胸外巨大脂肪瘤所致胸廓出口综合征:文献第一例因位置不典型所致。

IF 1.5 4区 医学 Q3 CARDIAC & CARDIOVASCULAR SYSTEMS
Kadir Baturhan Çiflik, Büşra Özdemir Çiflik
{"title":"胸外巨大脂肪瘤所致胸廓出口综合征:文献第一例因位置不典型所致。","authors":"Kadir Baturhan Çiflik, Büşra Özdemir Çiflik","doi":"10.1186/s13019-025-03536-1","DOIUrl":null,"url":null,"abstract":"<p><strong>Introduction: </strong>Lipoma is one of the most common mesenchymal tumours. It is mostly benign in character. Those whose size is > 10 centimetres are called giant lipomas. Although its incidence is low in the extrathoracic axillary region, brachial plexus, and pectoral region, it also causes thoracic outlet syndrome (TOS), especially if it compresses the neurovascular bundle at the thoracic outlet.</p><p><strong>Case presentation: </strong>A 51-year-old male patient was admitted to the hospital with pain, numbness, and tingling in his left arm that started three months ago. A mass measuring approximately 10 × 10 cm was found in the left lateral thoracic wall, in the region just inferior to the axilla and along the lateral border of the scapula. When the patient was in the supine position, the mass was observed to migrate to the axillary region. When the patient leaned forward, it was observed that the mass shifted towards the upper part of the pectoral muscle. There was paraesthesia and tingling in the fingertips of the left hand, however, muscle strength was normal. Adson's and Wright's tests were positive. Considering the symptoms in the left upper extremity, we decided to excise the lesion. On postoperative day one, the patient stated that the pain and tingling in the left extremity had significantly decreased. We observed that neurological complaints significantly decreased, and oedema regressed in the first postoperative month. In the third postoperative month, the patient stated that he had no complications.</p><p><strong>Conclusion: </strong>There is no study in the literature reporting that lipoma seen outside the extrathoracic regions mentioned causes TOS. Particularly mobile and large-sized lipomas might cause compression of the neurovascular bundle in the thoracic outlet areas by pushing the tissues. We aimed to report the first case of TOS caused by a giant lipoma located on the lateral thoracic wall, just inferior to the axilla and outside the thoracic cavity.</p>","PeriodicalId":15201,"journal":{"name":"Journal of Cardiothoracic Surgery","volume":"20 1","pages":"292"},"PeriodicalIF":1.5000,"publicationDate":"2025-07-10","publicationTypes":"Journal Article","fieldsOfStudy":null,"isOpenAccess":false,"openAccessPdf":"https://www.ncbi.nlm.nih.gov/pmc/articles/PMC12243202/pdf/","citationCount":"0","resultStr":"{\"title\":\"Thoracic outlet syndrome induced by extrathoracic giant lipoma: first case in the literature due to the atypical location.\",\"authors\":\"Kadir Baturhan Çiflik, Büşra Özdemir Çiflik\",\"doi\":\"10.1186/s13019-025-03536-1\",\"DOIUrl\":null,\"url\":null,\"abstract\":\"<p><strong>Introduction: </strong>Lipoma is one of the most common mesenchymal tumours. It is mostly benign in character. Those whose size is > 10 centimetres are called giant lipomas. Although its incidence is low in the extrathoracic axillary region, brachial plexus, and pectoral region, it also causes thoracic outlet syndrome (TOS), especially if it compresses the neurovascular bundle at the thoracic outlet.</p><p><strong>Case presentation: </strong>A 51-year-old male patient was admitted to the hospital with pain, numbness, and tingling in his left arm that started three months ago. A mass measuring approximately 10 × 10 cm was found in the left lateral thoracic wall, in the region just inferior to the axilla and along the lateral border of the scapula. When the patient was in the supine position, the mass was observed to migrate to the axillary region. When the patient leaned forward, it was observed that the mass shifted towards the upper part of the pectoral muscle. There was paraesthesia and tingling in the fingertips of the left hand, however, muscle strength was normal. Adson's and Wright's tests were positive. Considering the symptoms in the left upper extremity, we decided to excise the lesion. On postoperative day one, the patient stated that the pain and tingling in the left extremity had significantly decreased. We observed that neurological complaints significantly decreased, and oedema regressed in the first postoperative month. In the third postoperative month, the patient stated that he had no complications.</p><p><strong>Conclusion: </strong>There is no study in the literature reporting that lipoma seen outside the extrathoracic regions mentioned causes TOS. Particularly mobile and large-sized lipomas might cause compression of the neurovascular bundle in the thoracic outlet areas by pushing the tissues. We aimed to report the first case of TOS caused by a giant lipoma located on the lateral thoracic wall, just inferior to the axilla and outside the thoracic cavity.</p>\",\"PeriodicalId\":15201,\"journal\":{\"name\":\"Journal of Cardiothoracic Surgery\",\"volume\":\"20 1\",\"pages\":\"292\"},\"PeriodicalIF\":1.5000,\"publicationDate\":\"2025-07-10\",\"publicationTypes\":\"Journal Article\",\"fieldsOfStudy\":null,\"isOpenAccess\":false,\"openAccessPdf\":\"https://www.ncbi.nlm.nih.gov/pmc/articles/PMC12243202/pdf/\",\"citationCount\":\"0\",\"resultStr\":null,\"platform\":\"Semanticscholar\",\"paperid\":null,\"PeriodicalName\":\"Journal of Cardiothoracic Surgery\",\"FirstCategoryId\":\"3\",\"ListUrlMain\":\"https://doi.org/10.1186/s13019-025-03536-1\",\"RegionNum\":4,\"RegionCategory\":\"医学\",\"ArticlePicture\":[],\"TitleCN\":null,\"AbstractTextCN\":null,\"PMCID\":null,\"EPubDate\":\"\",\"PubModel\":\"\",\"JCR\":\"Q3\",\"JCRName\":\"CARDIAC & CARDIOVASCULAR SYSTEMS\",\"Score\":null,\"Total\":0}","platform":"Semanticscholar","paperid":null,"PeriodicalName":"Journal of Cardiothoracic Surgery","FirstCategoryId":"3","ListUrlMain":"https://doi.org/10.1186/s13019-025-03536-1","RegionNum":4,"RegionCategory":"医学","ArticlePicture":[],"TitleCN":null,"AbstractTextCN":null,"PMCID":null,"EPubDate":"","PubModel":"","JCR":"Q3","JCRName":"CARDIAC & CARDIOVASCULAR SYSTEMS","Score":null,"Total":0}
引用次数: 0

