弥漫肺泡出血作为抗磷脂综合征孕妇心脏血管肉瘤的临床表现:病例报告及文献复习

IF 1.3 Q4 ONCOLOGY
ecancermedicalscience Pub Date : 2025-04-01 eCollection Date: 2025-01-01 DOI:10.3332/ecancer.2025.1881
R Hermosilla, S Martínez, A Perez, E López, R Granell
{"title":"弥漫肺泡出血作为抗磷脂综合征孕妇心脏血管肉瘤的临床表现:病例报告及文献复习","authors":"R Hermosilla, S Martínez, A Perez, E López, R Granell","doi":"10.3332/ecancer.2025.1881","DOIUrl":null,"url":null,"abstract":"<p><p>Primary cardiac angiosarcoma is a very rare and fast-growing tumour, where the coincidence of pregnancy and primary cardiac angiosarcoma is extremely rare. This makes diagnosis difficult and sometimes late, resulting in a poor prognosis from the moment of detection. We present the case of a 38-year-old pregnant woman in the 16th week of gestation diagnosed with obstetric antiphospholipid syndrome who came to the emergency department with asthenia, dyspnea, tachycardia and hypotension. A transthoracic ultrasound was performed with a diagnosis of pericardial tamponade. She was admitted to the intensive care unit for extrinsic cardiogenic shock. Transesophageal echography was performed, showing a large variegated mass in the right atrium, raising the differential diagnosis between atrial thrombus and myocardial tumour. Elective cesarean section was performed at 22 weeks of gestation. Months later, the patient was readmitted with a very unfavorable clinical evolution, experiencing diffuse alveolar hemorrhage/vasculitis refractory to life support measures. It was agreed to limit the therapeutic effort while awaiting the anatomopathological report of intracardiac biposia, subsequently confirming the histological nature of cardiac angiosarcoma. This case report highlights its rarity, showing a non-specific clinical presentation, which directed us towards a thrombosis in the right atrium and the fatal prognosis of angiosarcoma, mainly related to the progression of the disease due to a late diagnosis.</p>","PeriodicalId":11460,"journal":{"name":"ecancermedicalscience","volume":"19 ","pages":"1881"},"PeriodicalIF":1.3000,"publicationDate":"2025-04-01","publicationTypes":"Journal Article","fieldsOfStudy":null,"isOpenAccess":false,"openAccessPdf":"https://www.ncbi.nlm.nih.gov/pmc/articles/PMC12149227/pdf/","citationCount":"0","resultStr":"{\"title\":\"Diffuse alveolar hemorrhage as a clinical manifestation of cardiac angiosarcoma in a pregnant woman with antiphospholipid syndrome: case report and review of the literature.\",\"authors\":\"R Hermosilla, S Martínez, A Perez, E López, R Granell\",\"doi\":\"10.3332/ecancer.2025.1881\",\"DOIUrl\":null,\"url\":null,\"abstract\":\"<p><p>Primary cardiac angiosarcoma is a very rare and fast-growing tumour, where the coincidence of pregnancy and primary cardiac angiosarcoma is extremely rare. This makes diagnosis difficult and sometimes late, resulting in a poor prognosis from the moment of detection. We present the case of a 38-year-old pregnant woman in the 16th week of gestation diagnosed with obstetric antiphospholipid syndrome who came to the emergency department with asthenia, dyspnea, tachycardia and hypotension. A transthoracic ultrasound was performed with a diagnosis of pericardial tamponade. She was admitted to the intensive care unit for extrinsic cardiogenic shock. Transesophageal echography was performed, showing a large variegated mass in the right atrium, raising the differential diagnosis between atrial thrombus and myocardial tumour. Elective cesarean section was performed at 22 weeks of gestation. Months later, the patient was readmitted with a very unfavorable clinical evolution, experiencing diffuse alveolar hemorrhage/vasculitis refractory to life support measures. It was agreed to limit the therapeutic effort while awaiting the anatomopathological report of intracardiac biposia, subsequently confirming the histological nature of cardiac angiosarcoma. This case report highlights its rarity, showing a non-specific clinical presentation, which directed us towards a thrombosis in the right atrium and the fatal prognosis of angiosarcoma, mainly related to the progression of the disease due to a late diagnosis.</p>\",\"PeriodicalId\":11460,\"journal\":{\"name\":\"ecancermedicalscience\",\"volume\":\"19 \",\"pages\":\"1881\"},\"PeriodicalIF\":1.3000,\"publicationDate\":\"2025-04-01\",\"publicationTypes\":\"Journal Article\",\"fieldsOfStudy\":null,\"isOpenAccess\":false,\"openAccessPdf\":\"https://www.ncbi.nlm.nih.gov/pmc/articles/PMC12149227/pdf/\",\"citationCount\":\"0\",\"resultStr\":null,\"platform\":\"Semanticscholar\",\"paperid\":null,\"PeriodicalName\":\"ecancermedicalscience\",\"FirstCategoryId\":\"1085\",\"ListUrlMain\":\"https://doi.org/10.3332/ecancer.2025.1881\",\"RegionNum\":0,\"RegionCategory\":null,\"ArticlePicture\":[],\"TitleCN\":null,\"AbstractTextCN\":null,\"PMCID\":null,\"EPubDate\":\"2025/1/1 0:00:00\",\"PubModel\":\"eCollection\",\"JCR\":\"Q4\",\"JCRName\":\"ONCOLOGY\",\"Score\":null,\"Total\":0}","platform":"Semanticscholar","paperid":null,"PeriodicalName":"ecancermedicalscience","FirstCategoryId":"1085","ListUrlMain":"https://doi.org/10.3332/ecancer.2025.1881","RegionNum":0,"RegionCategory":null,"ArticlePicture":[],"TitleCN":null,"AbstractTextCN":null,"PMCID":null,"EPubDate":"2025/1/1 0:00:00","PubModel":"eCollection","JCR":"Q4","JCRName":"ONCOLOGY","Score":null,"Total":0}
引用次数: 0

