[单侧精囊改变和对侧精囊发育不全的闭塞性无精子症- 1例报告]。

IF 0.4 4区 医学 Q4 UROLOGY & NEPHROLOGY
Urologie Pub Date : 2025-09-01 Epub Date: 2025-04-14 DOI:10.1007/s00120-025-02578-6
Clarissa Wittler, D Engeler, J Rührup
{"title":"[单侧精囊改变和对侧精囊发育不全的闭塞性无精子症- 1例报告]。","authors":"Clarissa Wittler, D Engeler, J Rührup","doi":"10.1007/s00120-025-02578-6","DOIUrl":null,"url":null,"abstract":"<p><p>A 29-year-old man with primary infertility for 2 years presented for further evaluation. Repeated spermiograms showed azoospermia and an acidic pH. Sonographically, both testes showed normal size and parenchyma, but the vas deferens was bilaterally not palpable. Magnetic resonance imaging showed a cystically dilated left vas deferens and a dilated left seminal vesicle. The right vas deferens could not be visualized. Testicular sperm extraction (TESE) was successful and showed only slight impairment of the spermatogenesis with a Johnson score of 9.</p>","PeriodicalId":29782,"journal":{"name":"Urologie","volume":" ","pages":"940-942"},"PeriodicalIF":0.4000,"publicationDate":"2025-09-01","publicationTypes":"Journal Article","fieldsOfStudy":null,"isOpenAccess":false,"openAccessPdf":"https://www.ncbi.nlm.nih.gov/pmc/articles/PMC12394265/pdf/","citationCount":"0","resultStr":"{\"title\":\"[Occlusive azoospermia in unilateral cystic alteration of the seminal vesicle and contralateral seminal vesicle agenesis-case report].\",\"authors\":\"Clarissa Wittler, D Engeler, J Rührup\",\"doi\":\"10.1007/s00120-025-02578-6\",\"DOIUrl\":null,\"url\":null,\"abstract\":\"<p><p>A 29-year-old man with primary infertility for 2 years presented for further evaluation. Repeated spermiograms showed azoospermia and an acidic pH. Sonographically, both testes showed normal size and parenchyma, but the vas deferens was bilaterally not palpable. Magnetic resonance imaging showed a cystically dilated left vas deferens and a dilated left seminal vesicle. The right vas deferens could not be visualized. Testicular sperm extraction (TESE) was successful and showed only slight impairment of the spermatogenesis with a Johnson score of 9.</p>\",\"PeriodicalId\":29782,\"journal\":{\"name\":\"Urologie\",\"volume\":\" \",\"pages\":\"940-942\"},\"PeriodicalIF\":0.4000,\"publicationDate\":\"2025-09-01\",\"publicationTypes\":\"Journal Article\",\"fieldsOfStudy\":null,\"isOpenAccess\":false,\"openAccessPdf\":\"https://www.ncbi.nlm.nih.gov/pmc/articles/PMC12394265/pdf/\",\"citationCount\":\"0\",\"resultStr\":null,\"platform\":\"Semanticscholar\",\"paperid\":null,\"PeriodicalName\":\"Urologie\",\"FirstCategoryId\":\"1085\",\"ListUrlMain\":\"https://doi.org/10.1007/s00120-025-02578-6\",\"RegionNum\":4,\"RegionCategory\":\"医学\",\"ArticlePicture\":[],\"TitleCN\":null,\"AbstractTextCN\":null,\"PMCID\":null,\"EPubDate\":\"2025/4/14 0:00:00\",\"PubModel\":\"Epub\",\"JCR\":\"Q4\",\"JCRName\":\"UROLOGY & NEPHROLOGY\",\"Score\":null,\"Total\":0}","platform":"Semanticscholar","paperid":null,"PeriodicalName":"Urologie","FirstCategoryId":"1085","ListUrlMain":"https://doi.org/10.1007/s00120-025-02578-6","RegionNum":4,"RegionCategory":"医学","ArticlePicture":[],"TitleCN":null,"AbstractTextCN":null,"PMCID":null,"EPubDate":"2025/4/14 0:00:00","PubModel":"Epub","JCR":"Q4","JCRName":"UROLOGY & NEPHROLOGY","Score":null,"Total":0}
引用次数: 0

