超声内镜引导下组织采集诊断甲状腺乳头状癌晚期胰腺转移。

IF 1.2 Q2 MEDICINE, GENERAL & INTERNAL
César Vivian Lopes, Júlia Fernanda Semmelmann Pereira-Lima, Marianna Lins de Souza Salerno, Felipe Luzzatto
{"title":"超声内镜引导下组织采集诊断甲状腺乳头状癌晚期胰腺转移。","authors":"César Vivian Lopes, Júlia Fernanda Semmelmann Pereira-Lima, Marianna Lins de Souza Salerno, Felipe Luzzatto","doi":"10.31486/toj.24.0115","DOIUrl":null,"url":null,"abstract":"<p><strong>Background: </strong>Papillary thyroid carcinoma, the most common differentiated thyroid cancer, has an indolent clinical course and a good prognosis. Metastases to the gastrointestinal tract account for <1% of all distant metastases, and the pancreas is an extremely rare site for metastasis from thyroid cancer.</p><p><strong>Case report: </strong>We report the case of a patient who developed a pancreatic metastasis from a classic variant papillary thyroid carcinoma 11 years after total thyroidectomy, cervical lymphadenectomy, and radioactive iodine ablation. The patient experienced increased thyroglobulin levels, and abdominal computed tomography scan revealed a lesion in the uncinate process of the pancreas. Tissue samples obtained by endoscopic ultrasound-guided biopsy were positive for thyroglobulin and thyroid transcription factor 1. Because the patient was not a candidate for surgery, the metastatic lesion was not iodine-avid, and tyrosine kinase inhibitors could not be offered because of tumor-related symptoms, the patient was treated with stereotactic body radiotherapy only. The patient died almost 2 years after the diagnosis of metastatic papillary thyroid carcinoma to the pancreas (13 years after total thyroidectomy for the primary cancer).</p><p><strong>Conclusion: </strong>If pancreatic lesions are discovered during regular follow-up of patients who have previously been treated for papillary thyroid carcinoma, pancreatic metastasis must be considered, and imaging procedures other than whole-body iodine scintigraphy are required. Histopathology and iodine avidity will define the best therapeutic strategy. Radioactive iodine ablation should be considered for iodine-avid metastases, and surgery or tyrosine kinase inhibitors are promising options for non-iodine-avid lesions.</p>","PeriodicalId":47600,"journal":{"name":"Ochsner Journal","volume":"25 2","pages":"123-132"},"PeriodicalIF":1.2000,"publicationDate":"2025-01-01","publicationTypes":"Journal Article","fieldsOfStudy":null,"isOpenAccess":false,"openAccessPdf":"https://www.ncbi.nlm.nih.gov/pmc/articles/PMC12175758/pdf/","citationCount":"0","resultStr":"{\"title\":\"Late Pancreatic Metastasis From Papillary Thyroid Carcinoma Diagnosed by Endoscopic Ultrasound-Guided Tissue Acquisition.\",\"authors\":\"César Vivian Lopes, Júlia Fernanda Semmelmann Pereira-Lima, Marianna Lins de Souza Salerno, Felipe Luzzatto\",\"doi\":\"10.31486/toj.24.0115\",\"DOIUrl\":null,\"url\":null,\"abstract\":\"<p><strong>Background: </strong>Papillary thyroid carcinoma, the most common differentiated thyroid cancer, has an indolent clinical course and a good prognosis. Metastases to the gastrointestinal tract account for <1% of all distant metastases, and the pancreas is an extremely rare site for metastasis from thyroid cancer.</p><p><strong>Case report: </strong>We report the case of a patient who developed a pancreatic metastasis from a classic variant papillary thyroid carcinoma 11 years after total thyroidectomy, cervical lymphadenectomy, and radioactive iodine ablation. The patient experienced increased thyroglobulin levels, and abdominal computed tomography scan revealed a lesion in the uncinate process of the pancreas. Tissue samples obtained by endoscopic ultrasound-guided biopsy were positive for thyroglobulin and thyroid transcription factor 1. Because the patient was not a candidate for surgery, the metastatic lesion was not iodine-avid, and tyrosine kinase inhibitors could not be offered because of tumor-related symptoms, the patient was treated with stereotactic body radiotherapy only. The patient died almost 2 years after the diagnosis of metastatic papillary thyroid carcinoma to the pancreas (13 years after total thyroidectomy for the primary cancer).</p><p><strong>Conclusion: </strong>If pancreatic lesions are discovered during regular follow-up of patients who have previously been treated for papillary thyroid carcinoma, pancreatic metastasis must be considered, and imaging procedures other than whole-body iodine scintigraphy are required. Histopathology and iodine avidity will define the best therapeutic strategy. Radioactive iodine ablation should be considered for iodine-avid metastases, and surgery or tyrosine kinase inhibitors are promising options for non-iodine-avid lesions.</p>\",\"PeriodicalId\":47600,\"journal\":{\"name\":\"Ochsner Journal\",\"volume\":\"25 2\",\"pages\":\"123-132\"},\"PeriodicalIF\":1.2000,\"publicationDate\":\"2025-01-01\",\"publicationTypes\":\"Journal Article\",\"fieldsOfStudy\":null,\"isOpenAccess\":false,\"openAccessPdf\":\"https://www.ncbi.nlm.nih.gov/pmc/articles/PMC12175758/pdf/\",\"citationCount\":\"0\",\"resultStr\":null,\"platform\":\"Semanticscholar\",\"paperid\":null,\"PeriodicalName\":\"Ochsner Journal\",\"FirstCategoryId\":\"1085\",\"ListUrlMain\":\"https://doi.org/10.31486/toj.24.0115\",\"RegionNum\":0,\"RegionCategory\":null,\"ArticlePicture\":[],\"TitleCN\":null,\"AbstractTextCN\":null,\"PMCID\":null,\"EPubDate\":\"\",\"PubModel\":\"\",\"JCR\":\"Q2\",\"JCRName\":\"MEDICINE, GENERAL & INTERNAL\",\"Score\":null,\"Total\":0}","platform":"Semanticscholar","paperid":null,"PeriodicalName":"Ochsner Journal","FirstCategoryId":"1085","ListUrlMain":"https://doi.org/10.31486/toj.24.0115","RegionNum":0,"RegionCategory":null,"ArticlePicture":[],"TitleCN":null,"AbstractTextCN":null,"PMCID":null,"EPubDate":"","PubModel":"","JCR":"Q2","JCRName":"MEDICINE, GENERAL & INTERNAL","Score":null,"Total":0}
引用次数: 0

