大肠杆菌K-12生产外源碳水化合物抗原的基因工程。

IF 4.9 2区 生物学 Q1 BIOTECHNOLOGY & APPLIED MICROBIOLOGY
Caixia Li, Hongxu Zha, Ziyan Jiao, Keyan Wei, Huaiyu Gao, Feiyi Lai, Zuoyong Zhou, Hongyan Luo, Pei Li
{"title":"大肠杆菌K-12生产外源碳水化合物抗原的基因工程。","authors":"Caixia Li, Hongxu Zha, Ziyan Jiao, Keyan Wei, Huaiyu Gao, Feiyi Lai, Zuoyong Zhou, Hongyan Luo, Pei Li","doi":"10.1186/s12934-025-02749-2","DOIUrl":null,"url":null,"abstract":"<p><strong>Background: </strong>Carbohydrate-based vaccines have made a remarkable impact on public health over the past three decades. Efficient production of carbohydrate antigens is a crucial prerequisite for the development of such vaccines. The enzymes involved in the synthesis of bacterial surface carbohydrate antigens are usually encoded by large, uninterrupted gene clusters. Non-pathogenic E. coli glycoengineering starts with the genetic manipulation of these clusters. Heterologous gene cluster recombination through an expression plasmid has several drawbacks, including continuous antibiotic selection pressure, genetic instability, and metabolic burdens. In contrast, chromosome-level gene cluster expression can minimize the metabolic effects on the host and reduce industrial costs.</p><p><strong>Results: </strong>In this study, we employed the suicide vector-mediated allelic exchange method to directly replace the native polysaccharide gene clusters in E. coli with heterologous ones. Unlike previously strategies, this method does not rely on I-SceI endonuclease or CRISPR/Cas system to release the linearized DNA insert and λ-red recombinase to promote its homologous recombination. Meanwhile, the vectors could be conveniently constructed by assembling multiple large DNA fragments in order in vitro. The scarless chromosomal insertions were confirmed by whole-genome sequencing and the polysaccharide phenotypes of all glycoengineered E. coli mutants were evaluated through growth curves, silver staining, western blot, and flow cytometry. The data indicated that there was no obvious metabolic burden associated with the insertion of large gene clusters into the E. coli W3110 O-antigen locus, and the glycoengineered E. coli can produce LPS with a recovery rate around 1% of the bacterial dry weight. Moreover, the immunogenicity of the heterologously expressed carbohydrate antigens was analyzed by mice immunization experiments. The ELISA data demonstrated the successful induction of anti-polysaccharide IgM or IgG antibodies.</p><p><strong>Conclusions: </strong>We have provided a convenient and reliable genomic glycoengineering method to produce efficacious, durable, and cost-effective carbohydrate antigens in non-pathogenic E. coli. Non-pathogenic E. coli glycoengineering has great potential for the highly efficient synthesis of heterologous polysaccharides and can serve as a versatile platform to produce next-generation biomedical agents, including glycoconjugate vaccines, glycoengineered minicells or outer membrane vesicles (OMVs), polysaccharide-based diagnostic reagents, and more.</p>","PeriodicalId":18582,"journal":{"name":"Microbial Cell Factories","volume":"24 1","pages":"126"},"PeriodicalIF":4.9000,"publicationDate":"2025-05-28","publicationTypes":"Journal Article","fieldsOfStudy":null,"isOpenAccess":false,"openAccessPdf":"https://www.ncbi.nlm.nih.gov/pmc/articles/PMC12121013/pdf/","citationCount":"0","resultStr":"{\"title\":\"Genetic engineering of E. coli K-12 for heterologous carbohydrate antigen production.\",\"authors\":\"Caixia Li, Hongxu Zha, Ziyan Jiao, Keyan Wei, Huaiyu Gao, Feiyi Lai, Zuoyong Zhou, Hongyan Luo, Pei Li\",\"doi\":\"10.1186/s12934-025-02749-2\",\"DOIUrl\":null,\"url\":null,\"abstract\":\"<p><strong>Background: </strong>Carbohydrate-based vaccines have made a remarkable impact on public health over the past three decades. Efficient production of carbohydrate antigens is a crucial prerequisite for the development of such vaccines. The enzymes involved in the synthesis of bacterial surface carbohydrate antigens are usually encoded by large, uninterrupted gene clusters. Non-pathogenic E. coli glycoengineering starts with the genetic manipulation of these clusters. Heterologous gene cluster recombination through an expression plasmid has several drawbacks, including continuous antibiotic selection pressure, genetic instability, and metabolic burdens. In contrast, chromosome-level gene cluster expression can minimize the metabolic effects on the host and reduce industrial costs.</p><p><strong>Results: </strong>In this study, we employed the suicide vector-mediated allelic exchange method to directly replace the native polysaccharide gene clusters in E. coli with heterologous ones. Unlike previously strategies, this method does not rely on I-SceI endonuclease or CRISPR/Cas system to release the linearized DNA insert and λ-red recombinase to promote its homologous recombination. Meanwhile, the vectors could be conveniently constructed by assembling multiple large DNA fragments in order in vitro. The scarless chromosomal insertions were confirmed by whole-genome sequencing and the polysaccharide phenotypes of all glycoengineered E. coli mutants were evaluated through growth curves, silver staining, western blot, and flow cytometry. The data indicated that there was no obvious metabolic burden associated with the insertion of large gene clusters into the E. coli W3110 O-antigen locus, and the glycoengineered E. coli can produce LPS with a recovery rate around 1% of the bacterial dry weight. Moreover, the immunogenicity of the heterologously expressed carbohydrate antigens was analyzed by mice immunization experiments. The ELISA data demonstrated the successful induction of anti-polysaccharide IgM or IgG antibodies.</p><p><strong>Conclusions: </strong>We have provided a convenient and reliable genomic glycoengineering method to produce efficacious, durable, and cost-effective carbohydrate antigens in non-pathogenic E. coli. Non-pathogenic E. coli glycoengineering has great potential for the highly efficient synthesis of heterologous polysaccharides and can serve as a versatile platform to produce next-generation biomedical agents, including glycoconjugate vaccines, glycoengineered minicells or outer membrane vesicles (OMVs), polysaccharide-based diagnostic reagents, and more.</p>\",\"PeriodicalId\":18582,\"journal\":{\"name\":\"Microbial Cell Factories\",\"volume\":\"24 1\",\"pages\":\"126\"},\"PeriodicalIF\":4.9000,\"publicationDate\":\"2025-05-28\",\"publicationTypes\":\"Journal Article\",\"fieldsOfStudy\":null,\"isOpenAccess\":false,\"openAccessPdf\":\"https://www.ncbi.nlm.nih.gov/pmc/articles/PMC12121013/pdf/\",\"citationCount\":\"0\",\"resultStr\":null,\"platform\":\"Semanticscholar\",\"paperid\":null,\"PeriodicalName\":\"Microbial Cell Factories\",\"FirstCategoryId\":\"5\",\"ListUrlMain\":\"https://doi.org/10.1186/s12934-025-02749-2\",\"RegionNum\":2,\"RegionCategory\":\"生物学\",\"ArticlePicture\":[],\"TitleCN\":null,\"AbstractTextCN\":null,\"PMCID\":null,\"EPubDate\":\"\",\"PubModel\":\"\",\"JCR\":\"Q1\",\"JCRName\":\"BIOTECHNOLOGY & APPLIED MICROBIOLOGY\",\"Score\":null,\"Total\":0}","platform":"Semanticscholar","paperid":null,"PeriodicalName":"Microbial Cell Factories","FirstCategoryId":"5","ListUrlMain":"https://doi.org/10.1186/s12934-025-02749-2","RegionNum":2,"RegionCategory":"生物学","ArticlePicture":[],"TitleCN":null,"AbstractTextCN":null,"PMCID":null,"EPubDate":"","PubModel":"","JCR":"Q1","JCRName":"BIOTECHNOLOGY & APPLIED MICROBIOLOGY","Score":null,"Total":0}
引用次数: 0

