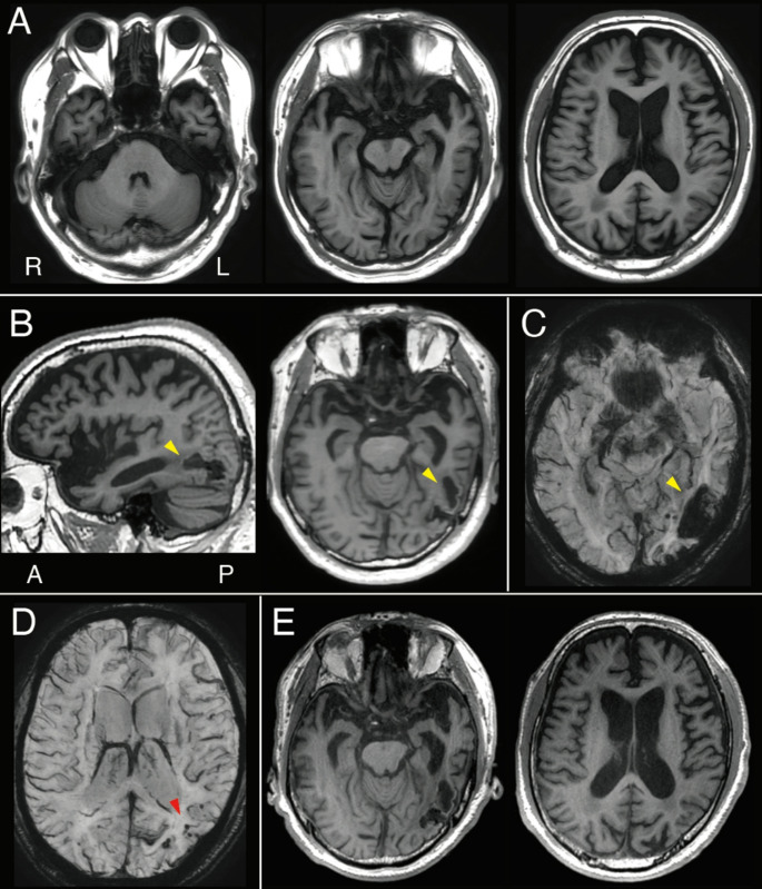
脑淀粉样血管病引起的左颞下出血,类似语义性痴呆。

IF 2.4 4区 医学 Q2 CLINICAL NEUROLOGY
Neurological Sciences Pub Date : 2025-10-01 Epub Date: 2025-07-11 DOI:10.1007/s10072-025-08358-6
Kazuto Katsuse, Daiki Yashita, Kazuo Kakinuma, Masashi Hamada, Tatsushi Toda, Kyoko Suzuki
{"title":"脑淀粉样血管病引起的左颞下出血,类似语义性痴呆。","authors":"Kazuto Katsuse, Daiki Yashita, Kazuo Kakinuma, Masashi Hamada, Tatsushi Toda, Kyoko Suzuki","doi":"10.1007/s10072-025-08358-6","DOIUrl":null,"url":null,"abstract":"","PeriodicalId":19191,"journal":{"name":"Neurological Sciences","volume":" ","pages":"5523-5527"},"PeriodicalIF":2.4000,"publicationDate":"2025-10-01","publicationTypes":"Journal Article","fieldsOfStudy":null,"isOpenAccess":false,"openAccessPdf":"https://www.ncbi.nlm.nih.gov/pmc/articles/PMC12488749/pdf/","citationCount":"0","resultStr":"{\"title\":\"Left inferior temporal hemorrhage due to cerebral amyloid angiopathy mimicking semantic dementia.\",\"authors\":\"Kazuto Katsuse, Daiki Yashita, Kazuo Kakinuma, Masashi Hamada, Tatsushi Toda, Kyoko Suzuki\",\"doi\":\"10.1007/s10072-025-08358-6\",\"DOIUrl\":null,\"url\":null,\"abstract\":\"\",\"PeriodicalId\":19191,\"journal\":{\"name\":\"Neurological Sciences\",\"volume\":\" \",\"pages\":\"5523-5527\"},\"PeriodicalIF\":2.4000,\"publicationDate\":\"2025-10-01\",\"publicationTypes\":\"Journal Article\",\"fieldsOfStudy\":null,\"isOpenAccess\":false,\"openAccessPdf\":\"https://www.ncbi.nlm.nih.gov/pmc/articles/PMC12488749/pdf/\",\"citationCount\":\"0\",\"resultStr\":null,\"platform\":\"Semanticscholar\",\"paperid\":null,\"PeriodicalName\":\"Neurological Sciences\",\"FirstCategoryId\":\"3\",\"ListUrlMain\":\"https://doi.org/10.1007/s10072-025-08358-6\",\"RegionNum\":4,\"RegionCategory\":\"医学\",\"ArticlePicture\":[],\"TitleCN\":null,\"AbstractTextCN\":null,\"PMCID\":null,\"EPubDate\":\"2025/7/11 0:00:00\",\"PubModel\":\"Epub\",\"JCR\":\"Q2\",\"JCRName\":\"CLINICAL NEUROLOGY\",\"Score\":null,\"Total\":0}","platform":"Semanticscholar","paperid":null,"PeriodicalName":"Neurological Sciences","FirstCategoryId":"3","ListUrlMain":"https://doi.org/10.1007/s10072-025-08358-6","RegionNum":4,"RegionCategory":"医学","ArticlePicture":[],"TitleCN":null,"AbstractTextCN":null,"PMCID":null,"EPubDate":"2025/7/11 0:00:00","PubModel":"Epub","JCR":"Q2","JCRName":"CLINICAL NEUROLOGY","Score":null,"Total":0}
