致命脂肪栓塞综合征的年轻创伤患者稳定的初始表现:时间确定预测标准?一份病例报告。

IF 0.2
Journal of Trauma and Injury Pub Date : 2025-09-01 Epub Date: 2025-04-21 DOI:10.20408/jti.2024.0072
Nebojsa Brezic, Strahinja Gligorevic, Tatjana Atanasijevic, Vladimir Zivkovic, Bojan Jovanovic
{"title":"致命脂肪栓塞综合征的年轻创伤患者稳定的初始表现:时间确定预测标准?一份病例报告。","authors":"Nebojsa Brezic, Strahinja Gligorevic, Tatjana Atanasijevic, Vladimir Zivkovic, Bojan Jovanovic","doi":"10.20408/jti.2024.0072","DOIUrl":null,"url":null,"abstract":"<p><p>Fat embolism syndrome (FES) is a rare but serious complication most commonly associated with trauma, particularly long bone fractures. However, symptomatic FES remains a significant diagnostic and therapeutic challenge. We present the case of a 20-year-old man who, after sustaining multiple long bone fractures in a motorcycle accident and initially appearing stable, experienced a rapid and fatal progression of FES. This case underscores the unpredictable course of FES even in young, previously healthy individuals and highlights the critical need for early recognition and intervention. It also emphasizes the importance of identifying risk factors that may predict severe outcomes and mortality.</p>","PeriodicalId":52698,"journal":{"name":"Journal of Trauma and Injury","volume":" ","pages":"273-279"},"PeriodicalIF":0.2000,"publicationDate":"2025-09-01","publicationTypes":"Journal Article","fieldsOfStudy":null,"isOpenAccess":false,"openAccessPdf":"https://www.ncbi.nlm.nih.gov/pmc/articles/PMC12489148/pdf/","citationCount":"0","resultStr":"{\"title\":\"Fatal fat embolism syndrome in a young trauma patient with a stable initial presentation: time to define predictive criteria? A case report.\",\"authors\":\"Nebojsa Brezic, Strahinja Gligorevic, Tatjana Atanasijevic, Vladimir Zivkovic, Bojan Jovanovic\",\"doi\":\"10.20408/jti.2024.0072\",\"DOIUrl\":null,\"url\":null,\"abstract\":\"<p><p>Fat embolism syndrome (FES) is a rare but serious complication most commonly associated with trauma, particularly long bone fractures. However, symptomatic FES remains a significant diagnostic and therapeutic challenge. We present the case of a 20-year-old man who, after sustaining multiple long bone fractures in a motorcycle accident and initially appearing stable, experienced a rapid and fatal progression of FES. This case underscores the unpredictable course of FES even in young, previously healthy individuals and highlights the critical need for early recognition and intervention. It also emphasizes the importance of identifying risk factors that may predict severe outcomes and mortality.</p>\",\"PeriodicalId\":52698,\"journal\":{\"name\":\"Journal of Trauma and Injury\",\"volume\":\" \",\"pages\":\"273-279\"},\"PeriodicalIF\":0.2000,\"publicationDate\":\"2025-09-01\",\"publicationTypes\":\"Journal Article\",\"fieldsOfStudy\":null,\"isOpenAccess\":false,\"openAccessPdf\":\"https://www.ncbi.nlm.nih.gov/pmc/articles/PMC12489148/pdf/\",\"citationCount\":\"0\",\"resultStr\":null,\"platform\":\"Semanticscholar\",\"paperid\":null,\"PeriodicalName\":\"Journal of Trauma and Injury\",\"FirstCategoryId\":\"1085\",\"ListUrlMain\":\"https://doi.org/10.20408/jti.2024.0072\",\"RegionNum\":0,\"RegionCategory\":null,\"ArticlePicture\":[],\"TitleCN\":null,\"AbstractTextCN\":null,\"PMCID\":null,\"EPubDate\":\"2025/4/21 0:00:00\",\"PubModel\":\"Epub\",\"JCR\":\"\",\"JCRName\":\"\",\"Score\":null,\"Total\":0}","platform":"Semanticscholar","paperid":null,"PeriodicalName":"Journal of Trauma and Injury","FirstCategoryId":"1085","ListUrlMain":"https://doi.org/10.20408/jti.2024.0072","RegionNum":0,"RegionCategory":null,"ArticlePicture":[],"TitleCN":null,"AbstractTextCN":null,"PMCID":null,"EPubDate":"2025/4/21 0:00:00","PubModel":"Epub","JCR":"","JCRName":"","Score":null,"Total":0}
引用次数: 0

