宫颈病变液基细胞学细胞阻滞制剂的诊断效用:比较回顾性分析。

IF 3.1 4区 医学 Q2 PATHOLOGY
Cytojournal Pub Date : 2025-05-06 eCollection Date: 2025-01-01 DOI:10.25259/Cytojournal_3_2025
Ceren Canbey, Sena Şen, Tevhide Bilgen Özcan
{"title":"宫颈病变液基细胞学细胞阻滞制剂的诊断效用:比较回顾性分析。","authors":"Ceren Canbey, Sena Şen, Tevhide Bilgen Özcan","doi":"10.25259/Cytojournal_3_2025","DOIUrl":null,"url":null,"abstract":"<p><strong>Objective: </strong>Cervical cancer ranks as the fourth most prevalent cancer among women globally; it originates in the cervix and has a significant association with human papillomavirus (HPV) infection. The purpose of this study was to investigate the diagnostic utility of cell block (CB) preparations from liquid-based cytology samples in identifying cervical lesions among Turkish patients with HPV. This approach was intended to supplement conventional Pap smear tests and HPV testing.</p><p><strong>Material and methods: </strong>A retrospective analysis was conducted on 60 HPV-positive cervical smear samples processed through the ThinPrep Pap test. CBs were prepared from liquid-based residues, stained with hematoxylin and eosin, and analyzed. Cytological diagnoses were compared with histopathological findings from colposcopy-guided biopsies. The relationships between the Pap smear, CB, and biopsy results were statistically analyzed.</p><p><strong>Results: </strong>Pap smear cytology identified 1.6%, 16.6%, 43.3%, and 3.3% as high-grade squamous intraepithelial lesion (HSIL), low-grade squamous intraepithelial lesion (LSIL), atypical squamous cells of undetermined significance, and atypical squamous cells - HSIL cannot be excluded + LSIL, respectively. The CB evaluations classified 6.6% of the samples as cervical intraepithelial neoplasia (CIN)1, 1.6% as CIN2, and 1.6% as squamous cell carcinoma (SCC), with 78.3% deemed negative. Histopathological biopsy revealed CIN1 in 11.7%, CIN2 in 1.7%, and CIN3 in 8.3% of the patients. High concordance was observed between the Pap smear and CB diagnoses for negative and low-grade lesions, although discrepancies occurred in higher-grade lesions. HPV testing revealed 65% high-risk positivity, predominantly for HPV16 and HPV18. Significant correlations were found among HPV subtype positivity, CB, and biopsy diagnosis (<i>P</i> < 0.05).</p><p><strong>Conclusion: </strong>CB preparations provide enhanced diagnostic accuracy for high-grade lesions and SCC, thus complementing Pap smear cytology and HPV testing. This approach supports their integration into the routine cervical cancer screening protocols in Türkiye. Further global, multicenter studies are recommended to validate these findings.</p>","PeriodicalId":49082,"journal":{"name":"Cytojournal","volume":"22 ","pages":"48"},"PeriodicalIF":3.1000,"publicationDate":"2025-05-06","publicationTypes":"Journal Article","fieldsOfStudy":null,"isOpenAccess":false,"openAccessPdf":"https://www.ncbi.nlm.nih.gov/pmc/articles/PMC12178121/pdf/","citationCount":"0","resultStr":"{\"title\":\"Diagnostic utility of cell block preparations from liquid-based cytology in cervical lesions: A comparative retrospective analysis.\",\"authors\":\"Ceren Canbey, Sena Şen, Tevhide Bilgen Özcan\",\"doi\":\"10.25259/Cytojournal_3_2025\",\"DOIUrl\":null,\"url\":null,\"abstract\":\"<p><strong>Objective: </strong>Cervical cancer ranks as the fourth most prevalent cancer among women globally; it originates in the cervix and has a significant association with human papillomavirus (HPV) infection. The purpose of this study was to investigate the diagnostic utility of cell block (CB) preparations from liquid-based cytology samples in identifying cervical lesions among Turkish patients with HPV. This approach was intended to supplement conventional Pap smear tests and HPV testing.</p><p><strong>Material and methods: </strong>A retrospective analysis was conducted on 60 HPV-positive cervical smear samples processed through the ThinPrep Pap test. CBs were prepared from liquid-based residues, stained with hematoxylin and eosin, and analyzed. Cytological diagnoses were compared with histopathological findings from colposcopy-guided biopsies. The relationships between the Pap smear, CB, and biopsy results were statistically analyzed.</p><p><strong>Results: </strong>Pap smear cytology identified 1.6%, 16.6%, 43.3%, and 3.3% as high-grade squamous intraepithelial lesion (HSIL), low-grade squamous intraepithelial lesion (LSIL), atypical squamous cells of undetermined significance, and atypical squamous cells - HSIL cannot be excluded + LSIL, respectively. The CB evaluations classified 6.6% of the samples as cervical intraepithelial neoplasia (CIN)1, 1.6% as CIN2, and 1.6% as squamous cell carcinoma (SCC), with 78.3% deemed negative. Histopathological biopsy revealed CIN1 in 11.7%, CIN2 in 1.7%, and CIN3 in 8.3% of the patients. High concordance was observed between the Pap smear and CB diagnoses for negative and low-grade lesions, although discrepancies occurred in higher-grade lesions. HPV testing revealed 65% high-risk positivity, predominantly for HPV16 and HPV18. Significant correlations were found among HPV subtype positivity, CB, and biopsy diagnosis (<i>P</i> < 0.05).</p><p><strong>Conclusion: </strong>CB preparations provide enhanced diagnostic accuracy for high-grade lesions and SCC, thus complementing Pap smear cytology and HPV testing. This approach supports their integration into the routine cervical cancer screening protocols in Türkiye. Further global, multicenter studies are recommended to validate these findings.</p>\",\"PeriodicalId\":49082,\"journal\":{\"name\":\"Cytojournal\",\"volume\":\"22 \",\"pages\":\"48\"},\"PeriodicalIF\":3.1000,\"publicationDate\":\"2025-05-06\",\"publicationTypes\":\"Journal Article\",\"fieldsOfStudy\":null,\"isOpenAccess\":false,\"openAccessPdf\":\"https://www.ncbi.nlm.nih.gov/pmc/articles/PMC12178121/pdf/\",\"citationCount\":\"0\",\"resultStr\":null,\"platform\":\"Semanticscholar\",\"paperid\":null,\"PeriodicalName\":\"Cytojournal\",\"FirstCategoryId\":\"3\",\"ListUrlMain\":\"https://doi.org/10.25259/Cytojournal_3_2025\",\"RegionNum\":4,\"RegionCategory\":\"医学\",\"ArticlePicture\":[],\"TitleCN\":null,\"AbstractTextCN\":null,\"PMCID\":null,\"EPubDate\":\"2025/1/1 0:00:00\",\"PubModel\":\"eCollection\",\"JCR\":\"Q2\",\"JCRName\":\"PATHOLOGY\",\"Score\":null,\"Total\":0}","platform":"Semanticscholar","paperid":null,"PeriodicalName":"Cytojournal","FirstCategoryId":"3","ListUrlMain":"https://doi.org/10.25259/Cytojournal_3_2025","RegionNum":4,"RegionCategory":"医学","ArticlePicture":[],"TitleCN":null,"AbstractTextCN":null,"PMCID":null,"EPubDate":"2025/1/1 0:00:00","PubModel":"eCollection","JCR":"Q2","JCRName":"PATHOLOGY","Score":null,"Total":0}
引用次数: 0

