18F-FDG PET/CT评价肺硬化性肺细胞瘤的特征。

IF 2.3 3区 医学 Q3 ONCOLOGY
Jie Xu, Xing Wan, Shudan Zhai, Shuai Yuan, Songyi Li, Wengui Xu, Mengran Fan, Lei Zhu
{"title":"18F-FDG PET/CT评价肺硬化性肺细胞瘤的特征。","authors":"Jie Xu, Xing Wan, Shudan Zhai, Shuai Yuan, Songyi Li, Wengui Xu, Mengran Fan, Lei Zhu","doi":"10.1111/1759-7714.70124","DOIUrl":null,"url":null,"abstract":"<p><strong>Background: </strong>This study evaluated the presentation of pulmonary sclerosing pneumocytoma (PSP) in <sup>18</sup>F-fluorodeoxyglucose positron emission tomography/computed tomography (<sup>18</sup>F-FDG PET/CT) with the aim of increasing awareness of the disease.</p><p><strong>Methods: </strong>Retrospective analysis was performed on 46 PSP patients who had <sup>18</sup>F-FDG PET/CT before surgery or pathological examination from January 2011 to December 2023. The <sup>18</sup>F-FDG PET/CT manifestations of PSP were summarized, and the correlation between the maximum diameter of the tumor and PET metabolic parameters was analyzed, including the maximum standardized uptake value (SUV<sub>max</sub>), the mean SUV (SUV<sub>mean</sub>), the peak SUV (SUV<sub>peak</sub>), metabolic tumor volume (MTV) and total lesion glycolysis (TLG).</p><p><strong>Results: </strong>The 46 tumors were randomly distributed in each lobe of both lungs. The mean maximum diameter of these lesions was 2.2 cm (range: 0.6 to 6.5 cm). The mean SUV<sub>max</sub> was 2.96 ± 1.88 (median: 2.69, range: 0-9.02). Thirty-three cases were categorized as mild to moderate FDG uptake, eleven cases were categorized as intense FDG uptake, and no FDG uptake was observed in the remaining two cases of the lesions qualitatively evaluated. The SUV<sub>max</sub> of the PSP showed a positive correlation with the maximum diameter of the tumors (R = 0.493, R<sup>2</sup> = 0.258, and p < 0.001). SUV<sub>mean</sub> (R = 0.500, R<sup>2</sup> = 0.259, p < 0.001), SUV<sub>peak</sub> (R = 0.553, R<sup>2</sup> = 0.324, p < 0.001), MTV (R = 0.773, R<sup>2</sup> = 0.592, p < 0.001) and TLG (R = 0.800, R<sup>2</sup> = 0.654, p < 0.001) were positively correlated with the maximum diameter of the tumor.</p><p><strong>Conclusion: </strong>In our study, statistically significant positive correlations were found between SUV<sub>max</sub>, SUV<sub>mean</sub>, SUV<sub>peak</sub>, MTV, and TLG and the maximum diameter of PSP. We found that the maximum diameter of the tumor is associated with an increase in FDG uptake in PSP, reflecting a potential correlation between lesion diameter and PET metabolic parameters, indicating a link between structural features and metabolic activity.</p>","PeriodicalId":23338,"journal":{"name":"Thoracic Cancer","volume":"16 13","pages":"e70124"},"PeriodicalIF":2.3000,"publicationDate":"2025-07-01","publicationTypes":"Journal Article","fieldsOfStudy":null,"isOpenAccess":false,"openAccessPdf":"https://www.ncbi.nlm.nih.gov/pmc/articles/PMC12234158/pdf/","citationCount":"0","resultStr":"{\"title\":\"Characterization of Pulmonary Sclerosing Pneumocytoma Assessed by <sup>18</sup>F-FDG PET/CT.\",\"authors\":\"Jie Xu, Xing Wan, Shudan Zhai, Shuai Yuan, Songyi Li, Wengui Xu, Mengran Fan, Lei Zhu\",\"doi\":\"10.1111/1759-7714.70124\",\"DOIUrl\":null,\"url\":null,\"abstract\":\"<p><strong>Background: </strong>This study evaluated the presentation of pulmonary sclerosing pneumocytoma (PSP) in <sup>18</sup>F-fluorodeoxyglucose positron emission tomography/computed tomography (<sup>18</sup>F-FDG PET/CT) with the aim of increasing awareness of the disease.