心血管磁共振和瓣膜性心脏病:先天性病变的建议方案。

IF 2.1 3区 医学 Q3 CARDIAC & CARDIOVASCULAR SYSTEMS
Cardiovascular diagnosis and therapy Pub Date : 2025-04-30 Epub Date: 2025-04-23 DOI:10.21037/cdt-24-470
Francesca Baessato, Alessandro Ruzzarin, Christian Meierhofer
{"title":"心血管磁共振和瓣膜性心脏病:先天性病变的建议方案。","authors":"Francesca Baessato, Alessandro Ruzzarin, Christian Meierhofer","doi":"10.21037/cdt-24-470","DOIUrl":null,"url":null,"abstract":"<p><p>Valvular heart diseases (VHDs) require definition of anatomy, severity, and risk stratification to best define procedural need, type of intervention and seriate follow-up. Congenital lesions are much rarer and often associated with more complex lesions. Among noninvasive imaging modalities, cardiovascular magnetic resonance (CMR) represents a fundamental tool for complete assessment and quantification of VHDs. CMR can provide wide anatomical views on cardiac and extra-cardiac structures in any plane orientation, flow and volume quantification, as well as information on ventricular remodeling and viability. In the context of valve stenosis, quantification by CMR is based primarily on direct measurement of valve orifice at maximal valve opening, although CMR data remain less reliable than standard echocardiography due to reduced temporal resolution. Definition of great vessels anatomy by CMR can allow differentiation of valvular, subvalvular or supravalvular lesions. For valve regurgitation, CMR is the gold standard for quantification of ventricular volumes and function and for direct calculation of regurgitation of the semilunar valves with through-plane phase-contrast images. Additional flow measurements can be integrated to cross-check quantitative data on great vessels flow and stroke volumes. A standardized approach is recommended in CMR studies. A minimum CMR dataset should include two-dimensional cine and phase-contrast sequences, and three-dimensional whole heart imaging. This should be applied in the clinical practice to assess VHDs, including most complex congenital lesions.</p>","PeriodicalId":9592,"journal":{"name":"Cardiovascular diagnosis and therapy","volume":"15 2","pages":"441-454"},"PeriodicalIF":2.1000,"publicationDate":"2025-04-30","publicationTypes":"Journal Article","fieldsOfStudy":null,"isOpenAccess":false,"openAccessPdf":"https://www.ncbi.nlm.nih.gov/pmc/articles/PMC12082240/pdf/","citationCount":"0","resultStr":"{\"title\":\"Cardiovascular magnetic resonance and valvular heart diseases: a suggested protocol for congenital lesions.\",\"authors\":\"Francesca Baessato, Alessandro Ruzzarin, Christian Meierhofer\",\"doi\":\"10.21037/cdt-24-470\",\"DOIUrl\":null,\"url\":null,\"abstract\":\"<p><p>Valvular heart diseases (VHDs) require definition of anatomy, severity, and risk stratification to best define procedural need, type of intervention and seriate follow-up. Congenital lesions are much rarer and often associated with more complex lesions. Among noninvasive imaging modalities, cardiovascular magnetic resonance (CMR) represents a fundamental tool for complete assessment and quantification of VHDs. CMR can provide wide anatomical views on cardiac and extra-cardiac structures in any plane orientation, flow and volume quantification, as well as information on ventricular remodeling and viability. In the context of valve stenosis, quantification by CMR is based primarily on direct measurement of valve orifice at maximal valve opening, although CMR data remain less reliable than standard echocardiography due to reduced temporal resolution. Definition of great vessels anatomy by CMR can allow differentiation of valvular, subvalvular or supravalvular lesions. For valve regurgitation, CMR is the gold standard for quantification of ventricular volumes and function and for direct calculation of regurgitation of the semilunar valves with through-plane phase-contrast images. Additional flow measurements can be integrated to cross-check quantitative data on great vessels flow and stroke volumes. A standardized approach is recommended in CMR studies. A minimum CMR dataset should include two-dimensional cine and phase-contrast sequences, and three-dimensional whole heart imaging. This should be applied in the clinical practice to assess VHDs, including most complex congenital lesions.</p>\",\"PeriodicalId\":9592,\"journal\":{\"name\":\"Cardiovascular diagnosis and therapy\",\"volume\":\"15 2\",\"pages\":\"441-454\"},\"PeriodicalIF\":2.1000,\"publicationDate\":\"2025-04-30\",\"publicationTypes\":\"Journal Article\",\"fieldsOfStudy\":null,\"isOpenAccess\":false,\"openAccessPdf\":\"https://www.ncbi.nlm.nih.gov/pmc/articles/PMC12082240/pdf/\",\"citationCount\":\"0\",\"resultStr\":null,\"platform\":\"Semanticscholar\",\"paperid\":null,\"PeriodicalName\":\"Cardiovascular diagnosis and therapy\",\"FirstCategoryId\":\"3\",\"ListUrlMain\":\"https://doi.org/10.21037/cdt-24-470\",\"RegionNum\":3,\"RegionCategory\":\"医学\",\"ArticlePicture\":[],\"TitleCN\":null,\"AbstractTextCN\":null,\"PMCID\":null,\"EPubDate\":\"2025/4/23 0:00:00\",\"PubModel\":\"Epub\",\"JCR\":\"Q3\",\"JCRName\":\"CARDIAC & CARDIOVASCULAR SYSTEMS\",\"Score\":null,\"Total\":0}","platform":"Semanticscholar","paperid":null,"PeriodicalName":"Cardiovascular diagnosis and therapy","FirstCategoryId":"3","ListUrlMain":"https://doi.org/10.21037/cdt-24-470","RegionNum":3,"RegionCategory":"医学","ArticlePicture":[],"TitleCN":null,"AbstractTextCN":null,"PMCID":null,"EPubDate":"2025/4/23 0:00:00","PubModel":"Epub","JCR":"Q3","JCRName":"CARDIAC & CARDIOVASCULAR SYSTEMS","Score":null,"Total":0}
引用次数: 0

