. Often resulting from trauma, its presentation can vary from nonspecific and vague abdominal symptoms to an acute abdomen and peritonitis requiring urgent surgical intervention. Unified management strategies are not yet in place. We describe the case of a 10-year-old boy who presented to the emergency department with diffuse abdominal pain of 1 day duration, 2 days after he sustained blunt abdominal trauma with an elbow during a soccer match. He was hemodynamically and clinically stable. Computed tomography scan revealed soft tissue thickening in the left upper quadrant at the root of the mesentery with mild surrounding inflammatory mesenteric fat stranding, suggesting mesenteric shearing. With stable vitals, a soft abdomen on physical exam, and no drop in hemoglobin, the decision was made to treat the patient conservatively. The patient was admitted for observation, and after frequent abdominal exams, stable laboratory results, and abdominal imaging, he was discharged home without any surgical intervention. Conservative management can be successful in the case of a stable patient without alarming physical, laboratory, or imaging findings. Observation and close monitoring remain essential to detect complicated cases that require surgical intervention.</p>","PeriodicalId":43204,"journal":{"name":"European Journal of Pediatric Surgery Reports","volume":"13 1","pages":"e19-e22"},"PeriodicalIF":0.7000,"publicationDate":"2025-07-15","publicationTypes":"Journal Article","fieldsOfStudy":null,"isOpenAccess":false,"openAccessPdf":"https://www.ncbi.nlm.nih.gov/pmc/articles/PMC12263290/pdf/","citationCount":"0","resultStr":"{\"title\":\"Mesenteric Shearing in a Pediatric Patient, Successfully Managed Conservatively: A Case Report.\",\"authors\":\"Karim Sabeh-Ayoun, Nour Bakhos, Mustafa Natout, Ahmad Zaghal\",\"doi\":\"10.1055/a-2642-0650\",\"DOIUrl\":null,\"url\":null,\"abstract\":\"<p><p>Mesenteric shear, injury due to sudden stretch of the mesentery, is a rare condition that remains poorly studied, especially in the pediatric population. Often resulting from trauma, its presentation can vary from nonspecific and vague abdominal symptoms to an acute abdomen and peritonitis requiring urgent surgical intervention. Unified management strategies are not yet in place. We describe the case of a 10-year-old boy who presented to the emergency department with diffuse abdominal pain of 1 day duration, 2 days after he sustained blunt abdominal trauma with an elbow during a soccer match. He was hemodynamically and clinically stable. Computed tomography scan revealed soft tissue thickening in the left upper quadrant at the root of the mesentery with mild surrounding inflammatory mesenteric fat stranding, suggesting mesenteric shearing. With stable vitals, a soft abdomen on physical exam, and no drop in hemoglobin, the decision was made to treat the patient conservatively. The patient was admitted for observation, and after frequent abdominal exams, stable laboratory results, and abdominal imaging, he was discharged home without any surgical intervention. Conservative management can be successful in the case of a stable patient without alarming physical, laboratory, or imaging findings. Observation and close monitoring remain essential to detect complicated cases that require surgical intervention.</p>\",\"PeriodicalId\":43204,\"journal\":{\"name\":\"European Journal of Pediatric Surgery Reports\",\"volume\":\"13 1\",\"pages\":\"e19-e22\"},\"PeriodicalIF\":0.7000,\"publicationDate\":\"2025-07-15\",\"publicationTypes\":\"Journal Article\",\"fieldsOfStudy\":null,\"isOpenAccess\":false,\"openAccessPdf\":\"https://www.ncbi.nlm.nih.gov/pmc/articles/PMC12263290/pdf/\",\"citationCount\":\"0\",\"resultStr\":null,\"platform\":\"Semanticscholar\",\"paperid\":null,\"PeriodicalName\":\"European Journal of Pediatric Surgery Reports\",\"FirstCategoryId\":\"1085\",\"ListUrlMain\":\"https://doi.org/10.1055/a-2642-0650\",\"RegionNum\":0,\"RegionCategory\":null,\"ArticlePicture\":[],\"TitleCN\":null,\"AbstractTextCN\":null,\"PMCID\":null,\"EPubDate\":\"2025/1/1 0:00:00\",\"PubModel\":\"eCollection\",\"JCR\":\"Q4\",\"JCRName\":\"SURGERY\",\"Score\":null,\"Total\":0}","platform":"Semanticscholar","paperid":null,"PeriodicalName":"European Journal of Pediatric Surgery Reports","FirstCategoryId":"1085","ListUrlMain":"https://doi.org/10.1055/a-2642-0650","RegionNum":0,"RegionCategory":null,"ArticlePicture":[],"TitleCN":null,"AbstractTextCN":null,"PMCID":null,"EPubDate":"2025/1/1 0:00:00","PubModel":"eCollection","JCR":"Q4","JCRName":"SURGERY","Score":null,"Total":0}
引用次数: 0

