192例三级保健中心心包积液的细胞病理学评价。

IF 1 4区 医学 Q2 MEDICINE, GENERAL & INTERNAL
Turkish Journal of Medical Sciences Pub Date : 2025-01-19 eCollection Date: 2025-01-01 DOI:10.55730/1300-0144.5986
Ayşegül Aksoy Altinboğa, Nur Kivrak
{"title":"192例三级保健中心心包积液的细胞病理学评价。","authors":"Ayşegül Aksoy Altinboğa, Nur Kivrak","doi":"10.55730/1300-0144.5986","DOIUrl":null,"url":null,"abstract":"<p><strong>Background/aim: </strong>There are many different benign and malignant etiologies of pericardial effusions (PEs), which can compress the heart and large vessels emerging from the heart and cause significant clinical findings. The aim of this study was to cytologically examine the underlying diseases causing PEs and to conduct detailed evaluations of underlying cancers in cases of malignant PE, both within the whole study population and according to sex.</p><p><strong>Materials and methods: </strong>All PE samples obtained between 2019 and 2024 were reevaluated and categorized as nondiagnostic, negative for malignancy (NFM), atypia of undetermined significance (AUS), suspicious for malignancy (SFM), or malignant according to the 2020 International System for Serous Fluid Cytopathology.</p><p><strong>Results: </strong>A total of 192 PE samples from 184 patients were analyzed, with 137 categorized as NFM (71.4%), 6 as AUS (3.1%), 5 as SFM (2.6%), and 44 as malignant (22.9%). In the NFM group, PE most often developed secondary to cardiac diseases or cardiac operations (61/137, 44.5%). In the malignant group, pulmonary carcinoma metastasis was most common within the whole population (54.5%) followed by breast carcinoma metastasis (15.9%). Lung carcinoma metastasis (69%) was most common among male patients, followed by gastric carcinoma metastasis (23%), and breast carcinoma (38.9%) followed by lung carcinoma metastasis (33.3%) were most common among female patients as the causes of malignant PE. Among patients who were followed for malignancy, malignant PE was found in 64.2% (43/67). In this study, PE had sensitivity of 95.7%, specificity of 100%, positive predictive value of 100%, negative predictive value of 98.5%, and accuracy of 98.9%.</p><p><strong>Conclusion: </strong>When PE develops in patients being followed for malignancy, there is an extremely high possibility of malignant PE secondary to pericardial metastasis. Cytological evaluation of PE, which has extremely high sensitivity and specificity, is of clinical importance in patient diagnosis and follow-up.</p>","PeriodicalId":23361,"journal":{"name":"Turkish Journal of Medical Sciences","volume":"55 2","pages":"423-431"},"PeriodicalIF":1.0000,"publicationDate":"2025-01-19","publicationTypes":"Journal Article","fieldsOfStudy":null,"isOpenAccess":false,"openAccessPdf":"https://www.ncbi.nlm.nih.gov/pmc/articles/PMC12058011/pdf/","citationCount":"0","resultStr":"{\"title\":\"Cytopathological evaluation of pericardial effusions: 192 cases from a tertiary-level healthcare center.\",\"authors\":\"Ayşegül Aksoy Altinboğa, Nur Kivrak\",\"doi\":\"10.55730/1300-0144.5986\",\"DOIUrl\":null,\"url\":null,\"abstract\":\"<p><strong>Background/aim: </strong>There are many different benign and malignant etiologies of pericardial effusions (PEs), which can compress the heart and large vessels emerging from the heart and cause significant clinical findings. The aim of this study was to cytologically examine the underlying diseases causing PEs and to conduct detailed evaluations of underlying cancers in cases of malignant PE, both within the whole study population and according to sex.</p><p><strong>Materials and methods: </strong>All PE samples obtained between 2019 and 2024 were reevaluated and categorized as nondiagnostic, negative for malignancy (NFM), atypia of undetermined significance (AUS), suspicious for malignancy (SFM), or malignant according to the 2020 International System for Serous Fluid Cytopathology.</p><p><strong>Results: </strong>A total of 192 PE samples from 184 patients were analyzed, with 137 categorized as NFM (71.4%), 6 as AUS (3.1%), 5 as SFM (2.6%), and 44 as malignant (22.9%). In the NFM group, PE most often developed secondary to cardiac diseases or cardiac operations (61/137, 44.5%). In the malignant group, pulmonary carcinoma metastasis was most common within the whole population (54.5%) followed by breast carcinoma metastasis (15.9%). Lung carcinoma metastasis (69%) was most common among male patients, followed by gastric carcinoma metastasis (23%), and breast carcinoma (38.9%) followed by lung carcinoma metastasis (33.3%) were most common among female patients as the causes of malignant PE. Among patients who were followed for malignancy, malignant PE was found in 64.2% (43/67). In this study, PE had sensitivity of 95.7%, specificity of 100%, positive predictive value of 100%, negative predictive value of 98.5%, and accuracy of 98.9%.</p><p><strong>Conclusion: </strong>When PE develops in patients being followed for malignancy, there is an extremely high possibility of malignant PE secondary to pericardial metastasis. Cytological evaluation of PE, which has extremely high sensitivity and specificity, is of clinical importance in patient diagnosis and follow-up.</p>\",\"PeriodicalId\":23361,\"journal\":{\"name\":\"Turkish Journal of Medical Sciences\",\"volume\":\"55 2\",\"pages\":\"423-431\"},\"PeriodicalIF\":1.0000,\"publicationDate\":\"2025-01-19\",\"publicationTypes\":\"Journal Article\",\"fieldsOfStudy\":null,\"isOpenAccess\":false,\"openAccessPdf\":\"https://www.ncbi.nlm.nih.gov/pmc/articles/PMC12058011/pdf/\",\"citationCount\":\"0\",\"resultStr\":null,\"platform\":\"Semanticscholar\",\"paperid\":null,\"PeriodicalName\":\"Turkish Journal of Medical Sciences\",\"FirstCategoryId\":\"3\",\"ListUrlMain\":\"https://doi.org/10.55730/1300-0144.5986\",\"RegionNum\":4,\"RegionCategory\":\"医学\",\"ArticlePicture\":[],\"TitleCN\":null,\"AbstractTextCN\":null,\"PMCID\":null,\"EPubDate\":\"2025/1/1 0:00:00\",\"PubModel\":\"eCollection\",\"JCR\":\"Q2\",\"JCRName\":\"MEDICINE, GENERAL & INTERNAL\",\"Score\":null,\"Total\":0}","platform":"Semanticscholar","paperid":null,"PeriodicalName":"Turkish Journal of Medical Sciences","FirstCategoryId":"3","ListUrlMain":"https://doi.org/10.55730/1300-0144.5986","RegionNum":4,"RegionCategory":"医学","ArticlePicture":[],"TitleCN":null,"AbstractTextCN":null,"PMCID":null,"EPubDate":"2025/1/1 0:00:00","PubModel":"eCollection","JCR":"Q2","JCRName":"MEDICINE, GENERAL & INTERNAL","Score":null,"Total":0}
引用次数: 0