引用次数: 0

摘要

本文章由计算机程序翻译,如有差异,请以英文原文为准。

Left inferior temporal hemorrhage due to cerebral amyloid angiopathy mimicking semantic dementia.

Left inferior temporal hemorrhage due to cerebral amyloid angiopathy mimicking semantic dementia.

Left inferior temporal hemorrhage due to cerebral amyloid angiopathy mimicking semantic dementia.
求助全文
通过发布文献求助,成功后即可免费获取论文全文。 去求助
来源期刊
Neurological Sciences
Neurological Sciences 医学-临床神经学
CiteScore
6.10
自引率
3.00%
发文量
743
审稿时长
4 months
期刊介绍: Neurological Sciences is intended to provide a medium for the communication of results and ideas in the field of neuroscience. The journal welcomes contributions in both the basic and clinical aspects of the neurosciences. The official language of the journal is English. Reports are published in the form of original articles, short communications, editorials, reviews and letters to the editor. Original articles present the results of experimental or clinical studies in the neurosciences, while short communications are succinct reports permitting the rapid publication of novel results. Original contributions may be submitted for the special sections History of Neurology, Health Care and Neurological Digressions - a forum for cultural topics related to the neurosciences. The journal also publishes correspondence book reviews, meeting reports and announcements.
×
引用
GB/T 7714-2015
复制
MLA
复制
APA
复制
导出至
BibTeX EndNote RefMan NoteFirst NoteExpress
×
提示
您的信息不完整,为了账户安全,请先补充。
现在去补充
×
提示
您因"违规操作"
具体请查看互助需知
我知道了
×
提示
确定
请完成安全验证×
copy
已复制链接
快去分享给好友吧!
我知道了
右上角分享
点击右上角分享
0
联系我们:info@booksci.cn Book学术提供免费学术资源搜索服务,方便国内外学者检索中英文文献。致力于提供最便捷和优质的服务体验。 Copyright © 2023 布克学术 All rights reserved.
京ICP备2023020795号-1
ghs 京公网安备 11010802042870号
Book学术文献互助
Book学术文献互助群
群 号:604180095
Book学术官方微信