单倍造血干细胞移植联合免疫放疗治疗重度再生障碍性贫血合并鼻咽癌1例。

IF 1.7 4区 生物学 Q3 BIOLOGY
Open Life Sciences Pub Date : 2025-07-11 eCollection Date: 2025-01-01 DOI:10.1515/biol-2025-1134
Yanting Gao, Yun Zhang, Hong Wang, Jingjing Xiang, Xiangping Wu, Qinghong Yu
{"title":"单倍造血干细胞移植联合免疫放疗治疗重度再生障碍性贫血合并鼻咽癌1例。","authors":"Yanting Gao, Yun Zhang, Hong Wang, Jingjing Xiang, Xiangping Wu, Qinghong Yu","doi":"10.1515/biol-2025-1134","DOIUrl":null,"url":null,"abstract":"<p><p>Severe aplastic anemia (SAA) and nasopharyngeal carcinoma (NPC) are two different diseases and are life-threatening if left untreated. The co-occurrence of SAA and NPC is rare and presents a complex therapeutic paradox. This study reports a unique case of a patient diagnosed with both SAA and NPC. The patient initially underwent haploidentical hematopoietic stem cell transplantation (HSCT) to achieve rapid hematologic recovery, followed by nimotuzumab + radiotherapy for carcinoma treatment. This case suggests that sequential haploidentical HSCT and radiotherapy may represent a promising therapeutic strategy for patients with coexisting SAA and NPC.</p>","PeriodicalId":19605,"journal":{"name":"Open Life Sciences","volume":"20 1","pages":"20251134"},"PeriodicalIF":1.7000,"publicationDate":"2025-07-11","publicationTypes":"Journal Article","fieldsOfStudy":null,"isOpenAccess":false,"openAccessPdf":"https://www.ncbi.nlm.nih.gov/pmc/articles/PMC12260345/pdf/","citationCount":"0","resultStr":"{\"title\":\"Haplo-hematopoietic stem cell transplantation and immunoradiotherapy for severe aplastic anemia complicated with nasopharyngeal carcinoma: A case report.\",\"authors\":\"Yanting Gao, Yun Zhang, Hong Wang, Jingjing Xiang, Xiangping Wu, Qinghong Yu\",\"doi\":\"10.1515/biol-2025-1134\",\"DOIUrl\":null,\"url\":null,\"abstract\":\"<p><p>Severe aplastic anemia (SAA) and nasopharyngeal carcinoma (NPC) are two different diseases and are life-threatening if left untreated. The co-occurrence of SAA and NPC is rare and presents a complex therapeutic paradox. This study reports a unique case of a patient diagnosed with both SAA and NPC. The patient initially underwent haploidentical hematopoietic stem cell transplantation (HSCT) to achieve rapid hematologic recovery, followed by nimotuzumab + radiotherapy for carcinoma treatment. This case suggests that sequential haploidentical HSCT and radiotherapy may represent a promising therapeutic strategy for patients with coexisting SAA and NPC.</p>\",\"PeriodicalId\":19605,\"journal\":{\"name\":\"Open Life Sciences\",\"volume\":\"20 1\",\"pages\":\"20251134\"},\"PeriodicalIF\":1.7000,\"publicationDate\":\"2025-07-11\",\"publicationTypes\":\"Journal Article\",\"fieldsOfStudy\":null,\"isOpenAccess\":false,\"openAccessPdf\":\"https://www.ncbi.nlm.nih.gov/pmc/articles/PMC12260345/pdf/\",\"citationCount\":\"0\",\"resultStr\":null,\"platform\":\"Semanticscholar\",\"paperid\":null,\"PeriodicalName\":\"Open Life Sciences\",\"FirstCategoryId\":\"99\",\"ListUrlMain\":\"https://doi.org/10.1515/biol-2025-1134\",\"RegionNum\":4,\"RegionCategory\":\"生物学\",\"ArticlePicture\":[],\"TitleCN\":null,\"AbstractTextCN\":null,\"PMCID\":null,\"EPubDate\":\"2025/1/1 0:00:00\",\"PubModel\":\"eCollection\",\"JCR\":\"Q3\",\"JCRName\":\"BIOLOGY\",\"Score\":null,\"Total\":0}","platform":"Semanticscholar","paperid":null,"PeriodicalName":"Open Life Sciences","FirstCategoryId":"99","ListUrlMain":"https://doi.org/10.1515/biol-2025-1134","RegionNum":4,"RegionCategory":"生物学","ArticlePicture":[],"TitleCN":null,"AbstractTextCN":null,"PMCID":null,"EPubDate":"2025/1/1 0:00:00","PubModel":"eCollection","JCR":"Q3","JCRName":"BIOLOGY","Score":null,"Total":0}
引用次数: 0

