由于淋巴细胞浆细胞性肠炎引起的肠道吸收不良犬的维生素K缺乏导致口腔出血。

IF 1 Q3 VETERINARY SCIENCES
Open Veterinary Journal Pub Date : 2025-05-01 Epub Date: 2025-05-31 DOI:10.5455/OVJ.2025.v15.i5.46
Giulia Marceglia, Matteo Petini
{"title":"由于淋巴细胞浆细胞性肠炎引起的肠道吸收不良犬的维生素K缺乏导致口腔出血。","authors":"Giulia Marceglia, Matteo Petini","doi":"10.5455/OVJ.2025.v15.i5.46","DOIUrl":null,"url":null,"abstract":"<p><strong>Background: </strong>Vitamin K, a member of the fat-soluble vitamin group, plays a key role in hemostasis by facilitating the activation of vitamin K-dependent clotting factors and contributing to the synthesis of various coagulation proteins. Consequently, its antagonization or deficiency secondary to reduced production or malabsorption impairs coagulation, leading to an increased risk of bleeding.</p><p><strong>Case description: </strong>A 4-year-old, intact female German Shepherd was referred for a year-long history of anorexia, intermittent vomiting, and chronic diarrhea. She developed oral bleeding over the past 2 days. Diagnostic investigations revealed markedly prolonged prothrombin time (PT) and activated partial thromboplastin times (aPTT) with normal plasma fibrinogen levels. These findings, in conjunction with the normalization of PT and aPTT following vitamin K<sub>1</sub> administration and the exclusion of rodenticide or coumarin intoxication, suggested vitamin K deficiency secondary to intestinal malabsorption. Further investigation led to the diagnosis of severe lymphoplasmacytic enterocolitis.</p><p><strong>Conclusion: </strong>Vitamin K-responsive coagulopathy associated with malabsorption syndrome secondary to lymphocytic-plasmacytic enteritis was previously described in two cats, but this is the first report of its occurrence in a dog. Therefore, vitamin K supplementation should be considered in all animals with intestinal malabsorption.</p>","PeriodicalId":19531,"journal":{"name":"Open Veterinary Journal","volume":"15 5","pages":"2277-2282"},"PeriodicalIF":1.0000,"publicationDate":"2025-05-01","publicationTypes":"Journal Article","fieldsOfStudy":null,"isOpenAccess":false,"openAccessPdf":"https://www.ncbi.nlm.nih.gov/pmc/articles/PMC12184458/pdf/","citationCount":"0","resultStr":"{\"title\":\"Vitamin K deficiency as a cause of oral bleeding in a dog with intestinal malabsorption due to lymphocytic-plasmacytic enteritis.\",\"authors\":\"Giulia Marceglia, Matteo Petini\",\"doi\":\"10.5455/OVJ.2025.v15.i5.46\",\"DOIUrl\":null,\"url\":null,\"abstract\":\"<p><strong>Background: </strong>Vitamin K, a member of the fat-soluble vitamin group, plays a key role in hemostasis by facilitating the activation of vitamin K-dependent clotting factors and contributing to the synthesis of various coagulation proteins. Consequently, its antagonization or deficiency secondary to reduced production or malabsorption impairs coagulation, leading to an increased risk of bleeding.</p><p><strong>Case description: </strong>A 4-year-old, intact female German Shepherd was referred for a year-long history of anorexia, intermittent vomiting, and chronic diarrhea. She developed oral bleeding over the past 2 days. Diagnostic investigations revealed markedly prolonged prothrombin time (PT) and activated partial thromboplastin times (aPTT) with normal plasma fibrinogen levels. These findings, in conjunction with the normalization of PT and aPTT following vitamin K<sub>1</sub> administration and the exclusion of rodenticide or coumarin intoxication, suggested vitamin K deficiency secondary to intestinal malabsorption. Further investigation led to the diagnosis of severe lymphoplasmacytic enterocolitis.</p><p><strong>Conclusion: </strong>Vitamin K-responsive coagulopathy associated with malabsorption syndrome secondary to lymphocytic-plasmacytic enteritis was previously described in two cats, but this is the first report of its occurrence in a dog. Therefore, vitamin K supplementation should be considered in all animals with intestinal malabsorption.</p>\",\"PeriodicalId\":19531,\"journal\":{\"name\":\"Open Veterinary Journal\",\"volume\":\"15 5\",\"pages\":\"2277-2282\"},\"PeriodicalIF\":1.0000,\"publicationDate\":\"2025-05-01\",\"publicationTypes\":\"Journal Article\",\"fieldsOfStudy\":null,\"isOpenAccess\":false,\"openAccessPdf\":\"https://www.ncbi.nlm.nih.gov/pmc/articles/PMC12184458/pdf/\",\"citationCount\":\"0\",\"resultStr\":null,\"platform\":\"Semanticscholar\",\"paperid\":null,\"PeriodicalName\":\"Open Veterinary Journal\",\"FirstCategoryId\":\"1085\",\"ListUrlMain\":\"https://doi.org/10.5455/OVJ.2025.v15.i5.46\",\"RegionNum\":0,\"RegionCategory\":null,\"ArticlePicture\":[],\"TitleCN\":null,\"AbstractTextCN\":null,\"PMCID\":null,\"EPubDate\":\"2025/5/31 0:00:00\",\"PubModel\":\"Epub\",\"JCR\":\"Q3\",\"JCRName\":\"VETERINARY SCIENCES\",\"Score\":null,\"Total\":0}","platform":"Semanticscholar","paperid":null,"PeriodicalName":"Open Veterinary Journal","FirstCategoryId":"1085","ListUrlMain":"https://doi.org/10.5455/OVJ.2025.v15.i5.46","RegionNum":0,"RegionCategory":null,"ArticlePicture":[],"TitleCN":null,"AbstractTextCN":null,"PMCID":null,"EPubDate":"2025/5/31 0:00:00","PubModel":"Epub","JCR":"Q3","JCRName":"VETERINARY SCIENCES","Score":null,"Total":0}
引用次数: 0

