褐色肠综合征:系统回顾。

IF 2.2 Q3 GASTROENTEROLOGY & HEPATOLOGY
Annals of Gastroenterology Pub Date : 2025-05-01 Epub Date: 2025-04-28 DOI:10.20524/aog.2025.0965
Rena Hm Cao, Jason Diab, Michael C Grimm, Christophe R Berney
{"title":"褐色肠综合征:系统回顾。","authors":"Rena Hm Cao, Jason Diab, Michael C Grimm, Christophe R Berney","doi":"10.20524/aog.2025.0965","DOIUrl":null,"url":null,"abstract":"<p><p>Brown bowel syndrome (BBS) is a rare disorder characterized by brown pigmentation of the intestinal wall, thought to be a consequence of lipofuscin accumulation. Celiac disease and vitamin E deficiency have been postulated to be risk factors. We systematically searched PubMed, Embase, Web of Science and Cochrane to identify all case reports and abstracts reporting clinical information on patients with a confirmed diagnosis of BBS. Forty-two studies met our inclusion criteria, including 63 patients with confirmed BBS. The most common symptoms of BBS were diarrhea (50.8%) and malnutrition (50.8%), followed by abdominal pain (39.7%) and vomiting (22.2%). BBS patients with celiac disease who presented with similar symptoms to non-celiac patients were significantly less likely to be hypoalbuminemic (15.4 vs. 45.5%) and showed a non-significant trend towards a higher mortality rate (36.4% vs. 15.4%). Nineteen (31.7%) BBS patients were also vitamin E deficient. The clinical presentation and outcomes in BBS patients with vitamin E deficiency and celiac disease were similar to those without vitamin E deficiency and celiac disease. Further studies are warranted to better define the diagnostic-therapeutic approach to patients with BBS.</p>","PeriodicalId":7978,"journal":{"name":"Annals of Gastroenterology","volume":"38 3","pages":"237-246"},"PeriodicalIF":2.2000,"publicationDate":"2025-05-01","publicationTypes":"Journal Article","fieldsOfStudy":null,"isOpenAccess":false,"openAccessPdf":"https://www.ncbi.nlm.nih.gov/pmc/articles/PMC12070341/pdf/","citationCount":"0","resultStr":"{\"title\":\"Brown bowel syndrome: a systematic review.\",\"authors\":\"Rena Hm Cao, Jason Diab, Michael C Grimm, Christophe R Berney\",\"doi\":\"10.20524/aog.2025.0965\",\"DOIUrl\":null,\"url\":null,\"abstract\":\"<p><p>Brown bowel syndrome (BBS) is a rare disorder characterized by brown pigmentation of the intestinal wall, thought to be a consequence of lipofuscin accumulation. Celiac disease and vitamin E deficiency have been postulated to be risk factors. We systematically searched PubMed, Embase, Web of Science and Cochrane to identify all case reports and abstracts reporting clinical information on patients with a confirmed diagnosis of BBS. Forty-two studies met our inclusion criteria, including 63 patients with confirmed BBS. The most common symptoms of BBS were diarrhea (50.8%) and malnutrition (50.8%), followed by abdominal pain (39.7%) and vomiting (22.2%). BBS patients with celiac disease who presented with similar symptoms to non-celiac patients were significantly less likely to be hypoalbuminemic (15.4 vs. 45.5%) and showed a non-significant trend towards a higher mortality rate (36.4% vs. 15.4%). Nineteen (31.7%) BBS patients were also vitamin E deficient. The clinical presentation and outcomes in BBS patients with vitamin E deficiency and celiac disease were similar to those without vitamin E deficiency and celiac disease. Further studies are warranted to better define the diagnostic-therapeutic approach to patients with BBS.</p>\",\"PeriodicalId\":7978,\"journal\":{\"name\":\"Annals of Gastroenterology\",\"volume\":\"38 3\",\"pages\":\"237-246\"},\"PeriodicalIF\":2.2000,\"publicationDate\":\"2025-05-01\",\"publicationTypes\":\"Journal Article\",\"fieldsOfStudy\":null,\"isOpenAccess\":false,\"openAccessPdf\":\"https://www.ncbi.nlm.nih.gov/pmc/articles/PMC12070341/pdf/\",\"citationCount\":\"0\",\"resultStr\":null,\"platform\":\"Semanticscholar\",\"paperid\":null,\"PeriodicalName\":\"Annals of Gastroenterology\",\"FirstCategoryId\":\"1085\",\"ListUrlMain\":\"https://doi.org/10.20524/aog.2025.0965\",\"RegionNum\":0,\"RegionCategory\":null,\"ArticlePicture\":[],\"TitleCN\":null,\"AbstractTextCN\":null,\"PMCID\":null,\"EPubDate\":\"2025/4/28 0:00:00\",\"PubModel\":\"Epub\",\"JCR\":\"Q3\",\"JCRName\":\"GASTROENTEROLOGY & HEPATOLOGY\",\"Score\":null,\"Total\":0}","platform":"Semanticscholar","paperid":null,"PeriodicalName":"Annals of Gastroenterology","FirstCategoryId":"1085","ListUrlMain":"https://doi.org/10.20524/aog.2025.0965","RegionNum":0,"RegionCategory":null,"ArticlePicture":[],"TitleCN":null,"AbstractTextCN":null,"PMCID":null,"EPubDate":"2025/4/28 0:00:00","PubModel":"Epub","JCR":"Q3","JCRName":"GASTROENTEROLOGY & HEPATOLOGY","Score":null,"Total":0}
引用次数: 0