摘要

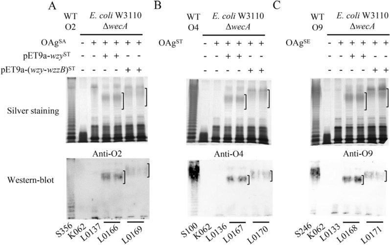
背景:碳水化合物疫苗在过去三十年中对公共卫生产生了显著影响。碳水化合物抗原的有效生产是开发此类疫苗的关键先决条件。参与细菌表面碳水化合物抗原合成的酶通常由大的、不间断的基因簇编码。非致病性大肠杆菌糖工程始于对这些菌群的基因操作。通过表达质粒重组异源基因簇有几个缺点,包括持续的抗生素选择压力、遗传不稳定性和代谢负担。相比之下,染色体水平的基因簇表达可以最大限度地减少对宿主的代谢影响,降低工业成本。结果:本研究采用自杀载体介导的等位基因交换方法,将大肠杆菌中原生多糖基因簇直接替换为外源多糖基因簇。与以往的策略不同,该方法不依赖于I-SceI内切酶或CRISPR/Cas系统来释放线性化的DNA插入物和λ-red重组酶来促进其同源重组。同时,通过在体外有序组装多个大的DNA片段,可以方便地构建载体。通过全基因组测序证实无疤痕的染色体插入,并通过生长曲线、银染色、western blot和流式细胞术评估所有糖工程大肠杆菌突变体的多糖表型。数据表明,在大肠杆菌W3110 o抗原位点插入大基因簇不会产生明显的代谢负担,且糖工程大肠杆菌可产生LPS,回收率约为细菌干重的1%。此外,通过小鼠免疫实验分析了异源表达的糖类抗原的免疫原性。ELISA数据显示成功诱导抗多糖IgM或IgG抗体。结论:我们提供了一种简便、可靠的基因组糖工程方法,可在非致病性大肠杆菌中制备有效、耐用、经济的碳水化合物抗原。非致病性大肠杆菌糖工程具有高效合成异源多糖的巨大潜力,可以作为生产下一代生物医学制剂的通用平台,包括糖结合疫苗、糖工程小细胞或外膜囊泡(omv)、基于多糖的诊断试剂等。
本文章由计算机程序翻译,如有差异,请以英文原文为准。

Genetic engineering of E. coli K-12 for heterologous carbohydrate antigen production.