摘要

背景:维生素K是脂溶性维生素族的一员,通过促进维生素K依赖性凝血因子的激活和促进多种凝血蛋白的合成,在止血中起着关键作用。因此,其拮抗或缺乏继发于生产减少或吸收不良损害凝血,导致出血风险增加。病例描述:一个4岁,完整的雌性德国牧羊犬一年的厌食症,间歇性呕吐和慢性腹泻的历史。她在过去两天出现口腔出血。诊断调查显示明显延长凝血酶原时间(PT)和激活部分凝血活酶时间(aPTT)与正常血浆纤维蛋白原水平。这些发现,结合维生素K1给药后PT和aPTT的正常化以及排除杀鼠剂或香豆素中毒,提示维生素K缺乏症继发于肠道吸收不良。进一步检查诊断为严重淋巴浆细胞性小肠结肠炎。结论:维生素k反应性凝血病与继发于淋巴细胞浆细胞性肠炎的吸收不良综合征相关,此前曾在两只猫身上报道过,但这是首次在狗身上报道。因此,所有肠道吸收不良的动物都应考虑补充维生素K。
本文章由计算机程序翻译,如有差异,请以英文原文为准。

Vitamin K deficiency as a cause of oral bleeding in a dog with intestinal malabsorption due to lymphocytic-plasmacytic enteritis.

Vitamin K deficiency as a cause of oral bleeding in a dog with intestinal malabsorption due to lymphocytic-plasmacytic enteritis.

Vitamin K deficiency as a cause of oral bleeding in a dog with intestinal malabsorption due to lymphocytic-plasmacytic enteritis.

Background: Vitamin K, a member of the fat-soluble vitamin group, plays a key role in hemostasis by facilitating the activation of vitamin K-dependent clotting factors and contributing to the synthesis of various coagulation proteins. Consequently, its antagonization or deficiency secondary to reduced production or malabsorption impairs coagulation, leading to an increased risk of bleeding.

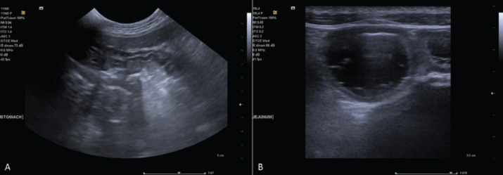
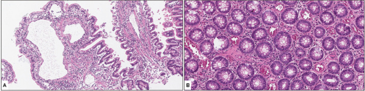
Case description: A 4-year-old, intact female German Shepherd was referred for a year-long history of anorexia, intermittent vomiting, and chronic diarrhea. She developed oral bleeding over the past 2 days. Diagnostic investigations revealed markedly prolonged prothrombin time (PT) and activated partial thromboplastin times (aPTT) with normal plasma fibrinogen levels. These findings, in conjunction with the normalization of PT and aPTT following vitamin K1 administration and the exclusion of rodenticide or coumarin intoxication, suggested vitamin K deficiency secondary to intestinal malabsorption. Further investigation led to the diagnosis of severe lymphoplasmacytic enterocolitis.

Conclusion: Vitamin K-responsive coagulopathy associated with malabsorption syndrome secondary to lymphocytic-plasmacytic enteritis was previously described in two cats, but this is the first report of its occurrence in a dog. Therefore, vitamin K supplementation should be considered in all animals with intestinal malabsorption.

求助全文
通过发布文献求助,成功后即可免费获取论文全文。 去求助
来源期刊
Open Veterinary Journal
Open Veterinary Journal VETERINARY SCIENCES-
CiteScore
1.40
自引率
0.00%
发文量
112
审稿时长
12 weeks
期刊介绍: Open Veterinary Journal is a peer-reviewed international open access online and printed journal that publishes high-quality original research articles. reviews, short communications and case reports dedicated to all aspects of veterinary sciences and its related subjects. Research areas include the following: Infectious diseases of zoonotic/food-borne importance, applied biochemistry, parasitology, endocrinology, microbiology, immunology, pathology, pharmacology, physiology, epidemiology, molecular biology, immunogenetics, surgery, ophthalmology, dermatology, oncology and animal reproduction. All papers are peer-reviewed. Moreover, with the presence of well-qualified group of international referees, the process of publication will be done meticulously and to the highest standards.
×
引用
GB/T 7714-2015
复制
MLA
复制
APA
复制
导出至
BibTeX EndNote RefMan NoteFirst NoteExpress
×
提示
您的信息不完整,为了账户安全,请先补充。
现在去补充
×
提示
您因"违规操作"
具体请查看互助需知
我知道了
×
提示
确定
请完成安全验证×
copy
已复制链接
快去分享给好友吧!
我知道了
右上角分享
点击右上角分享
0
联系我们:info@booksci.cn Book学术提供免费学术资源搜索服务,方便国内外学者检索中英文文献。致力于提供最便捷和优质的服务体验。 Copyright © 2023 布克学术 All rights reserved.
京ICP备2023020795号-1
ghs 京公网安备 11010802042870号
Book学术文献互助
Book学术文献互助群
群 号:604180095
Book学术官方微信