结构MRI在神经系统疾病中的临床应用现状。

IF 3.1 3区 医学 Q2 CLINICAL NEUROLOGY
Woo-Suk Tae, Byung-Joo Ham, Sung-Bom Pyun, Byung-Jo Kim
{"title":"结构MRI在神经系统疾病中的临床应用现状。","authors":"Woo-Suk Tae, Byung-Joo Ham, Sung-Bom Pyun, Byung-Jo Kim","doi":"10.3988/jcn.2025.0185","DOIUrl":null,"url":null,"abstract":"<p><p>Structural magnetic resonance imaging (sMRI) plays a pivotal role in the evaluation of neurological disorders by providing high-resolution anatomical information. Recent advances in quantitative postprocessing techniques have expanded the utility of sMRI beyond visual assessments by enabling the detection of subtle morphological changes associated with various neurological and psychiatric conditions. This review summarizes current clinical applications of sMRI-based analysis, including brain volumetry, shape analysis, voxel-based morphometry (VBM), surface-based morphometry, source-based morphometry, and voxel-based lesion-symptom mapping (VLSM). Volumetric and shape-based analyses allow for assessments of region-specific atrophy and subregional morphological alterations, while VBM and surface-based morphometry provide complementary insights into tissue volumes and the architecture of the cortical surface. Source-based morphometry reveals network-level patterns of structural covariance, and VLSM directly correlates lesion locations with functional outcomes, particularly in stroke. It has been demonstrated that these methodologies are clinically relevant in conditions such as Alzheimer's disease, Parkinson's disease, multiple sclerosis, epilepsy, and major depressive disorder. By quantifying structural brain alterations that are not readily detectable using conventional imaging methods, these tools improve diagnostic accuracy, support prognostication, and facilitate monitoring of treatment effects. This review highlights the growing integration of sMRI postprocessing techniques into clinical neurology.</p>","PeriodicalId":15432,"journal":{"name":"Journal of Clinical Neurology","volume":"21 4","pages":"277-293"},"PeriodicalIF":3.1000,"publicationDate":"2025-07-01","publicationTypes":"Journal Article","fieldsOfStudy":null,"isOpenAccess":false,"openAccessPdf":"https://www.ncbi.nlm.nih.gov/pmc/articles/PMC12303675/pdf/","citationCount":"0","resultStr":"{\"title\":\"Current Clinical Applications of Structural MRI in Neurological Disorders.\",\"authors\":\"Woo-Suk Tae, Byung-Joo Ham, Sung-Bom Pyun, Byung-Jo Kim\",\"doi\":\"10.3988/jcn.2025.0185\",\"DOIUrl\":null,\"url\":null,\"abstract\":\"<p><p>Structural magnetic resonance imaging (sMRI) plays a pivotal role in the evaluation of neurological disorders by providing high-resolution anatomical information. Recent advances in quantitative postprocessing techniques have expanded the utility of sMRI beyond visual assessments by enabling the detection of subtle morphological changes associated with various neurological and psychiatric conditions. This review summarizes current clinical applications of sMRI-based analysis, including brain volumetry, shape analysis, voxel-based morphometry (VBM), surface-based morphometry, source-based morphometry, and voxel-based lesion-symptom mapping (VLSM). Volumetric and shape-based analyses allow for assessments of region-specific atrophy and subregional morphological alterations, while VBM and surface-based morphometry provide complementary insights into tissue volumes and the architecture of the cortical surface. Source-based morphometry reveals network-level patterns of structural covariance, and VLSM directly correlates lesion locations with functional outcomes, particularly in stroke. It has been demonstrated that these methodologies are clinically relevant in conditions such as Alzheimer's disease, Parkinson's disease, multiple sclerosis, epilepsy, and major depressive disorder. By quantifying structural brain alterations that are not readily detectable using conventional imaging methods, these tools improve diagnostic accuracy, support prognostication, and facilitate monitoring of treatment effects. This review highlights the growing integration of sMRI postprocessing techniques into clinical neurology.</p>\",\"PeriodicalId\":15432,\"journal\":{\"name\":\"Journal of Clinical Neurology\",\"volume\":\"21 4\",\"pages\":\"277-293\"},\"PeriodicalIF\":3.1000,\"publicationDate\":\"2025-07-01\",\"publicationTypes\":\"Journal Article\",\"fieldsOfStudy\":null,\"isOpenAccess\":false,\"openAccessPdf\":\"https://www.ncbi.nlm.nih.gov/pmc/articles/PMC12303675/pdf/\",\"citationCount\":\"0\",\"resultStr\":null,\"platform\":\"Semanticscholar\",\"paperid\":null,\"PeriodicalName\":\"Journal of Clinical Neurology\",\"FirstCategoryId\":\"3\",\"ListUrlMain\":\"https://doi.org/10.3988/jcn.2025.0185\",\"RegionNum\":3,\"RegionCategory\":\"医学\",\"ArticlePicture\":[],\"TitleCN\":null,\"AbstractTextCN\":null,\"PMCID\":null,\"EPubDate\":\"\",\"PubModel\":\"\",\"JCR\":\"Q2\",\"JCRName\":\"CLINICAL NEUROLOGY\",\"Score\":null,\"Total\":0}","platform":"Semanticscholar","paperid":null,"PeriodicalName":"Journal of Clinical Neurology","FirstCategoryId":"3","ListUrlMain":"https://doi.org/10.3988/jcn.2025.0185","RegionNum":3,"RegionCategory":"医学","ArticlePicture":[],"TitleCN":null,"AbstractTextCN":null,"PMCID":null,"EPubDate":"","PubModel":"","JCR":"Q2","JCRName":"CLINICAL NEUROLOGY","Score":null,"Total":0}
引用次数: 0