Genetic engineering of E. coli K-12 for heterologous carbohydrate antigen production.

Genetic engineering of E. coli K-12 for heterologous carbohydrate antigen production.

Genetic engineering of E. coli K-12 for heterologous carbohydrate antigen production.

Background: Carbohydrate-based vaccines have made a remarkable impact on public health over the past three decades. Efficient production of carbohydrate antigens is a crucial prerequisite for the development of such vaccines. The enzymes involved in the synthesis of bacterial surface carbohydrate antigens are usually encoded by large, uninterrupted gene clusters. Non-pathogenic E. coli glycoengineering starts with the genetic manipulation of these clusters. Heterologous gene cluster recombination through an expression plasmid has several drawbacks, including continuous antibiotic selection pressure, genetic instability, and metabolic burdens. In contrast, chromosome-level gene cluster expression can minimize the metabolic effects on the host and reduce industrial costs.

Results: In this study, we employed the suicide vector-mediated allelic exchange method to directly replace the native polysaccharide gene clusters in E. coli with heterologous ones. Unlike previously strategies, this method does not rely on I-SceI endonuclease or CRISPR/Cas system to release the linearized DNA insert and λ-red recombinase to promote its homologous recombination. Meanwhile, the vectors could be conveniently constructed by assembling multiple large DNA fragments in order in vitro. The scarless chromosomal insertions were confirmed by whole-genome sequencing and the polysaccharide phenotypes of all glycoengineered E. coli mutants were evaluated through growth curves, silver staining, western blot, and flow cytometry. The data indicated that there was no obvious metabolic burden associated with the insertion of large gene clusters into the E. coli W3110 O-antigen locus, and the glycoengineered E. coli can produce LPS with a recovery rate around 1% of the bacterial dry weight. Moreover, the immunogenicity of the heterologously expressed carbohydrate antigens was analyzed by mice immunization experiments. The ELISA data demonstrated the successful induction of anti-polysaccharide IgM or IgG antibodies.

Conclusions: We have provided a convenient and reliable genomic glycoengineering method to produce efficacious, durable, and cost-effective carbohydrate antigens in non-pathogenic E. coli. Non-pathogenic E. coli glycoengineering has great potential for the highly efficient synthesis of heterologous polysaccharides and can serve as a versatile platform to produce next-generation biomedical agents, including glycoconjugate vaccines, glycoengineered minicells or outer membrane vesicles (OMVs), polysaccharide-based diagnostic reagents, and more.

求助全文
通过发布文献求助,成功后即可免费获取论文全文。 去求助
来源期刊
Microbial Cell Factories
Microbial Cell Factories 工程技术-生物工程与应用微生物
CiteScore
9.30
自引率
4.70%
发文量
235
审稿时长
2.3 months
期刊介绍: Microbial Cell Factories is an open access peer-reviewed journal that covers any topic related to the development, use and investigation of microbial cells as producers of recombinant proteins and natural products, or as catalyzers of biological transformations of industrial interest. Microbial Cell Factories is the world leading, primary research journal fully focusing on Applied Microbiology. The journal is divided into the following editorial sections: -Metabolic engineering -Synthetic biology -Whole-cell biocatalysis -Microbial regulations -Recombinant protein production/bioprocessing -Production of natural compounds -Systems biology of cell factories -Microbial production processes -Cell-free systems
×
引用
GB/T 7714-2015
复制
MLA
复制
APA
复制
导出至
BibTeX EndNote RefMan NoteFirst NoteExpress
×
提示
您的信息不完整,为了账户安全,请先补充。
现在去补充
×
提示
您因"违规操作"
具体请查看互助需知
我知道了
×
提示
确定
请完成安全验证×
copy
已复制链接
快去分享给好友吧!
我知道了
右上角分享
点击右上角分享
0
联系我们:info@booksci.cn Book学术提供免费学术资源搜索服务,方便国内外学者检索中英文文献。致力于提供最便捷和优质的服务体验。 Copyright © 2023 布克学术 All rights reserved.
京ICP备2023020795号-1
ghs 京公网安备 11010802042870号
Book学术文献互助
Book学术文献互助群
群 号:604180095
Book学术官方微信