病毒前葡萄膜炎伴继发性青光眼的聚合酶链反应:印度南部一家三级眼科保健中心28只眼的分析。

IF 1.2 Q4 OPHTHALMOLOGY
Taiwan Journal of Ophthalmology Pub Date : 2025-05-21 eCollection Date: 2025-04-01 DOI:10.4103/tjo.TJO-D-24-00089
Bhavini Johri, Dhanurekha Lakshmipathy, Jyotirmay Biswas
{"title":"病毒前葡萄膜炎伴继发性青光眼的聚合酶链反应:印度南部一家三级眼科保健中心28只眼的分析。","authors":"Bhavini Johri, Dhanurekha Lakshmipathy, Jyotirmay Biswas","doi":"10.4103/tjo.TJO-D-24-00089","DOIUrl":null,"url":null,"abstract":"<p><strong>Purpose: </strong>To study the role of polymerase chain reaction (PCR) in viral anterior uveitis with secondary glaucoma.</p><p><strong>Materials and methods: </strong>This was a retrospective cohort study in which aqueous humor from 28 eyes of 23 patients with viral uveitis and secondary glaucoma from 2008 to 2024 was sent for real-time/nested PCR. The clinical features of the patients were analyzed (<i>P</i> < 0.05 statistically significant).</p><p><strong>Results: </strong>The median age at uveitis onset was 45 years. Secondary open-angle glaucoma was found in 23 out of 28 eyes, 82.1%. The median intraocular pressure (IOP) reduced significantly from baseline, 18.5 to 14 mmHg at the final visit (<i>P</i> = 0.01). Maximum IOP was 60 mmHg. PCR was positive in 57.1% of eyes, mostly for varicella-zoster virus (32.1%), followed by Cytomegalovirus (CMV) (17.8%) and herpes simplex virus (10.7%). Valacyclovir was used to treat 50% of eyes. CMV was treated with valganciclovir (10.7% eyes). Antiglaucoma and anti-inflammatory medications were reduced significantly from initiation (<i>P</i> < 0.001).</p><p><strong>Conclusion: </strong>PCR enables timely and accurate detection of virus causing anterior uveitis and helps salvage vision in secondary glaucoma with appropriate antiviral therapy.</p>","PeriodicalId":44978,"journal":{"name":"Taiwan Journal of Ophthalmology","volume":"15 2","pages":"283-289"},"PeriodicalIF":1.2000,"publicationDate":"2025-05-21","publicationTypes":"Journal Article","fieldsOfStudy":null,"isOpenAccess":false,"openAccessPdf":"https://www.ncbi.nlm.nih.gov/pmc/articles/PMC12204670/pdf/","citationCount":"0","resultStr":"{\"title\":\"Polymerase chain reaction in viral anterior uveitis with secondary glaucoma: Analysis of 28 eyes from a tertiary eye care center in South India.\",\"authors\":\"Bhavini Johri, Dhanurekha Lakshmipathy, Jyotirmay Biswas\",\"doi\":\"10.4103/tjo.TJO-D-24-00089\",\"DOIUrl\":null,\"url\":null,\"abstract\":\"<p><strong>Purpose: </strong>To study the role of polymerase chain reaction (PCR) in viral anterior uveitis with secondary glaucoma.</p><p><strong>Materials and methods: </strong>This was a retrospective cohort study in which aqueous humor from 28 eyes of 23 patients with viral uveitis and secondary glaucoma from 2008 to 2024 was sent for real-time/nested PCR. The clinical features of the patients were analyzed (<i>P</i> < 0.05 statistically significant).</p><p><strong>Results: </strong>The median age at uveitis onset was 45 years. Secondary open-angle glaucoma was found in 23 out of 28 eyes, 82.1%. The median intraocular pressure (IOP) reduced significantly from baseline, 18.5 to 14 mmHg at the final visit (<i>P</i> = 0.01). Maximum IOP was 60 mmHg. PCR was positive in 57.1% of eyes, mostly for varicella-zoster virus (32.1%), followed by Cytomegalovirus (CMV) (17.8%) and herpes simplex virus (10.7%). Valacyclovir was used to treat 50% of eyes. CMV was treated with valganciclovir (10.7% eyes). Antiglaucoma and anti-inflammatory medications were reduced significantly from initiation (<i>P</i> < 0.001).</p><p><strong>Conclusion: </strong>PCR enables timely and accurate detection of virus causing anterior uveitis and helps salvage vision in secondary glaucoma with appropriate antiviral therapy.</p>\",\"PeriodicalId\":44978,\"journal\":{\"name\":\"Taiwan Journal of Ophthalmology\",\"volume\":\"15 2\",\"pages\":\"283-289\"},\"PeriodicalIF\":1.2000,\"publicationDate\":\"2025-05-21\",\"publicationTypes\":\"Journal Article\",\"fieldsOfStudy\":null,\"isOpenAccess\":false,\"openAccessPdf\":\"https://www.ncbi.nlm.nih.gov/pmc/articles/PMC12204670/pdf/\",\"citationCount\":\"0\",\"resultStr\":null,\"platform\":\"Semanticscholar\",\"paperid\":null,\"PeriodicalName\":\"Taiwan Journal of Ophthalmology\",\"FirstCategoryId\":\"1085\",\"ListUrlMain\":\"https://doi.org/10.4103/tjo.TJO-D-24-00089\",\"RegionNum\":0,\"RegionCategory\":null,\"ArticlePicture\":[],\"TitleCN\":null,\"AbstractTextCN\":null,\"PMCID\":null,\"EPubDate\":\"2025/4/1 0:00:00\",\"PubModel\":\"eCollection\",\"JCR\":\"Q4\",\"JCRName\":\"OPHTHALMOLOGY\",\"Score\":null,\"Total\":0}","platform":"Semanticscholar","paperid":null,"PeriodicalName":"Taiwan Journal of Ophthalmology","FirstCategoryId":"1085","ListUrlMain":"https://doi.org/10.4103/tjo.TJO-D-24-00089","RegionNum":0,"RegionCategory":null,"ArticlePicture":[],"TitleCN":null,"AbstractTextCN":null,"PMCID":null,"EPubDate":"2025/4/1 0:00:00","PubModel":"eCollection","JCR":"Q4","JCRName":"OPHTHALMOLOGY","Score":null,"Total":0}
引用次数: 0