</p><p><strong>Methods: </strong>Retrospective analysis was performed on 46 PSP patients who had <sup>18</sup>F-FDG PET/CT before surgery or pathological examination from January 2011 to December 2023. The <sup>18</sup>F-FDG PET/CT manifestations of PSP were summarized, and the correlation between the maximum diameter of the tumor and PET metabolic parameters was analyzed, including the maximum standardized uptake value (SUV<sub>max</sub>), the mean SUV (SUV<sub>mean</sub>), the peak SUV (SUV<sub>peak</sub>), metabolic tumor volume (MTV) and total lesion glycolysis (TLG).</p><p><strong>Results: </strong>The 46 tumors were randomly distributed in each lobe of both lungs. The mean maximum diameter of these lesions was 2.2 cm (range: 0.6 to 6.5 cm). The mean SUV<sub>max</sub> was 2.96 ± 1.88 (median: 2.69, range: 0-9.02). Thirty-three cases were categorized as mild to moderate FDG uptake, eleven cases were categorized as intense FDG uptake, and no FDG uptake was observed in the remaining two cases of the lesions qualitatively evaluated. The SUV<sub>max</sub> of the PSP showed a positive correlation with the maximum diameter of the tumors (R = 0.493, R<sup>2</sup> = 0.258, and p < 0.001). SUV<sub>mean</sub> (R = 0.500, R<sup>2</sup> = 0.259, p < 0.001), SUV<sub>peak</sub> (R = 0.553, R<sup>2</sup> = 0.324, p < 0.001), MTV (R = 0.773, R<sup>2</sup> = 0.592, p < 0.001) and TLG (R = 0.800, R<sup>2</sup> = 0.654, p < 0.001) were positively correlated with the maximum diameter of the tumor.</p><p><strong>Conclusion: </strong>In our study, statistically significant positive correlations were found between SUV<sub>max</sub>, SUV<sub>mean</sub>, SUV<sub>peak</sub>, MTV, and TLG and the maximum diameter of PSP. We found that the maximum diameter of the tumor is associated with an increase in FDG uptake in PSP, reflecting a potential correlation between lesion diameter and PET metabolic parameters, indicating a link between structural features and metabolic activity.</p>\",\"PeriodicalId\":23338,\"journal\":{\"name\":\"Thoracic Cancer\",\"volume\":\"16 13\",\"pages\":\"e70124\"},\"PeriodicalIF\":2.3000,\"publicationDate\":\"2025-07-01\",\"publicationTypes\":\"Journal Article\",\"fieldsOfStudy\":null,\"isOpenAccess\":false,\"openAccessPdf\":\"https://www.ncbi.nlm.nih.gov/pmc/articles/PMC12234158/pdf/\",\"citationCount\":\"0\",\"resultStr\":null,\"platform\":\"Semanticscholar\",\"paperid\":null,\"PeriodicalName\":\"Thoracic Cancer\",\"FirstCategoryId\":\"3\",\"ListUrlMain\":\"https://doi.org/10.1111/1759-7714.70124\",\"RegionNum\":3,\"RegionCategory\":\"医学\",\"ArticlePicture\":[],\"TitleCN\":null,\"AbstractTextCN\":null,\"PMCID\":null,\"EPubDate\":\"\",\"PubModel\":\"\",\"JCR\":\"Q3\",\"JCRName\":\"ONCOLOGY\",\"Score\":null,\"Total\":0}","platform":"Semanticscholar","paperid":null,"PeriodicalName":"Thoracic Cancer","FirstCategoryId":"3","ListUrlMain":"https://doi.org/10.1111/1759-7714.70124","RegionNum":3,"RegionCategory":"医学","ArticlePicture":[],"TitleCN":null,"AbstractTextCN":null,"PMCID":null,"EPubDate":"","PubModel":"","JCR":"Q3","JCRName":"ONCOLOGY","Score":null,"Total":0}
引用次数: 0

