失踪儿童:一名15岁非洲男性表面活性蛋白C缺乏症延误诊断的病例报告。

IF 3.1 3区 医学 Q1 PEDIATRICS
Nadia Faelli, Federica Chironi, Beatrice Andrenacci, Maria Francesca Patria, Stefano Ferrero, Irene Borzani, Costanza Pucci, Daniela Civeriati, Mara Lelii, Barbara Madini, Alessia Rocchi, Valeria Daccò
{"title":"失踪儿童:一名15岁非洲男性表面活性蛋白C缺乏症延误诊断的病例报告。","authors":"Nadia Faelli, Federica Chironi, Beatrice Andrenacci, Maria Francesca Patria, Stefano Ferrero, Irene Borzani, Costanza Pucci, Daniela Civeriati, Mara Lelii, Barbara Madini, Alessia Rocchi, Valeria Daccò","doi":"10.1186/s13052-025-02018-3","DOIUrl":null,"url":null,"abstract":"<p><strong>Background: </strong>Childhood interstitial lung disease (chILD) encompasses a heterogeneous group of rare disorders characterized by respiratory distress, hypoxemia, exercise intolerance, and distinctive radiological findings. Despite the variable age of onset, these conditions often present with overlapping symptoms and variable progression, even with identical genetic mutations. Surfactant protein deficiencies fall under the category of chILD, with Surfactant Protein-C (SP-C) deficiency posing significant diagnostic challenges due to its rarity and the variable severity of clinical presentation.</p><p><strong>Case presentation: </strong>We present the case of a 15-year-old male from Senegal who recently arrived in Italy, presenting with severe respiratory distress and hypoxemia. The patient, born full-term, had a long history of chronic cough, recurrent respiratory distress, and poor growth since early infancy. Upon hospitalization, he tested positive for SARS-CoV-2 and exhibited signs of chronic respiratory failure and severe malnutrition. An extensive diagnostic work-up, including a chest CT scan, revealed small cystic-like air spaces and diffuse ground-glass opacities. Whole-exome sequencing confirmed the diagnosis of SP-C deficiency by identifying a heterozygous missense mutation (c.218t>C, Ile73Thr) in the third exon of the SFTPC gene. Treatment with steroids, azithromycin and hydroxychloroquine was initiated. Despite pharmacological treatments, the patient remained oxygen dependent due to the severity of this condition and required long-term bilevel non-invasive ventilatory support.</p><p><strong>Conclusions: </strong>This case provides insight into the natural course of untreated child, specifically SP-C deficiency, enhancing our understanding of its manifestations and progression. The lack of standardized treatments underscores the critical need for increased awareness among physicians of this rare but potentially life-threatening condition, enabling early diagnosis and timely therapeutic interventions.</p>","PeriodicalId":14511,"journal":{"name":"Italian Journal of Pediatrics","volume":"51 1","pages":"212"},"PeriodicalIF":3.1000,"publicationDate":"2025-07-07","publicationTypes":"Journal Article","fieldsOfStudy":null,"isOpenAccess":false,"openAccessPdf":"https://www.ncbi.nlm.nih.gov/pmc/articles/PMC12235945/pdf/","citationCount":"0","resultStr":"{\"title\":\"The lost chILD: a case report of delayed diagnosis of surfactant protein C deficiency in a 15-year-old African male.\",\"authors\":\"Nadia Faelli, Federica Chironi, Beatrice Andrenacci, Maria Francesca Patria, Stefano Ferrero, Irene Borzani, Costanza Pucci, Daniela Civeriati, Mara Lelii, Barbara Madini, Alessia Rocchi, Valeria Daccò\",\"doi\":\"10.1186/s13052-025-02018-3\",\"DOIUrl\":null,\"url\":null,\"abstract\":\"<p><strong>Background: </strong>Childhood interstitial lung disease (chILD) encompasses a heterogeneous group of rare disorders characterized by respiratory distress, hypoxemia, exercise intolerance, and distinctive radiological findings. Despite the variable age of onset, these conditions often present with overlapping symptoms and variable progression, even with identical genetic mutations. Surfactant protein deficiencies fall under the category of chILD, with Surfactant Protein-C (SP-C) deficiency posing significant diagnostic challenges due to its rarity and the variable severity of clinical presentation.</p><p><strong>Case presentation: </strong>We present the case of a 15-year-old male from Senegal who recently arrived in Italy, presenting with severe respiratory distress and hypoxemia. The patient, born full-term, had a long history of chronic cough, recurrent respiratory distress, and poor growth since early infancy. Upon hospitalization, he tested positive for SARS-CoV-2 and exhibited signs of chronic respiratory failure and severe malnutrition. An extensive diagnostic work-up, including a chest CT scan, revealed small cystic-like air spaces and diffuse ground-glass opacities. Whole-exome sequencing confirmed the diagnosis of SP-C deficiency by identifying a heterozygous missense mutation (c.218t>C, Ile73Thr) in the third exon of the SFTPC gene. Treatment with steroids, azithromycin and hydroxychloroquine was initiated. Despite pharmacological treatments, the patient remained oxygen dependent due to the severity of this condition and required long-term bilevel non-invasive ventilatory support.</p><p><strong>Conclusions: </strong>This case provides insight into the natural course of untreated child, specifically SP-C deficiency, enhancing our understanding of its manifestations and progression. The lack of standardized treatments underscores the critical need for increased awareness among physicians of this rare but potentially life-threatening condition, enabling early diagnosis and timely therapeutic interventions.</p>\",\"PeriodicalId\":14511,\"journal\":{\"name\":\"Italian Journal of Pediatrics\",\"volume\":\"51 1\",\"pages\":\"212\"},\"PeriodicalIF\":3.1000,\"publicationDate\":\"2025-07-07\",\"publicationTypes\":\"Journal Article\",\"fieldsOfStudy\":null,\"isOpenAccess\":false,\"openAccessPdf\":\"https://www.ncbi.nlm.nih.gov/pmc/articles/PMC12235945/pdf/\",\"citationCount\":\"0\",\"resultStr\":null,\"platform\":\"Semanticscholar\",\"paperid\":null,\"PeriodicalName\":\"Italian Journal of Pediatrics\",\"FirstCategoryId\":\"3\",\"ListUrlMain\":\"https://doi.org/10.1186/s13052-025-02018-3\",\"RegionNum\":3,\"RegionCategory\":\"医学\",\"ArticlePicture\":[],\"TitleCN\":null,\"AbstractTextCN\":null,\"PMCID\":null,\"EPubDate\":\"\",\"PubModel\":\"\",\"JCR\":\"Q1\",\"JCRName\":\"PEDIATRICS\",\"Score\":null,\"Total\":0}","platform":"Semanticscholar","paperid":null,"PeriodicalName":"Italian Journal of Pediatrics","FirstCategoryId":"3","ListUrlMain":"https://doi.org/10.1186/s13052-025-02018-3","RegionNum":3,"RegionCategory":"医学","ArticlePicture":[],"TitleCN":null,"AbstractTextCN":null,"PMCID":null,"EPubDate":"","PubModel":"","JCR":"Q1","JCRName":"PEDIATRICS","Score":null,"Total":0}
引用次数: 0

