和炎坤泰胶囊联合激素治疗青少年卵巢储备功能减退1例。

IF 4.2 3区 医学 Q1 REPRODUCTIVE BIOLOGY
Xue Ao, Ling Xiong, Jialu Zhu, Shiqiao Tan
{"title":"和炎坤泰胶囊联合激素治疗青少年卵巢储备功能减退1例。","authors":"Xue Ao, Ling Xiong, Jialu Zhu, Shiqiao Tan","doi":"10.1186/s13048-025-01716-0","DOIUrl":null,"url":null,"abstract":"<p><strong>Background: </strong>Diminished ovarian reserve (DOR), a common female disease, results in reduced fertility and menstrual disorders. Patients without timely treatment often suffer from infertility, ovarian insufficiency, premature ovarian failure and early onset or worsened perimenopausal symptoms caused by estrogen fluctuation or deficiency. However, there is a lack of effective methods to improve ovarian reserve function.</p><p><strong>Case presentation: </strong>Here, we report a case of a 13-year-old female with 2-year menstrual disorder. The anti-mullerian hormone (AMH) levels were test twice, with interval of 2 months, yielding results of 0.41 ng/mL and 0.50 ng/mL, respectively. Colour Doppler ultrasound examination showed that there were 4-6 antral follicles bilaterally. The patient was diagnosed with DOR. She was treated with Heyan Kuntai capsule (HYKT) combined with hormonal therapy (HT). Post treament, her AMH level, follicle stimulating hormone level and AFC normalized. Discontinuation of HYKT and continuation of HT alone for 5 months proved ineffective. Consequently, HYKT in combination with HT was continued, leading to normal ovarian reserve function restoration. No adverse reactions were observed during the 4-year follow-up.</p><p><strong>Conclusions: </strong>This case highlights the importance of including DOR as a diagnostic consideration in adolescents with menstrual disorders during clinical evaluation. AND combining HYKT with HT might contribute to potential improvements in ovarian function in DOR patients.</p>","PeriodicalId":16610,"journal":{"name":"Journal of Ovarian Research","volume":"18 1","pages":"143"},"PeriodicalIF":4.2000,"publicationDate":"2025-07-03","publicationTypes":"Journal Article","fieldsOfStudy":null,"isOpenAccess":false,"openAccessPdf":"https://www.ncbi.nlm.nih.gov/pmc/articles/PMC12225044/pdf/","citationCount":"0","resultStr":"{\"title\":\"Successful treatment of Heyan Kuntai capsule combined with hormonal therapy in an adolescent with diminished ovarian reserve: a case report.\",\"authors\":\"Xue Ao, Ling Xiong, Jialu Zhu, Shiqiao Tan\",\"doi\":\"10.1186/s13048-025-01716-0\",\"DOIUrl\":null,\"url\":null,\"abstract\":\"<p><strong>Background: </strong>Diminished ovarian reserve (DOR), a common female disease, results in reduced fertility and menstrual disorders. Patients without timely treatment often suffer from infertility, ovarian insufficiency, premature ovarian failure and early onset or worsened perimenopausal symptoms caused by estrogen fluctuation or deficiency. However, there is a lack of effective methods to improve ovarian reserve function.</p><p><strong>Case presentation: </strong>Here, we report a case of a 13-year-old female with 2-year menstrual disorder. The anti-mullerian hormone (AMH) levels were test twice, with interval of 2 months, yielding results of 0.41 ng/mL and 0.50 ng/mL, respectively. Colour Doppler ultrasound examination showed that there were 4-6 antral follicles bilaterally. The patient was diagnosed with DOR. She was treated with Heyan Kuntai capsule (HYKT) combined with hormonal therapy (HT). Post treament, her AMH level, follicle stimulating hormone level and AFC normalized. Discontinuation of HYKT and continuation of HT alone for 5 months proved ineffective. Consequently, HYKT in combination with HT was continued, leading to normal ovarian reserve function restoration. No adverse reactions were observed during the 4-year follow-up.</p><p><strong>Conclusions: </strong>This case highlights the importance of including DOR as a diagnostic consideration in adolescents with menstrual disorders during clinical evaluation. AND combining HYKT with HT might contribute to potential improvements in ovarian function in DOR patients.</p>\",\"PeriodicalId\":16610,\"journal\":{\"name\":\"Journal of Ovarian Research\",\"volume\":\"18 1\",\"pages\":\"143\"},\"PeriodicalIF\":4.2000,\"publicationDate\":\"2025-07-03\",\"publicationTypes\":\"Journal Article\",\"fieldsOfStudy\":null,\"isOpenAccess\":false,\"openAccessPdf\":\"https://www.ncbi.nlm.nih.gov/pmc/articles/PMC12225044/pdf/\",\"citationCount\":\"0\",\"resultStr\":null,\"platform\":\"Semanticscholar\",\"paperid\":null,\"PeriodicalName\":\"Journal of Ovarian Research\",\"FirstCategoryId\":\"3\",\"ListUrlMain\":\"https://doi.org/10.1186/s13048-025-01716-0\",\"RegionNum\":3,\"RegionCategory\":\"医学\",\"ArticlePicture\":[],\"TitleCN\":null,\"AbstractTextCN\":null,\"PMCID\":null,\"EPubDate\":\"\",\"PubModel\":\"\",\"JCR\":\"Q1\",\"JCRName\":\"REPRODUCTIVE BIOLOGY\",\"Score\":null,\"Total\":0}","platform":"Semanticscholar","paperid":null,"PeriodicalName":"Journal of Ovarian Research","FirstCategoryId":"3","ListUrlMain":"https://doi.org/10.1186/s13048-025-01716-0","RegionNum":3,"RegionCategory":"医学","ArticlePicture":[],"TitleCN":null,"AbstractTextCN":null,"PMCID":null,"EPubDate":"","PubModel":"","JCR":"Q1","JCRName":"REPRODUCTIVE BIOLOGY","Score":null,"Total":0}
引用次数: 0

