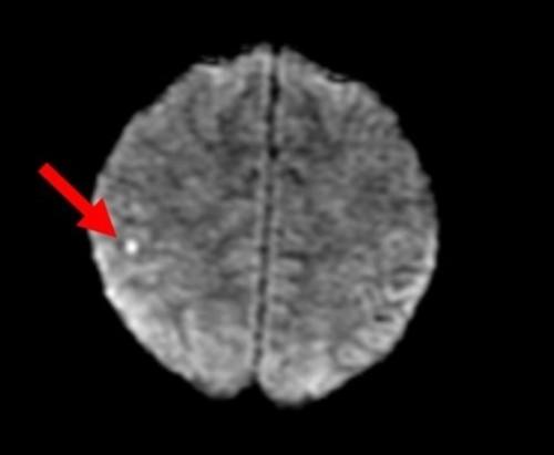
27岁男性恶性高血压患者的急性脑血管意外、肾衰竭和血栓性微血管病变

IF 0.6 Q3 MEDICINE, GENERAL & INTERNAL
Tatiana Gusan, Angelina Hong, Sarah Kaufman, Luis Santiago, Nathan Zaher
{"title":"27岁男性恶性高血压患者的急性脑血管意外、肾衰竭和血栓性微血管病变","authors":"Tatiana Gusan,&nbsp;Angelina Hong,&nbsp;Sarah Kaufman,&nbsp;Luis Santiago,&nbsp;Nathan Zaher","doi":"10.1002/ccr3.70565","DOIUrl":null,"url":null,"abstract":"<p>Hypertensive emergency is an acute, significant elevation of blood pressure accompanied by end-organ damage. We present a case of a 27-year-old gentleman who acquired multiple complications of hypertensive emergency, including renal failure and microangiopathy. This highlights the diverse complications of hypertensive emergency and reviews guideline-based recommendations for management.</p>","PeriodicalId":10327,"journal":{"name":"Clinical Case Reports","volume":"13 6","pages":""},"PeriodicalIF":0.6000,"publicationDate":"2025-06-16","publicationTypes":"Journal Article","fieldsOfStudy":null,"isOpenAccess":false,"openAccessPdf":"https://onlinelibrary.wiley.com/doi/epdf/10.1002/ccr3.70565","citationCount":"0","resultStr":"{\"title\":\"Acute Cerebrovascular Accident, Renal Failure, and Thrombotic Microangiopathy in a 27-Year-Old Male With Malignant Hypertension\",\"authors\":\"Tatiana Gusan,&nbsp;Angelina Hong,&nbsp;Sarah Kaufman,&nbsp;Luis Santiago,&nbsp;Nathan Zaher\",\"doi\":\"10.1002/ccr3.70565\",\"DOIUrl\":null,\"url\":null,\"abstract\":\"<p>Hypertensive emergency is an acute, significant elevation of blood pressure accompanied by end-organ damage. We present a case of a 27-year-old gentleman who acquired multiple complications of hypertensive emergency, including renal failure and microangiopathy. This highlights the diverse complications of hypertensive emergency and reviews guideline-based recommendations for management.</p>\",\"PeriodicalId\":10327,\"journal\":{\"name\":\"Clinical Case Reports\",\"volume\":\"13 6\",\"pages\":\"\"},\"PeriodicalIF\":0.6000,\"publicationDate\":\"2025-06-16\",\"publicationTypes\":\"Journal Article\",\"fieldsOfStudy\":null,\"isOpenAccess\":false,\"openAccessPdf\":\"https://onlinelibrary.wiley.com/doi/epdf/10.1002/ccr3.70565\",\"citationCount\":\"0\",\"resultStr\":null,\"platform\":\"Semanticscholar\",\"paperid\":null,\"PeriodicalName\":\"Clinical Case Reports\",\"FirstCategoryId\":\"1085\",\"ListUrlMain\":\"https://onlinelibrary.wiley.com/doi/10.1002/ccr3.70565\",\"RegionNum\":0,\"RegionCategory\":null,\"ArticlePicture\":[],\"TitleCN\":null,\"AbstractTextCN\":null,\"PMCID\":null,\"EPubDate\":\"\",\"PubModel\":\"\",\"JCR\":\"Q3\",\"JCRName\":\"MEDICINE, GENERAL & INTERNAL\",\"Score\":null,\"Total\":0}","platform":"Semanticscholar","paperid":null,"PeriodicalName":"Clinical Case Reports","FirstCategoryId":"1085","ListUrlMain":"https://onlinelibrary.wiley.com/doi/10.1002/ccr3.70565","RegionNum":0,"RegionCategory":null,"ArticlePicture":[],"TitleCN":null,"AbstractTextCN":null,"PMCID":null,"EPubDate":"","PubModel":"","JCR":"Q3","JCRName":"MEDICINE, GENERAL & INTERNAL","Score":null,"Total":0}
引用次数: 0

摘要

高血压急症是一种急性、显著的血压升高并伴有终末器官损伤的疾病。我们提出一个27岁的绅士谁获得了多种并发症的高血压急症,包括肾功能衰竭和微血管病变。这突出了高血压急诊并发症的多样性,并回顾了基于指南的管理建议。
本文章由计算机程序翻译,如有差异,请以英文原文为准。

Acute Cerebrovascular Accident, Renal Failure, and Thrombotic Microangiopathy in a 27-Year-Old Male With Malignant Hypertension

Acute Cerebrovascular Accident, Renal Failure, and Thrombotic Microangiopathy in a 27-Year-Old Male With Malignant Hypertension

Hypertensive emergency is an acute, significant elevation of blood pressure accompanied by end-organ damage. We present a case of a 27-year-old gentleman who acquired multiple complications of hypertensive emergency, including renal failure and microangiopathy. This highlights the diverse complications of hypertensive emergency and reviews guideline-based recommendations for management.

求助全文
通过发布文献求助,成功后即可免费获取论文全文。 去求助
来源期刊
Clinical Case Reports
Clinical Case Reports MEDICINE, GENERAL & INTERNAL-
自引率
14.30%
发文量
1268
审稿时长
13 weeks
期刊介绍: Clinical Case Reports is different from other case report journals. Our aim is to directly improve global health and increase clinical understanding using case reports to convey important best practice information. We welcome case reports from all areas of Medicine, Nursing, Dentistry, and Veterinary Science and may include: -Any clinical case or procedure which illustrates an important best practice teaching message -Any clinical case or procedure which illustrates the appropriate use of an important clinical guideline or systematic review. As well as: -The management of novel or very uncommon diseases -A common disease presenting in an uncommon way -An uncommon disease masquerading as something more common -Cases which expand understanding of disease pathogenesis -Cases where the teaching point is based on an error -Cases which allow us to re-think established medical lore -Unreported adverse effects of interventions (drug, procedural, or other).
×
引用
GB/T 7714-2015
复制
MLA
复制
APA
复制
导出至
BibTeX EndNote RefMan NoteFirst NoteExpress
×
提示
您的信息不完整,为了账户安全,请先补充。
现在去补充
×
提示
您因"违规操作"
具体请查看互助需知
我知道了
×
提示
确定
请完成安全验证×
copy
已复制链接
快去分享给好友吧!
我知道了
右上角分享
点击右上角分享
0
联系我们:info@booksci.cn Book学术提供免费学术资源搜索服务,方便国内外学者检索中英文文献。致力于提供最便捷和优质的服务体验。 Copyright © 2023 布克学术 All rights reserved.
京ICP备2023020795号-1
ghs 京公网安备 11010802042870号
Book学术文献互助
Book学术文献互助群
群 号:604180095
Book学术官方微信