摘要

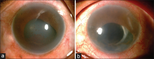
目的:探讨聚合酶链反应(PCR)在病毒性葡萄膜前炎合并继发性青光眼中的作用。材料和方法:这是一项回顾性队列研究,对2008年至2024年期间23例病毒性葡萄膜炎和继发性青光眼患者的28只眼的房水进行实时/巢式PCR检测。分析两组患者的临床特征(P < 0.05,有统计学意义)。结果:葡萄膜炎发病的中位年龄为45岁。继发性开角型青光眼23眼,占82.1%。中位眼压(IOP)较基线(18.5至14 mmHg)显著降低(P = 0.01)。最大眼压为60 mmHg。PCR阳性57.1%,以水痘-带状疱疹病毒为主(32.1%),其次为巨细胞病毒(CMV)(17.8%)和单纯疱疹病毒(10.7%)。使用伐昔洛韦治疗50%的眼睛。缬更昔洛韦治疗巨细胞病毒(10.7%)。抗青光眼和抗炎药物治疗从开始就显著减少(P < 0.001)。结论:PCR能及时、准确地检测出引起前葡萄膜炎的病毒,对继发性青光眼患者进行适当的抗病毒治疗有助于恢复视力。
本文章由计算机程序翻译,如有差异,请以英文原文为准。

Polymerase chain reaction in viral anterior uveitis with secondary glaucoma: Analysis of 28 eyes from a tertiary eye care center in South India.

Polymerase chain reaction in viral anterior uveitis with secondary glaucoma: Analysis of 28 eyes from a tertiary eye care center in South India.

Polymerase chain reaction in viral anterior uveitis with secondary glaucoma: Analysis of 28 eyes from a tertiary eye care center in South India.

Polymerase chain reaction in viral anterior uveitis with secondary glaucoma: Analysis of 28 eyes from a tertiary eye care center in South India.

Purpose: To study the role of polymerase chain reaction (PCR) in viral anterior uveitis with secondary glaucoma.

Materials and methods: This was a retrospective cohort study in which aqueous humor from 28 eyes of 23 patients with viral uveitis and secondary glaucoma from 2008 to 2024 was sent for real-time/nested PCR. The clinical features of the patients were analyzed (P < 0.05 statistically significant).

Results: The median age at uveitis onset was 45 years. Secondary open-angle glaucoma was found in 23 out of 28 eyes, 82.1%. The median intraocular pressure (IOP) reduced significantly from baseline, 18.5 to 14 mmHg at the final visit (P = 0.01). Maximum IOP was 60 mmHg. PCR was positive in 57.1% of eyes, mostly for varicella-zoster virus (32.1%), followed by Cytomegalovirus (CMV) (17.8%) and herpes simplex virus (10.7%). Valacyclovir was used to treat 50% of eyes. CMV was treated with valganciclovir (10.7% eyes). Antiglaucoma and anti-inflammatory medications were reduced significantly from initiation (P < 0.001).

Conclusion: PCR enables timely and accurate detection of virus causing anterior uveitis and helps salvage vision in secondary glaucoma with appropriate antiviral therapy.

求助全文
通过发布文献求助,成功后即可免费获取论文全文。 去求助
来源期刊
CiteScore
1.80
自引率
9.10%
发文量
68
审稿时长
19 weeks
×
引用
GB/T 7714-2015
复制
MLA
复制
APA
复制
导出至
BibTeX EndNote RefMan NoteFirst NoteExpress
×
提示
您的信息不完整,为了账户安全,请先补充。
现在去补充
×
提示
您因"违规操作"
具体请查看互助需知
我知道了
×
提示
确定
请完成安全验证×
copy
已复制链接
快去分享给好友吧!
我知道了
右上角分享
点击右上角分享
0
联系我们:info@booksci.cn Book学术提供免费学术资源搜索服务,方便国内外学者检索中英文文献。致力于提供最便捷和优质的服务体验。 Copyright © 2023 布克学术 All rights reserved.
京ICP备2023020795号-1
ghs 京公网安备 11010802042870号
Book学术文献互助
Book学术文献互助群
群 号:604180095
Book学术官方微信