摘要

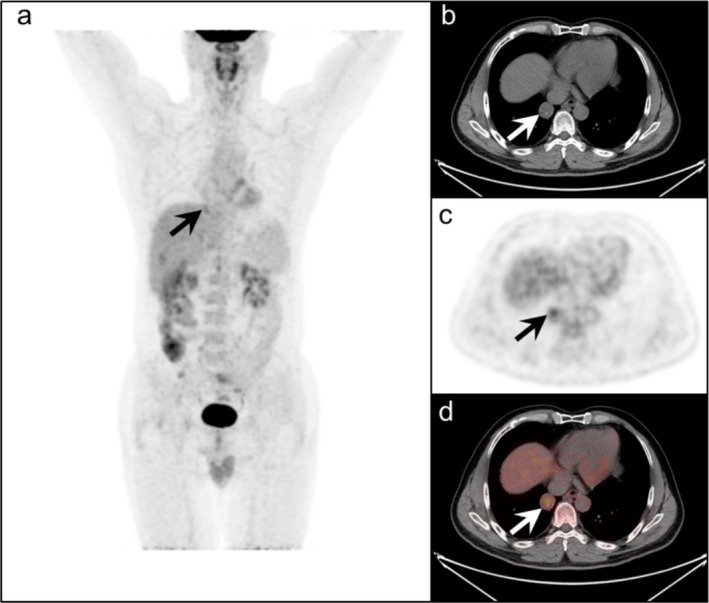
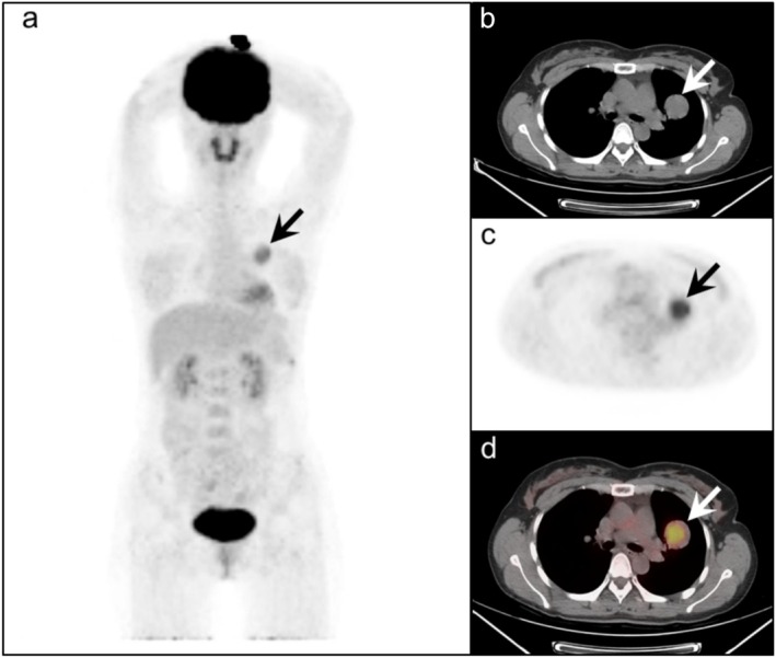
背景:本研究评估肺硬化性肺细胞瘤(PSP)在18f -氟脱氧葡萄糖正电子发射断层扫描/计算机断层扫描(18F-FDG PET/CT)上的表现,目的是提高对该疾病的认识。方法:回顾性分析2011年1月至2023年12月46例PSP患者术前或病理检查均行18F-FDG PET/CT检查的资料。总结PSP的18F-FDG PET/CT表现,分析肿瘤最大直径与PET代谢参数的相关性,包括最大标准化摄取值(SUVmax)、平均SUV (SUVmean)、峰值SUV (SUVpeak)、代谢肿瘤体积(MTV)和病变总糖酵解(TLG)。结果:46例肿瘤随机分布于双肺各叶。这些病变的平均最大直径为2.2厘米(范围:0.6至6.5厘米)。平均SUVmax为2.96±1.88(中位数:2.69,范围:0-9.02)。33例为轻至中度FDG摄取,11例为强烈FDG摄取,其余2例定性评价病变未观察到FDG摄取。PSP的SUVmax与肿瘤最大直径呈正相关(R = 0.493, R2 = 0.258, p mean) (R = 0.500, R2 = 0.259, p peak) (R = 0.553, R2 = 0.324, p 2 = 0.592, p 2 = 0.654, p)。结论:在我们的研究中,SUVmax、SUVmean、SUVpeak、MTV、TLG与PSP最大直径呈正相关,具有统计学意义。我们发现肿瘤的最大直径与PSP中FDG摄取的增加有关,反映了病变直径与PET代谢参数之间的潜在相关性,表明结构特征与代谢活性之间存在联系。
本文章由计算机程序翻译,如有差异,请以英文原文为准。

Characterization of Pulmonary Sclerosing Pneumocytoma Assessed by <sup>18</sup>F-FDG PET/CT.

Characterization of Pulmonary Sclerosing Pneumocytoma Assessed by <sup>18</sup>F-FDG PET/CT.

