卵巢恶性血管周围上皮样细胞瘤1例报告。

IF 1 Q3 OBSTETRICS & GYNECOLOGY
Journal of Mid-life Health Pub Date : 2025-01-01 Epub Date: 2025-04-05 DOI:10.4103/jmh.jmh_157_24
Anuradha Sharma, Reetika Sharma, Jyoti Bala, Monika Sharma
{"title":"卵巢恶性血管周围上皮样细胞瘤1例报告。","authors":"Anuradha Sharma, Reetika Sharma, Jyoti Bala, Monika Sharma","doi":"10.4103/jmh.jmh_157_24","DOIUrl":null,"url":null,"abstract":"<p><p>Perivascular epithelioid cell tumors (PEComas) have unique morphology comprised perivascular epitheloid cells and express both melanocytic and smooth muscle cell markers. Gynecological PEComas account for approximately 25% of all PEComas, and in most cases, the primary site of the tumor is the uterine body. Ovarian PEComa is exceptional. Here, we report a case of primary malignant PEComa of ovary in a 38 years female.</p>","PeriodicalId":37717,"journal":{"name":"Journal of Mid-life Health","volume":"16 1","pages":"107-109"},"PeriodicalIF":1.0000,"publicationDate":"2025-01-01","publicationTypes":"Journal Article","fieldsOfStudy":null,"isOpenAccess":false,"openAccessPdf":"https://www.ncbi.nlm.nih.gov/pmc/articles/PMC12052290/pdf/","citationCount":"0","resultStr":"{\"title\":\"Malignant Perivascular Epithelioid Cell Tumor of Ovary: A Rare Case Report.\",\"authors\":\"Anuradha Sharma, Reetika Sharma, Jyoti Bala, Monika Sharma\",\"doi\":\"10.4103/jmh.jmh_157_24\",\"DOIUrl\":null,\"url\":null,\"abstract\":\"<p><p>Perivascular epithelioid cell tumors (PEComas) have unique morphology comprised perivascular epitheloid cells and express both melanocytic and smooth muscle cell markers. Gynecological PEComas account for approximately 25% of all PEComas, and in most cases, the primary site of the tumor is the uterine body. Ovarian PEComa is exceptional. Here, we report a case of primary malignant PEComa of ovary in a 38 years female.</p>\",\"PeriodicalId\":37717,\"journal\":{\"name\":\"Journal of Mid-life Health\",\"volume\":\"16 1\",\"pages\":\"107-109\"},\"PeriodicalIF\":1.0000,\"publicationDate\":\"2025-01-01\",\"publicationTypes\":\"Journal Article\",\"fieldsOfStudy\":null,\"isOpenAccess\":false,\"openAccessPdf\":\"https://www.ncbi.nlm.nih.gov/pmc/articles/PMC12052290/pdf/\",\"citationCount\":\"0\",\"resultStr\":null,\"platform\":\"Semanticscholar\",\"paperid\":null,\"PeriodicalName\":\"Journal of Mid-life Health\",\"FirstCategoryId\":\"1085\",\"ListUrlMain\":\"https://doi.org/10.4103/jmh.jmh_157_24\",\"RegionNum\":0,\"RegionCategory\":null,\"ArticlePicture\":[],\"TitleCN\":null,\"AbstractTextCN\":null,\"PMCID\":null,\"EPubDate\":\"2025/4/5 0:00:00\",\"PubModel\":\"Epub\",\"JCR\":\"Q3\",\"JCRName\":\"OBSTETRICS & GYNECOLOGY\",\"Score\":null,\"Total\":0}","platform":"Semanticscholar","paperid":null,"PeriodicalName":"Journal of Mid-life Health","FirstCategoryId":"1085","ListUrlMain":"https://doi.org/10.4103/jmh.jmh_157_24","RegionNum":0,"RegionCategory":null,"ArticlePicture":[],"TitleCN":null,"AbstractTextCN":null,"PMCID":null,"EPubDate":"2025/4/5 0:00:00","PubModel":"Epub","JCR":"Q3","JCRName":"OBSTETRICS & GYNECOLOGY","Score":null,"Total":0}
引用次数: 0

