预测儿童幕上低度胶质瘤伴癫痫的形态计量学和放射组学分析。

IF 3.5 2区 医学 Q2 ONCOLOGY
Min-Lan Tsai, Kevin Li-Chun Hsieh, Yen-Lin Liu, Yi-Shan Yang, Hsi Chang, Tai-Tong Wong, Syu-Jyun Peng
{"title":"预测儿童幕上低度胶质瘤伴癫痫的形态计量学和放射组学分析。","authors":"Min-Lan Tsai, Kevin Li-Chun Hsieh, Yen-Lin Liu, Yi-Shan Yang, Hsi Chang, Tai-Tong Wong, Syu-Jyun Peng","doi":"10.1186/s40644-025-00881-1","DOIUrl":null,"url":null,"abstract":"<p><strong>Objectives: </strong>Understanding the impact of epilepsy on pediatric brain tumors is crucial to diagnostic precision and optimal treatment selection. This study investigated MRI radiomics features, tumor location, voxel-based morphometry (VBM) for gray matter density, and tumor volumetry to differentiate between children with low grade glioma (LGG)-associated epilepsies and those without, and further identified key radiomics features for predicting of epilepsy risk in children with supratentorial LGG to construct an epilepsy prediction model.</p><p><strong>Methods: </strong>A total of 206 radiomics features of tumors and voxel-based morphometric analysis of tumor location features were extracted from T2-FLAIR images in a primary cohort of 48 children with LGG with epilepsy (N = 23) or without epilepsy (N = 25), prior to surgery. Feature selection was performed using the minimum redundancy maximum relevance algorithm, and leave-one-out cross-validation was applied to assess the predictive performance of radiomics and tumor location signatures in differentiating epilepsy-associated LGG from non-epilepsy cases.</p><p><strong>Results: </strong>Voxel-based morphometric analysis showed significant positive t-scores within bilateral temporal cortex and negative t-scores in basal ganglia between epilepsy and non-epilepsy groups. Eight radiomics features were identified as significant predictors of epilepsy in LGG, encompassing characteristics of 2 locations, 2 shapes, 1 image gray scale intensity, and 3 textures. The most important predictor was temporal lobe involvement, followed by high dependence high grey level emphasis, elongation, area density, information correlation 1, midbrain and intensity range. The Linear Support Vector Machine (SVM) model yielded the best prediction performance, when implemented with a combination of radiomics features and tumor location features, as evidenced by the following metrics: precision (0.955), recall (0.913), specificity (0.960), accuracy (0.938), F-1 score (0.933), and area under curve (AUC) (0.950).</p><p><strong>Conclusion: </strong>Our findings demonstrated the efficacy of machine learning models based on radiomics features and voxel-based anatomical locations in predicting the risk of epilepsy in supratentorial LGG. This model provides a highly accurate tool for distinguishing epilepsy-associated LGG in children, supporting precise treatment planning.</p><p><strong>Trial registration: </strong>Not applicable.</p>","PeriodicalId":9548,"journal":{"name":"Cancer Imaging","volume":"25 1","pages":"63"},"PeriodicalIF":3.5000,"publicationDate":"2025-05-19","publicationTypes":"Journal Article","fieldsOfStudy":null,"isOpenAccess":false,"openAccessPdf":"https://www.ncbi.nlm.nih.gov/pmc/articles/PMC12090388/pdf/","citationCount":"0","resultStr":"{\"title\":\"Morphometric and radiomics analysis toward the prediction of epilepsy associated with supratentorial low-grade glioma in children.\",\"authors\":\"Min-Lan Tsai, Kevin Li-Chun Hsieh, Yen-Lin Liu, Yi-Shan Yang, Hsi Chang, Tai-Tong Wong, Syu-Jyun Peng\",\"doi\":\"10.1186/s40644-025-00881-1\",\"DOIUrl\":null,\"url\":null,\"abstract\":\"<p><strong>Objectives: </strong>Understanding the impact of epilepsy on pediatric brain tumors is crucial to diagnostic precision and optimal treatment selection. This study investigated MRI radiomics features, tumor location, voxel-based morphometry (VBM) for gray matter density, and tumor volumetry to differentiate between children with low grade glioma (LGG)-associated epilepsies and those without, and further identified key radiomics features for predicting of epilepsy risk in children with supratentorial LGG to construct an epilepsy prediction model.</p><p><strong>Methods: </strong>A total of 206 radiomics features of tumors and voxel-based morphometric analysis of tumor location features were extracted from T2-FLAIR images in a primary cohort of 48 children with LGG with epilepsy (N = 23) or without epilepsy (N = 25), prior to surgery. Feature selection was performed using the minimum redundancy maximum relevance algorithm, and leave-one-out cross-validation was applied to assess the predictive performance of radiomics and tumor location signatures in differentiating epilepsy-associated LGG from non-epilepsy cases.</p><p><strong>Results: </strong>Voxel-based morphometric analysis showed significant positive t-scores within bilateral temporal cortex and negative t-scores in basal ganglia between epilepsy and non-epilepsy groups. Eight radiomics features were identified as significant predictors of epilepsy in LGG, encompassing characteristics of 2 locations, 2 shapes, 1 image gray scale intensity, and 3 textures. The most important predictor was temporal lobe involvement, followed by high dependence high grey level emphasis, elongation, area density, information correlation 1, midbrain and intensity range. The Linear Support Vector Machine (SVM) model yielded the best prediction performance, when implemented with a combination of radiomics features and tumor location features, as evidenced by the following metrics: precision (0.955), recall (0.913), specificity (0.960), accuracy (0.938), F-1 score (0.933), and area under curve (AUC) (0.950).</p><p><strong>Conclusion: </strong>Our findings demonstrated the efficacy of machine learning models based on radiomics features and voxel-based anatomical locations in predicting the risk of epilepsy in supratentorial LGG. This model provides a highly accurate tool for distinguishing epilepsy-associated LGG in children, supporting precise treatment planning.</p><p><strong>Trial registration: </strong>Not applicable.</p>\",\"PeriodicalId\":9548,\"journal\":{\"name\":\"Cancer Imaging\",\"volume\":\"25 1\",\"pages\":\"63\"},\"PeriodicalIF\":3.5000,\"publicationDate\":\"2025-05-19\",\"publicationTypes\":\"Journal Article\",\"fieldsOfStudy\":null,\"isOpenAccess\":false,\"openAccessPdf\":\"https://www.ncbi.nlm.nih.gov/pmc/articles/PMC12090388/pdf/\",\"citationCount\":\"0\",\"resultStr\":null,\"platform\":\"Semanticscholar\",\"paperid\":null,\"PeriodicalName\":\"Cancer Imaging\",\"FirstCategoryId\":\"3\",\"ListUrlMain\":\"https://doi.org/10.1186/s40644-025-00881-1\",\"RegionNum\":2,\"RegionCategory\":\"医学\",\"ArticlePicture\":[],\"TitleCN\":null,\"AbstractTextCN\":null,\"PMCID\":null,\"EPubDate\":\"\",\"PubModel\":\"\",\"JCR\":\"Q2\",\"JCRName\":\"ONCOLOGY\",\"Score\":null,\"Total\":0}","platform":"Semanticscholar","paperid":null,"PeriodicalName":"Cancer Imaging","FirstCategoryId":"3","ListUrlMain":"https://doi.org/10.1186/s40644-025-00881-1","RegionNum":2,"RegionCategory":"医学","ArticlePicture":[],"TitleCN":null,"AbstractTextCN":null,"PMCID":null,"EPubDate":"","PubModel":"","JCR":"Q2","JCRName":"ONCOLOGY","Score":null,"Total":0}
引用次数: 0