摘要

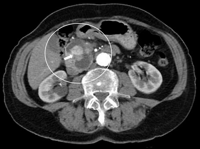
背景:甲状腺乳头状癌是最常见的分化型甲状腺癌,临床病程缓慢,预后良好。转移到胃肠道的病例报告:我们报告了一例在全甲状腺切除术、宫颈淋巴结切除术和放射性碘消融后11年发生胰腺转移的典型变异型甲状腺乳头状癌患者。患者甲状腺球蛋白水平升高,腹部计算机断层扫描显示胰腺钩突病变。内镜下超声引导活检组织标本甲状腺球蛋白和甲状腺转录因子1阳性。由于患者不适合手术,转移灶不需要碘,由于肿瘤相关症状不能提供酪氨酸激酶抑制剂,因此患者仅接受立体定向全身放疗。该患者在诊断为转移性甲状腺乳头状癌至胰腺后约2年死亡(原发癌为甲状腺全切除术后13年)。结论:对既往接受过甲状腺乳头状癌治疗的患者,如在常规随访中发现胰腺病变,应考虑胰腺转移,需行除全身碘显像外的其他影像学检查。组织病理学和碘需要量将确定最佳治疗策略。放射性碘消融术应该被考虑用于缺碘性转移,手术或酪氨酸激酶抑制剂是非缺碘性病变的有希望的选择。
本文章由计算机程序翻译,如有差异,请以英文原文为准。

Late Pancreatic Metastasis From Papillary Thyroid Carcinoma Diagnosed by Endoscopic Ultrasound-Guided Tissue Acquisition.