摘要

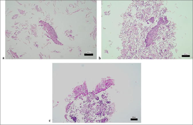
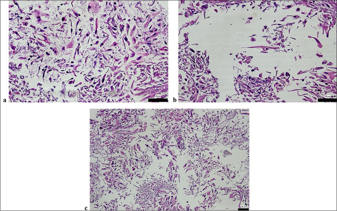
目的:宫颈癌是全球第四大最常见的女性癌症;它起源于子宫颈,与人乳头瘤病毒(HPV)感染有显著关联。本研究的目的是研究液体细胞学样本中细胞阻断剂(CB)制剂在识别土耳其HPV患者宫颈病变中的诊断效用。该方法旨在补充传统的巴氏涂片检查和HPV检测。材料与方法:回顾性分析60例经薄型巴氏涂片试验处理的hpv阳性宫颈涂片样本。从液基残留物中制备CBs,用苏木精和伊红染色,并进行分析。细胞学诊断与阴道镜引导下活检的组织病理学结果进行比较。统计分析巴氏涂片、CB和活检结果之间的关系。结果:巴氏涂片细胞学检出1.6%、16.6%、43.3%和3.3%分别为高级别鳞状上皮内病变(HSIL)、低级别鳞状上皮内病变(LSIL)、意义不明的非典型鳞状细胞和不典型鳞状细胞- HSIL不能排除+ LSIL。CB评估将6.6%的样本分类为宫颈上皮内瘤变(CIN)1, 1.6%为CIN2, 1.6%为鳞状细胞癌(SCC), 78.3%为阴性。组织病理活检显示CIN1占11.7%,CIN2占1.7%,CIN3占8.3%。巴氏涂片和CB诊断在阴性和低级别病变中高度一致,尽管在高级别病变中存在差异。HPV检测显示65%的高危阳性,主要是HPV16和HPV18。HPV亚型阳性、CB和活检诊断之间存在显著相关性(P < 0.05)。结论:CB制剂提高了对高级别病变和SCC的诊断准确性,从而补充了巴氏涂片细胞学和HPV检测。该方法支持将其纳入 rkiye常规宫颈癌筛查方案。建议进一步开展全球多中心研究来验证这些发现。
本文章由计算机程序翻译,如有差异,请以英文原文为准。

