使用室内万古霉素治疗青少年男性亚急性脑脓肿1例报告。

IF 1.7 Q4 CRITICAL CARE MEDICINE
Journal of Critical Care Medicine Pub Date : 2025-04-30 eCollection Date: 2025-04-01 DOI:10.2478/jccm-2024-0046
Tomas Leng, Ibrahim Serhat Karakus
{"title":"使用室内万古霉素治疗青少年男性亚急性脑脓肿1例报告。","authors":"Tomas Leng, Ibrahim Serhat Karakus","doi":"10.2478/jccm-2024-0046","DOIUrl":null,"url":null,"abstract":"<p><strong>Introduction: </strong>Brain abscess is a serious condition in children, leading to rapid deterioration, and permanent neurological damage associated with significant morbidity and mortality. Current management protocols for brain abscesses focus on intravenous antibiotics and surgical excision and drainage.</p><p><strong>Case presentation: </strong>A 12-year-old adolescent male who had headache and photophobia and was diagnosed with multiple brain abscesses and was refractory to conventional medical and neurosurgical intervention. A single dose of 10 mg vancomycin was administered through endo-ventricular drain, resulting in resolution of abscesses and alleviation of symptoms.</p><p><strong>Conclusion: </strong>We describe the first instance of intraventricular vancomycin use in the pediatric age group for the treatment of multiple brain abscesses. Given the variability in dosing reported in the literature, our case report warrants further studies to standardize dosage for this rare intervention.</p>","PeriodicalId":44227,"journal":{"name":"Journal of Critical Care Medicine","volume":"11 2","pages":"192-195"},"PeriodicalIF":1.7000,"publicationDate":"2025-04-30","publicationTypes":"Journal Article","fieldsOfStudy":null,"isOpenAccess":false,"openAccessPdf":"https://www.ncbi.nlm.nih.gov/pmc/articles/PMC12080530/pdf/","citationCount":"0","resultStr":"{\"title\":\"The use of intraventricular vancomycin in subacute brain abscess in an adolescent male: A case report.\",\"authors\":\"Tomas Leng, Ibrahim Serhat Karakus\",\"doi\":\"10.2478/jccm-2024-0046\",\"DOIUrl\":null,\"url\":null,\"abstract\":\"<p><strong>Introduction: </strong>Brain abscess is a serious condition in children, leading to rapid deterioration, and permanent neurological damage associated with significant morbidity and mortality. Current management protocols for brain abscesses focus on intravenous antibiotics and surgical excision and drainage.</p><p><strong>Case presentation: </strong>A 12-year-old adolescent male who had headache and photophobia and was diagnosed with multiple brain abscesses and was refractory to conventional medical and neurosurgical intervention. A single dose of 10 mg vancomycin was administered through endo-ventricular drain, resulting in resolution of abscesses and alleviation of symptoms.</p><p><strong>Conclusion: </strong>We describe the first instance of intraventricular vancomycin use in the pediatric age group for the treatment of multiple brain abscesses. Given the variability in dosing reported in the literature, our case report warrants further studies to standardize dosage for this rare intervention.</p>\",\"PeriodicalId\":44227,\"journal\":{\"name\":\"Journal of Critical Care Medicine\",\"volume\":\"11 2\",\"pages\":\"192-195\"},\"PeriodicalIF\":1.7000,\"publicationDate\":\"2025-04-30\",\"publicationTypes\":\"Journal Article\",\"fieldsOfStudy\":null,\"isOpenAccess\":false,\"openAccessPdf\":\"https://www.ncbi.nlm.nih.gov/pmc/articles/PMC12080530/pdf/\",\"citationCount\":\"0\",\"resultStr\":null,\"platform\":\"Semanticscholar\",\"paperid\":null,\"PeriodicalName\":\"Journal of Critical Care Medicine\",\"FirstCategoryId\":\"1085\",\"ListUrlMain\":\"https://doi.org/10.2478/jccm-2024-0046\",\"RegionNum\":0,\"RegionCategory\":null,\"ArticlePicture\":[],\"TitleCN\":null,\"AbstractTextCN\":null,\"PMCID\":null,\"EPubDate\":\"2025/4/1 0:00:00\",\"PubModel\":\"eCollection\",\"JCR\":\"Q4\",\"JCRName\":\"CRITICAL CARE MEDICINE\",\"Score\":null,\"Total\":0}","platform":"Semanticscholar","paperid":null,"PeriodicalName":"Journal of Critical Care Medicine","FirstCategoryId":"1085","ListUrlMain":"https://doi.org/10.2478/jccm-2024-0046","RegionNum":0,"RegionCategory":null,"ArticlePicture":[],"TitleCN":null,"AbstractTextCN":null,"PMCID":null,"EPubDate":"2025/4/1 0:00:00","PubModel":"eCollection","JCR":"Q4","JCRName":"CRITICAL CARE MEDICINE","Score":null,"Total":0}
引用次数: 0