Late Pancreatic Metastasis From Papillary Thyroid Carcinoma Diagnosed by Endoscopic Ultrasound-Guided Tissue Acquisition.

Late Pancreatic Metastasis From Papillary Thyroid Carcinoma Diagnosed by Endoscopic Ultrasound-Guided Tissue Acquisition.

Late Pancreatic Metastasis From Papillary Thyroid Carcinoma Diagnosed by Endoscopic Ultrasound-Guided Tissue Acquisition.

Background: Papillary thyroid carcinoma, the most common differentiated thyroid cancer, has an indolent clinical course and a good prognosis. Metastases to the gastrointestinal tract account for <1% of all distant metastases, and the pancreas is an extremely rare site for metastasis from thyroid cancer.

Case report: We report the case of a patient who developed a pancreatic metastasis from a classic variant papillary thyroid carcinoma 11 years after total thyroidectomy, cervical lymphadenectomy, and radioactive iodine ablation. The patient experienced increased thyroglobulin levels, and abdominal computed tomography scan revealed a lesion in the uncinate process of the pancreas. Tissue samples obtained by endoscopic ultrasound-guided biopsy were positive for thyroglobulin and thyroid transcription factor 1. Because the patient was not a candidate for surgery, the metastatic lesion was not iodine-avid, and tyrosine kinase inhibitors could not be offered because of tumor-related symptoms, the patient was treated with stereotactic body radiotherapy only. The patient died almost 2 years after the diagnosis of metastatic papillary thyroid carcinoma to the pancreas (13 years after total thyroidectomy for the primary cancer).

Conclusion: If pancreatic lesions are discovered during regular follow-up of patients who have previously been treated for papillary thyroid carcinoma, pancreatic metastasis must be considered, and imaging procedures other than whole-body iodine scintigraphy are required. Histopathology and iodine avidity will define the best therapeutic strategy. Radioactive iodine ablation should be considered for iodine-avid metastases, and surgery or tyrosine kinase inhibitors are promising options for non-iodine-avid lesions.

求助全文
通过发布文献求助,成功后即可免费获取论文全文。 去求助
来源期刊
Ochsner Journal
Ochsner Journal MEDICINE, GENERAL & INTERNAL-
CiteScore
2.10
自引率
0.00%
发文量
71
审稿时长
24 weeks
期刊介绍: The Ochsner Journal is a quarterly publication designed to support Ochsner"s mission to improve the health of our community through a commitment to innovation in healthcare, medical research, and education. The Ochsner Journal provides an active dialogue on practice standards in today"s changing healthcare environment. Emphasis will be given to topics of great societal and medical significance.
×
引用
GB/T 7714-2015
复制
MLA
复制
APA
复制
导出至
BibTeX EndNote RefMan NoteFirst NoteExpress
×
提示
您的信息不完整,为了账户安全,请先补充。
现在去补充
×
提示
您因"违规操作"
具体请查看互助需知
我知道了
×
提示
确定
请完成安全验证×
copy
已复制链接
快去分享给好友吧!
我知道了
右上角分享
点击右上角分享
0
联系我们:info@booksci.cn Book学术提供免费学术资源搜索服务,方便国内外学者检索中英文文献。致力于提供最便捷和优质的服务体验。 Copyright © 2023 布克学术 All rights reserved.
京ICP备2023020795号-1
ghs 京公网安备 11010802042870号
Book学术文献互助
Book学术文献互助群
群 号:604180095
Book学术官方微信