模仿脉络膜血管瘤的中枢性浆液性脉络膜视网膜病变——一个诊断挑战。

Q3 Medicine
Oman Journal of Ophthalmology Pub Date : 2025-06-24 eCollection Date: 2025-05-01 DOI:10.4103/ojo.ojo_241_23
Shivangi Singh, Preet Kanwar Singh Sodhi, Shivraj Tagare
{"title":"模仿脉络膜血管瘤的中枢性浆液性脉络膜视网膜病变——一个诊断挑战。","authors":"Shivangi Singh, Preet Kanwar Singh Sodhi, Shivraj Tagare","doi":"10.4103/ojo.ojo_241_23","DOIUrl":null,"url":null,"abstract":"<p><p>Central serous chorioretinopathy (CSCR) occurs due to hyper-permeable choroidal capillaries, which, along with retinal pigment epithelium (RPE) dysfunction, causes a serous neurosensory retinal detachment. Circumscribed choroidal hemangiomas are also characterized by serous neurosensory detachment of the macula and cause degenerative changes to the RPE, rarely mimicking CSCR. Here, we present a case of CSCR in a middle-aged patient mimicking as a choroidal mass lesion who presented as a solitary choroidal elevation with subretinal fluid and posterior choroidal loculation of fluid and showed complete resolution of fluid after fundus fluorescence angiography-guided focal laser.</p>","PeriodicalId":19461,"journal":{"name":"Oman Journal of Ophthalmology","volume":"18 2","pages":"224-227"},"PeriodicalIF":0.0000,"publicationDate":"2025-06-24","publicationTypes":"Journal Article","fieldsOfStudy":null,"isOpenAccess":false,"openAccessPdf":"https://www.ncbi.nlm.nih.gov/pmc/articles/PMC12258846/pdf/","citationCount":"0","resultStr":"{\"title\":\"Central serous chorioretinopathy mimicking as choroidal hemangioma - A diagnostic challenge.\",\"authors\":\"Shivangi Singh, Preet Kanwar Singh Sodhi, Shivraj Tagare\",\"doi\":\"10.4103/ojo.ojo_241_23\",\"DOIUrl\":null,\"url\":null,\"abstract\":\"<p><p>Central serous chorioretinopathy (CSCR) occurs due to hyper-permeable choroidal capillaries, which, along with retinal pigment epithelium (RPE) dysfunction, causes a serous neurosensory retinal detachment. Circumscribed choroidal hemangiomas are also characterized by serous neurosensory detachment of the macula and cause degenerative changes to the RPE, rarely mimicking CSCR. Here, we present a case of CSCR in a middle-aged patient mimicking as a choroidal mass lesion who presented as a solitary choroidal elevation with subretinal fluid and posterior choroidal loculation of fluid and showed complete resolution of fluid after fundus fluorescence angiography-guided focal laser.</p>\",\"PeriodicalId\":19461,\"journal\":{\"name\":\"Oman Journal of Ophthalmology\",\"volume\":\"18 2\",\"pages\":\"224-227\"},\"PeriodicalIF\":0.0000,\"publicationDate\":\"2025-06-24\",\"publicationTypes\":\"Journal Article\",\"fieldsOfStudy\":null,\"isOpenAccess\":false,\"openAccessPdf\":\"https://www.ncbi.nlm.nih.gov/pmc/articles/PMC12258846/pdf/\",\"citationCount\":\"0\",\"resultStr\":null,\"platform\":\"Semanticscholar\",\"paperid\":null,\"PeriodicalName\":\"Oman Journal of Ophthalmology\",\"FirstCategoryId\":\"1085\",\"ListUrlMain\":\"https://doi.org/10.4103/ojo.ojo_241_23\",\"RegionNum\":0,\"RegionCategory\":null,\"ArticlePicture\":[],\"TitleCN\":null,\"AbstractTextCN\":null,\"PMCID\":null,\"EPubDate\":\"2025/5/1 0:00:00\",\"PubModel\":\"eCollection\",\"JCR\":\"Q3\",\"JCRName\":\"Medicine\",\"Score\":null,\"Total\":0}","platform":"Semanticscholar","paperid":null,"PeriodicalName":"Oman Journal of Ophthalmology","FirstCategoryId":"1085","ListUrlMain":"https://doi.org/10.4103/ojo.ojo_241_23","RegionNum":0,"RegionCategory":null,"ArticlePicture":[],"TitleCN":null,"AbstractTextCN":null,"PMCID":null,"EPubDate":"2025/5/1 0:00:00","PubModel":"eCollection","JCR":"Q3","JCRName":"Medicine","Score":null,"Total":0}
引用次数: 0

