脓毒性关节炎伴肩胛骨肌内脓肿的肩关节麻痹一例报告。

IF 2.8 Q3 INFECTIOUS DISEASES
Journal of Bone and Joint Infection Pub Date : 2025-06-06 eCollection Date: 2025-01-01 DOI:10.5194/jbji-10-193-2025
Ana Rita Senra, João Pedro Vieira, Pedro Negrão, Nuno Neves, Carlos Maia Dias, Maria João Leite, Manuel Ribeiro Silva
{"title":"脓毒性关节炎伴肩胛骨肌内脓肿的肩关节麻痹一例报告。","authors":"Ana Rita Senra, João Pedro Vieira, Pedro Negrão, Nuno Neves, Carlos Maia Dias, Maria João Leite, Manuel Ribeiro Silva","doi":"10.5194/jbji-10-193-2025","DOIUrl":null,"url":null,"abstract":"<p><p>We present a 31-year-old immunocompromised woman with shoulder septic arthritis and an infraspinatus abscess presenting with paralysis secondary to axillary neuropathy after an intra-articular injection. At 12 months, mobility and normal functioning were restored. This first reported adult case highlights the need for high suspicion of septic arthritis in immunocompromised patients and emphasizes effective management strategies.</p>","PeriodicalId":15271,"journal":{"name":"Journal of Bone and Joint Infection","volume":"10 3","pages":"193-197"},"PeriodicalIF":2.8000,"publicationDate":"2025-06-06","publicationTypes":"Journal Article","fieldsOfStudy":null,"isOpenAccess":false,"openAccessPdf":"https://www.ncbi.nlm.nih.gov/pmc/articles/PMC12163723/pdf/","citationCount":"0","resultStr":"{\"title\":\"Shoulder paralysis as a presentation of septic arthritis with intramuscular scapular abscess - a case report.\",\"authors\":\"Ana Rita Senra, João Pedro Vieira, Pedro Negrão, Nuno Neves, Carlos Maia Dias, Maria João Leite, Manuel Ribeiro Silva\",\"doi\":\"10.5194/jbji-10-193-2025\",\"DOIUrl\":null,\"url\":null,\"abstract\":\"<p><p>We present a 31-year-old immunocompromised woman with shoulder septic arthritis and an infraspinatus abscess presenting with paralysis secondary to axillary neuropathy after an intra-articular injection. At 12 months, mobility and normal functioning were restored. This first reported adult case highlights the need for high suspicion of septic arthritis in immunocompromised patients and emphasizes effective management strategies.</p>\",\"PeriodicalId\":15271,\"journal\":{\"name\":\"Journal of Bone and Joint Infection\",\"volume\":\"10 3\",\"pages\":\"193-197\"},\"PeriodicalIF\":2.8000,\"publicationDate\":\"2025-06-06\",\"publicationTypes\":\"Journal Article\",\"fieldsOfStudy\":null,\"isOpenAccess\":false,\"openAccessPdf\":\"https://www.ncbi.nlm.nih.gov/pmc/articles/PMC12163723/pdf/\",\"citationCount\":\"0\",\"resultStr\":null,\"platform\":\"Semanticscholar\",\"paperid\":null,\"PeriodicalName\":\"Journal of Bone and Joint Infection\",\"FirstCategoryId\":\"1085\",\"ListUrlMain\":\"https://doi.org/10.5194/jbji-10-193-2025\",\"RegionNum\":0,\"RegionCategory\":null,\"ArticlePicture\":[],\"TitleCN\":null,\"AbstractTextCN\":null,\"PMCID\":null,\"EPubDate\":\"2025/1/1 0:00:00\",\"PubModel\":\"eCollection\",\"JCR\":\"Q3\",\"JCRName\":\"INFECTIOUS DISEASES\",\"Score\":null,\"Total\":0}","platform":"Semanticscholar","paperid":null,"PeriodicalName":"Journal of Bone and Joint Infection","FirstCategoryId":"1085","ListUrlMain":"https://doi.org/10.5194/jbji-10-193-2025","RegionNum":0,"RegionCategory":null,"ArticlePicture":[],"TitleCN":null,"AbstractTextCN":null,"PMCID":null,"EPubDate":"2025/1/1 0:00:00","PubModel":"eCollection","JCR":"Q3","JCRName":"INFECTIOUS DISEASES","Score":null,"Total":0}
引用次数: 0

