游离牙龈移植治疗腭龈白斑。

Q2 Dentistry
Subhajit Nandy, Pradip Kumar Giri, Tirthankar Debnath, Soma Mallick
{"title":"游离牙龈移植治疗腭龈白斑。","authors":"Subhajit Nandy, Pradip Kumar Giri, Tirthankar Debnath, Soma Mallick","doi":"10.4103/jisp.jisp_147_24","DOIUrl":null,"url":null,"abstract":"<p><p>Oral leukoplakia is a frequently encountered oral potentially malignant disorder that, if left untreated, could progress to oral squamous cell carcinoma. Though the tongue and buccal mucosa are the most common sites to be affected, the involvement of palatal gingiva is relatively rare. It is usually associated with high recurrence rates and a higher tendency to undergo malignant transformation. Surgical excision of the lesion is considered the gold-standard treatment strategy. This case report describes a case of oral leukoplakia involving the palatal gingiva in a 71-year-old male having no deleterious oral habits. The lesion was treated using surgical excision, and the defect was repaired using a free gingival graft from the opposite palatal gingiva. Although no recurrence was noted till 2 years following surgery, the patient was advised to undergo regular monitoring.</p>","PeriodicalId":15890,"journal":{"name":"Journal of Indian Society of Periodontology","volume":"29 1","pages":"98-101"},"PeriodicalIF":0.0000,"publicationDate":"2025-01-01","publicationTypes":"Journal Article","fieldsOfStudy":null,"isOpenAccess":false,"openAccessPdf":"https://www.ncbi.nlm.nih.gov/pmc/articles/PMC12237208/pdf/","citationCount":"0","resultStr":"{\"title\":\"Management of leukoplakia of palatal gingiva using free gingival graft.\",\"authors\":\"Subhajit Nandy, Pradip Kumar Giri, Tirthankar Debnath, Soma Mallick\",\"doi\":\"10.4103/jisp.jisp_147_24\",\"DOIUrl\":null,\"url\":null,\"abstract\":\"<p><p>Oral leukoplakia is a frequently encountered oral potentially malignant disorder that, if left untreated, could progress to oral squamous cell carcinoma. Though the tongue and buccal mucosa are the most common sites to be affected, the involvement of palatal gingiva is relatively rare. It is usually associated with high recurrence rates and a higher tendency to undergo malignant transformation. Surgical excision of the lesion is considered the gold-standard treatment strategy. This case report describes a case of oral leukoplakia involving the palatal gingiva in a 71-year-old male having no deleterious oral habits. The lesion was treated using surgical excision, and the defect was repaired using a free gingival graft from the opposite palatal gingiva. Although no recurrence was noted till 2 years following surgery, the patient was advised to undergo regular monitoring.</p>\",\"PeriodicalId\":15890,\"journal\":{\"name\":\"Journal of Indian Society of Periodontology\",\"volume\":\"29 1\",\"pages\":\"98-101\"},\"PeriodicalIF\":0.0000,\"publicationDate\":\"2025-01-01\",\"publicationTypes\":\"Journal Article\",\"fieldsOfStudy\":null,\"isOpenAccess\":false,\"openAccessPdf\":\"https://www.ncbi.nlm.nih.gov/pmc/articles/PMC12237208/pdf/\",\"citationCount\":\"0\",\"resultStr\":null,\"platform\":\"Semanticscholar\",\"paperid\":null,\"PeriodicalName\":\"Journal of Indian Society of Periodontology\",\"FirstCategoryId\":\"1085\",\"ListUrlMain\":\"https://doi.org/10.4103/jisp.jisp_147_24\",\"RegionNum\":0,\"RegionCategory\":null,\"ArticlePicture\":[],\"TitleCN\":null,\"AbstractTextCN\":null,\"PMCID\":null,\"EPubDate\":\"2025/6/10 0:00:00\",\"PubModel\":\"Epub\",\"JCR\":\"Q2\",\"JCRName\":\"Dentistry\",\"Score\":null,\"Total\":0}","platform":"Semanticscholar","paperid":null,"PeriodicalName":"Journal of Indian Society of Periodontology","FirstCategoryId":"1085","ListUrlMain":"https://doi.org/10.4103/jisp.jisp_147_24","RegionNum":0,"RegionCategory":null,"ArticlePicture":[],"TitleCN":null,"AbstractTextCN":null,"PMCID":null,"EPubDate":"2025/6/10 0:00:00","PubModel":"Epub","JCR":"Q2","JCRName":"Dentistry","Score":null,"Total":0}
引用次数: 0