摘要

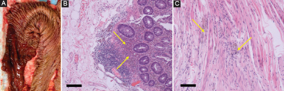
棕色肠综合征(BBS)是一种罕见的疾病,以肠壁棕色色素沉着为特征,被认为是脂褐素积累的结果。乳糜泻和维生素E缺乏被认为是危险因素。我们系统地检索PubMed、Embase、Web of Science和Cochrane,以确定所有报告BBS确诊患者临床信息的病例报告和摘要。42项研究符合我们的纳入标准,包括63例确诊的BBS患者。BBS最常见的症状是腹泻(50.8%)和营养不良(50.8%),其次是腹痛(39.7%)和呕吐(22.2%)。伴有乳糜泻的BBS患者如果表现出与非乳糜泻患者相似的症状,低白蛋白血症的可能性显著降低(15.4%对45.5%),且死亡率呈非显著性升高趋势(36.4%对15.4%)。19例(31.7%)BBS患者同时缺乏维生素E。伴有维生素E缺乏和乳糜泻的BBS患者的临床表现和结果与没有维生素E缺乏和乳糜泻的患者相似。需要进一步的研究来更好地确定BBS患者的诊断和治疗方法。
本文章由计算机程序翻译,如有差异,请以英文原文为准。

Brown bowel syndrome: a systematic review.

Brown bowel syndrome: a systematic review.

Brown bowel syndrome: a systematic review.

Brown bowel syndrome: a systematic review.

Brown bowel syndrome (BBS) is a rare disorder characterized by brown pigmentation of the intestinal wall, thought to be a consequence of lipofuscin accumulation. Celiac disease and vitamin E deficiency have been postulated to be risk factors. We systematically searched PubMed, Embase, Web of Science and Cochrane to identify all case reports and abstracts reporting clinical information on patients with a confirmed diagnosis of BBS. Forty-two studies met our inclusion criteria, including 63 patients with confirmed BBS. The most common symptoms of BBS were diarrhea (50.8%) and malnutrition (50.8%), followed by abdominal pain (39.7%) and vomiting (22.2%). BBS patients with celiac disease who presented with similar symptoms to non-celiac patients were significantly less likely to be hypoalbuminemic (15.4 vs. 45.5%) and showed a non-significant trend towards a higher mortality rate (36.4% vs. 15.4%). Nineteen (31.7%) BBS patients were also vitamin E deficient. The clinical presentation and outcomes in BBS patients with vitamin E deficiency and celiac disease were similar to those without vitamin E deficiency and celiac disease. Further studies are warranted to better define the diagnostic-therapeutic approach to patients with BBS.

求助全文
通过发布文献求助,成功后即可免费获取论文全文。 去求助
来源期刊
Annals of Gastroenterology
Annals of Gastroenterology GASTROENTEROLOGY & HEPATOLOGY-
CiteScore
4.30
自引率
0.00%
发文量
58
×
引用
GB/T 7714-2015
复制
MLA
复制
APA
复制
导出至
BibTeX EndNote RefMan NoteFirst NoteExpress
×
提示
您的信息不完整,为了账户安全,请先补充。
现在去补充
×
提示
您因"违规操作"
具体请查看互助需知
我知道了
×
提示
确定
请完成安全验证×
copy
已复制链接
快去分享给好友吧!
我知道了
右上角分享
点击右上角分享
0
联系我们:info@booksci.cn Book学术提供免费学术资源搜索服务,方便国内外学者检索中英文文献。致力于提供最便捷和优质的服务体验。 Copyright © 2023 布克学术 All rights reserved.
京ICP备2023020795号-1
ghs 京公网安备 11010802042870号
Book学术文献互助
Book学术文献互助群
群 号:604180095
Book学术官方微信