摘要

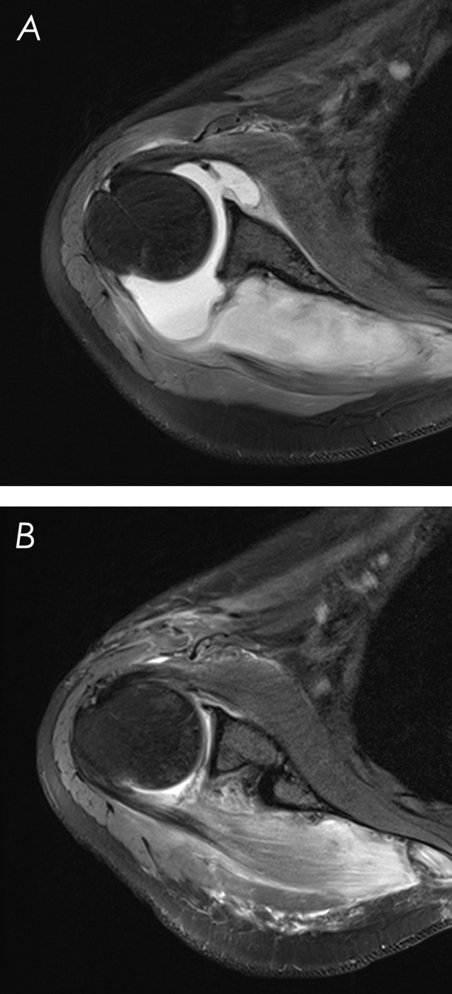
我们报告了一位31岁的免疫功能低下的女性,患有肩关节脓毒性关节炎和冈下脓肿,在关节内注射后出现继发于腋窝神经病变的瘫痪。12个月时,活动能力和正常功能恢复。这是首次报道的成人病例,强调免疫功能低下患者需要高度怀疑脓毒性关节炎,并强调有效的管理策略。
本文章由计算机程序翻译,如有差异,请以英文原文为准。

Shoulder paralysis as a presentation of septic arthritis with intramuscular scapular abscess - a case report.

Shoulder paralysis as a presentation of septic arthritis with intramuscular scapular abscess - a case report.

Shoulder paralysis as a presentation of septic arthritis with intramuscular scapular abscess - a case report.

Shoulder paralysis as a presentation of septic arthritis with intramuscular scapular abscess - a case report.

We present a 31-year-old immunocompromised woman with shoulder septic arthritis and an infraspinatus abscess presenting with paralysis secondary to axillary neuropathy after an intra-articular injection. At 12 months, mobility and normal functioning were restored. This first reported adult case highlights the need for high suspicion of septic arthritis in immunocompromised patients and emphasizes effective management strategies.

求助全文
通过发布文献求助,成功后即可免费获取论文全文。 去求助
来源期刊
CiteScore
3.70
自引率
0.00%
发文量
29
审稿时长
12 weeks
×
引用
GB/T 7714-2015
复制
MLA
复制
APA
复制
导出至
BibTeX EndNote RefMan NoteFirst NoteExpress
×
提示
您的信息不完整,为了账户安全,请先补充。
现在去补充
×
提示
您因"违规操作"
具体请查看互助需知
我知道了
×
提示
确定
请完成安全验证×
copy
已复制链接
快去分享给好友吧!
我知道了
右上角分享
点击右上角分享
0
联系我们:info@booksci.cn Book学术提供免费学术资源搜索服务,方便国内外学者检索中英文文献。致力于提供最便捷和优质的服务体验。 Copyright © 2023 布克学术 All rights reserved.
京ICP备2023020795号-1
ghs 京公网安备 11010802042870号
Book学术文献互助
Book学术文献互助群
群 号:604180095
Book学术官方微信