摘要

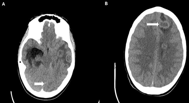
脑脓肿是儿童的一种严重疾病,可导致迅速恶化和永久性神经损伤,并伴有显著的发病率和死亡率。目前脑脓肿的治疗方案主要是静脉注射抗生素和手术切除引流。病例介绍:一名12岁的青少年男性,患有头痛和畏光,被诊断为多发性脑脓肿,常规医学和神经外科治疗无效。万古霉素单剂量10mg通过脑室内引流,导致脓肿消退和症状减轻。结论:我们描述了在儿童年龄组中使用脑室万古霉素治疗多发性脑脓肿的第一例。鉴于文献中报道的剂量差异,我们的病例报告值得进一步研究,以规范这种罕见干预措施的剂量。
本文章由计算机程序翻译,如有差异,请以英文原文为准。

The use of intraventricular vancomycin in subacute brain abscess in an adolescent male: A case report.

The use of intraventricular vancomycin in subacute brain abscess in an adolescent male: A case report.

The use of intraventricular vancomycin in subacute brain abscess in an adolescent male: A case report.

Introduction: Brain abscess is a serious condition in children, leading to rapid deterioration, and permanent neurological damage associated with significant morbidity and mortality. Current management protocols for brain abscesses focus on intravenous antibiotics and surgical excision and drainage.

Case presentation: A 12-year-old adolescent male who had headache and photophobia and was diagnosed with multiple brain abscesses and was refractory to conventional medical and neurosurgical intervention. A single dose of 10 mg vancomycin was administered through endo-ventricular drain, resulting in resolution of abscesses and alleviation of symptoms.

Conclusion: We describe the first instance of intraventricular vancomycin use in the pediatric age group for the treatment of multiple brain abscesses. Given the variability in dosing reported in the literature, our case report warrants further studies to standardize dosage for this rare intervention.

求助全文
通过发布文献求助,成功后即可免费获取论文全文。 去求助
来源期刊
Journal of Critical Care Medicine
Journal of Critical Care Medicine CRITICAL CARE MEDICINE-
CiteScore
2.00
自引率
9.10%
发文量
21
审稿时长
11 weeks
×
引用
GB/T 7714-2015
复制
MLA
复制
APA
复制
导出至
BibTeX EndNote RefMan NoteFirst NoteExpress
×
提示
您的信息不完整,为了账户安全,请先补充。
现在去补充
×
提示
您因"违规操作"
具体请查看互助需知
我知道了
×
提示
确定
请完成安全验证×
copy
已复制链接
快去分享给好友吧!
我知道了
右上角分享
点击右上角分享
0
联系我们:info@booksci.cn Book学术提供免费学术资源搜索服务,方便国内外学者检索中英文文献。致力于提供最便捷和优质的服务体验。 Copyright © 2023 布克学术 All rights reserved.
京ICP备2023020795号-1
ghs 京公网安备 11010802042870号
Book学术文献互助
Book学术文献互助群
群 号:604180095
Book学术官方微信