摘要

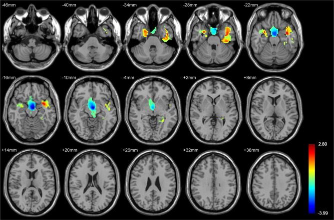
目的:了解癫痫对儿童脑肿瘤的影响,对准确诊断和选择最佳治疗方案至关重要。本研究通过MRI放射组学特征、肿瘤位置、基于体素的灰质密度测量(VBM)和肿瘤体积测量来区分低级别胶质瘤(LGG)相关癫痫患儿和非LGG患儿,并进一步确定预测幕上胶质瘤患儿癫痫风险的关键放射组学特征,构建癫痫预测模型。方法:对48例LGG患儿术前合并癫痫(N = 23)或无癫痫(N = 25)的T2-FLAIR图像进行肿瘤放射组学特征提取,并基于体素的肿瘤定位特征形态计量学分析。使用最小冗余最大相关算法进行特征选择,并使用留一交叉验证来评估放射组学和肿瘤定位特征在区分癫痫相关LGG和非癫痫病例中的预测性能。结果:基于体素的形态计量学分析显示,癫痫组和非癫痫组双侧颞叶皮层t值显著正,基底节区t值显著负。8个放射组学特征被确定为LGG癫痫的重要预测因子,包括2个位置、2个形状、1个图像灰度强度和3个纹理特征。最重要的预测因子是颞叶受累,其次是高依赖性、高灰度强调度、延伸率、面积密度、信息相关性1、中脑和强度范围。当结合放射组学特征和肿瘤定位特征时,线性支持向量机(Linear Support Vector Machine, SVM)模型的预测效果最好,其指标如下:精密度(0.955)、召回率(0.913)、特异性(0.960)、准确度(0.938)、F-1评分(0.933)和曲线下面积(AUC)(0.950)。结论:我们的研究结果证明了基于放射组学特征和基于体素的解剖位置的机器学习模型在预测幕上LGG癫痫风险方面的有效性。该模型为区分儿童癫痫相关LGG提供了高度准确的工具,支持精确的治疗计划。试验注册:不适用。
本文章由计算机程序翻译,如有差异,请以英文原文为准。

Morphometric and radiomics analysis toward the prediction of epilepsy associated with supratentorial low-grade glioma in children.