Diagnostic utility of cell block preparations from liquid-based cytology in cervical lesions: A comparative retrospective analysis.

Diagnostic utility of cell block preparations from liquid-based cytology in cervical lesions: A comparative retrospective analysis.

Diagnostic utility of cell block preparations from liquid-based cytology in cervical lesions: A comparative retrospective analysis.

Diagnostic utility of cell block preparations from liquid-based cytology in cervical lesions: A comparative retrospective analysis.

Objective: Cervical cancer ranks as the fourth most prevalent cancer among women globally; it originates in the cervix and has a significant association with human papillomavirus (HPV) infection. The purpose of this study was to investigate the diagnostic utility of cell block (CB) preparations from liquid-based cytology samples in identifying cervical lesions among Turkish patients with HPV. This approach was intended to supplement conventional Pap smear tests and HPV testing.

Material and methods: A retrospective analysis was conducted on 60 HPV-positive cervical smear samples processed through the ThinPrep Pap test. CBs were prepared from liquid-based residues, stained with hematoxylin and eosin, and analyzed. Cytological diagnoses were compared with histopathological findings from colposcopy-guided biopsies. The relationships between the Pap smear, CB, and biopsy results were statistically analyzed.

Results: Pap smear cytology identified 1.6%, 16.6%, 43.3%, and 3.3% as high-grade squamous intraepithelial lesion (HSIL), low-grade squamous intraepithelial lesion (LSIL), atypical squamous cells of undetermined significance, and atypical squamous cells - HSIL cannot be excluded + LSIL, respectively. The CB evaluations classified 6.6% of the samples as cervical intraepithelial neoplasia (CIN)1, 1.6% as CIN2, and 1.6% as squamous cell carcinoma (SCC), with 78.3% deemed negative. Histopathological biopsy revealed CIN1 in 11.7%, CIN2 in 1.7%, and CIN3 in 8.3% of the patients. High concordance was observed between the Pap smear and CB diagnoses for negative and low-grade lesions, although discrepancies occurred in higher-grade lesions. HPV testing revealed 65% high-risk positivity, predominantly for HPV16 and HPV18. Significant correlations were found among HPV subtype positivity, CB, and biopsy diagnosis (P < 0.05).

Conclusion: CB preparations provide enhanced diagnostic accuracy for high-grade lesions and SCC, thus complementing Pap smear cytology and HPV testing. This approach supports their integration into the routine cervical cancer screening protocols in Türkiye. Further global, multicenter studies are recommended to validate these findings.

求助全文
通过发布文献求助,成功后即可免费获取论文全文。 去求助
来源期刊
Cytojournal
Cytojournal PATHOLOGY-
CiteScore
2.20
自引率
42.10%
发文量
56
审稿时长
>12 weeks
期刊介绍: The CytoJournal is an open-access peer-reviewed journal committed to publishing high-quality articles in the field of Diagnostic Cytopathology including Molecular aspects. The journal is owned by the Cytopathology Foundation and published by the Scientific Scholar.
×
引用
GB/T 7714-2015
复制
MLA
复制
APA
复制
导出至
BibTeX EndNote RefMan NoteFirst NoteExpress
×
提示
您的信息不完整,为了账户安全,请先补充。
现在去补充
×
提示
您因"违规操作"
具体请查看互助需知
我知道了
×
提示
确定
请完成安全验证×
copy
已复制链接
快去分享给好友吧!
我知道了
右上角分享
点击右上角分享
0
联系我们:info@booksci.cn Book学术提供免费学术资源搜索服务,方便国内外学者检索中英文文献。致力于提供最便捷和优质的服务体验。 Copyright © 2023 布克学术 All rights reserved.
京ICP备2023020795号-1
ghs 京公网安备 11010802042870号
Book学术文献互助
Book学术文献互助群
群 号:604180095
Book学术官方微信