根尖切除术治疗椎弓根周围广泛的穿透性病变,无需植骨:1例3年回顾性报告。

IF 0.9 Q4 DENTISTRY, ORAL SURGERY & MEDICINE
Case Reports in Dentistry Pub Date : 2025-04-22 eCollection Date: 2025-01-01 DOI:10.1155/crid/7225338
Qamar Hashem
{"title":"根尖切除术治疗椎弓根周围广泛的穿透性病变,无需植骨:1例3年回顾性报告。","authors":"Qamar Hashem","doi":"10.1155/crid/7225338","DOIUrl":null,"url":null,"abstract":"<p><p>The pathogenic process of through-and-through lesions leads to erosion and loss of both cortical plates. Endodontic microsurgery (MS)with bone graft and membrane placement (guided tissue regeneration (GTR)) is the proposed treatment for such cases. This article is aimed at discussing an unusual treatment protocol for a large through-and-through lesion without the use of bone grafting or membrane. A 26-year-old Air Force pilot traveling at high altitudes presented to the Endodontic division for management of pain and swelling related to the upper left anterior lesion concerning Teeth #21, #22, and #23. Following a thorough clinical examination, medical history, and clinical and radiographic examination, the diagnosis of the presence of a through-and-through lesion related to previously treated teeth. The treatment plan included endodontic MS without the use of GTR due to his work nature. Over 3 years, routine follow-ups were essential for tracking the damaged area's healing process, which ultimately resulted in full recovery. This case emphasizes how crucial it is to obtain a thorough history and use a multidisciplinary approach to diagnose and manage through-and-through lesions, achieving positive outcomes.</p>","PeriodicalId":46841,"journal":{"name":"Case Reports in Dentistry","volume":"2025 ","pages":"7225338"},"PeriodicalIF":0.9000,"publicationDate":"2025-04-22","publicationTypes":"Journal Article","fieldsOfStudy":null,"isOpenAccess":false,"openAccessPdf":"https://www.ncbi.nlm.nih.gov/pmc/articles/PMC12041628/pdf/","citationCount":"0","resultStr":"{\"title\":\"Healing of Extensive Through-and-Through Periradicular Lesion Using Apicoectomy Without Bone Grafting: A Case Report With 3-Year Recall.\",\"authors\":\"Qamar Hashem\",\"doi\":\"10.1155/crid/7225338\",\"DOIUrl\":null,\"url\":null,\"abstract\":\"<p><p>The pathogenic process of through-and-through lesions leads to erosion and loss of both cortical plates. Endodontic microsurgery (MS)with bone graft and membrane placement (guided tissue regeneration (GTR)) is the proposed treatment for such cases. This article is aimed at discussing an unusual treatment protocol for a large through-and-through lesion without the use of bone grafting or membrane. A 26-year-old Air Force pilot traveling at high altitudes presented to the Endodontic division for management of pain and swelling related to the upper left anterior lesion concerning Teeth #21, #22, and #23. Following a thorough clinical examination, medical history, and clinical and radiographic examination, the diagnosis of the presence of a through-and-through lesion related to previously treated teeth. The treatment plan included endodontic MS without the use of GTR due to his work nature. Over 3 years, routine follow-ups were essential for tracking the damaged area's healing process, which ultimately resulted in full recovery. This case emphasizes how crucial it is to obtain a thorough history and use a multidisciplinary approach to diagnose and manage through-and-through lesions, achieving positive outcomes.</p>\",\"PeriodicalId\":46841,\"journal\":{\"name\":\"Case Reports in Dentistry\",\"volume\":\"2025 \",\"pages\":\"7225338\"},\"PeriodicalIF\":0.9000,\"publicationDate\":\"2025-04-22\",\"publicationTypes\":\"Journal Article\",\"fieldsOfStudy\":null,\"isOpenAccess\":false,\"openAccessPdf\":\"https://www.ncbi.nlm.nih.gov/pmc/articles/PMC12041628/pdf/\",\"citationCount\":\"0\",\"resultStr\":null,\"platform\":\"Semanticscholar\",\"paperid\":null,\"PeriodicalName\":\"Case Reports in Dentistry\",\"FirstCategoryId\":\"1085\",\"ListUrlMain\":\"https://doi.org/10.1155/crid/7225338\",\"RegionNum\":0,\"RegionCategory\":null,\"ArticlePicture\":[],\"TitleCN\":null,\"AbstractTextCN\":null,\"PMCID\":null,\"EPubDate\":\"2025/1/1 0:00:00\",\"PubModel\":\"eCollection\",\"JCR\":\"Q4\",\"JCRName\":\"DENTISTRY, ORAL SURGERY & MEDICINE\",\"Score\":null,\"Total\":0}","platform":"Semanticscholar","paperid":null,"PeriodicalName":"Case Reports in Dentistry","FirstCategoryId":"1085","ListUrlMain":"https://doi.org/10.1155/crid/7225338","RegionNum":0,"RegionCategory":null,"ArticlePicture":[],"TitleCN":null,"AbstractTextCN":null,"PMCID":null,"EPubDate":"2025/1/1 0:00:00","PubModel":"eCollection","JCR":"Q4","JCRName":"DENTISTRY, ORAL SURGERY & MEDICINE","Score":null,"Total":0}
引用次数: 0