摘要

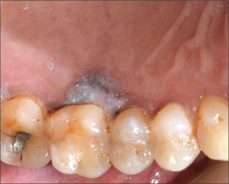
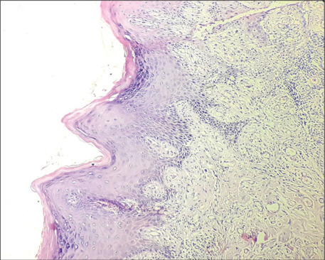
口腔白斑是一种常见的口腔潜在恶性疾病,如果不及时治疗,可能会发展为口腔鳞状细胞癌。虽然舌和颊粘膜是最常见的受累部位,但累及腭龈是相对罕见的。它通常与高复发率和更高的恶性转化倾向有关。手术切除病变被认为是金标准的治疗策略。本病例报告描述一例口腔白斑累及腭龈在一个71岁的男性没有有害的口腔习惯。病变采用手术切除治疗,缺损采用对侧腭龈游离龈移植物修复。虽然术后2年未见复发,但建议患者定期监测。
本文章由计算机程序翻译,如有差异,请以英文原文为准。

Management of leukoplakia of palatal gingiva using free gingival graft.

Management of leukoplakia of palatal gingiva using free gingival graft.

Management of leukoplakia of palatal gingiva using free gingival graft.

Management of leukoplakia of palatal gingiva using free gingival graft.

Oral leukoplakia is a frequently encountered oral potentially malignant disorder that, if left untreated, could progress to oral squamous cell carcinoma. Though the tongue and buccal mucosa are the most common sites to be affected, the involvement of palatal gingiva is relatively rare. It is usually associated with high recurrence rates and a higher tendency to undergo malignant transformation. Surgical excision of the lesion is considered the gold-standard treatment strategy. This case report describes a case of oral leukoplakia involving the palatal gingiva in a 71-year-old male having no deleterious oral habits. The lesion was treated using surgical excision, and the defect was repaired using a free gingival graft from the opposite palatal gingiva. Although no recurrence was noted till 2 years following surgery, the patient was advised to undergo regular monitoring.

求助全文
通过发布文献求助,成功后即可免费获取论文全文。 去求助
来源期刊
CiteScore
1.70
自引率
0.00%
发文量
87
审稿时长
44 weeks
期刊介绍: The Journal of Indian Society of Periodontology publishes original scientific articles to support practice , education and research in the dental specialty of periodontology and oral implantology. Journal of Indian Society of Periodontology (JISP), is the official publication of the Society and is managed and brought out by the Editor of the society. The journal is published Bimonthly with special issues being brought out for specific occasions. The ISP had a bulletin as its publication for a large number of years and was enhanced as a Journal a few years ago
×
引用
GB/T 7714-2015
复制
MLA
复制
APA
复制
导出至
BibTeX EndNote RefMan NoteFirst NoteExpress
×
提示
您的信息不完整,为了账户安全,请先补充。
现在去补充
×
提示
您因"违规操作"
具体请查看互助需知
我知道了
×
提示
确定
请完成安全验证×
copy
已复制链接
快去分享给好友吧!
我知道了
右上角分享
点击右上角分享
0
联系我们:info@booksci.cn Book学术提供免费学术资源搜索服务,方便国内外学者检索中英文文献。致力于提供最便捷和优质的服务体验。 Copyright © 2023 布克学术 All rights reserved.
京ICP备2023020795号-1
ghs 京公网安备 11010802042870号
Book学术文献互助
Book学术文献互助群
群 号:604180095
Book学术官方微信