摘要

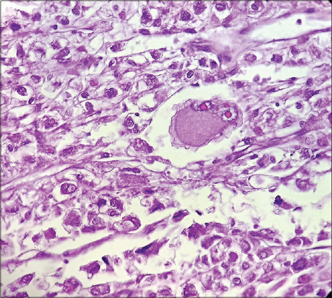
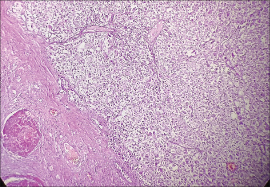
血管周围上皮样细胞瘤(PEComas)具有独特的形态,由血管周围上皮细胞组成,表达黑色素细胞和平滑肌细胞标记物。妇科PEComas约占所有PEComas的25%,在大多数情况下,肿瘤的原发部位是子宫体。卵巢PEComa是例外。在此,我们报告一例38岁女性原发性卵巢恶性PEComa。
本文章由计算机程序翻译,如有差异,请以英文原文为准。

Malignant Perivascular Epithelioid Cell Tumor of Ovary: A Rare Case Report.

Malignant Perivascular Epithelioid Cell Tumor of Ovary: A Rare Case Report.

Malignant Perivascular Epithelioid Cell Tumor of Ovary: A Rare Case Report.

Malignant Perivascular Epithelioid Cell Tumor of Ovary: A Rare Case Report.

Perivascular epithelioid cell tumors (PEComas) have unique morphology comprised perivascular epitheloid cells and express both melanocytic and smooth muscle cell markers. Gynecological PEComas account for approximately 25% of all PEComas, and in most cases, the primary site of the tumor is the uterine body. Ovarian PEComa is exceptional. Here, we report a case of primary malignant PEComa of ovary in a 38 years female.

求助全文
通过发布文献求助,成功后即可免费获取论文全文。 去求助
来源期刊
Journal of Mid-life Health
Journal of Mid-life Health Social Sciences-Health (social science)
CiteScore
1.70
自引率
9.10%
发文量
39
审稿时长
43 weeks
期刊介绍: Journal of mid-life health is the official journal of the Indian Menopause society published Quarterly in January, April, July and October. It is peer reviewed, scientific journal of mid-life health and its problems. It includes all aspects of mid-life health, preventive as well as curative. The journal publishes on subjects such as gynecology, neurology, geriatrics, psychiatry, endocrinology, urology, andrology, psychology, healthy ageing, cardiovascular health, bone health, quality of life etc. as relevant of men and women in their midlife. The Journal provides a visible platform to the researchers as well as clinicians to publish their experiences in this area thereby helping in the promotion of mid-life health leading to healthy ageing, growing need due to increasing life expectancy. The Editorial team has maintained high standards and published original research papers, case reports and review articles from the best of the best contributors both national & international, consistently so that now, it has become a great tool in the hands of menopause practitioners.
×
引用
GB/T 7714-2015
复制
MLA
复制
APA
复制
导出至
BibTeX EndNote RefMan NoteFirst NoteExpress
×
提示
您的信息不完整,为了账户安全,请先补充。
现在去补充
×
提示
您因"违规操作"
具体请查看互助需知
我知道了
×
提示
确定
请完成安全验证×
copy
已复制链接
快去分享给好友吧!
我知道了
右上角分享
点击右上角分享
0
联系我们:info@booksci.cn Book学术提供免费学术资源搜索服务,方便国内外学者检索中英文文献。致力于提供最便捷和优质的服务体验。 Copyright © 2023 布克学术 All rights reserved.
京ICP备2023020795号-1
ghs 京公网安备 11010802042870号
Book学术文献互助
Book学术文献互助群
群 号:604180095
Book学术官方微信