摘要

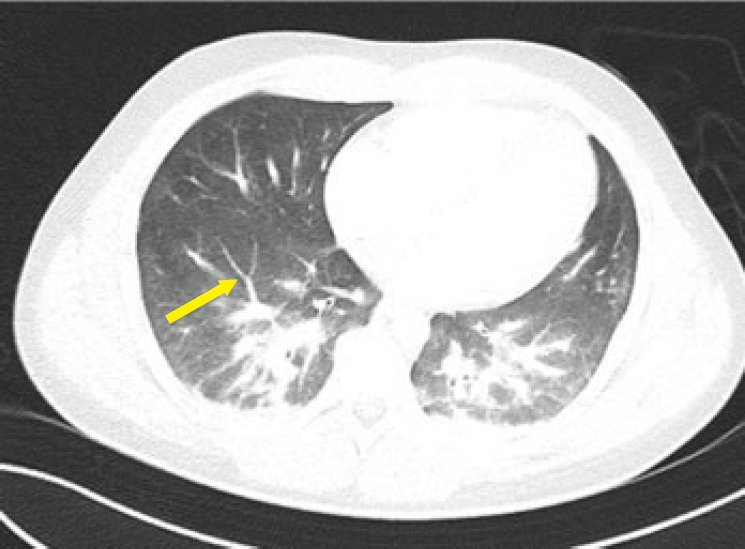
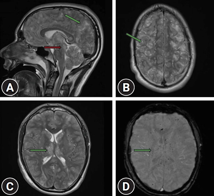
脂肪栓塞综合征(FES)是一种罕见但严重的并发症,最常与创伤有关,特别是长骨骨折。然而,有症状的FES仍然是一个重大的诊断和治疗挑战。我们报告了一个20岁的男子,在摩托车事故中持续多处长骨骨折后,最初表现稳定,经历了快速和致命的FES进展。本病例强调了即使在以前健康的年轻人中,FES的病程也是不可预测的,并强调了早期识别和干预的迫切需要。它还强调了确定可能预测严重后果和死亡率的风险因素的重要性。
本文章由计算机程序翻译,如有差异,请以英文原文为准。

Fatal fat embolism syndrome in a young trauma patient with a stable initial presentation: time to define predictive criteria? A case report.

Fatal fat embolism syndrome in a young trauma patient with a stable initial presentation: time to define predictive criteria? A case report.

Fatal fat embolism syndrome in a young trauma patient with a stable initial presentation: time to define predictive criteria? A case report.

Fatal fat embolism syndrome in a young trauma patient with a stable initial presentation: time to define predictive criteria? A case report.

Fat embolism syndrome (FES) is a rare but serious complication most commonly associated with trauma, particularly long bone fractures. However, symptomatic FES remains a significant diagnostic and therapeutic challenge. We present the case of a 20-year-old man who, after sustaining multiple long bone fractures in a motorcycle accident and initially appearing stable, experienced a rapid and fatal progression of FES. This case underscores the unpredictable course of FES even in young, previously healthy individuals and highlights the critical need for early recognition and intervention. It also emphasizes the importance of identifying risk factors that may predict severe outcomes and mortality.

求助全文
通过发布文献求助,成功后即可免费获取论文全文。 去求助
来源期刊
自引率
0.00%
发文量
58
审稿时长
11 weeks
×
引用
GB/T 7714-2015
复制
MLA
复制
APA
复制
导出至
BibTeX EndNote RefMan NoteFirst NoteExpress
×
提示
您的信息不完整,为了账户安全,请先补充。
现在去补充
×
提示
您因"违规操作"
具体请查看互助需知
我知道了
×
提示
确定
请完成安全验证×
copy
已复制链接
快去分享给好友吧!
我知道了
右上角分享
点击右上角分享
0
联系我们:info@booksci.cn Book学术提供免费学术资源搜索服务,方便国内外学者检索中英文文献。致力于提供最便捷和优质的服务体验。 Copyright © 2023 布克学术 All rights reserved.
京ICP备2023020795号-1
ghs 京公网安备 11010802042870号
Book学术文献互助
Book学术文献互助群
群 号:604180095
Book学术官方微信