摘要

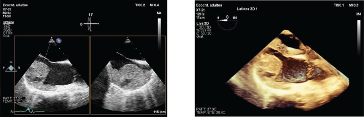
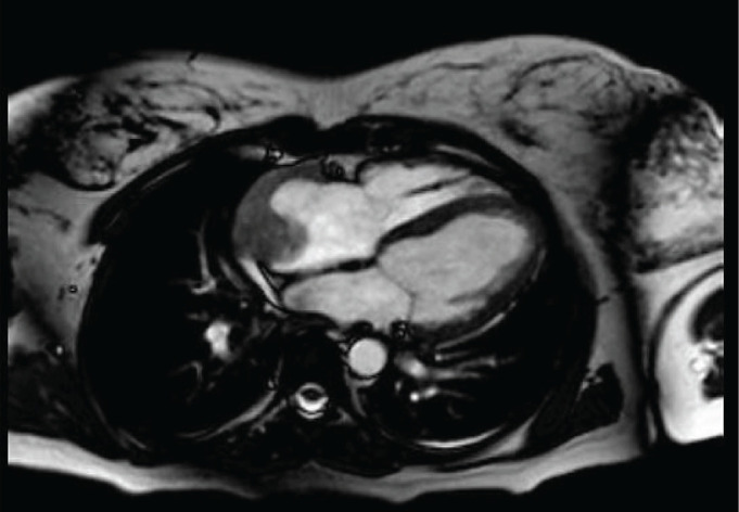
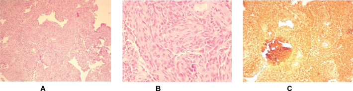
原发性心脏血管肉瘤是一种非常罕见且生长迅速的肿瘤,其中妊娠与原发性心脏血管肉瘤同时发生极为罕见。这使得诊断变得困难,有时甚至很晚,导致从发现的那一刻起预后就很差。我们提出的情况下,38岁的孕妇在妊娠第16周诊断为产科抗磷脂综合征谁来到急诊室虚弱,呼吸困难,心动过速和低血压。经胸超声诊断为心包填塞。她因外源性心源性休克住进重症监护室。经食管超声检查显示右心房有一个大的杂色肿块,提高了心房血栓和心肌肿瘤的鉴别诊断。择期剖宫产于妊娠22周。几个月后,患者因非常不利的临床进展再次入院,经历弥漫性肺泡出血/血管炎,生命支持措施难治性。同意在等待心脏内活检的解剖病理报告时限制治疗努力,随后确认心脏血管肉瘤的组织学性质。本病例报告强调其罕见性,表现出非特异性的临床表现,这使我们认为右心房血栓形成和血管肉瘤的致命预后,主要与由于诊断较晚导致疾病进展有关。
本文章由计算机程序翻译,如有差异,请以英文原文为准。