摘要

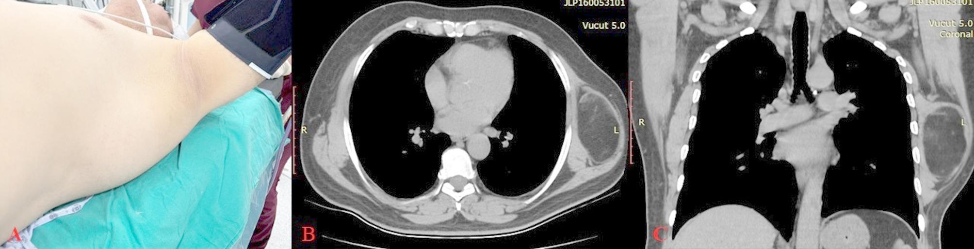
简介:脂肪瘤是最常见的间充质肿瘤之一。它的性质大多是良性的。大小在100 ~ 10厘米的称为巨大脂肪瘤。尽管其在胸外腋窝区、臂丛和胸区发生率较低,但也可引起胸廓出口综合征(TOS),特别是当它压迫胸廓出口的神经血管束时。病例介绍:51岁男性患者,3个月前因左臂疼痛、麻木和刺痛入院。在左胸壁外侧,腋窝下方和肩胛骨外侧缘发现约10 × 10 cm的肿块。当患者处于仰卧位时,肿块被观察到向腋窝区域移动。当患者身体前倾时,观察到肿块向胸肌上部移位。左手指尖有感觉异常和刺痛感,但肌肉力量正常。艾德森和赖特的检测结果呈阳性。考虑到左上肢的症状,我们决定切除病变。术后第一天,患者表示左肢疼痛和刺痛明显减轻。我们观察到,术后第一个月,神经系统疾病明显减少,水肿消退。术后第三个月,患者表示无并发症。结论:目前尚无文献报道上述胸外区域以外的脂肪瘤引起TOS。特别是可移动的和大尺寸的脂肪瘤可能通过推动组织而压迫胸廓出口区域的神经血管束。我们的目的是报告第一例由位于胸壁外侧、腋窝下方和胸腔外的巨大脂肪瘤引起的TOS。
本文章由计算机程序翻译,如有差异,请以英文原文为准。

Thoracic outlet syndrome induced by extrathoracic giant lipoma: first case in the literature due to the atypical location.