摘要

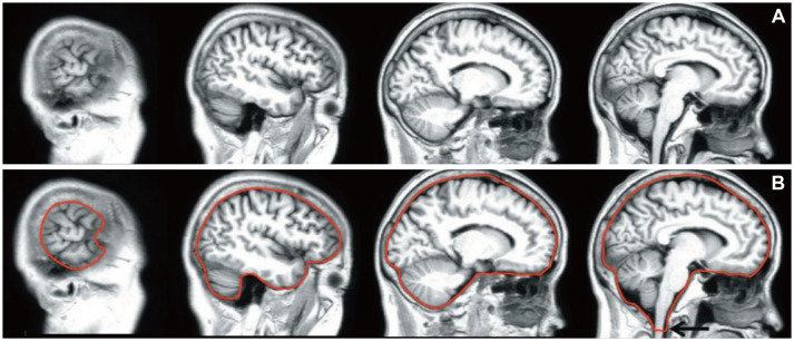
结构磁共振成像(sMRI)通过提供高分辨率的解剖信息,在神经系统疾病的评估中发挥着关键作用。定量后处理技术的最新进展通过检测与各种神经和精神疾病相关的细微形态学变化,扩大了sMRI的应用范围,超出了视觉评估。本文综述了目前基于smri的分析的临床应用,包括脑容量测量、形状分析、基于体素的形态测量(VBM)、基于表面的形态测量、基于源的形态测量和基于体素的病变症状制图(VLSM)。基于体积和形状的分析允许评估区域特异性萎缩和分区域形态改变,而基于VBM和基于表面的形态测量提供了对组织体积和皮质表面结构的补充见解。基于源的形态测量揭示了结构协方差的网络水平模式,VLSM直接将病变位置与功能结果联系起来,特别是在中风中。已经证明,这些方法在阿尔茨海默病、帕金森病、多发性硬化症、癫痫和重度抑郁症等疾病中具有临床相关性。通过量化传统成像方法难以检测到的大脑结构改变,这些工具提高了诊断准确性,支持预测,并促进了治疗效果的监测。这篇综述强调了sMRI后处理技术日益融入临床神经病学。
本文章由计算机程序翻译,如有差异,请以英文原文为准。

Current Clinical Applications of Structural MRI in Neurological Disorders.

Current Clinical Applications of Structural MRI in Neurological Disorders.

Current Clinical Applications of Structural MRI in Neurological Disorders.

Current Clinical Applications of Structural MRI in Neurological Disorders.

Structural magnetic resonance imaging (sMRI) plays a pivotal role in the evaluation of neurological disorders by providing high-resolution anatomical information. Recent advances in quantitative postprocessing techniques have expanded the utility of sMRI beyond visual assessments by enabling the detection of subtle morphological changes associated with various neurological and psychiatric conditions. This review summarizes current clinical applications of sMRI-based analysis, including brain volumetry, shape analysis, voxel-based morphometry (VBM), surface-based morphometry, source-based morphometry, and voxel-based lesion-symptom mapping (VLSM). Volumetric and shape-based analyses allow for assessments of region-specific atrophy and subregional morphological alterations, while VBM and surface-based morphometry provide complementary insights into tissue volumes and the architecture of the cortical surface. Source-based morphometry reveals network-level patterns of structural covariance, and VLSM directly correlates lesion locations with functional outcomes, particularly in stroke. It has been demonstrated that these methodologies are clinically relevant in conditions such as Alzheimer's disease, Parkinson's disease, multiple sclerosis, epilepsy, and major depressive disorder. By quantifying structural brain alterations that are not readily detectable using conventional imaging methods, these tools improve diagnostic accuracy, support prognostication, and facilitate monitoring of treatment effects. This review highlights the growing integration of sMRI postprocessing techniques into clinical neurology.

求助全文
通过发布文献求助,成功后即可免费获取论文全文。 去求助
来源期刊
Journal of Clinical Neurology
Journal of Clinical Neurology 医学-临床神经学
CiteScore
4.50
自引率
6.50%
发文量
0
审稿时长
>12 weeks
期刊介绍: The JCN aims to publish the cutting-edge research from around the world. The JCN covers clinical and translational research for physicians and researchers in the field of neurology. Encompassing the entire neurological diseases, our main focus is on the common disorders including stroke, epilepsy, Parkinson''s disease, dementia, multiple sclerosis, headache, and peripheral neuropathy. Any authors affiliated with an accredited biomedical institution may submit manuscripts of original articles, review articles, and letters to the editor. The JCN will allow clinical neurologists to enrich their knowledge of patient management, education, and clinical or experimental research, and hence their professionalism.
×
引用
GB/T 7714-2015
复制
MLA
复制
APA
复制
导出至
BibTeX EndNote RefMan NoteFirst NoteExpress
×
提示
您的信息不完整,为了账户安全,请先补充。
现在去补充
×
提示
您因"违规操作"
具体请查看互助需知
我知道了
×
提示
确定
请完成安全验证×
copy
已复制链接
快去分享给好友吧!
我知道了
右上角分享
点击右上角分享
0
联系我们:info@booksci.cn Book学术提供免费学术资源搜索服务,方便国内外学者检索中英文文献。致力于提供最便捷和优质的服务体验。 Copyright © 2023 布克学术 All rights reserved.
京ICP备2023020795号-1
ghs 京公网安备 11010802042870号
Book学术文献互助
Book学术文献互助群
群 号:604180095
Book学术官方微信