摘要

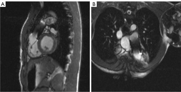
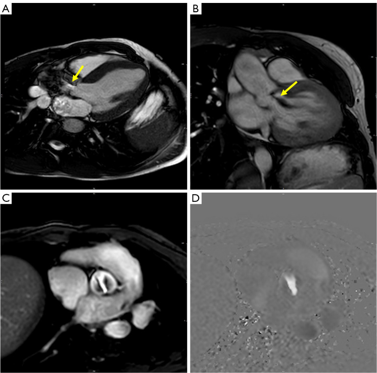
瓣膜性心脏病(vhd)需要明确解剖结构、严重程度和风险分层,以最好地确定手术需求、干预类型和连续随访。先天性病变是非常罕见的,往往与更复杂的病变。在非侵入性成像方式中,心血管磁共振(CMR)是全面评估和量化vhd的基本工具。CMR可以提供广泛的心脏和心脏外结构在任何平面上的解剖视图,流量和体积量化,以及心室重构和活力的信息。在瓣膜狭窄的情况下,CMR的量化主要基于最大瓣膜开度时的阀口直接测量,尽管由于时间分辨率降低,CMR数据仍然不如标准超声心动图可靠。通过CMR对大血管解剖的定义可以区分瓣膜、瓣膜下或瓣膜上病变。对于瓣膜反流,CMR是量化心室容积和功能的金标准,也是通过平面相对比成像直接计算半月瓣反流的金标准。额外的流量测量可以集成来交叉检查大血管流量和冲程体积的定量数据。CMR研究建议采用标准化方法。最小的CMR数据集应该包括二维电影和相衬序列,以及三维全心成像。这应应用于临床实践,以评估vhd,包括最复杂的先天性病变。
本文章由计算机程序翻译,如有差异,请以英文原文为准。

Cardiovascular magnetic resonance and valvular heart diseases: a suggested protocol for congenital lesions.

Cardiovascular magnetic resonance and valvular heart diseases: a suggested protocol for congenital lesions.

Cardiovascular magnetic resonance and valvular heart diseases: a suggested protocol for congenital lesions.

Cardiovascular magnetic resonance and valvular heart diseases: a suggested protocol for congenital lesions.

Valvular heart diseases (VHDs) require definition of anatomy, severity, and risk stratification to best define procedural need, type of intervention and seriate follow-up. Congenital lesions are much rarer and often associated with more complex lesions. Among noninvasive imaging modalities, cardiovascular magnetic resonance (CMR) represents a fundamental tool for complete assessment and quantification of VHDs. CMR can provide wide anatomical views on cardiac and extra-cardiac structures in any plane orientation, flow and volume quantification, as well as information on ventricular remodeling and viability. In the context of valve stenosis, quantification by CMR is based primarily on direct measurement of valve orifice at maximal valve opening, although CMR data remain less reliable than standard echocardiography due to reduced temporal resolution. Definition of great vessels anatomy by CMR can allow differentiation of valvular, subvalvular or supravalvular lesions. For valve regurgitation, CMR is the gold standard for quantification of ventricular volumes and function and for direct calculation of regurgitation of the semilunar valves with through-plane phase-contrast images. Additional flow measurements can be integrated to cross-check quantitative data on great vessels flow and stroke volumes. A standardized approach is recommended in CMR studies. A minimum CMR dataset should include two-dimensional cine and phase-contrast sequences, and three-dimensional whole heart imaging. This should be applied in the clinical practice to assess VHDs, including most complex congenital lesions.

求助全文
通过发布文献求助,成功后即可免费获取论文全文。 去求助
来源期刊
Cardiovascular diagnosis and therapy
Cardiovascular diagnosis and therapy Medicine-Cardiology and Cardiovascular Medicine
CiteScore
4.90
自引率
4.20%
发文量
45
期刊介绍: The journal ''Cardiovascular Diagnosis and Therapy'' (Print ISSN: 2223-3652; Online ISSN: 2223-3660) accepts basic and clinical science submissions related to Cardiovascular Medicine and Surgery. The mission of the journal is the rapid exchange of scientific information between clinicians and scientists worldwide. To reach this goal, the journal will focus on novel media, using a web-based, digital format in addition to traditional print-version. This includes on-line submission, review, publication, and distribution. The digital format will also allow submission of extensive supporting visual material, both images and video. The website www.thecdt.org will serve as the central hub and also allow posting of comments and on-line discussion. The web-site of the journal will be linked to a number of international web-sites (e.g. www.dxy.cn), which will significantly expand the distribution of its contents.
×
引用
GB/T 7714-2015
复制
MLA
复制
APA
复制
导出至
BibTeX EndNote RefMan NoteFirst NoteExpress
×
提示
您的信息不完整,为了账户安全,请先补充。
现在去补充
×
提示
您因"违规操作"
具体请查看互助需知
我知道了
×
提示
确定
请完成安全验证×
copy
已复制链接
快去分享给好友吧!
我知道了
右上角分享
点击右上角分享
0
联系我们:info@booksci.cn Book学术提供免费学术资源搜索服务,方便国内外学者检索中英文文献。致力于提供最便捷和优质的服务体验。 Copyright © 2023 布克学术 All rights reserved.
京ICP备2023020795号-1
ghs 京公网安备 11010802042870号
Book学术文献互助
Book学术文献互助群
群 号:604180095
Book学术官方微信