摘要

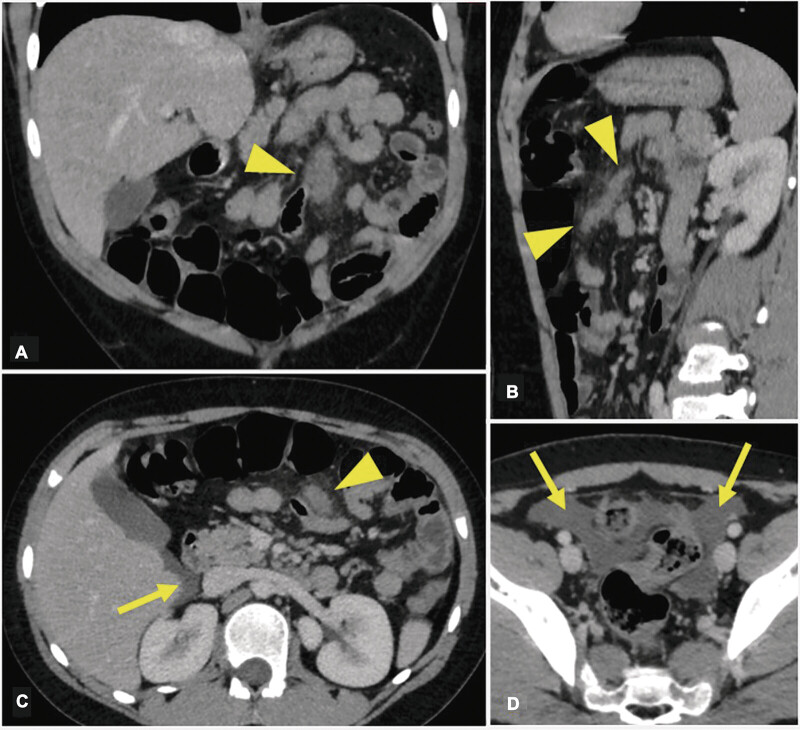
肠系膜剪切,由于肠系膜突然拉伸造成的损伤,是一种罕见的疾病,研究仍然很少,特别是在儿科人群中。通常由创伤引起,其表现可以从非特异性和模糊的腹部症状到需要紧急手术干预的急性腹部和腹膜炎。统一的管理策略尚未到位。我们描述的情况下,一个10岁的男孩谁提出了弥漫性腹痛持续1天,2天后,他持续钝性腹部外伤与肘部在足球比赛。他的血流动力学和临床稳定。计算机断层扫描显示肠系膜根部左上象限软组织增厚,周围有轻度炎症性肠系膜脂肪搁浅,提示肠系膜剪切。由于生命体征稳定,体检腹部柔软,血红蛋白无下降,故决定保守治疗。患者入院观察,经过频繁的腹部检查,稳定的实验室结果和腹部影像学检查,患者出院回家,没有任何手术干预。对于病情稳定的患者,保守治疗可能是成功的,但没有令人担忧的物理、实验室或影像学发现。观察和密切监测对于发现需要手术干预的复杂病例仍然至关重要。
本文章由计算机程序翻译,如有差异,请以英文原文为准。

Mesenteric Shearing in a Pediatric Patient, Successfully Managed Conservatively: A Case Report.

Mesenteric Shearing in a Pediatric Patient, Successfully Managed Conservatively: A Case Report.

Mesenteric Shearing in a Pediatric Patient, Successfully Managed Conservatively: A Case Report.

Mesenteric shear, injury due to sudden stretch of the mesentery, is a rare condition that remains poorly studied, especially in the pediatric population. Often resulting from trauma, its presentation can vary from nonspecific and vague abdominal symptoms to an acute abdomen and peritonitis requiring urgent surgical intervention. Unified management strategies are not yet in place. We describe the case of a 10-year-old boy who presented to the emergency department with diffuse abdominal pain of 1 day duration, 2 days after he sustained blunt abdominal trauma with an elbow during a soccer match. He was hemodynamically and clinically stable. Computed tomography scan revealed soft tissue thickening in the left upper quadrant at the root of the mesentery with mild surrounding inflammatory mesenteric fat stranding, suggesting mesenteric shearing. With stable vitals, a soft abdomen on physical exam, and no drop in hemoglobin, the decision was made to treat the patient conservatively. The patient was admitted for observation, and after frequent abdominal exams, stable laboratory results, and abdominal imaging, he was discharged home without any surgical intervention. Conservative management can be successful in the case of a stable patient without alarming physical, laboratory, or imaging findings. Observation and close monitoring remain essential to detect complicated cases that require surgical intervention.

求助全文
通过发布文献求助,成功后即可免费获取论文全文。 去求助
来源期刊
自引率
33.30%
发文量
39
审稿时长
12 weeks
×
引用
GB/T 7714-2015
复制
MLA
复制
APA
复制
导出至
BibTeX EndNote RefMan NoteFirst NoteExpress
×
提示
您的信息不完整,为了账户安全,请先补充。
现在去补充
×
提示
您因"违规操作"
具体请查看互助需知
我知道了
×
提示
确定
请完成安全验证×
copy
已复制链接
快去分享给好友吧!
我知道了
右上角分享
点击右上角分享
0
联系我们:info@booksci.cn Book学术提供免费学术资源搜索服务,方便国内外学者检索中英文文献。致力于提供最便捷和优质的服务体验。 Copyright © 2023 布克学术 All rights reserved.
京ICP备2023020795号-1
ghs 京公网安备 11010802042870号
Book学术文献互助
Book学术文献互助群
群 号:604180095
Book学术官方微信