摘要

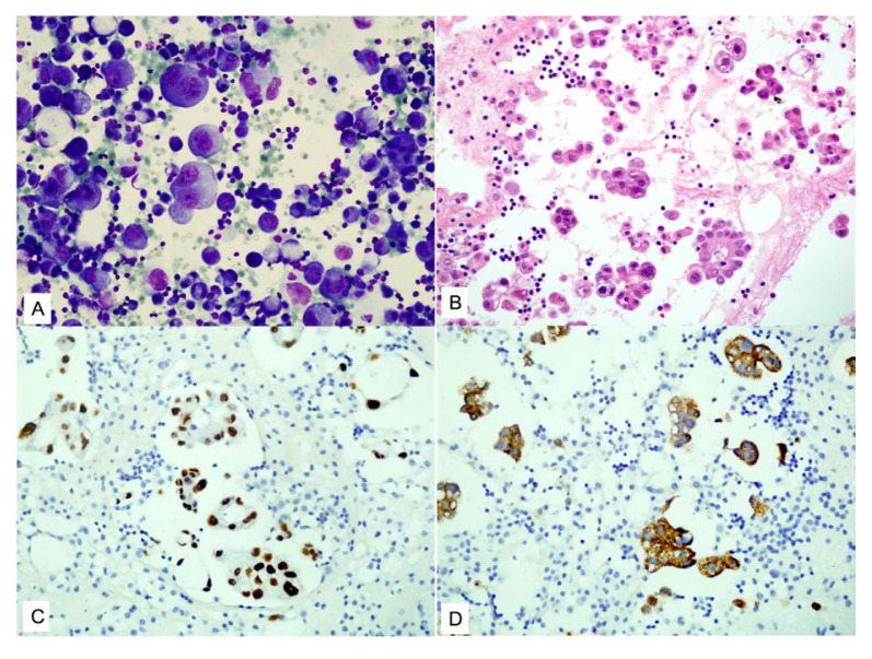
背景/目的:心包积液(PEs)有多种不同的良恶性病因,可压迫心脏和源自心脏的大血管,引起重要的临床表现。本研究的目的是细胞学检查导致PE的潜在疾病,并在整个研究人群和性别中对恶性PE病例的潜在癌症进行详细评估。材料和方法:根据2020年国际浆液细胞病理学系统,对2019年至2024年期间获得的所有PE样本进行重新评估,并将其分类为非诊断性、恶性肿瘤阴性(NFM)、意义不明的非典型性(AUS)、可疑恶性肿瘤(SFM)或恶性。结果:184例患者共192份PE样本进行分析,其中NFM 137例(71.4%),AUS 6例(3.1%),SFM 5例(2.6%),恶性44例(22.9%)。在NFM组中,PE最常继发于心脏疾病或心脏手术(61/137,44.5%)。在恶性组中,肺癌转移最为常见(54.5%),其次是乳腺癌转移(15.9%)。男性以肺癌转移(69%)居多,其次为胃癌转移(23%),女性以乳腺癌(38.9%)、肺癌转移(33.3%)居多。恶性随访患者中,恶性PE占64.2%(43/67)。本研究PE的敏感性为95.7%,特异性为100%,阳性预测值为100%,阴性预测值为98.5%,准确率为98.9%。结论:恶性随访患者发生PE时,继发于心包转移的恶性PE的可能性极高。PE细胞学评价具有极高的敏感性和特异性,对患者的诊断和随访具有重要的临床意义。
本文章由计算机程序翻译,如有差异,请以英文原文为准。