摘要

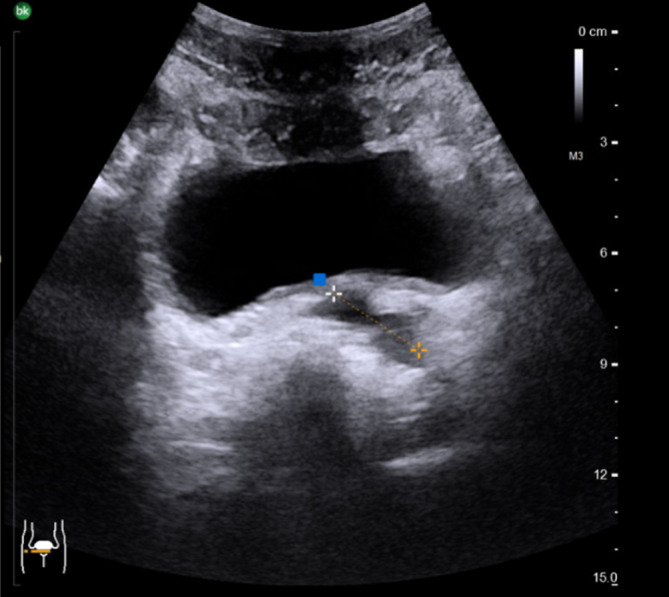
29岁男性原发不孕症2年提出进一步评估。重复精子图显示无精子症和酸性ph值。超声检查显示两睾丸大小和实质正常,但双侧输精管未触及。磁共振显示左侧输精管囊性扩张,左侧精囊扩张。右侧输精管未见。睾丸精子提取(TESE)成功,仅显示精子发生轻微损伤,约翰逊评分为9分。
本文章由计算机程序翻译,如有差异,请以英文原文为准。

[Occlusive azoospermia in unilateral cystic alteration of the seminal vesicle and contralateral seminal vesicle agenesis-case report].

[Occlusive azoospermia in unilateral cystic alteration of the seminal vesicle and contralateral seminal vesicle agenesis-case report].

[Occlusive azoospermia in unilateral cystic alteration of the seminal vesicle and contralateral seminal vesicle agenesis-case report].

[Occlusive azoospermia in unilateral cystic alteration of the seminal vesicle and contralateral seminal vesicle agenesis-case report].

A 29-year-old man with primary infertility for 2 years presented for further evaluation. Repeated spermiograms showed azoospermia and an acidic pH. Sonographically, both testes showed normal size and parenchyma, but the vas deferens was bilaterally not palpable. Magnetic resonance imaging showed a cystically dilated left vas deferens and a dilated left seminal vesicle. The right vas deferens could not be visualized. Testicular sperm extraction (TESE) was successful and showed only slight impairment of the spermatogenesis with a Johnson score of 9.

求助全文
通过发布文献求助,成功后即可免费获取论文全文。 去求助
来源期刊
Urologie
Urologie UROLOGY & NEPHROLOGY-
CiteScore
1.00
自引率
0.00%
发文量
0
×
引用
GB/T 7714-2015
复制
MLA
复制
APA
复制
导出至
BibTeX EndNote RefMan NoteFirst NoteExpress
×
提示
您的信息不完整,为了账户安全,请先补充。
现在去补充
×
提示
您因"违规操作"
具体请查看互助需知
我知道了
×
提示
确定
请完成安全验证×
copy
已复制链接
快去分享给好友吧!
我知道了
右上角分享
点击右上角分享
0
联系我们:info@booksci.cn Book学术提供免费学术资源搜索服务,方便国内外学者检索中英文文献。致力于提供最便捷和优质的服务体验。 Copyright © 2023 布克学术 All rights reserved.
京ICP备2023020795号-1
ghs 京公网安备 11010802042870号
Book学术文献互助
Book学术文献互助群
群 号:604180095
Book学术官方微信