碳水化合物吸收不良模仿免疫失调:组织学挑战。

JPGN reports Pub Date : 2025-03-05 eCollection Date: 2025-05-01 DOI:10.1002/jpr3.70006
Seyma Eroglu, Sara Nandolia, Yujie Zhang, Lysandra Voltaggio, Anthony L Guerrerio
{"title":"碳水化合物吸收不良模仿免疫失调:组织学挑战。","authors":"Seyma Eroglu, Sara Nandolia, Yujie Zhang, Lysandra Voltaggio, Anthony L Guerrerio","doi":"10.1002/jpr3.70006","DOIUrl":null,"url":null,"abstract":"<p><p>We report a case of neonatal-onset intractable diarrhea, where the patient's histologic findings suggested immune dysregulation. However, genetic testing revealed compound heterozygous variants in the <i>SLC5A1</i> gene. This case report adds to the existing literature by demonstrating that severe carbohydrate malabsorption can cause inflammatory histological features possibly secondary to small intestinal bacterial overgrowth.</p>","PeriodicalId":501015,"journal":{"name":"JPGN reports","volume":"6 2","pages":"174-176"},"PeriodicalIF":0.0000,"publicationDate":"2025-03-05","publicationTypes":"Journal Article","fieldsOfStudy":null,"isOpenAccess":false,"openAccessPdf":"https://www.ncbi.nlm.nih.gov/pmc/articles/PMC12078038/pdf/","citationCount":"0","resultStr":"{\"title\":\"Carbohydrate malabsorption mimicking immune dysregulation: A histological challenge.\",\"authors\":\"Seyma Eroglu, Sara Nandolia, Yujie Zhang, Lysandra Voltaggio, Anthony L Guerrerio\",\"doi\":\"10.1002/jpr3.70006\",\"DOIUrl\":null,\"url\":null,\"abstract\":\"<p><p>We report a case of neonatal-onset intractable diarrhea, where the patient's histologic findings suggested immune dysregulation. However, genetic testing revealed compound heterozygous variants in the <i>SLC5A1</i> gene. This case report adds to the existing literature by demonstrating that severe carbohydrate malabsorption can cause inflammatory histological features possibly secondary to small intestinal bacterial overgrowth.</p>\",\"PeriodicalId\":501015,\"journal\":{\"name\":\"JPGN reports\",\"volume\":\"6 2\",\"pages\":\"174-176\"},\"PeriodicalIF\":0.0000,\"publicationDate\":\"2025-03-05\",\"publicationTypes\":\"Journal Article\",\"fieldsOfStudy\":null,\"isOpenAccess\":false,\"openAccessPdf\":\"https://www.ncbi.nlm.nih.gov/pmc/articles/PMC12078038/pdf/\",\"citationCount\":\"0\",\"resultStr\":null,\"platform\":\"Semanticscholar\",\"paperid\":null,\"PeriodicalName\":\"JPGN reports\",\"FirstCategoryId\":\"1085\",\"ListUrlMain\":\"https://doi.org/10.1002/jpr3.70006\",\"RegionNum\":0,\"RegionCategory\":null,\"ArticlePicture\":[],\"TitleCN\":null,\"AbstractTextCN\":null,\"PMCID\":null,\"EPubDate\":\"2025/5/1 0:00:00\",\"PubModel\":\"eCollection\",\"JCR\":\"\",\"JCRName\":\"\",\"Score\":null,\"Total\":0}","platform":"Semanticscholar","paperid":null,"PeriodicalName":"JPGN reports","FirstCategoryId":"1085","ListUrlMain":"https://doi.org/10.1002/jpr3.70006","RegionNum":0,"RegionCategory":null,"ArticlePicture":[],"TitleCN":null,"AbstractTextCN":null,"PMCID":null,"EPubDate":"2025/5/1 0:00:00","PubModel":"eCollection","JCR":"","JCRName":"","Score":null,"Total":0}
引用次数: 0

摘要

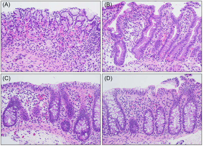
我们报告一例新生儿发病难治性腹泻,患者的组织学结果提示免疫失调。然而,基因检测显示SLC5A1基因存在复合杂合变异体。本病例报告补充了现有文献,证明严重的碳水化合物吸收不良可引起炎症组织学特征,可能继发于小肠细菌过度生长。
本文章由计算机程序翻译,如有差异,请以英文原文为准。

Carbohydrate malabsorption mimicking immune dysregulation: A histological challenge.

Carbohydrate malabsorption mimicking immune dysregulation: A histological challenge.

We report a case of neonatal-onset intractable diarrhea, where the patient's histologic findings suggested immune dysregulation. However, genetic testing revealed compound heterozygous variants in the SLC5A1 gene. This case report adds to the existing literature by demonstrating that severe carbohydrate malabsorption can cause inflammatory histological features possibly secondary to small intestinal bacterial overgrowth.

求助全文
通过发布文献求助,成功后即可免费获取论文全文。 去求助
来源期刊
自引率
0.00%
发文量
0
×
引用
GB/T 7714-2015
复制
MLA
复制
APA
复制
导出至
BibTeX EndNote RefMan NoteFirst NoteExpress
×
提示
您的信息不完整,为了账户安全,请先补充。
现在去补充
×
提示
您因"违规操作"
具体请查看互助需知
我知道了
×
提示
确定
请完成安全验证×
copy
已复制链接
快去分享给好友吧!
我知道了
右上角分享
点击右上角分享
0
联系我们:info@booksci.cn Book学术提供免费学术资源搜索服务,方便国内外学者检索中英文文献。致力于提供最便捷和优质的服务体验。 Copyright © 2023 布克学术 All rights reserved.
京ICP备2023020795号-1
ghs 京公网安备 11010802042870号
Book学术文献互助
Book学术文献互助群
群 号:604180095
Book学术官方微信