Diffuse alveolar hemorrhage as a clinical manifestation of cardiac angiosarcoma in a pregnant woman with antiphospholipid syndrome: case report and review of the literature.

Diffuse alveolar hemorrhage as a clinical manifestation of cardiac angiosarcoma in a pregnant woman with antiphospholipid syndrome: case report and review of the literature.

Diffuse alveolar hemorrhage as a clinical manifestation of cardiac angiosarcoma in a pregnant woman with antiphospholipid syndrome: case report and review of the literature.

Diffuse alveolar hemorrhage as a clinical manifestation of cardiac angiosarcoma in a pregnant woman with antiphospholipid syndrome: case report and review of the literature.

Primary cardiac angiosarcoma is a very rare and fast-growing tumour, where the coincidence of pregnancy and primary cardiac angiosarcoma is extremely rare. This makes diagnosis difficult and sometimes late, resulting in a poor prognosis from the moment of detection. We present the case of a 38-year-old pregnant woman in the 16th week of gestation diagnosed with obstetric antiphospholipid syndrome who came to the emergency department with asthenia, dyspnea, tachycardia and hypotension. A transthoracic ultrasound was performed with a diagnosis of pericardial tamponade. She was admitted to the intensive care unit for extrinsic cardiogenic shock. Transesophageal echography was performed, showing a large variegated mass in the right atrium, raising the differential diagnosis between atrial thrombus and myocardial tumour. Elective cesarean section was performed at 22 weeks of gestation. Months later, the patient was readmitted with a very unfavorable clinical evolution, experiencing diffuse alveolar hemorrhage/vasculitis refractory to life support measures. It was agreed to limit the therapeutic effort while awaiting the anatomopathological report of intracardiac biposia, subsequently confirming the histological nature of cardiac angiosarcoma. This case report highlights its rarity, showing a non-specific clinical presentation, which directed us towards a thrombosis in the right atrium and the fatal prognosis of angiosarcoma, mainly related to the progression of the disease due to a late diagnosis.

求助全文
通过发布文献求助,成功后即可免费获取论文全文。 去求助
来源期刊
CiteScore
3.80
自引率
5.60%
发文量
138
审稿时长
27 weeks
×
引用
GB/T 7714-2015
复制
MLA
复制
APA
复制
导出至
BibTeX EndNote RefMan NoteFirst NoteExpress
×
提示
您的信息不完整,为了账户安全,请先补充。
现在去补充
×
提示
您因"违规操作"
具体请查看互助需知
我知道了
×
提示
确定
请完成安全验证×
copy
已复制链接
快去分享给好友吧!
我知道了
右上角分享
点击右上角分享
0
联系我们:info@booksci.cn Book学术提供免费学术资源搜索服务,方便国内外学者检索中英文文献。致力于提供最便捷和优质的服务体验。 Copyright © 2023 布克学术 All rights reserved.
京ICP备2023020795号-1
ghs 京公网安备 11010802042870号
Book学术文献互助
Book学术文献互助群
群 号:604180095
Book学术官方微信