乙状结肠阴道成形术中的新阴道穿孔:一种未被认识的并发症-文献综述。

IF 2.4 4区 医学 Q1 MEDICINE, GENERAL & INTERNAL
Yen-Ning Huang, Jeng-Fu You, Ching-Hsuan Hu
{"title":"乙状结肠阴道成形术中的新阴道穿孔:一种未被认识的并发症-文献综述。","authors":"Yen-Ning Huang, Jeng-Fu You, Ching-Hsuan Hu","doi":"10.3390/medicina61040691","DOIUrl":null,"url":null,"abstract":"<p><p><i>Background and Objectives</i>: Gender affirmation surgery significantly improves the quality of life and psychological well-being of transgender women. Among various techniques, sigmoid vaginoplasty is widely performed due to its ability to provide adequate vaginal depth and intrinsic lubrication. However, it carries risks, with neovaginal perforation being a serious yet underreported complication. <i>Materials and Methods</i>: This review examines the etiology, clinical manifestations, diagnosis, and management of neovaginal perforation. A literature review was conducted to analyze reported cases and treatment strategies. Additionally, we present a case from our institution to highlight diagnostic and therapeutic challenges. <i>Results</i>: Neovaginal perforation arises from mechanical trauma, ischemia, infection, or structural weaknesses in the sigmoid segment. Common risk factors include improper dilation, introital stenosis, and vascular compromise. Symptoms range from mild pelvic discomfort to peritonitis and sepsis. Computed tomography (CT) is the gold standard for diagnosis. Conservative management is effective in mild cases, whereas severe cases require surgical repair. <i>Conclusions</i>: Neovaginal perforation is rare but potentially life-threatening. Future research should refine surgical techniques, dilation protocols, and tissue engineering solutions. Standardized guidelines and patient education are essential for prevention and improved outcomes.</p>","PeriodicalId":49830,"journal":{"name":"Medicina-Lithuania","volume":"61 4","pages":""},"PeriodicalIF":2.4000,"publicationDate":"2025-04-09","publicationTypes":"Journal Article","fieldsOfStudy":null,"isOpenAccess":false,"openAccessPdf":"https://www.ncbi.nlm.nih.gov/pmc/articles/PMC12028581/pdf/","citationCount":"0","resultStr":"{\"title\":\"Neovaginal Perforation in Sigmoid Vaginoplasty: An Underrecognized Complication-A Literature Review.\",\"authors\":\"Yen-Ning Huang, Jeng-Fu You, Ching-Hsuan Hu\",\"doi\":\"10.3390/medicina61040691\",\"DOIUrl\":null,\"url\":null,\"abstract\":\"<p><p><i>Background and Objectives</i>: Gender affirmation surgery significantly improves the quality of life and psychological well-being of transgender women. Among various techniques, sigmoid vaginoplasty is widely performed due to its ability to provide adequate vaginal depth and intrinsic lubrication. However, it carries risks, with neovaginal perforation being a serious yet underreported complication. <i>Materials and Methods</i>: This review examines the etiology, clinical manifestations, diagnosis, and management of neovaginal perforation. A literature review was conducted to analyze reported cases and treatment strategies. Additionally, we present a case from our institution to highlight diagnostic and therapeutic challenges. <i>Results</i>: Neovaginal perforation arises from mechanical trauma, ischemia, infection, or structural weaknesses in the sigmoid segment. Common risk factors include improper dilation, introital stenosis, and vascular compromise. Symptoms range from mild pelvic discomfort to peritonitis and sepsis. Computed tomography (CT) is the gold standard for diagnosis. Conservative management is effective in mild cases, whereas severe cases require surgical repair. <i>Conclusions</i>: Neovaginal perforation is rare but potentially life-threatening. Future research should refine surgical techniques, dilation protocols, and tissue engineering solutions. Standardized guidelines and patient education are essential for prevention and improved outcomes.</p>\",\"PeriodicalId\":49830,\"journal\":{\"name\":\"Medicina-Lithuania\",\"volume\":\"61 4\",\"pages\":\"\"},\"PeriodicalIF\":2.4000,\"publicationDate\":\"2025-04-09\",\"publicationTypes\":\"Journal Article\",\"fieldsOfStudy\":null,\"isOpenAccess\":false,\"openAccessPdf\":\"https://www.ncbi.nlm.nih.gov/pmc/articles/PMC12028581/pdf/\",\"citationCount\":\"0\",\"resultStr\":null,\"platform\":\"Semanticscholar\",\"paperid\":null,\"PeriodicalName\":\"Medicina-Lithuania\",\"FirstCategoryId\":\"3\",\"ListUrlMain\":\"https://doi.org/10.3390/medicina61040691\",\"RegionNum\":4,\"RegionCategory\":\"医学\",\"ArticlePicture\":[],\"TitleCN\":null,\"AbstractTextCN\":null,\"PMCID\":null,\"EPubDate\":\"\",\"PubModel\":\"\",\"JCR\":\"Q1\",\"JCRName\":\"MEDICINE, GENERAL & INTERNAL\",\"Score\":null,\"Total\":0}","platform":"Semanticscholar","paperid":null,"PeriodicalName":"Medicina-Lithuania","FirstCategoryId":"3","ListUrlMain":"https://doi.org/10.3390/medicina61040691","RegionNum":4,"RegionCategory":"医学","ArticlePicture":[],"TitleCN":null,"AbstractTextCN":null,"PMCID":null,"EPubDate":"","PubModel":"","JCR":"Q1","JCRName":"MEDICINE, GENERAL & INTERNAL","Score":null,"Total":0}
引用次数: 0

