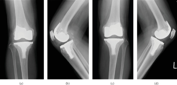
内侧骨关节炎合并滑膜骨软骨瘤病全膝关节置换术后4年发生腱鞘巨细胞瘤一例。

IF 0.6 Q4 ORTHOPEDICS
Case Reports in Orthopedics Pub Date : 2025-05-09 eCollection Date: 2025-01-01 DOI:10.1155/cro/9220974
Yu-Uichi Mishima, Takao Kaneko, Kosuke Shiga, Ayakane Yamamoto, Shu Yoshizawa
{"title":"内侧骨关节炎合并滑膜骨软骨瘤病全膝关节置换术后4年发生腱鞘巨细胞瘤一例。","authors":"Yu-Uichi Mishima, Takao Kaneko, Kosuke Shiga, Ayakane Yamamoto, Shu Yoshizawa","doi":"10.1155/cro/9220974","DOIUrl":null,"url":null,"abstract":"<p><p>We report an unusual case of a tenosynovial giant cell tumor (TGCT) in a patient who received a total knee arthroplasty (TKA) for medial knee osteoarthritis with synovial osteochondromatosis (SO). A 72-year-old woman underwent conventional jig-based simultaneous bilateral bicruciate-stabilized TKA. Four years after the surgery, she came to our hospital with a chief complaint of persistent pain in the right knee only, with recurrent spontaneous hemarthrosis. We performed a synovectomy with open excisional debridement and a polyethylene exchange. Histologic analysis of synovial samples was consistent with TGCT. We present the imaging and pathological details of the first case of de novo TGCT that occurred in the background of SO after TKA.</p>","PeriodicalId":30287,"journal":{"name":"Case Reports in Orthopedics","volume":"2025 ","pages":"9220974"},"PeriodicalIF":0.6000,"publicationDate":"2025-05-09","publicationTypes":"Journal Article","fieldsOfStudy":null,"isOpenAccess":false,"openAccessPdf":"https://www.ncbi.nlm.nih.gov/pmc/articles/PMC12084777/pdf/","citationCount":"0","resultStr":"{\"title\":\"A Novel Case of Tenosynovial Giant Cell Tumor at 4 Years After Total Knee Arthroplasty for Medial Osteoarthritis With Synovial Osteochondromatosis.\",\"authors\":\"Yu-Uichi Mishima, Takao Kaneko, Kosuke Shiga, Ayakane Yamamoto, Shu Yoshizawa\",\"doi\":\"10.1155/cro/9220974\",\"DOIUrl\":null,\"url\":null,\"abstract\":\"<p><p>We report an unusual case of a tenosynovial giant cell tumor (TGCT) in a patient who received a total knee arthroplasty (TKA) for medial knee osteoarthritis with synovial osteochondromatosis (SO). A 72-year-old woman underwent conventional jig-based simultaneous bilateral bicruciate-stabilized TKA. Four years after the surgery, she came to our hospital with a chief complaint of persistent pain in the right knee only, with recurrent spontaneous hemarthrosis. We performed a synovectomy with open excisional debridement and a polyethylene exchange. Histologic analysis of synovial samples was consistent with TGCT. We present the imaging and pathological details of the first case of de novo TGCT that occurred in the background of SO after TKA.</p>\",\"PeriodicalId\":30287,\"journal\":{\"name\":\"Case Reports in Orthopedics\",\"volume\":\"2025 \",\"pages\":\"9220974\"},\"PeriodicalIF\":0.6000,\"publicationDate\":\"2025-05-09\",\"publicationTypes\":\"Journal Article\",\"fieldsOfStudy\":null,\"isOpenAccess\":false,\"openAccessPdf\":\"https://www.ncbi.nlm.nih.gov/pmc/articles/PMC12084777/pdf/\",\"citationCount\":\"0\",\"resultStr\":null,\"platform\":\"Semanticscholar\",\"paperid\":null,\"PeriodicalName\":\"Case Reports in Orthopedics\",\"FirstCategoryId\":\"1085\",\"ListUrlMain\":\"https://doi.org/10.1155/cro/9220974\",\"RegionNum\":0,\"RegionCategory\":null,\"ArticlePicture\":[],\"TitleCN\":null,\"AbstractTextCN\":null,\"PMCID\":null,\"EPubDate\":\"2025/1/1 0:00:00\",\"PubModel\":\"eCollection\",\"JCR\":\"Q4\",\"JCRName\":\"ORTHOPEDICS\",\"Score\":null,\"Total\":0}","platform":"Semanticscholar","paperid":null,"PeriodicalName":"Case Reports in Orthopedics","FirstCategoryId":"1085","ListUrlMain":"https://doi.org/10.1155/cro/9220974","RegionNum":0,"RegionCategory":null,"ArticlePicture":[],"TitleCN":null,"AbstractTextCN":null,"PMCID":null,"EPubDate":"2025/1/1 0:00:00","PubModel":"eCollection","JCR":"Q4","JCRName":"ORTHOPEDICS","Score":null,"Total":0}
引用次数: 0