Characterization of Pulmonary Sclerosing Pneumocytoma Assessed by <sup>18</sup>F-FDG PET/CT.

Characterization of Pulmonary Sclerosing Pneumocytoma Assessed by 18F-FDG PET/CT.

Background: This study evaluated the presentation of pulmonary sclerosing pneumocytoma (PSP) in 18F-fluorodeoxyglucose positron emission tomography/computed tomography (18F-FDG PET/CT) with the aim of increasing awareness of the disease.

Methods: Retrospective analysis was performed on 46 PSP patients who had 18F-FDG PET/CT before surgery or pathological examination from January 2011 to December 2023. The 18F-FDG PET/CT manifestations of PSP were summarized, and the correlation between the maximum diameter of the tumor and PET metabolic parameters was analyzed, including the maximum standardized uptake value (SUVmax), the mean SUV (SUVmean), the peak SUV (SUVpeak), metabolic tumor volume (MTV) and total lesion glycolysis (TLG).

Results: The 46 tumors were randomly distributed in each lobe of both lungs. The mean maximum diameter of these lesions was 2.2 cm (range: 0.6 to 6.5 cm). The mean SUVmax was 2.96 ± 1.88 (median: 2.69, range: 0-9.02). Thirty-three cases were categorized as mild to moderate FDG uptake, eleven cases were categorized as intense FDG uptake, and no FDG uptake was observed in the remaining two cases of the lesions qualitatively evaluated. The SUVmax of the PSP showed a positive correlation with the maximum diameter of the tumors (R = 0.493, R2 = 0.258, and p < 0.001). SUVmean (R = 0.500, R2 = 0.259, p < 0.001), SUVpeak (R = 0.553, R2 = 0.324, p < 0.001), MTV (R = 0.773, R2 = 0.592, p < 0.001) and TLG (R = 0.800, R2 = 0.654, p < 0.001) were positively correlated with the maximum diameter of the tumor.

Conclusion: In our study, statistically significant positive correlations were found between SUVmax, SUVmean, SUVpeak, MTV, and TLG and the maximum diameter of PSP. We found that the maximum diameter of the tumor is associated with an increase in FDG uptake in PSP, reflecting a potential correlation between lesion diameter and PET metabolic parameters, indicating a link between structural features and metabolic activity.

求助全文
通过发布文献求助,成功后即可免费获取论文全文。 去求助
来源期刊
Thoracic Cancer
Thoracic Cancer ONCOLOGY-RESPIRATORY SYSTEM
CiteScore
5.20
自引率
3.40%
发文量
439
审稿时长
2 months
期刊介绍: Thoracic Cancer aims to facilitate international collaboration and exchange of comprehensive and cutting-edge information on basic, translational, and applied clinical research in lung cancer, esophageal cancer, mediastinal cancer, breast cancer and other thoracic malignancies. Prevention, treatment and research relevant to Asia-Pacific is a focus area, but submissions from all regions are welcomed. The editors encourage contributions relevant to prevention, general thoracic surgery, medical oncology, radiology, radiation medicine, pathology, basic cancer research, as well as epidemiological and translational studies in thoracic cancer. Thoracic Cancer is the official publication of the Chinese Society of Lung Cancer, International Chinese Society of Thoracic Surgery and is endorsed by the Korean Association for the Study of Lung Cancer and the Hong Kong Cancer Therapy Society. The Journal publishes a range of article types including: Editorials, Invited Reviews, Mini Reviews, Original Articles, Clinical Guidelines, Technological Notes, Imaging in thoracic cancer, Meeting Reports, Case Reports, Letters to the Editor, Commentaries, and Brief Reports.
×
引用
GB/T 7714-2015
复制
MLA
复制
APA
复制
导出至
BibTeX EndNote RefMan NoteFirst NoteExpress
×
提示
您的信息不完整,为了账户安全,请先补充。
现在去补充
×
提示
您因"违规操作"
具体请查看互助需知
我知道了
×
提示
确定
请完成安全验证×
copy
已复制链接
快去分享给好友吧!
我知道了
右上角分享
点击右上角分享
0
联系我们:info@booksci.cn Book学术提供免费学术资源搜索服务,方便国内外学者检索中英文文献。致力于提供最便捷和优质的服务体验。 Copyright © 2023 布克学术 All rights reserved.
京ICP备2023020795号-1
ghs 京公网安备 11010802042870号
Book学术文献互助
Book学术文献互助群
群 号:604180095
Book学术官方微信