鱼骨嵌塞食道致气胸2例。

Donghyoun Lee, Heung Up Kim, Hyun Joo Song, Hyun Wook Kang
{"title":"鱼骨嵌塞食道致气胸2例。","authors":"Donghyoun Lee, Heung Up Kim, Hyun Joo Song, Hyun Wook Kang","doi":"10.7704/kjhugr.2024.0076","DOIUrl":null,"url":null,"abstract":"<p><p>Although most digestive tract foreign bodies pass naturally, approximately 10% require endoscopic removal and another 1% require surgical intervention. The upper esophagus is the most common site of foreign body impaction. In the East, fish bones are the most commonly encountered foreign bodies in the esophagus, whereas in the West, meat is the most common. Prompt removal of these impacted foreign bodies is important because they may lead to serious complications, such as esophageal perforation or obstruction. The esophagus is located in the deepest part of the chest and is in close proximity to vital organs, such as the aorta, heart, lungs, and vena cava. Thus, a sharp foreign body that penetrates the esophagus may puncture nearby organs, potentially leading to a variety of intrathoracic organ complications, including an aortoesophageal fistula, pericarditis, and pneumothorax. Although pneumothorax rarely results from fish bones impacted in the esophagus, we report two cases of characteristic pneumothorax caused by fish bone foreign bodies in the esophagus and provide a review of the associated literature.</p>","PeriodicalId":520887,"journal":{"name":"The Korean journal of helicobacter and upper gastrointestinal research","volume":"25 2","pages":"184-190"},"PeriodicalIF":0.0000,"publicationDate":"2025-06-01","publicationTypes":"Journal Article","fieldsOfStudy":null,"isOpenAccess":false,"openAccessPdf":"https://www.ncbi.nlm.nih.gov/pmc/articles/PMC12173592/pdf/","citationCount":"0","resultStr":"{\"title\":\"Two Cases of Pneumothorax Induced by Fish Bones Impacted in the Esophagus.\",\"authors\":\"Donghyoun Lee, Heung Up Kim, Hyun Joo Song, Hyun Wook Kang\",\"doi\":\"10.7704/kjhugr.2024.0076\",\"DOIUrl\":null,\"url\":null,\"abstract\":\"<p><p>Although most digestive tract foreign bodies pass naturally, approximately 10% require endoscopic removal and another 1% require surgical intervention. The upper esophagus is the most common site of foreign body impaction. In the East, fish bones are the most commonly encountered foreign bodies in the esophagus, whereas in the West, meat is the most common. Prompt removal of these impacted foreign bodies is important because they may lead to serious complications, such as esophageal perforation or obstruction. The esophagus is located in the deepest part of the chest and is in close proximity to vital organs, such as the aorta, heart, lungs, and vena cava. Thus, a sharp foreign body that penetrates the esophagus may puncture nearby organs, potentially leading to a variety of intrathoracic organ complications, including an aortoesophageal fistula, pericarditis, and pneumothorax. Although pneumothorax rarely results from fish bones impacted in the esophagus, we report two cases of characteristic pneumothorax caused by fish bone foreign bodies in the esophagus and provide a review of the associated literature.</p>\",\"PeriodicalId\":520887,\"journal\":{\"name\":\"The Korean journal of helicobacter and upper gastrointestinal research\",\"volume\":\"25 2\",\"pages\":\"184-190\"},\"PeriodicalIF\":0.0000,\"publicationDate\":\"2025-06-01\",\"publicationTypes\":\"Journal Article\",\"fieldsOfStudy\":null,\"isOpenAccess\":false,\"openAccessPdf\":\"https://www.ncbi.nlm.nih.gov/pmc/articles/PMC12173592/pdf/\",\"citationCount\":\"0\",\"resultStr\":null,\"platform\":\"Semanticscholar\",\"paperid\":null,\"PeriodicalName\":\"The Korean journal of helicobacter and upper gastrointestinal research\",\"FirstCategoryId\":\"1085\",\"ListUrlMain\":\"https://doi.org/10.7704/kjhugr.2024.0076\",\"RegionNum\":0,\"RegionCategory\":null,\"ArticlePicture\":[],\"TitleCN\":null,\"AbstractTextCN\":null,\"PMCID\":null,\"EPubDate\":\"2025/6/4 0:00:00\",\"PubModel\":\"Epub\",\"JCR\":\"\",\"JCRName\":\"\",\"Score\":null,\"Total\":0}","platform":"Semanticscholar","paperid":null,"PeriodicalName":"The Korean journal of helicobacter and upper gastrointestinal research","FirstCategoryId":"1085","ListUrlMain":"https://doi.org/10.7704/kjhugr.2024.0076","RegionNum":0,"RegionCategory":null,"ArticlePicture":[],"TitleCN":null,"AbstractTextCN":null,"PMCID":null,"EPubDate":"2025/6/4 0:00:00","PubModel":"Epub","JCR":"","JCRName":"","Score":null,"Total":0}
引用次数: 0