摘要

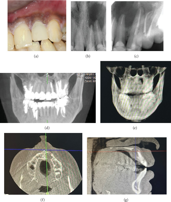
穿透性病变的致病过程导致两个皮质板的侵蚀和丧失。牙髓显微手术(MS)与骨移植物和膜放置(引导组织再生(GTR))是建议的治疗这种情况。这篇文章的目的是讨论一个不寻常的治疗方案,大的贯通病变不使用骨移植或膜。一名26岁的空军飞行员在高海拔地区旅行,因21号、22号和23号牙齿左上前病变引起的疼痛和肿胀到牙髓科就诊。经过彻底的临床检查、病史、临床和放射学检查,诊断出与先前治疗过的牙齿有关的全面病变。由于其工作性质,治疗方案包括不使用GTR的牙髓质MS。在3年多的时间里,常规随访对追踪受损区域的愈合过程至关重要,最终导致完全恢复。该病例强调了获得全面的病史和使用多学科方法诊断和处理全面病变的重要性,并取得积极的结果。
本文章由计算机程序翻译,如有差异,请以英文原文为准。

Healing of Extensive Through-and-Through Periradicular Lesion Using Apicoectomy Without Bone Grafting: A Case Report With 3-Year Recall.

Healing of Extensive Through-and-Through Periradicular Lesion Using Apicoectomy Without Bone Grafting: A Case Report With 3-Year Recall.

Healing of Extensive Through-and-Through Periradicular Lesion Using Apicoectomy Without Bone Grafting: A Case Report With 3-Year Recall.

Healing of Extensive Through-and-Through Periradicular Lesion Using Apicoectomy Without Bone Grafting: A Case Report With 3-Year Recall.

The pathogenic process of through-and-through lesions leads to erosion and loss of both cortical plates. Endodontic microsurgery (MS)with bone graft and membrane placement (guided tissue regeneration (GTR)) is the proposed treatment for such cases. This article is aimed at discussing an unusual treatment protocol for a large through-and-through lesion without the use of bone grafting or membrane. A 26-year-old Air Force pilot traveling at high altitudes presented to the Endodontic division for management of pain and swelling related to the upper left anterior lesion concerning Teeth #21, #22, and #23. Following a thorough clinical examination, medical history, and clinical and radiographic examination, the diagnosis of the presence of a through-and-through lesion related to previously treated teeth. The treatment plan included endodontic MS without the use of GTR due to his work nature. Over 3 years, routine follow-ups were essential for tracking the damaged area's healing process, which ultimately resulted in full recovery. This case emphasizes how crucial it is to obtain a thorough history and use a multidisciplinary approach to diagnose and manage through-and-through lesions, achieving positive outcomes.

求助全文
通过发布文献求助,成功后即可免费获取论文全文。 去求助
来源期刊
Case Reports in Dentistry
Case Reports in Dentistry DENTISTRY, ORAL SURGERY & MEDICINE-
CiteScore
1.40
自引率
12.50%
发文量
107
审稿时长
14 weeks
期刊介绍: Case Reports in Dentistry is a peer-reviewed, Open Access journal that publishes case reports and case series in all areas of dentistry, including periodontal diseases, dental implants, oral pathology, as well as oral and maxillofacial surgery.
×
引用
GB/T 7714-2015
复制
MLA
复制
APA
复制
导出至
BibTeX EndNote RefMan NoteFirst NoteExpress
×
提示
您的信息不完整,为了账户安全,请先补充。
现在去补充
×
提示
您因"违规操作"
具体请查看互助需知
我知道了
×
提示
确定
请完成安全验证×
copy
已复制链接
快去分享给好友吧!
我知道了
右上角分享
点击右上角分享
0
联系我们:info@booksci.cn Book学术提供免费学术资源搜索服务,方便国内外学者检索中英文文献。致力于提供最便捷和优质的服务体验。 Copyright © 2023 布克学术 All rights reserved.
京ICP备2023020795号-1
ghs 京公网安备 11010802042870号
Book学术文献互助
Book学术文献互助群
群 号:604180095
Book学术官方微信