摘要

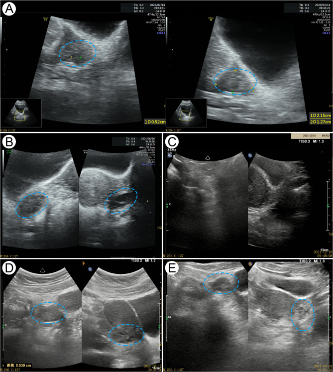
背景:卵巢储备功能减退(DOR)是一种常见的女性疾病,可导致生育能力下降和月经紊乱。未及时治疗的患者往往因雌激素波动或缺乏而出现不孕、卵巢功能不全、卵巢早衰、早发或加重围绝经期症状。然而,目前缺乏提高卵巢储备功能的有效方法。病例介绍:在这里,我们报告一个13岁的女性2年月经紊乱的情况。两次检测抗苗勒管激素(AMH)水平,间隔2个月,结果分别为0.41 ng/mL和0.50 ng/mL。彩色多普勒超声检查显示双侧有4-6个窦腔卵泡。患者被诊断为DOR。给予和炎坤泰胶囊(HYKT)联合激素治疗(HT)。治疗后,AMH水平、促卵泡激素水平、AFC水平恢复正常。停止HYKT和继续单独HT治疗5个月无效。因此,HYKT联合HT继续进行,导致卵巢储备功能恢复正常。4年随访未见不良反应。结论:本病例强调了在临床评估中,将DOR作为青少年月经紊乱的诊断考虑因素的重要性。并且HYKT联合HT可能有助于改善DOR患者的卵巢功能。
本文章由计算机程序翻译,如有差异,请以英文原文为准。

Successful treatment of Heyan Kuntai capsule combined with hormonal therapy in an adolescent with diminished ovarian reserve: a case report.

Successful treatment of Heyan Kuntai capsule combined with hormonal therapy in an adolescent with diminished ovarian reserve: a case report.

Background: Diminished ovarian reserve (DOR), a common female disease, results in reduced fertility and menstrual disorders. Patients without timely treatment often suffer from infertility, ovarian insufficiency, premature ovarian failure and early onset or worsened perimenopausal symptoms caused by estrogen fluctuation or deficiency. However, there is a lack of effective methods to improve ovarian reserve function.

Case presentation: Here, we report a case of a 13-year-old female with 2-year menstrual disorder. The anti-mullerian hormone (AMH) levels were test twice, with interval of 2 months, yielding results of 0.41 ng/mL and 0.50 ng/mL, respectively. Colour Doppler ultrasound examination showed that there were 4-6 antral follicles bilaterally. The patient was diagnosed with DOR. She was treated with Heyan Kuntai capsule (HYKT) combined with hormonal therapy (HT). Post treament, her AMH level, follicle stimulating hormone level and AFC normalized. Discontinuation of HYKT and continuation of HT alone for 5 months proved ineffective. Consequently, HYKT in combination with HT was continued, leading to normal ovarian reserve function restoration. No adverse reactions were observed during the 4-year follow-up.

Conclusions: This case highlights the importance of including DOR as a diagnostic consideration in adolescents with menstrual disorders during clinical evaluation. AND combining HYKT with HT might contribute to potential improvements in ovarian function in DOR patients.

求助全文
通过发布文献求助,成功后即可免费获取论文全文。 去求助
来源期刊
Journal of Ovarian Research
Journal of Ovarian Research REPRODUCTIVE BIOLOGY-
CiteScore
6.20
自引率
2.50%
发文量
125
审稿时长
>12 weeks
期刊介绍: Journal of Ovarian Research is an open access, peer reviewed, online journal that aims to provide a forum for high-quality basic and clinical research on ovarian function, abnormalities, and cancer. The journal focuses on research that provides new insights into ovarian functions as well as prevention and treatment of diseases afflicting the organ. Topical areas include, but are not restricted to: Ovary development, hormone secretion and regulation Follicle growth and ovulation Infertility and Polycystic ovarian syndrome Regulation of pituitary and other biological functions by ovarian hormones Ovarian cancer, its prevention, diagnosis and treatment Drug development and screening Role of stem cells in ovary development and function.
×
引用
GB/T 7714-2015
复制
MLA
复制
APA
复制
导出至
BibTeX EndNote RefMan NoteFirst NoteExpress
×
提示
您的信息不完整,为了账户安全,请先补充。
现在去补充
×
提示
您因"违规操作"
具体请查看互助需知
我知道了
×
提示
确定
请完成安全验证×
copy
已复制链接
快去分享给好友吧!
我知道了
右上角分享
点击右上角分享
0
联系我们:info@booksci.cn Book学术提供免费学术资源搜索服务,方便国内外学者检索中英文文献。致力于提供最便捷和优质的服务体验。 Copyright © 2023 布克学术 All rights reserved.
京ICP备2023020795号-1
ghs 京公网安备 11010802042870号
Book学术文献互助
Book学术文献互助群
群 号:604180095
Book学术官方微信