Cytopathological evaluation of pericardial effusions: 192 cases from a tertiary-level healthcare center.

Cytopathological evaluation of pericardial effusions: 192 cases from a tertiary-level healthcare center.

Cytopathological evaluation of pericardial effusions: 192 cases from a tertiary-level healthcare center.

Cytopathological evaluation of pericardial effusions: 192 cases from a tertiary-level healthcare center.

Background/aim: There are many different benign and malignant etiologies of pericardial effusions (PEs), which can compress the heart and large vessels emerging from the heart and cause significant clinical findings. The aim of this study was to cytologically examine the underlying diseases causing PEs and to conduct detailed evaluations of underlying cancers in cases of malignant PE, both within the whole study population and according to sex.

Materials and methods: All PE samples obtained between 2019 and 2024 were reevaluated and categorized as nondiagnostic, negative for malignancy (NFM), atypia of undetermined significance (AUS), suspicious for malignancy (SFM), or malignant according to the 2020 International System for Serous Fluid Cytopathology.

Results: A total of 192 PE samples from 184 patients were analyzed, with 137 categorized as NFM (71.4%), 6 as AUS (3.1%), 5 as SFM (2.6%), and 44 as malignant (22.9%). In the NFM group, PE most often developed secondary to cardiac diseases or cardiac operations (61/137, 44.5%). In the malignant group, pulmonary carcinoma metastasis was most common within the whole population (54.5%) followed by breast carcinoma metastasis (15.9%). Lung carcinoma metastasis (69%) was most common among male patients, followed by gastric carcinoma metastasis (23%), and breast carcinoma (38.9%) followed by lung carcinoma metastasis (33.3%) were most common among female patients as the causes of malignant PE. Among patients who were followed for malignancy, malignant PE was found in 64.2% (43/67). In this study, PE had sensitivity of 95.7%, specificity of 100%, positive predictive value of 100%, negative predictive value of 98.5%, and accuracy of 98.9%.

Conclusion: When PE develops in patients being followed for malignancy, there is an extremely high possibility of malignant PE secondary to pericardial metastasis. Cytological evaluation of PE, which has extremely high sensitivity and specificity, is of clinical importance in patient diagnosis and follow-up.

求助全文
通过发布文献求助,成功后即可免费获取论文全文。 去求助
来源期刊
Turkish Journal of Medical Sciences
Turkish Journal of Medical Sciences 医学-医学:内科
CiteScore
4.60
自引率
4.30%
发文量
143
审稿时长
3-8 weeks
期刊介绍: Turkish Journal of Medical sciences is a peer-reviewed comprehensive resource that provides critical up-to-date information on the broad spectrum of general medical sciences. The Journal intended to publish original medical scientific papers regarding the priority based on the prominence, significance, and timeliness of the findings. However since the audience of the Journal is not limited to any subspeciality in a wide variety of medical disciplines, the papers focusing on the technical  details of a given medical  subspeciality may not be evaluated for publication.
×
引用
GB/T 7714-2015
复制
MLA
复制
APA
复制
导出至
BibTeX EndNote RefMan NoteFirst NoteExpress
×
提示
您的信息不完整,为了账户安全,请先补充。
现在去补充
×
提示
您因"违规操作"
具体请查看互助需知
我知道了
×
提示
确定
请完成安全验证×
copy
已复制链接
快去分享给好友吧!
我知道了
右上角分享
点击右上角分享
0
联系我们:info@booksci.cn Book学术提供免费学术资源搜索服务,方便国内外学者检索中英文文献。致力于提供最便捷和优质的服务体验。 Copyright © 2023 布克学术 All rights reserved.
京ICP备2023020795号-1
ghs 京公网安备 11010802042870号
Book学术文献互助
Book学术文献互助群
群 号:604180095
Book学术官方微信