隐蔽性水肿性原发性肠淋巴管扩张在一名成人患者中出现新发的蛋白质丢失性肠病。

IF 0.5 Q4 GASTROENTEROLOGY & HEPATOLOGY
ACG Case Reports Journal Pub Date : 2025-07-07 eCollection Date: 2025-07-01 DOI:10.14309/crj.0000000000001764
Oscar Noble, Ramon O Minjares, Rebecca Yorke, Alberto Barroso
{"title":"隐蔽性水肿性原发性肠淋巴管扩张在一名成人患者中出现新发的蛋白质丢失性肠病。","authors":"Oscar Noble, Ramon O Minjares, Rebecca Yorke, Alberto Barroso","doi":"10.14309/crj.0000000000001764","DOIUrl":null,"url":null,"abstract":"<p><p>Primary intestinal lymphangiectasia is a rare disorder characterized by the dilation of lymphatic vessels in the small intestine, resulting in the loss of proteins, particularly albumin, into the gastrointestinal tract which leads to a protein-losing enteropathy. We report the case of a 66-year-old African American man who presented with insidious abdominal pain, chronic diarrhea, hypoalbuminemia, leukopenia, and anemia. An elusive diagnosis of edematous subtype primary intestinal lymphangiectasia with protein-losing enteropathy was confirmed through a multimodal diagnostic approach, including video capsule endoscopy and small bowel endoscopy with biopsies. Treatment was focused on optimizing the patient's nutritional status.</p>","PeriodicalId":7394,"journal":{"name":"ACG Case Reports Journal","volume":"12 7","pages":"e01764"},"PeriodicalIF":0.5000,"publicationDate":"2025-07-07","publicationTypes":"Journal Article","fieldsOfStudy":null,"isOpenAccess":false,"openAccessPdf":"https://www.ncbi.nlm.nih.gov/pmc/articles/PMC12233920/pdf/","citationCount":"0","resultStr":"{\"title\":\"Elusive Edematous Primary Intestinal Lymphangiectasia in an Adult Patient Presenting With New Onset of Protein-Losing Enteropathy.\",\"authors\":\"Oscar Noble, Ramon O Minjares, Rebecca Yorke, Alberto Barroso\",\"doi\":\"10.14309/crj.0000000000001764\",\"DOIUrl\":null,\"url\":null,\"abstract\":\"<p><p>Primary intestinal lymphangiectasia is a rare disorder characterized by the dilation of lymphatic vessels in the small intestine, resulting in the loss of proteins, particularly albumin, into the gastrointestinal tract which leads to a protein-losing enteropathy. We report the case of a 66-year-old African American man who presented with insidious abdominal pain, chronic diarrhea, hypoalbuminemia, leukopenia, and anemia. An elusive diagnosis of edematous subtype primary intestinal lymphangiectasia with protein-losing enteropathy was confirmed through a multimodal diagnostic approach, including video capsule endoscopy and small bowel endoscopy with biopsies. Treatment was focused on optimizing the patient's nutritional status.</p>\",\"PeriodicalId\":7394,\"journal\":{\"name\":\"ACG Case Reports Journal\",\"volume\":\"12 7\",\"pages\":\"e01764\"},\"PeriodicalIF\":0.5000,\"publicationDate\":\"2025-07-07\",\"publicationTypes\":\"Journal Article\",\"fieldsOfStudy\":null,\"isOpenAccess\":false,\"openAccessPdf\":\"https://www.ncbi.nlm.nih.gov/pmc/articles/PMC12233920/pdf/\",\"citationCount\":\"0\",\"resultStr\":null,\"platform\":\"Semanticscholar\",\"paperid\":null,\"PeriodicalName\":\"ACG Case Reports Journal\",\"FirstCategoryId\":\"1085\",\"ListUrlMain\":\"https://doi.org/10.14309/crj.0000000000001764\",\"RegionNum\":0,\"RegionCategory\":null,\"ArticlePicture\":[],\"TitleCN\":null,\"AbstractTextCN\":null,\"PMCID\":null,\"EPubDate\":\"2025/7/1 0:00:00\",\"PubModel\":\"eCollection\",\"JCR\":\"Q4\",\"JCRName\":\"GASTROENTEROLOGY & HEPATOLOGY\",\"Score\":null,\"Total\":0}","platform":"Semanticscholar","paperid":null,"PeriodicalName":"ACG Case Reports Journal","FirstCategoryId":"1085","ListUrlMain":"https://doi.org/10.14309/crj.0000000000001764","RegionNum":0,"RegionCategory":null,"ArticlePicture":[],"TitleCN":null,"AbstractTextCN":null,"PMCID":null,"EPubDate":"2025/7/1 0:00:00","PubModel":"eCollection","JCR":"Q4","JCRName":"GASTROENTEROLOGY & HEPATOLOGY","Score":null,"Total":0}
引用次数: 0

