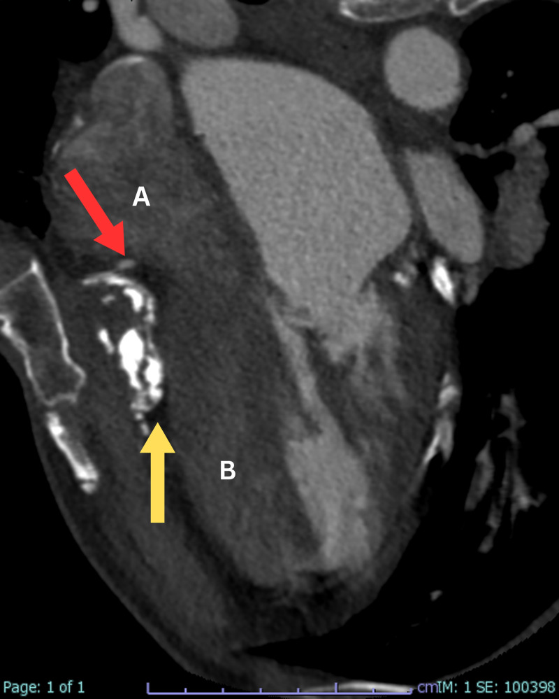
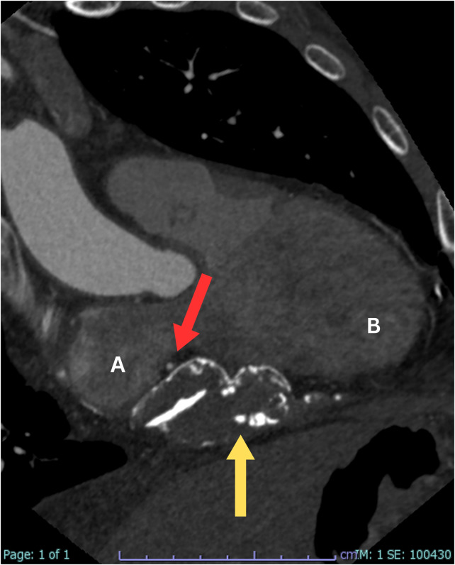
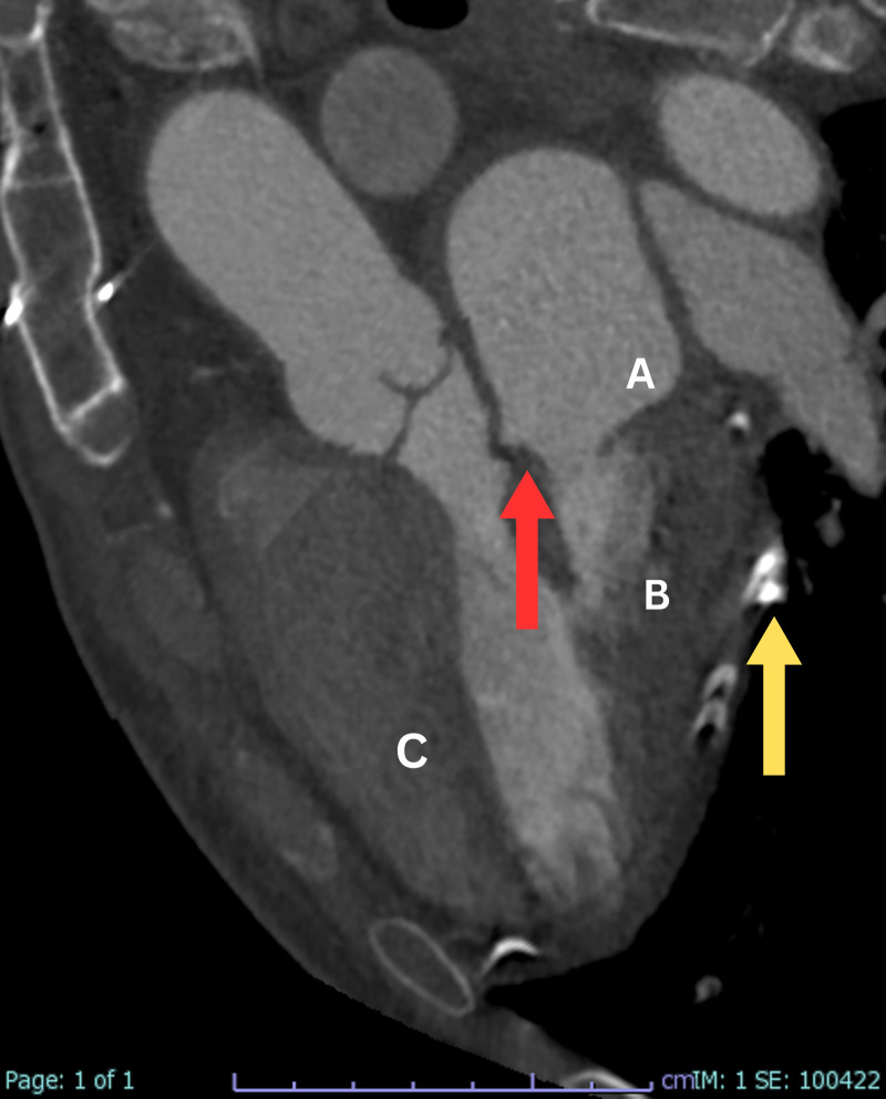
心包切除术后的显像:广泛残留的心包钙化和明显的二尖瓣增厚。

