双胞胎圆形韧带子宫内膜异位症:罕见而独特的表现。

IF 1.3 4区 医学 Q4 RADIOLOGY, NUCLEAR MEDICINE & MEDICAL IMAGING
Journal of the Belgian Society of Radiology Pub Date : 2025-04-16 eCollection Date: 2025-01-01 DOI:10.5334/jbsr.3898
Tom Oyen, Ragna Vanslembrouck
{"title":"双胞胎圆形韧带子宫内膜异位症:罕见而独特的表现。","authors":"Tom Oyen, Ragna Vanslembrouck","doi":"10.5334/jbsr.3898","DOIUrl":null,"url":null,"abstract":"<p><p><i>Teaching point:</i> The role of magnetic resonance imaging (MRI) in diagnosing endometriosis is growing, requiring radiologists to become familiar with both typical and atypical presentations of deep infiltrating endometriosis.</p>","PeriodicalId":55987,"journal":{"name":"Journal of the Belgian Society of Radiology","volume":"109 1","pages":"16"},"PeriodicalIF":1.3000,"publicationDate":"2025-04-16","publicationTypes":"Journal Article","fieldsOfStudy":null,"isOpenAccess":false,"openAccessPdf":"https://www.ncbi.nlm.nih.gov/pmc/articles/PMC12005135/pdf/","citationCount":"0","resultStr":"{\"title\":\"Endometriosis of the Round Ligaments in Twins: A Rare and Unique Presentation.\",\"authors\":\"Tom Oyen, Ragna Vanslembrouck\",\"doi\":\"10.5334/jbsr.3898\",\"DOIUrl\":null,\"url\":null,\"abstract\":\"<p><p><i>Teaching point:</i> The role of magnetic resonance imaging (MRI) in diagnosing endometriosis is growing, requiring radiologists to become familiar with both typical and atypical presentations of deep infiltrating endometriosis.</p>\",\"PeriodicalId\":55987,\"journal\":{\"name\":\"Journal of the Belgian Society of Radiology\",\"volume\":\"109 1\",\"pages\":\"16\"},\"PeriodicalIF\":1.3000,\"publicationDate\":\"2025-04-16\",\"publicationTypes\":\"Journal Article\",\"fieldsOfStudy\":null,\"isOpenAccess\":false,\"openAccessPdf\":\"https://www.ncbi.nlm.nih.gov/pmc/articles/PMC12005135/pdf/\",\"citationCount\":\"0\",\"resultStr\":null,\"platform\":\"Semanticscholar\",\"paperid\":null,\"PeriodicalName\":\"Journal of the Belgian Society of Radiology\",\"FirstCategoryId\":\"3\",\"ListUrlMain\":\"https://doi.org/10.5334/jbsr.3898\",\"RegionNum\":4,\"RegionCategory\":\"医学\",\"ArticlePicture\":[],\"TitleCN\":null,\"AbstractTextCN\":null,\"PMCID\":null,\"EPubDate\":\"2025/1/1 0:00:00\",\"PubModel\":\"eCollection\",\"JCR\":\"Q4\",\"JCRName\":\"RADIOLOGY, NUCLEAR MEDICINE & MEDICAL IMAGING\",\"Score\":null,\"Total\":0}","platform":"Semanticscholar","paperid":null,"PeriodicalName":"Journal of the Belgian Society of Radiology","FirstCategoryId":"3","ListUrlMain":"https://doi.org/10.5334/jbsr.3898","RegionNum":4,"RegionCategory":"医学","ArticlePicture":[],"TitleCN":null,"AbstractTextCN":null,"PMCID":null,"EPubDate":"2025/1/1 0:00:00","PubModel":"eCollection","JCR":"Q4","JCRName":"RADIOLOGY, NUCLEAR MEDICINE & MEDICAL IMAGING","Score":null,"Total":0}
引用次数: 0

摘要

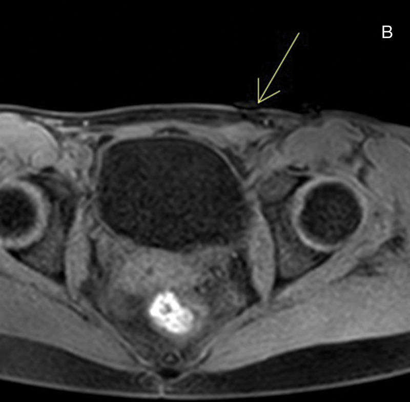
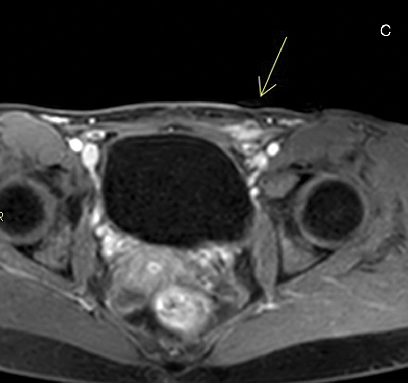
教学要点:磁共振成像(MRI)在诊断子宫内膜异位症中的作用越来越大,要求放射科医生熟悉深浸润性子宫内膜异位症的典型和非典型表现。
本文章由计算机程序翻译,如有差异,请以英文原文为准。

Endometriosis of the Round Ligaments in Twins: A Rare and Unique Presentation.

Endometriosis of the Round Ligaments in Twins: A Rare and Unique Presentation.

Endometriosis of the Round Ligaments in Twins: A Rare and Unique Presentation.

Endometriosis of the Round Ligaments in Twins: A Rare and Unique Presentation.

Teaching point: The role of magnetic resonance imaging (MRI) in diagnosing endometriosis is growing, requiring radiologists to become familiar with both typical and atypical presentations of deep infiltrating endometriosis.

求助全文
通过发布文献求助,成功后即可免费获取论文全文。 去求助
来源期刊
Journal of the Belgian Society of Radiology
Journal of the Belgian Society of Radiology Medicine-Radiology, Nuclear Medicine and Imaging
CiteScore
0.70
自引率
5.00%
发文量
96
期刊介绍: The purpose of the Journal of the Belgian Society of Radiology is the publication of articles dealing with diagnostic and interventional radiology, related imaging techniques, allied sciences, and continuing education.
×
引用
GB/T 7714-2015
复制
MLA
复制
APA
复制
导出至
BibTeX EndNote RefMan NoteFirst NoteExpress
×
提示
您的信息不完整,为了账户安全,请先补充。
现在去补充
×
提示
您因"违规操作"
具体请查看互助需知
我知道了
×
提示
确定
请完成安全验证×
copy
已复制链接
快去分享给好友吧!
我知道了
右上角分享
点击右上角分享
0
联系我们:info@booksci.cn Book学术提供免费学术资源搜索服务,方便国内外学者检索中英文文献。致力于提供最便捷和优质的服务体验。 Copyright © 2023 布克学术 All rights reserved.
京ICP备2023020795号-1
ghs 京公网安备 11010802042870号
Book学术文献互助
Book学术文献互助群
群 号:604180095
Book学术官方微信