摘要

我们报告一个不寻常的病例腱鞘巨细胞瘤(TGCT)的患者谁接受了全膝关节置换术(TKA)内侧膝骨关节炎滑膜骨软骨瘤病(SO)。一位72岁的女性接受了传统的基于夹钳的双侧双交叉肌稳定TKA。术后四年,患者以仅右膝持续性疼痛为主诉来我院就诊,并伴有复发性自发性关节出血。我们进行了滑膜切除术,开放切除清创和聚乙烯交换。滑膜标本的组织学分析与TGCT一致。我们报告第一例TKA后SO背景下发生的新生TGCT的影像学和病理细节。
本文章由计算机程序翻译,如有差异,请以英文原文为准。

A Novel Case of Tenosynovial Giant Cell Tumor at 4 Years After Total Knee Arthroplasty for Medial Osteoarthritis With Synovial Osteochondromatosis.

A Novel Case of Tenosynovial Giant Cell Tumor at 4 Years After Total Knee Arthroplasty for Medial Osteoarthritis With Synovial Osteochondromatosis.

A Novel Case of Tenosynovial Giant Cell Tumor at 4 Years After Total Knee Arthroplasty for Medial Osteoarthritis With Synovial Osteochondromatosis.

A Novel Case of Tenosynovial Giant Cell Tumor at 4 Years After Total Knee Arthroplasty for Medial Osteoarthritis With Synovial Osteochondromatosis.

We report an unusual case of a tenosynovial giant cell tumor (TGCT) in a patient who received a total knee arthroplasty (TKA) for medial knee osteoarthritis with synovial osteochondromatosis (SO). A 72-year-old woman underwent conventional jig-based simultaneous bilateral bicruciate-stabilized TKA. Four years after the surgery, she came to our hospital with a chief complaint of persistent pain in the right knee only, with recurrent spontaneous hemarthrosis. We performed a synovectomy with open excisional debridement and a polyethylene exchange. Histologic analysis of synovial samples was consistent with TGCT. We present the imaging and pathological details of the first case of de novo TGCT that occurred in the background of SO after TKA.

求助全文
通过发布文献求助,成功后即可免费获取论文全文。 去求助
来源期刊
自引率
0.00%
发文量
55
审稿时长
14 weeks
×
引用
GB/T 7714-2015
复制
MLA
复制
APA
复制
导出至
BibTeX EndNote RefMan NoteFirst NoteExpress
×
提示
您的信息不完整,为了账户安全,请先补充。
现在去补充
×
提示
您因"违规操作"
具体请查看互助需知
我知道了
×
提示
确定
请完成安全验证×
copy
已复制链接
快去分享给好友吧!
我知道了
右上角分享
点击右上角分享
0
联系我们:info@booksci.cn Book学术提供免费学术资源搜索服务,方便国内外学者检索中英文文献。致力于提供最便捷和优质的服务体验。 Copyright © 2023 布克学术 All rights reserved.
京ICP备2023020795号-1
ghs 京公网安备 11010802042870号
Book学术文献互助
Book学术文献互助群
群 号:604180095
Book学术官方微信