摘要

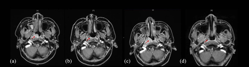
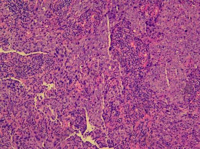
严重再生障碍性贫血(SAA)和鼻咽癌(NPC)是两种不同的疾病,如果不及时治疗,将危及生命。SAA和NPC同时发生是罕见的,并且呈现出一个复杂的治疗悖论。本研究报告了一个诊断为SAA和NPC的独特病例。患者最初接受单倍体造血干细胞移植(HSCT)以实现血液系统快速恢复,随后接受尼莫单抗+放疗治疗癌症。该病例提示,序贯单倍体HSCT和放疗可能是同时存在SAA和NPC患者的一种有希望的治疗策略。
本文章由计算机程序翻译,如有差异,请以英文原文为准。

Haplo-hematopoietic stem cell transplantation and immunoradiotherapy for severe aplastic anemia complicated with nasopharyngeal carcinoma: A case report.

Haplo-hematopoietic stem cell transplantation and immunoradiotherapy for severe aplastic anemia complicated with nasopharyngeal carcinoma: A case report.

Haplo-hematopoietic stem cell transplantation and immunoradiotherapy for severe aplastic anemia complicated with nasopharyngeal carcinoma: A case report.

Haplo-hematopoietic stem cell transplantation and immunoradiotherapy for severe aplastic anemia complicated with nasopharyngeal carcinoma: A case report.

Severe aplastic anemia (SAA) and nasopharyngeal carcinoma (NPC) are two different diseases and are life-threatening if left untreated. The co-occurrence of SAA and NPC is rare and presents a complex therapeutic paradox. This study reports a unique case of a patient diagnosed with both SAA and NPC. The patient initially underwent haploidentical hematopoietic stem cell transplantation (HSCT) to achieve rapid hematologic recovery, followed by nimotuzumab + radiotherapy for carcinoma treatment. This case suggests that sequential haploidentical HSCT and radiotherapy may represent a promising therapeutic strategy for patients with coexisting SAA and NPC.

求助全文
通过发布文献求助,成功后即可免费获取论文全文。 去求助
来源期刊
CiteScore
2.50
自引率
4.50%
发文量
131
审稿时长
43 weeks
期刊介绍: Open Life Sciences (previously Central European Journal of Biology) is a fast growing peer-reviewed journal, devoted to scholarly research in all areas of life sciences, such as molecular biology, plant science, biotechnology, cell biology, biochemistry, biophysics, microbiology and virology, ecology, differentiation and development, genetics and many others. Open Life Sciences assures top quality of published data through critical peer review and editorial involvement throughout the whole publication process. Thanks to the Open Access model of publishing, it also offers unrestricted access to published articles for all users.
×
引用
GB/T 7714-2015
复制
MLA
复制
APA
复制
导出至
BibTeX EndNote RefMan NoteFirst NoteExpress
×
提示
您的信息不完整,为了账户安全,请先补充。
现在去补充
×
提示
您因"违规操作"
具体请查看互助需知
我知道了
×
提示
确定
请完成安全验证×
copy
已复制链接
快去分享给好友吧!
我知道了
右上角分享
点击右上角分享
0
联系我们:info@booksci.cn Book学术提供免费学术资源搜索服务,方便国内外学者检索中英文文献。致力于提供最便捷和优质的服务体验。 Copyright © 2023 布克学术 All rights reserved.
京ICP备2023020795号-1
ghs 京公网安备 11010802042870号
Book学术文献互助
Book学术文献互助群
群 号:604180095
Book学术官方微信