摘要

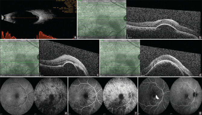
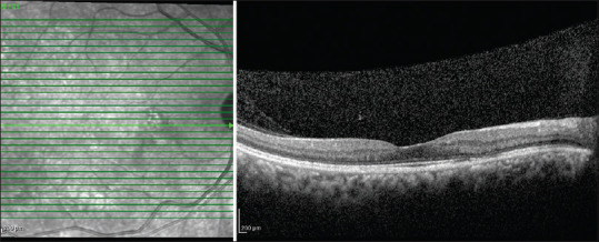
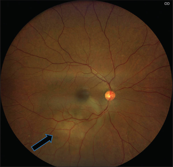
中枢性浆液性脉络膜视网膜病变(CSCR)的发生是由于脉络膜毛细血管的高渗透性,与视网膜色素上皮(RPE)功能障碍一起,导致浆液性神经感觉视网膜脱离。限定脉络膜血管瘤也以黄斑浆液性神经感觉脱离为特征,引起RPE退行性改变,很少模仿CSCR。在此,我们报告一例中年患者的CSCR,表现为脉络膜肿块病变,表现为孤立的脉络膜升高,视网膜下有液体和脉络膜后积液,在眼底荧光血管造影引导的病灶激光后显示液体完全溶解。
本文章由计算机程序翻译,如有差异,请以英文原文为准。

Central serous chorioretinopathy mimicking as choroidal hemangioma - A diagnostic challenge.

Central serous chorioretinopathy mimicking as choroidal hemangioma - A diagnostic challenge.

Central serous chorioretinopathy mimicking as choroidal hemangioma - A diagnostic challenge.

Central serous chorioretinopathy mimicking as choroidal hemangioma - A diagnostic challenge.

Central serous chorioretinopathy (CSCR) occurs due to hyper-permeable choroidal capillaries, which, along with retinal pigment epithelium (RPE) dysfunction, causes a serous neurosensory retinal detachment. Circumscribed choroidal hemangiomas are also characterized by serous neurosensory detachment of the macula and cause degenerative changes to the RPE, rarely mimicking CSCR. Here, we present a case of CSCR in a middle-aged patient mimicking as a choroidal mass lesion who presented as a solitary choroidal elevation with subretinal fluid and posterior choroidal loculation of fluid and showed complete resolution of fluid after fundus fluorescence angiography-guided focal laser.

求助全文
通过发布文献求助,成功后即可免费获取论文全文。 去求助
来源期刊
Oman Journal of Ophthalmology
Oman Journal of Ophthalmology Medicine-Ophthalmology
CiteScore
0.50
自引率
0.00%
发文量
68
审稿时长
50 weeks
期刊介绍: To provide a platform for scientific expression of the Oman Ophthalmic Society and the international Ophthalmic community and to provide opportunities for free exchange of ideas and information. To serve as a valuable resource for ophthalmologists, eye-care providers including optometrists, orthoptists, other health care professionals and research workers in all aspects of the field of visual science.
×
引用
GB/T 7714-2015
复制
MLA
复制
APA
复制
导出至
BibTeX EndNote RefMan NoteFirst NoteExpress
×
提示
您的信息不完整,为了账户安全,请先补充。
现在去补充
×
提示
您因"违规操作"
具体请查看互助需知
我知道了
×
提示
确定
请完成安全验证×
copy
已复制链接
快去分享给好友吧!
我知道了
右上角分享
点击右上角分享
0
联系我们:info@booksci.cn Book学术提供免费学术资源搜索服务,方便国内外学者检索中英文文献。致力于提供最便捷和优质的服务体验。 Copyright © 2023 布克学术 All rights reserved.
京ICP备2023020795号-1
ghs 京公网安备 11010802042870号
Book学术文献互助
Book学术文献互助群
群 号:604180095
Book学术官方微信