Thoracic outlet syndrome induced by extrathoracic giant lipoma: first case in the literature due to the atypical location.

Thoracic outlet syndrome induced by extrathoracic giant lipoma: first case in the literature due to the atypical location.

Thoracic outlet syndrome induced by extrathoracic giant lipoma: first case in the literature due to the atypical location.

Introduction: Lipoma is one of the most common mesenchymal tumours. It is mostly benign in character. Those whose size is > 10 centimetres are called giant lipomas. Although its incidence is low in the extrathoracic axillary region, brachial plexus, and pectoral region, it also causes thoracic outlet syndrome (TOS), especially if it compresses the neurovascular bundle at the thoracic outlet.

Case presentation: A 51-year-old male patient was admitted to the hospital with pain, numbness, and tingling in his left arm that started three months ago. A mass measuring approximately 10 × 10 cm was found in the left lateral thoracic wall, in the region just inferior to the axilla and along the lateral border of the scapula. When the patient was in the supine position, the mass was observed to migrate to the axillary region. When the patient leaned forward, it was observed that the mass shifted towards the upper part of the pectoral muscle. There was paraesthesia and tingling in the fingertips of the left hand, however, muscle strength was normal. Adson's and Wright's tests were positive. Considering the symptoms in the left upper extremity, we decided to excise the lesion. On postoperative day one, the patient stated that the pain and tingling in the left extremity had significantly decreased. We observed that neurological complaints significantly decreased, and oedema regressed in the first postoperative month. In the third postoperative month, the patient stated that he had no complications.

Conclusion: There is no study in the literature reporting that lipoma seen outside the extrathoracic regions mentioned causes TOS. Particularly mobile and large-sized lipomas might cause compression of the neurovascular bundle in the thoracic outlet areas by pushing the tissues. We aimed to report the first case of TOS caused by a giant lipoma located on the lateral thoracic wall, just inferior to the axilla and outside the thoracic cavity.

求助全文
通过发布文献求助,成功后即可免费获取论文全文。 去求助
来源期刊
Journal of Cardiothoracic Surgery
Journal of Cardiothoracic Surgery 医学-心血管系统
CiteScore
2.50
自引率
6.20%
发文量
286
审稿时长
4-8 weeks
期刊介绍: Journal of Cardiothoracic Surgery is an open access journal that encompasses all aspects of research in the field of Cardiology, and Cardiothoracic and Vascular Surgery. The journal publishes original scientific research documenting clinical and experimental advances in cardiac, vascular and thoracic surgery, and related fields. Topics of interest include surgical techniques, survival rates, surgical complications and their outcomes; along with basic sciences, pediatric conditions, transplantations and clinical trials. Journal of Cardiothoracic Surgery is of interest to cardiothoracic and vascular surgeons, cardiothoracic anaesthesiologists, cardiologists, chest physicians, and allied health professionals.
×
引用
GB/T 7714-2015
复制
MLA
复制
APA
复制
导出至
BibTeX EndNote RefMan NoteFirst NoteExpress
×
提示
您的信息不完整,为了账户安全,请先补充。
现在去补充
×
提示
您因"违规操作"
具体请查看互助需知
我知道了
×
提示
确定
请完成安全验证×
copy
已复制链接
快去分享给好友吧!
我知道了
右上角分享
点击右上角分享
0
联系我们:info@booksci.cn Book学术提供免费学术资源搜索服务,方便国内外学者检索中英文文献。致力于提供最便捷和优质的服务体验。 Copyright © 2023 布克学术 All rights reserved.
京ICP备2023020795号-1
ghs 京公网安备 11010802042870号
Book学术文献互助
Book学术文献互助群
群 号:604180095
Book学术官方微信