摘要

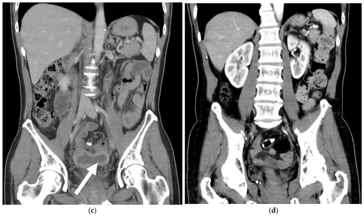
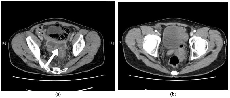
背景与目的:性别肯定手术可显著改善跨性别女性的生活质量和心理健康。在各种技术中,乙状结肠阴道成形术因其能够提供足够的阴道深度和内在润滑而被广泛应用。然而,它也有风险,新阴道穿孔是一种严重但未被报道的并发症。材料与方法:本文综述了新发阴道穿孔的病因、临床表现、诊断和治疗。我们进行文献回顾,分析报告的病例和治疗策略。此外,我们提出了一个来自我们机构的病例,以突出诊断和治疗方面的挑战。结果:新阴道穿孔是由机械损伤、缺血、感染或乙状结肠段结构缺陷引起的。常见的危险因素包括不适当的扩张、内径狭窄和血管损伤。症状从轻微的盆腔不适到腹膜炎和败血症。计算机断层扫描(CT)是诊断的金标准。轻微病例保守治疗有效,严重病例需手术修复。结论:新的阴道穿孔是罕见的,但可能危及生命。未来的研究应改进手术技术、扩张方案和组织工程解决方案。标准化指南和患者教育对于预防和改善结果至关重要。
本文章由计算机程序翻译,如有差异,请以英文原文为准。

Neovaginal Perforation in Sigmoid Vaginoplasty: An Underrecognized Complication-A Literature Review.

Neovaginal Perforation in Sigmoid Vaginoplasty: An Underrecognized Complication-A Literature Review.

Neovaginal Perforation in Sigmoid Vaginoplasty: An Underrecognized Complication-A Literature Review.

Neovaginal Perforation in Sigmoid Vaginoplasty: An Underrecognized Complication-A Literature Review.

Background and Objectives: Gender affirmation surgery significantly improves the quality of life and psychological well-being of transgender women. Among various techniques, sigmoid vaginoplasty is widely performed due to its ability to provide adequate vaginal depth and intrinsic lubrication. However, it carries risks, with neovaginal perforation being a serious yet underreported complication. Materials and Methods: This review examines the etiology, clinical manifestations, diagnosis, and management of neovaginal perforation. A literature review was conducted to analyze reported cases and treatment strategies. Additionally, we present a case from our institution to highlight diagnostic and therapeutic challenges. Results: Neovaginal perforation arises from mechanical trauma, ischemia, infection, or structural weaknesses in the sigmoid segment. Common risk factors include improper dilation, introital stenosis, and vascular compromise. Symptoms range from mild pelvic discomfort to peritonitis and sepsis. Computed tomography (CT) is the gold standard for diagnosis. Conservative management is effective in mild cases, whereas severe cases require surgical repair. Conclusions: Neovaginal perforation is rare but potentially life-threatening. Future research should refine surgical techniques, dilation protocols, and tissue engineering solutions. Standardized guidelines and patient education are essential for prevention and improved outcomes.

求助全文
通过发布文献求助,成功后即可免费获取论文全文。 去求助
来源期刊
Medicina-Lithuania
Medicina-Lithuania 医学-医学:内科
CiteScore
3.30
自引率
3.80%
发文量
1578
审稿时长
25.04 days
期刊介绍: The journal’s main focus is on reviews as well as clinical and experimental investigations. The journal aims to advance knowledge related to problems in medicine in developing countries as well as developed economies, to disseminate research on global health, and to promote and foster prevention and treatment of diseases worldwide. MEDICINA publications cater to clinicians, diagnosticians and researchers, and serve as a forum to discuss the current status of health-related matters and their impact on a global and local scale.
×
引用
GB/T 7714-2015
复制
MLA
复制
APA
复制
导出至
BibTeX EndNote RefMan NoteFirst NoteExpress
×
提示
您的信息不完整,为了账户安全,请先补充。
现在去补充
×
提示
您因"违规操作"
具体请查看互助需知
我知道了
×
提示
确定
请完成安全验证×
copy
已复制链接
快去分享给好友吧!
我知道了
右上角分享
点击右上角分享
0
联系我们:info@booksci.cn Book学术提供免费学术资源搜索服务,方便国内外学者检索中英文文献。致力于提供最便捷和优质的服务体验。 Copyright © 2023 布克学术 All rights reserved.
京ICP备2023020795号-1
ghs 京公网安备 11010802042870号
Book学术文献互助
Book学术文献互助群
群 号:604180095
Book学术官方微信