摘要

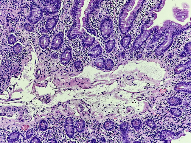
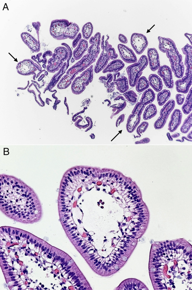
原发性肠淋巴血管扩张是一种罕见的疾病,其特征是小肠淋巴血管扩张,导致蛋白质,特别是白蛋白流失到胃肠道,从而导致蛋白质丢失性肠病。我们报告一个66岁的非裔美国人的情况下,谁提出了隐性腹痛,慢性腹泻,低白蛋白血症,白细胞减少和贫血。通过多模式诊断方法,包括视频胶囊内镜和小肠内镜活检,证实了水肿亚型原发性肠淋巴管扩张合并蛋白质丢失性肠病的难以诊断。治疗的重点是优化患者的营养状况。
本文章由计算机程序翻译,如有差异,请以英文原文为准。

Elusive Edematous Primary Intestinal Lymphangiectasia in an Adult Patient Presenting With New Onset of Protein-Losing Enteropathy.

Elusive Edematous Primary Intestinal Lymphangiectasia in an Adult Patient Presenting With New Onset of Protein-Losing Enteropathy.

Elusive Edematous Primary Intestinal Lymphangiectasia in an Adult Patient Presenting With New Onset of Protein-Losing Enteropathy.

Elusive Edematous Primary Intestinal Lymphangiectasia in an Adult Patient Presenting With New Onset of Protein-Losing Enteropathy.

Primary intestinal lymphangiectasia is a rare disorder characterized by the dilation of lymphatic vessels in the small intestine, resulting in the loss of proteins, particularly albumin, into the gastrointestinal tract which leads to a protein-losing enteropathy. We report the case of a 66-year-old African American man who presented with insidious abdominal pain, chronic diarrhea, hypoalbuminemia, leukopenia, and anemia. An elusive diagnosis of edematous subtype primary intestinal lymphangiectasia with protein-losing enteropathy was confirmed through a multimodal diagnostic approach, including video capsule endoscopy and small bowel endoscopy with biopsies. Treatment was focused on optimizing the patient's nutritional status.

求助全文
通过发布文献求助,成功后即可免费获取论文全文。 去求助
来源期刊
ACG Case Reports Journal
ACG Case Reports Journal GASTROENTEROLOGY & HEPATOLOGY-
自引率
14.30%
发文量
170
审稿时长
12 weeks
期刊介绍: ACG Case Reports Journal is a peer-reviewed, open-access publication that provides GI and hepatology fellows, private practice clinicians, and other healthcare providers an opportunity to share interesting case reports with their peers and with leaders in the field. ACG Case Reports Journal publishes case reports, images, videos and letters to the editor in all topics of gastroenterology and hepatology, including: Biliary Colon Endoscopy Esophagus Functional Bowel Disorders Inflammatory Bowel Disease Liver Nutrition and Obesity Pancreas Pathology Pediatric Small Bowel Stomach.
×
引用
GB/T 7714-2015
复制
MLA
复制
APA
复制
导出至
BibTeX EndNote RefMan NoteFirst NoteExpress
×
提示
您的信息不完整,为了账户安全,请先补充。
现在去补充
×
提示
您因"违规操作"
具体请查看互助需知
我知道了
×
提示
确定
请完成安全验证×
copy
已复制链接
快去分享给好友吧!
我知道了
右上角分享
点击右上角分享
0
联系我们:info@booksci.cn Book学术提供免费学术资源搜索服务,方便国内外学者检索中英文文献。致力于提供最便捷和优质的服务体验。 Copyright © 2023 布克学术 All rights reserved.
京ICP备2023020795号-1
ghs 京公网安备 11010802042870号
Book学术文献互助
Book学术文献互助群
群 号:604180095
Book学术官方微信