摘要

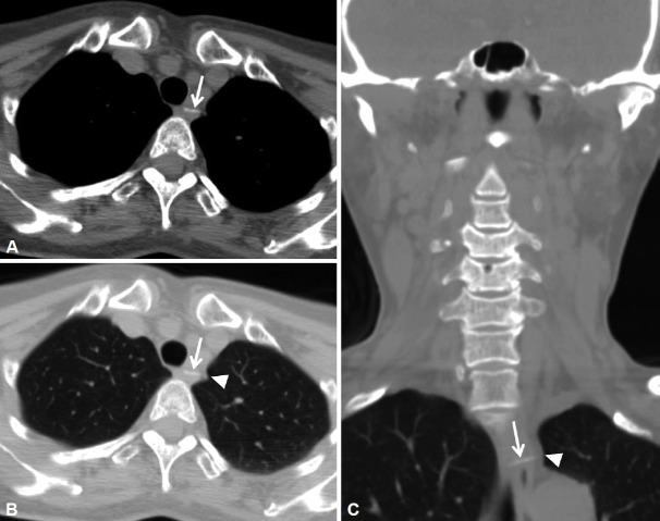
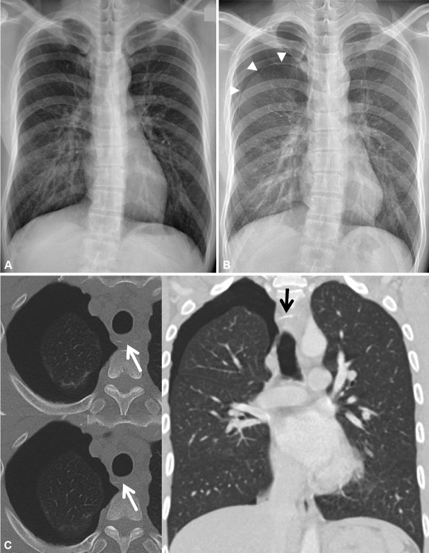
虽然大多数消化道异物自然排出,但大约10%需要内窥镜清除,另外1%需要手术干预。食道上部是最常见的异物嵌塞部位。在东方,鱼骨是食道中最常见的异物,而在西方,肉是最常见的。及时清除这些异物很重要,因为它们可能导致严重的并发症,如食管穿孔或梗阻。食道位于胸腔的最深处,靠近重要器官,如主动脉、心脏、肺和腔静脉。因此,穿透食道的尖锐异物可能刺穿附近的器官,潜在地导致各种胸内器官并发症,包括主动脉食管瘘、心包炎和气胸。虽然气胸很少由鱼骨撞击食道引起,但我们报告了两例由食道鱼骨异物引起的特征性气胸,并对相关文献进行了回顾。
本文章由计算机程序翻译,如有差异,请以英文原文为准。

Two Cases of Pneumothorax Induced by Fish Bones Impacted in the Esophagus.

Two Cases of Pneumothorax Induced by Fish Bones Impacted in the Esophagus.

Two Cases of Pneumothorax Induced by Fish Bones Impacted in the Esophagus.

Two Cases of Pneumothorax Induced by Fish Bones Impacted in the Esophagus.

Although most digestive tract foreign bodies pass naturally, approximately 10% require endoscopic removal and another 1% require surgical intervention. The upper esophagus is the most common site of foreign body impaction. In the East, fish bones are the most commonly encountered foreign bodies in the esophagus, whereas in the West, meat is the most common. Prompt removal of these impacted foreign bodies is important because they may lead to serious complications, such as esophageal perforation or obstruction. The esophagus is located in the deepest part of the chest and is in close proximity to vital organs, such as the aorta, heart, lungs, and vena cava. Thus, a sharp foreign body that penetrates the esophagus may puncture nearby organs, potentially leading to a variety of intrathoracic organ complications, including an aortoesophageal fistula, pericarditis, and pneumothorax. Although pneumothorax rarely results from fish bones impacted in the esophagus, we report two cases of characteristic pneumothorax caused by fish bone foreign bodies in the esophagus and provide a review of the associated literature.

求助全文
通过发布文献求助,成功后即可免费获取论文全文。 去求助
来源期刊
自引率
0.00%
发文量
0
×
引用
GB/T 7714-2015
复制
MLA
复制
APA
复制
导出至
BibTeX EndNote RefMan NoteFirst NoteExpress
×
提示
您的信息不完整,为了账户安全,请先补充。
现在去补充
×
提示
您因"违规操作"
具体请查看互助需知
我知道了
×
提示
确定
请完成安全验证×
copy
已复制链接
快去分享给好友吧!
我知道了
右上角分享
点击右上角分享
0
联系我们:info@booksci.cn Book学术提供免费学术资源搜索服务,方便国内外学者检索中英文文献。致力于提供最便捷和优质的服务体验。 Copyright © 2023 布克学术 All rights reserved.
京ICP备2023020795号-1
ghs 京公网安备 11010802042870号
Book学术文献互助
Book学术文献互助群
群 号:604180095
Book学术官方微信