Morphometric and radiomics analysis toward the prediction of epilepsy associated with supratentorial low-grade glioma in children.

Morphometric and radiomics analysis toward the prediction of epilepsy associated with supratentorial low-grade glioma in children.

Morphometric and radiomics analysis toward the prediction of epilepsy associated with supratentorial low-grade glioma in children.

Objectives: Understanding the impact of epilepsy on pediatric brain tumors is crucial to diagnostic precision and optimal treatment selection. This study investigated MRI radiomics features, tumor location, voxel-based morphometry (VBM) for gray matter density, and tumor volumetry to differentiate between children with low grade glioma (LGG)-associated epilepsies and those without, and further identified key radiomics features for predicting of epilepsy risk in children with supratentorial LGG to construct an epilepsy prediction model.

Methods: A total of 206 radiomics features of tumors and voxel-based morphometric analysis of tumor location features were extracted from T2-FLAIR images in a primary cohort of 48 children with LGG with epilepsy (N = 23) or without epilepsy (N = 25), prior to surgery. Feature selection was performed using the minimum redundancy maximum relevance algorithm, and leave-one-out cross-validation was applied to assess the predictive performance of radiomics and tumor location signatures in differentiating epilepsy-associated LGG from non-epilepsy cases.

Results: Voxel-based morphometric analysis showed significant positive t-scores within bilateral temporal cortex and negative t-scores in basal ganglia between epilepsy and non-epilepsy groups. Eight radiomics features were identified as significant predictors of epilepsy in LGG, encompassing characteristics of 2 locations, 2 shapes, 1 image gray scale intensity, and 3 textures. The most important predictor was temporal lobe involvement, followed by high dependence high grey level emphasis, elongation, area density, information correlation 1, midbrain and intensity range. The Linear Support Vector Machine (SVM) model yielded the best prediction performance, when implemented with a combination of radiomics features and tumor location features, as evidenced by the following metrics: precision (0.955), recall (0.913), specificity (0.960), accuracy (0.938), F-1 score (0.933), and area under curve (AUC) (0.950).

Conclusion: Our findings demonstrated the efficacy of machine learning models based on radiomics features and voxel-based anatomical locations in predicting the risk of epilepsy in supratentorial LGG. This model provides a highly accurate tool for distinguishing epilepsy-associated LGG in children, supporting precise treatment planning.

Trial registration: Not applicable.

求助全文
通过发布文献求助,成功后即可免费获取论文全文。 去求助
来源期刊
Cancer Imaging
Cancer Imaging ONCOLOGY-RADIOLOGY, NUCLEAR MEDICINE & MEDICAL IMAGING
CiteScore
7.00
自引率
0.00%
发文量
66
审稿时长
>12 weeks
期刊介绍: Cancer Imaging is an open access, peer-reviewed journal publishing original articles, reviews and editorials written by expert international radiologists working in oncology. The journal encompasses CT, MR, PET, ultrasound, radionuclide and multimodal imaging in all kinds of malignant tumours, plus new developments, techniques and innovations. Topics of interest include: Breast Imaging Chest Complications of treatment Ear, Nose & Throat Gastrointestinal Hepatobiliary & Pancreatic Imaging biomarkers Interventional Lymphoma Measurement of tumour response Molecular functional imaging Musculoskeletal Neuro oncology Nuclear Medicine Paediatric.
×
引用
GB/T 7714-2015
复制
MLA
复制
APA
复制
导出至
BibTeX EndNote RefMan NoteFirst NoteExpress
×
提示
您的信息不完整,为了账户安全,请先补充。
现在去补充
×
提示
您因"违规操作"
具体请查看互助需知
我知道了
×
提示
确定
请完成安全验证×
copy
已复制链接
快去分享给好友吧!
我知道了
右上角分享
点击右上角分享
0
联系我们:info@booksci.cn Book学术提供免费学术资源搜索服务,方便国内外学者检索中英文文献。致力于提供最便捷和优质的服务体验。 Copyright © 2023 布克学术 All rights reserved.
京ICP备2023020795号-1
ghs 京公网安备 11010802042870号
Book学术文献互助
Book学术文献互助群
群 号:604180095
Book学术官方微信