摘要

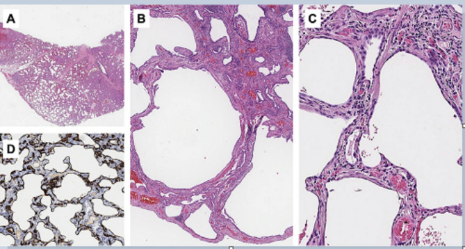
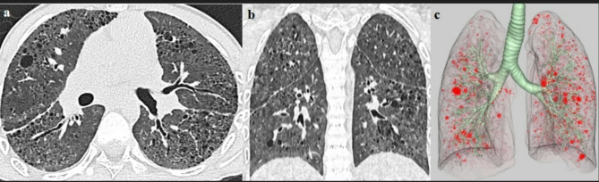
背景:儿童间质性肺疾病(chILD)包括一组异质性的罕见疾病,其特征为呼吸窘迫、低氧血症、运动不耐受和独特的影像学表现。尽管发病年龄不同,但这些疾病往往表现为重叠的症状和不同的进展,甚至具有相同的基因突变。表面活性剂蛋白缺乏症属于儿童的范畴,表面活性剂蛋白c (SP-C)缺乏症由于其罕见性和临床表现的不同严重程度,给诊断带来了重大挑战。病例介绍:我们报告一名来自塞内加尔的15岁男性病例,他最近抵达意大利,表现为严重呼吸窘迫和低氧血症。患者足月出生,长期慢性咳嗽,反复呼吸窘迫,婴儿期生长不良。入院后,他的SARS-CoV-2检测呈阳性,并表现出慢性呼吸衰竭和严重营养不良的迹象。广泛的诊断检查,包括胸部CT扫描,发现小的囊状空气间隙和弥漫性磨玻璃浊影。全外显子组测序通过在SFTPC基因的第三个外显子中发现一个杂合错义突变(C .218t>C, Ile73Thr)证实了SP-C缺乏症的诊断。开始使用类固醇、阿奇霉素和羟氯喹治疗。尽管进行了药物治疗,但由于病情的严重性,患者仍然依赖氧气,需要长期的双水平无创通气支持。结论:本病例提供了对未经治疗儿童的自然病程,特别是SP-C缺乏症的深入了解,增强了我们对其表现和进展的理解。标准化治疗的缺乏突出表明,迫切需要提高医生对这一罕见但可能危及生命的疾病的认识,从而实现早期诊断和及时的治疗干预。
本文章由计算机程序翻译,如有差异,请以英文原文为准。