Q3 Medicine
Omar Al Taei, Abdullah Al Ismaili
{"title":"心包切除术后的显像:广泛残留的心包钙化和明显的二尖瓣增厚。","authors":"Omar Al Taei, Abdullah Al Ismaili","doi":"10.18295/2075-0528.2836","DOIUrl":null,"url":null,"abstract":"","PeriodicalId":22083,"journal":{"name":"Sultan Qaboos University Medical Journal","volume":"25 1","pages":"303-308"},"PeriodicalIF":0.0000,"publicationDate":"2025-05-02","publicationTypes":"Journal Article","fieldsOfStudy":null,"isOpenAccess":false,"openAccessPdf":"https://www.ncbi.nlm.nih.gov/pmc/articles/PMC12240245/pdf/","citationCount":"0","resultStr":"{\"title\":\"Unveiling Post-Pericardial Resection: <i>Magnificent Imaging of Extensive Residual Pericardial Calcification and Impressive Mitral Valve Thickening</i>.\",\"authors\":\"Omar Al Taei, Abdullah Al Ismaili\",\"doi\":\"10.18295/2075-0528.2836\",\"DOIUrl\":null,\"url\":null,\"abstract\":\"\",\"PeriodicalId\":22083,\"journal\":{\"name\":\"Sultan Qaboos University Medical Journal\",\"volume\":\"25 1\",\"pages\":\"303-308\"},\"PeriodicalIF\":0.0000,\"publicationDate\":\"2025-05-02\",\"publicationTypes\":\"Journal Article\",\"fieldsOfStudy\":null,\"isOpenAccess\":false,\"openAccessPdf\":\"https://www.ncbi.nlm.nih.gov/pmc/articles/PMC12240245/pdf/\",\"citationCount\":\"0\",\"resultStr\":null,\"platform\":\"Semanticscholar\",\"paperid\":null,\"PeriodicalName\":\"Sultan Qaboos University Medical Journal\",\"FirstCategoryId\":\"1085\",\"ListUrlMain\":\"https://doi.org/10.18295/2075-0528.2836\",\"RegionNum\":0,\"RegionCategory\":null,\"ArticlePicture\":[],\"TitleCN\":null,\"AbstractTextCN\":null,\"PMCID\":null,\"EPubDate\":\"\",\"PubModel\":\"\",\"JCR\":\"Q3\",\"JCRName\":\"Medicine\",\"Score\":null,\"Total\":0}","platform":"Semanticscholar","paperid":null,"PeriodicalName":"Sultan Qaboos University Medical Journal","FirstCategoryId":"1085","ListUrlMain":"https://doi.org/10.18295/2075-0528.2836","RegionNum":0,"RegionCategory":null,"ArticlePicture":[],"TitleCN":null,"AbstractTextCN":null,"PMCID":null,"EPubDate":"","PubModel":"","JCR":"Q3","JCRName":"Medicine","Score":null,"Total":0}
引用次数: 0

摘要

本文章由计算机程序翻译,如有差异,请以英文原文为准。

Unveiling Post-Pericardial Resection: <i>Magnificent Imaging of Extensive Residual Pericardial Calcification and Impressive Mitral Valve Thickening</i>.

Unveiling Post-Pericardial Resection: <i>Magnificent Imaging of Extensive Residual Pericardial Calcification and Impressive Mitral Valve Thickening</i>.

Unveiling Post-Pericardial Resection: <i>Magnificent Imaging of Extensive Residual Pericardial Calcification and Impressive Mitral Valve Thickening</i>.

Unveiling Post-Pericardial Resection: Magnificent Imaging of Extensive Residual Pericardial Calcification and Impressive Mitral Valve Thickening.
求助全文
通过发布文献求助,成功后即可免费获取论文全文。 去求助
来源期刊
CiteScore
2.00
自引率
0.00%
发文量
86
审稿时长
7 weeks
×
引用
GB/T 7714-2015
复制
MLA
复制
APA
复制
导出至
BibTeX EndNote RefMan NoteFirst NoteExpress
×
提示
您的信息不完整,为了账户安全,请先补充。
现在去补充
×
提示
您因"违规操作"
具体请查看互助需知
我知道了
×
提示
确定
请完成安全验证×
copy
已复制链接
快去分享给好友吧!
我知道了
右上角分享
点击右上角分享
0
联系我们:info@booksci.cn Book学术提供免费学术资源搜索服务,方便国内外学者检索中英文文献。致力于提供最便捷和优质的服务体验。 Copyright © 2023 布克学术 All rights reserved.
京ICP备2023020795号-1
ghs 京公网安备 11010802042870号
Book学术文献互助
Book学术文献互助群
群 号:604180095
Book学术官方微信