The lost chILD: a case report of delayed diagnosis of surfactant protein C deficiency in a 15-year-old African male.

The lost chILD: a case report of delayed diagnosis of surfactant protein C deficiency in a 15-year-old African male.

The lost chILD: a case report of delayed diagnosis of surfactant protein C deficiency in a 15-year-old African male.

Background: Childhood interstitial lung disease (chILD) encompasses a heterogeneous group of rare disorders characterized by respiratory distress, hypoxemia, exercise intolerance, and distinctive radiological findings. Despite the variable age of onset, these conditions often present with overlapping symptoms and variable progression, even with identical genetic mutations. Surfactant protein deficiencies fall under the category of chILD, with Surfactant Protein-C (SP-C) deficiency posing significant diagnostic challenges due to its rarity and the variable severity of clinical presentation.

Case presentation: We present the case of a 15-year-old male from Senegal who recently arrived in Italy, presenting with severe respiratory distress and hypoxemia. The patient, born full-term, had a long history of chronic cough, recurrent respiratory distress, and poor growth since early infancy. Upon hospitalization, he tested positive for SARS-CoV-2 and exhibited signs of chronic respiratory failure and severe malnutrition. An extensive diagnostic work-up, including a chest CT scan, revealed small cystic-like air spaces and diffuse ground-glass opacities. Whole-exome sequencing confirmed the diagnosis of SP-C deficiency by identifying a heterozygous missense mutation (c.218t>C, Ile73Thr) in the third exon of the SFTPC gene. Treatment with steroids, azithromycin and hydroxychloroquine was initiated. Despite pharmacological treatments, the patient remained oxygen dependent due to the severity of this condition and required long-term bilevel non-invasive ventilatory support.

Conclusions: This case provides insight into the natural course of untreated child, specifically SP-C deficiency, enhancing our understanding of its manifestations and progression. The lack of standardized treatments underscores the critical need for increased awareness among physicians of this rare but potentially life-threatening condition, enabling early diagnosis and timely therapeutic interventions.

求助全文
通过发布文献求助,成功后即可免费获取论文全文。 去求助
来源期刊
CiteScore
6.10
自引率
13.90%
发文量
192
审稿时长
6-12 weeks
期刊介绍: Italian Journal of Pediatrics is an open access peer-reviewed journal that includes all aspects of pediatric medicine. The journal also covers health service and public health research that addresses primary care issues. The journal provides a high-quality forum for pediatricians and other healthcare professionals to report and discuss up-to-the-minute research and expert reviews in the field of pediatric medicine. The journal will continue to develop the range of articles published to enable this invaluable resource to stay at the forefront of the field. Italian Journal of Pediatrics, which commenced in 1975 as Rivista Italiana di Pediatria, provides a high-quality forum for pediatricians and other healthcare professionals to report and discuss up-to-the-minute research and expert reviews in the field of pediatric medicine. The journal will continue to develop the range of articles published to enable this invaluable resource to stay at the forefront of the field.
×
引用
GB/T 7714-2015
复制
MLA
复制
APA
复制
导出至
BibTeX EndNote RefMan NoteFirst NoteExpress
×
提示
您的信息不完整,为了账户安全,请先补充。
现在去补充
×
提示
您因"违规操作"
具体请查看互助需知
我知道了
×
提示
确定
请完成安全验证×
copy
已复制链接
快去分享给好友吧!
我知道了
右上角分享
点击右上角分享
0
联系我们:info@booksci.cn Book学术提供免费学术资源搜索服务,方便国内外学者检索中英文文献。致力于提供最便捷和优质的服务体验。 Copyright © 2023 布克学术 All rights reserved.
京ICP备2023020795号-1
ghs 京公网安备 11010802042870号
Book学术文献互助
Book学术文献互助群
群 号:604180095
Book学术官方微信